神奈川県川崎市の歯科、イサオ歯科クリニックです。
2019.7.29)(月)
口腔科の医師をめざして
・・・・・・・・・・・・・・・・・・
ある患者さんが紹介で急遽来院しました。
歯が痛くていつも通っている歯科で見てもらったところ虫歯が酷く、
神経を抜かなくてはならないと言われ、友達に相談。その患者さんはたまに問題があるときに来院するかたで彼女からの紹介だったのです。
実は新患の彼女は体の不調を治す為に日本ホメオパシー医学界の創始者メンバーの一人である帯津三敬クリニック?(池袋のホテルの中にあります。)で板村論子先生という方から治療を受け回復した方だったのです。
歯科の疾患を治癒させることはできませんが、治療中や治療後の回復に使うとかなり便利なものなのです。
注射もせずに取れるだけ虫歯という病原菌を丁寧に除去し、消毒し、ぎりぎりのところで鎮静効果を持つセメントで被覆するのです。
時間はかかりますが、神経を抜くとほぼ、歯の寿命が尽きたとしか思えませんし、神経の処置で成功しているケースは少なくて毎回やり直しばかりの現状を見ると私自身やる気はなくなるのです。
成功できずに終わるのではないかという不安が常に付きまといます。
ですが既に15年以上の経験があり失敗は殆どありませんので、楽観しております。歯科での行為はすべて傷害行為でもすからとにかく神経をとらずに痛みを止める事。
早く症状をなくすことです。被せるとか詰めることは、病気の治癒には関係ありません。
ただ一回で成功はしません。
半年や一年ぐらいのスパンで様子を見て治癒したかどうか確認してから再度虫歯を除去するのです。


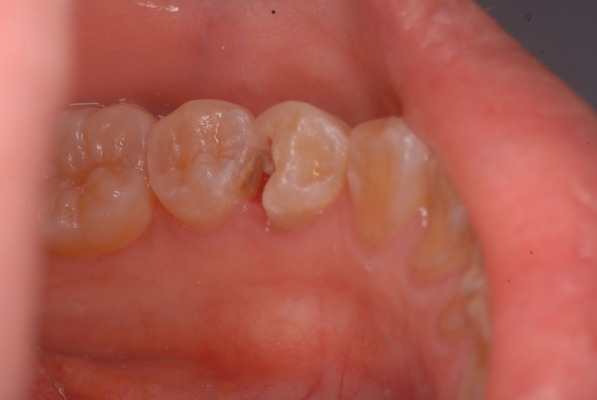
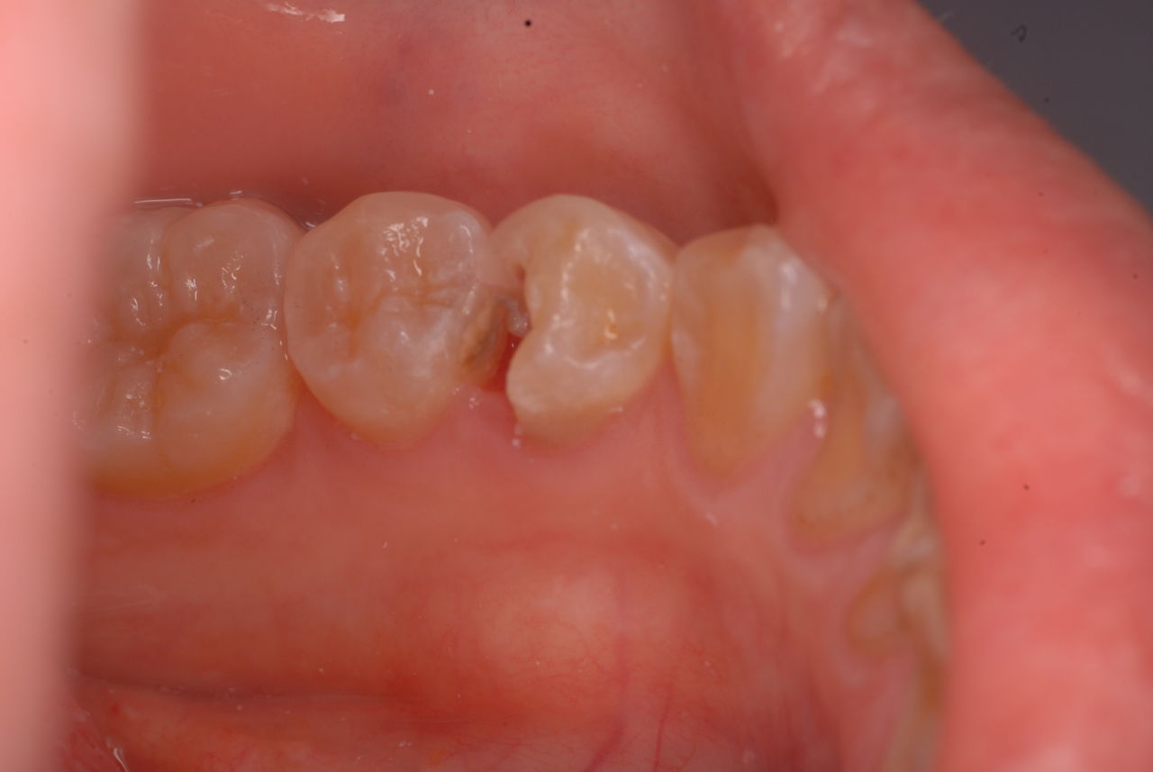
まだ虫歯は残っていますが危険なので除去せずにそのまま消毒して鎮静セメントを挿入しました。

隣の歯との間をプラスチックで閉鎖し、唾液の侵入を防ぎました。でもまだ虫歯は残っています。
鎮静セメントを詰めて終了しました。後は神経の傷が治癒するのを待ちます。半年以上はかかります。
・・・・・・・・・・・・・・・・・・・・・・・・・・・・・・・・・・・・・・・・・・・・・・・・・
211-0063 川崎市中原区小杉町1-527-4 メゾンゴールド1A
イサオ歯科クリニック
松下勲夫
イサオ歯科クリニックはQ-lifeに登録しています。
株式会社QLife(キューライフ)に登録して商品をゲットし評価をお願いします。会員登録はこちらから
「川崎市の入れ歯ならイサオ歯科クリニックへ」
「顎関節症はイサオ歯科クリニックへ」
・・・・・・・・・・・・・・・・・・・・・・・・・・・・・・・・・・・・・・・・・・・・・・・・・・
TM瞑想
http://tm-meisou.jp/
内観法
http://www.shirokanedai-naikan.com/about/
井穴頭部刺絡療法(自律神経免疫療法)
http://www.geocities.jp/seiketusiraku/
日本ホリステック医学協会
http://www.holistic-medicine.or.jp/
日本ホメオパシー医学会
http://www.jpsh.jp/
NLP
http://ja.wikipedia.org/wiki/%E7%A5%9E%E7%B5%8C%E8%A8%80%E8%AA%9E%E3%83%97%E3%83%AD%E3%82%B0%E3%83%A9%E3%83%9F%E3%83%B3%E3%82%B0
お金の悩みに関しては
バリの大富豪((笑))に聞きましょう!
http://anikiwakyo.jp/
****************************************
お口の中から差し歯、入れ歯、詰め物を追放しましょう!
口の中の病気を治し、病気を興さない医療を目指します。
二度とお口の中へ変なものを入れなくても済むように
予防に精進いたしましょう!安全な矯正、美容を目指しましょう!
・・・・・・・・・・・・・・・・・・・・・・・・・・・・・・・・・・・・・・・・・・・・・・・・・・・・・・・・・・・・・・・・