世の中で一番楽しく立派なことは、
一生涯を貫く仕事を持つことです。...
世の中で一番惨めなことは、
人間として教養のないことです。
世の中で一番寂しいことは、
する仕事のないことです。
世の中で一番醜いことは、
他人の生活を羨むことです。
世の中で一番尊いことは、
人のために奉仕し、
恩にきせないことです。
世の中で一番美しいことは、
すべての物に愛情を持つことです。
世の中で一番悲しいことは、
うそをつくことです。
川崎市中原区新丸子で開業している歯科医院の日常をお話しいたします。
神奈川県川崎市の歯科、イサオ歯科クリニックです。
2017.7.26.
。。。。。。。。。。。。。。
ガンは実は数週間で治せる。
https://www.youtube.com/watch?v=fKttyRC2W4I&sns=fb&app=desktop
ある程度信用性ありの情報です。
・・・・・・・・・・・・・・・・・・・・・・・・・・・・・・・・・・・・・・・・・・・・・・・・・・・・・・・・・・・・・・・
イサオ歯科クリニックはQ-lifeに登録しています。
株式会社QLife(キューライフ)に登録して商品をゲットし評価をお願いします。会員登録はこちらから
「川崎市の入れ歯ならイサオ歯科クリニックへ」
「顎関節症はイサオ歯科クリニックへ」
入れ歯のことなら入れ歯専門のイサオ歯科クリニックへ
・・・・・・・・・・・・・・・・・・・・・・・・・・・・・・・・・・・・・・・
211-0063
川崎市中原区小杉町1-527-4 メゾンゴールド1A
イサオ歯科クリニック
松下勲夫
TEL&FAX 044-744-1181
お口の中から差し歯、入れ歯、詰め物を追放しましょう!
口の中の病気を治し、病気を興さない医療を目指します。
二度とお口の中へ変なものを入れなくても済むように
予防に精進いたしましょう!安全な矯正、美容を目指しましょう!
・・・・・・・・・・・・・・・・・・・・・・・・・・・・・・・・・・・・・・・・・・・・・・・
神奈川県川崎市の歯科、イサオ歯科クリニックです。
2017.7.19.
矯正治療と虫歯、不定愁訴
..................................
矯正治療を受けたからかあるいは矯正治療を受ける前に虫歯の治療をやっていないのにもかかわらず矯正治療をやったからかわかりませんが、子供の時でも大人になってからでも治療を受けた方は、歯の間特に裏側の歯の間に酷い虫歯を罹患して痛みが出てから来る方が多いのです。
それも神経を抜かなくてはならないぐらい酷いのです。
矯正治療を受ける前は必ず、ブラッシング指導を受ける。歯の間の虫歯を点検して存在が疑われれば即座に治療を受ける。(でもとり残しが多いですね。)
現在、30代の方です。大人になってから矯正治療をして体の不調や噛みあわせの不調を来し、心配になって遠路はるばる二時間以上の電車の旅をなさって来た方です。
明らかにレントゲン的に奥歯の歯の間のひどい虫歯を指摘され、歯周病もありましたのでブラシの使い方をお話しして帰っていただきました。
その後3週間ぐらいしてシミテ痛いと連絡ありで、急遽治療となりました。逆に一所懸命磨いていて歯茎からの出血もない状態でしたから、一安心。汚れを取りまくり虫歯を刺激したからでしょうか?
シミテ仕方ないとのことでした。あまりにも深い虫歯でしたので残念ながらすべて除去をあきらめ、除去できるだけ除去して危ない所の除去をあきらめて抗菌的、知覚過敏を軽減するセメントを挿入してその後硬いプラスチックで閉鎖いたしました。
長くて一週間もしないうちに症状は消えますし、当日もあまり症状はなく、少し感じるぐらいに軽減したようです。大きく削らなくては歯の間の真横に進行するバイキンによる硬い歯の破壊されたところは除去できないのです。
かわいそうですが、歯の間、特に裏側の掃除の仕方をマスターしている方は殆どいないのです。だからこれからも患者さんは増えるでしょうね。



・・・・・・・・・・・・・・・・・・・・・・・・・・・・・・・・・・・・・・・・・・・・・・・・・・・・・・・・・・・・・・・
イサオ歯科クリニックはQ-lifeに登録しています。
株式会社QLife(キューライフ)に登録して商品をゲットし評価をお願いします。会員登録はこちらから
「川崎市の入れ歯ならイサオ歯科クリニックへ」
「顎関節症はイサオ歯科クリニックへ」
入れ歯のことなら入れ歯専門のイサオ歯科クリニックへ
・・・・・・・・・・・・・・・・・・・・・・・・・・・・・・・・・・・・・・・
211-0063
川崎市中原区小杉町1-527-4 メゾンゴールド1A
イサオ歯科クリニック
松下勲夫
TEL&FAX 044-744-1181
お口の中から差し歯、入れ歯、詰め物を追放しましょう!
口の中の病気を治し、病気を興さない医療を目指します。
二度とお口の中へ変なものを入れなくても済むように
予防に精進いたしましょう!安全な矯正、美容を目指しましょう!
・・・・・・・・・・・・・・・・・・・・・・・・・・・・・・・・・・・・・・・・・・・・・・・
神奈川県川崎市の歯科、イサオ歯科クリニックです。
2017.7.19.
現在は虫歯除去の為に、私は注射という麻酔をしないのです。
....................................................................................
普通の歯科医院における医療行為
虫歯という病気
病原菌の塊ですから、除去こそ第一の治療法です。ところがしみたり、何もしなくても痛くなると、これは歯髄炎という病気に移行しており、一般的には神経を取るという処置を行います。
でもこの治療の予後は極めてよくないと認識していますので、取らずに生きたまま虫歯や歯髄炎を治癒できないかといつも考えています。
そこで現在は麻酔の注射をせずに丁寧に、少しずつ病原菌を除去をするという手法をとっています。(時間がかかり採算は合わず、患者さんには時間がかかり迷惑となりがちですが)
それは、ある経験があるからです。それは有名な歯科医に就職した大学に残っていた先生の話でした。殆ど、注射をせずに虫歯の除去をし、金属を被せる為に歯を削る時も極力、麻酔をせずに削り歯型を採取して金属を被せるという話しをしていたのです。
当然、麻酔科を専攻している私にはその意味が理解できませんでした。その後一般歯科に就職した私は、大量の患者さんをさばく為に注射に次ぐ注射で機械的に虫歯を除去し、神経を除去して何かを被せる事ばかり続けていたのです。
今となれば情けない話ですが、それが治療だと思っていました。その後、神経を除去した歯は、殆ど駄目になっているという事実に接してどうやって神経を取らずに痛みを止める事が出来るのだろうかと考えたのです。
有名な歯科医師や大学で虫歯などを専門的に治療している歯科医師は、あまり局所麻酔という痺れさせて感じなくしてから虫歯の治療をしていないという事実。
極めつけは、治療した歯や口腔内は二度と虫歯にもならないし、歯周病も良くなり二度と悪くなることもない、そして一度治療した歯は、余程の事がない限り再治療もなく一生機能する、そして入れ歯などを入れても修理もせず、一生使えると豪語されている病院の話を聴いてからです。
そこでは、全国から開業医が研修に来られているようでした。
そこでの光景は、普通の方なら見たくない光景ではないかと思います。予審といいまして初診の患者さんを受け持ち診察し、どういう現状なのかお話しをお聞きしてからレントゲン検査や神経が生きているかなどの検査をしたりするのです。
又歯周病になっていないかなど調べる訳です。そして検査や問診にいい加減なところがあれば指導されて間違いやさらに調べなければならない事を指摘される訳です。
そして最初にやらされる処置は、なんと虫歯をきちんと取りなさい!という命令です。
基本的には注射は厳禁。
そして何とか虫歯を全部除去したと考えてインストラクターに確認してもらうと、取り残しを指摘され、あわてて又虫歯の除去に戻るという毎日だったそうです。
開業している歯科医師の話なのですよ!これが日本の現実かもしれないのですね。
意外と感染をしている歯質に巣食う病原体の塊である、虫歯を認識できていないのです。確かに大学では習いませんでしたし、ただ講義の中でぼんやりと理解していただけだったのです。
ですからいつも麻酔の注射してから虫歯を除去している歯科医師にとって、無麻酔で虫歯を取ることの困難さをここで自覚するのです。そして虫歯という病原体が手指の感覚でどういう風に感じられるのか理解するのです。
今では染色液がありますから取り残しなど少ないと思われますが、実際に取れたという銀歯を持ってきた患者さんの歯を見ますと、虫歯の取り残しを痛感いたします。
もし取れなくても中で拡がると神経を損傷し、しみるとか最悪の場合神経を取らなくてはならなくなります。
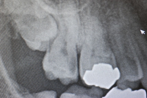
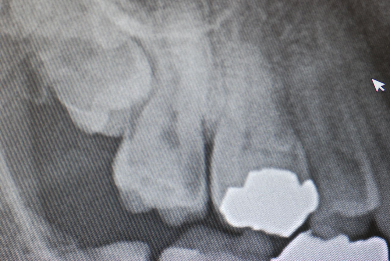
写真は典型的な取り残したまま銀歯を入れていた方のものです。よくぞ痛くならなかったものです。
意外と手間取り一時間以上かかりセメントを入れてとりあえず終了いたしました。神経が近いので傷つけて損傷すると助かる見込みが少なくなり、痛みが出て死んでしまうとか膿んでしまうこともあるのです。![570b1c06-s[1]](https://livedoor.blogimg.jp/netdental/imgs/6/0/60221eb2.jpg)
![6c09dc13-s[1]](https://livedoor.blogimg.jp/netdental/imgs/a/e/ae22e649.jpg)
![51a3ca37-s[1]](https://livedoor.blogimg.jp/netdental/imgs/f/a/fab4aee3.jpg)
![2ccac48b-s[1]](https://livedoor.blogimg.jp/netdental/imgs/3/a/3a75733b.jpg)
・・・・・・・・・・・・・・・・・・・・・・・・・・・・・・・・・・・・・・・・・・・・・・・・・・・・・・・・・・・・・・・
イサオ歯科クリニックはQ-lifeに登録しています。
株式会社QLife(キューライフ)に登録して商品をゲットし評価をお願いします。会員登録はこちらから
「川崎市の入れ歯ならイサオ歯科クリニックへ」
「顎関節症はイサオ歯科クリニックへ」
入れ歯のことなら入れ歯専門のイサオ歯科クリニックへ
・・・・・・・・・・・・・・・・・・・・・・・・・・・・・・・・・・・・・・・
211-0063
川崎市中原区小杉町1-527-4 メゾンゴールド1A
イサオ歯科クリニック
松下勲夫
TEL&FAX 044-744-1181
お口の中から差し歯、入れ歯、詰め物を追放しましょう!
口の中の病気を治し、病気を興さない医療を目指します。
二度とお口の中へ変なものを入れなくても済むように
予防に精進いたしましょう!安全な矯正、美容を目指しましょう!
・・・・・・・・・・・・・・・・・・・・・・・・・・・・・・・・・・・・・・・・・・・・・・・
![19990223_1404676109609037_1575616227221329437_n[1]](https://livedoor.blogimg.jp/netdental/imgs/8/b/8b8dce53-s.jpg)
・・・・・・・・・・・・・・・・・・・・・・・・・・・・・・・・・・・・・・・
211-0063
川崎市中原区小杉町1-527-4 メゾンゴールド1A
イサオ歯科クリニック
松下勲夫
TEL&FAX 044-744-1181
お口の中から差し歯、入れ歯、詰め物を追放しましょう!
口の中の病気を治し、病気を興さない医療を目指します。
二度とお口の中へ変なものを入れなくても済むように
予防に精進いたしましょう!安全な矯正、美容を目指しましょう!
・・・・・・・・・・・・・・・・・・・・・・・・・・・・・・・・・・・・・・・・・・・・・・・
![20046734_1404572412952740_8521271140763292506_n[1]](https://livedoor.blogimg.jp/netdental/imgs/b/0/b011e9ea-s.jpg)



・・・・・・・・・・・・・・・・・・・・・・・・・・・・・・・・・・・・・・・
211-0063
川崎市中原区小杉町1-527-4 メゾンゴールド1A
イサオ歯科クリニック
松下勲夫
TEL&FAX 044-744-1181
お口の中から差し歯、入れ歯、詰め物を追放しましょう!
口の中の病気を治し、病気を興さない医療を目指します。
二度とお口の中へ変なものを入れなくても済むように
予防に精進いたしましょう!安全な矯正、美容を目指しましょう!
・・・・・・・・・・・・・・・・・・・・・・・・・・・・・・・・・・・・・・・・・・・・・・・
神奈川県川崎市の歯科、イサオ歯科クリニックです。
2017.7.15.
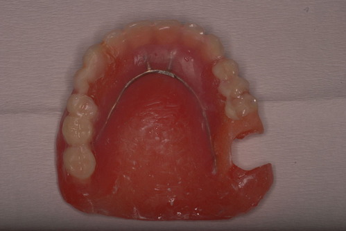
歯科で開業しているにもかかわらず、まともな入れ歯を作れない歯科医師の多い事に驚きます。
..........................................................................................
ある遠方より来院された初老の女性。ずっと同じ歯科医院にかよいながらどんどん歯を喪失。やがて保険の入れ歯を入れていたところ痛みや不愉快さを感じつつも、装着。
その後入れ歯に接している歯を喪失し、だんだんひどくなり最終的にその馴染みの歯科医院をあきらめ、評判がいいと言われている歯科をお友達より紹介を受け遠方の歯科医院を受診。
複数の歯科医師を擁する大型の歯科医院らしい。そこで院長先生と呼ばれる方が時間をかけて金属の入れ歯を作製する。と言ってもおそらく歯科技工士への丸投げだったと思われる。
その後に家族による検索やご自分で色々な歯科を訪ね歩くが今一信用できず、当院来院。どこの歯科医院も装着している高価な金属の入れ歯の欠点を指摘するが、ではご自分で作成した入れ歯で必ず使えて良く噛めるかどうかはお茶を濁すばかりだった、そうです。
拝見したところ、現在の状態で入れ歯を作製するのはかなり困難だと話し、最後の一本を根だけにして総義歯(総入れ歯)にされればなんら問題なく食べれますと断言。
何しろ、かなり前から完全補償をしていますから嘘をつけば料金をいただけないと誓っていますから、毎回めちゃくちゃ緊張しながら入れ歯を作製したきたのです。
ですから、リスクはわかるのです。
入れ歯の歯型を取るやり方は、故丸森健二先生主催の横浜臨床座談会で学び(盗み)今では、どちらかといえば近代口腔科学研究会を主宰されている、飯塚哲夫先生のやり方を踏襲させていただいています。
今では誰のやり方かもわからない程、その都度考えながらやっています。一番信用していただく方法は、現在使用している入れ歯を修理して噛めるとかはずれないとか痛くないようにしてあげることなのです。
でもかなりリスクがあり、金属の入れ歯(自費診療、高額)の場合修理困難な事が多く
修理できない事が多いのです。
ですから以前使わなかった安い保険の入れ歯などを持ってきてもらい、預かったりその場で修理して噛めるとか痛くないという風にしてあげると信用されます。
せこい患者さんになるとそのまま来なくなる方も多数いらっしゃいます。(笑い)
写真の方の高額な入れ歯を拝見するとまず喉の方向の入れ歯の位置が悪く吸着できていない。クラスプと言われる金属の歯を掴むものの形と材料も?でした。全体的に入れ歯のマージンを頬の筋肉で保持できるような形にできていないために吸着が悪いのです。
ですから、全然使用していない安い保険の義歯を使い修理して動かず、痛まず、咬めるようにしてあげると信用絶大になるのです。
補償するとか返金可能というのは、マーケッティング的手法ですが、歯科の治療ではリスクが多すぎてできない方が多いようです。
ただし、相当年月を経て同業者間での症例検討会などで思考を深めていないと困難なケースでは失敗し、信用失墜しますので用心が必要なのです。
それでもあえて完全補償をしない限り遠方から患者さんが来ることもないのです。
思うに歯科大学、歯学部での教育ははなはだしく劣悪で、役に立たずにあまり優れた指導者も少ないように思います。
それは、日本よりましでしょうが、日本人歯科医師が憧れるアメリカでもヨーロッパでも同じ感じを最近受けております。
優れた指導者に付き、マンツーマンで経験を学ぶのが一番なのですが、一度開業すると雑務に追われ学びに行く時間も取れないために、講習会というばか高い金額の講習会に行き座学をするしかありません。
でも座学で学べるのは医療行為ではなくあくまで知識です。
医療行為という病気を治す行為は、師匠に付き毎回毎回、指導されながら、盗みながらそして自ら考えながらしか技術的向上はないようです。
写真の入れ歯はボロボロの保険の入れ歯を何とか修理してお渡ししたものです。その後電話で尋ねましたが痛くもなく初めてご飯を食べられるようになったということでした。
dentistry
と言われる職人の技術も修行が必要なのです。そして医療行為はさらに難しいのです。





・・・・・・・・・・・・・・・・・・・・・・・・・・・・・・・・・・・・・・・・・・・・・・・・・・・・・・・・・・・・・・・
イサオ歯科クリニックはQ-lifeに登録しています。
株式会社QLife(キューライフ)に登録して商品をゲットし評価をお願いします。会員登録はこちらから
「川崎市の入れ歯ならイサオ歯科クリニックへ」
「顎関節症はイサオ歯科クリニックへ」
入れ歯のことなら入れ歯専門のイサオ歯科クリニックへ
・・・・・・・・・・・・・・・・・・・・・・・・・・・・・・・・・・・・・・・
211-0063
川崎市中原区小杉町1-527-4 メゾンゴールド1A
イサオ歯科クリニック
松下勲夫
TEL&FAX 044-744-1181
お口の中から差し歯、入れ歯、詰め物を追放しましょう!
口の中の病気を治し、病気を興さない医療を目指します。
二度とお口の中へ変なものを入れなくても済むように
予防に精進いたしましょう!安全な矯正、美容を目指しましょう!
・・・・・・・・・・・・・・・・・・・・・・・・・・・・・・・・・・・・・・・・・・・・・・・
神奈川県川崎市の歯科、イサオ歯科クリニックです。
2017.7.08.
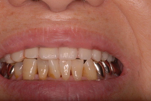
美容にこだわった患者の末路。
.................................
歯科でやることは殆ど傷害行為です。ですから虫歯や神経の処置や歯周病を治癒させてからしか何かを被せないと大変危険です。
病気を治癒させずに矯正治療や破壊行為として神経を取り白い被せ物を入れた患者の末路です。
17才で上下矯正治療
22才で隙間が気になり、上京後、健康な歯の神経を取り削り見た目をよくする。
34才、奥歯や少し前の方の銀歯をセラミックなどの白いものに変更。
現在妊娠中で経過観察も中止。来院されたのはセラミックが取れたからでしたが、崩壊が激しく抜歯しかないような状態でした。それよりすべての歯は重症の歯周病に罹患していておそらく全ての歯は数年で抜け落ち、総義歯(総入れ歯)しかないと判断されたかたです。(そうはさせたくないのですが、本人は自覚していません。)
凄く綺麗で色白の方ですが、芸能界の方にも似て、早く綺麗にする為に歯を殺しすぐ綺麗な歯を入れるという美容的な歯科で施術したようです。
東京に来て給料を歯科やもしかしたら美容にかけたのかもしれません。
大変残念です。
口腔科の医師の意識を持たない限り患者さんはかわいそうですし、尊敬される職業と思われることはないと思っています。
そういう意識を持つ歯科の医師や口腔科を目指す歯科の医師を見た事が私の原点かもしれません。
世間では大した技術でもないと思われているかもしれませんが、それさえもできないdentistが多いのも現実です。これはアメリカであろうと先進国、北欧であろうと同じような気がいたします。
う
日本では保険医という資格とそれでしか生計を立てられなかった医師や特に歯科医師の現実がありました。
充実した少しは尊敬される歯科の医師になる為には、保険医を辞退し、積極的に良い治療を行うしか道はないような気がいたしております。
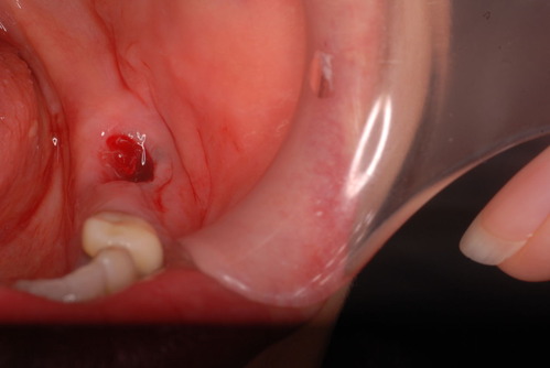
写真は殆ど崩壊し抜けたセラミックとその後修復してまだ経過監査中の歯の状態です。奥の歯は、重症の歯周病で注射もせずに抜いた歯です。




・・・・・・・・・・・・・・・・・・・・・・・・・・・・・・・・・・・・・・・・・・・・・・・・・・・・・・・・・・・・・・・
イサオ歯科クリニックはQ-lifeに登録しています。
株式会社QLife(キューライフ)に登録して商品をゲットし評価をお願いします。会員登録はこちらから
「川崎市の入れ歯ならイサオ歯科クリニックへ」
「顎関節症はイサオ歯科クリニックへ」
入れ歯のことなら入れ歯専門のイサオ歯科クリニックへ
・・・・・・・・・・・・・・・・・・・・・・・・・・・・・・・・・・・・・・・
211-0063
川崎市中原区小杉町1-527-4 メゾンゴールド1A
イサオ歯科クリニック
松下勲夫
TEL&FAX 044-744-1181
お口の中から差し歯、入れ歯、詰め物を追放しましょう!
口の中の病気を治し、病気を興さない医療を目指します。
二度とお口の中へ変なものを入れなくても済むように
予防に精進いたしましょう!安全な矯正、美容を目指しましょう!
・・・・・・・・・・・・・・・・・・・・・・・・・・・・・・・・・・・・・・・・・・・・・・・