2017.6.14.
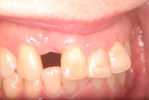
使えない義歯(入れ歯)に200万円かけていた患者さんが義歯制作を希望して来られました。
。。。。。。。。。。。。。。。。。。。
ずっと診療を受けていた老年の女性歯科医師から数年前に作成したもらった義歯です。
こういった普通に存在する義歯以外にも、コーヌスタイプあるいは、telescope typeとよばれる歯に薄い内冠と呼ばれる金属を装着し、よく噛めるという、茶ずつの蓋と茶ずつで動かなくする義歯(入れ歯)などもあります。
その後歯の形を変更したりする。
それから時間をかけて口の中を再現する。
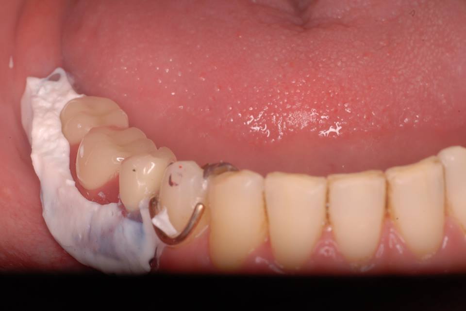
そして完成前の金属の入れ歯で最終的な印象という再現する歯の型を採得します。しかし、その後も完成してからも注意深く人工歯の高さを調整しなければならないのです。
![19059062_1371716182905030_3138818097263254369_n[1]](https://livedoor.blogimg.jp/netdental/imgs/f/4/f4359970-s.jpg)
![19030423_1371716156238366_904098082775452281_n[1]](https://livedoor.blogimg.jp/netdental/imgs/7/6/765d4b78-s.jpg)
下の写真の左の仁金歯は折れて入れ歯にくってけてあ
![19059728_1371716196238362_8123175277911350716_n[1]](https://livedoor.blogimg.jp/netdental/imgs/1/f/1f60715f-s.jpg)
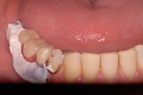
やっと歯が並んだ状態の義歯です。まだ完成していません。
![19149435_1372509136159068_5553523594613998100_n[1]](https://livedoor.blogimg.jp/netdental/imgs/3/2/32f6c31a-s.jpg)
![19059876_1372509416159040_828582388956646784_n[1]](https://livedoor.blogimg.jp/netdental/imgs/7/1/7100d1f7-s.jpg)
![19105753_1372510592825589_3741990088774184665_n[1]](https://livedoor.blogimg.jp/netdental/imgs/f/a/fac8a283-s.jpg)
・・・・・・・・・・・・・・・・・・・・・・・・・・・・・・・・・・・・・・・・・・・・・・・・・・・・・・・・・・・・・・・
イサオ歯科クリニックはQ-lifeに登録しています。
株式会社QLife(キューライフ)に登録して商品をゲットし評価をお願いします。会員登録はこちらから
「川崎市の入れ歯ならイサオ歯科クリニックへ」
「顎関節症はイサオ歯科クリニックへ」
入れ歯のことなら入れ歯専門のイサオ歯科クリニックへ
・・・・・・・・・・・・・・・・・・・・・・・・・・・・・・・・・・・・・・・
211-0063
川崎市中原区小杉町1-527-4 メゾンゴールド1A
イサオ歯科クリニック
松下勲夫
TEL&FAX 044-744-1181
お口の中から差し歯、入れ歯、詰め物を追放しましょう!
口の中の病気を治し、病気を興さない医療を目指します。
二度とお口の中へ変なものを入れなくても済むように
予防に精進いたしましょう!安全な矯正、美容を目指しましょう!
・・・・・・・・・・・・・・・・・・・・・・・・・・・・・・・・・・・・・・・・・・・・・・・






