¤Îµ»ö¤«¤é
Æþ¤ì»õ¤Î¹Ö±é²ñ¤Ë»²²Ã¤·¸å¤Ç¹Í¤¨¤¿¤³¤È¡£
¡¦¡¦¡¦¡¦¡¦¡¦¡¦¡¦¡¦¡¦¡¦¡¦¡¦¡¦¡¦¡¦¡¦¡¦¡¦¡¦¡¦¡¦¡¦¡¦¡¦¡¦¡¦¡¦¡¦
µÁ»õ¡ÊÆþ¤ì»õ¡Ë¤ÎÊÙ¶¯²ñ¤Ë¤¢¤Þ¤ê»²²Ã¤·¤Ê¤¯¤Ê¤Ã¤Æ¤¤¤¿¤Î¤Ï¡¢¤ª¤½¤é¤¯»õ¤ò¼º¤Ã¤¿¸å¤Î»ö¤ò¹Í¤¨¤Æ¤â°å³ØÅª¤Ë¹Í¤¨¤ë¤È¤½¤ì¤Ï»õ²Ê°å»Õ¤ÎÇÔË̤ǤϤʤ¤¤«¤È¹Í¤¨¤Æ¤¤¤¿¤«¤é¤«¤â¤·¤ì¤Þ¤»¤ó¡£
...»õ²Ê°å»Õ¤È¤¤¤¦¿¦¶È¤Ï¡¢¤ª¸ý¤ÎÃæ¤Ë²¿¤«Êª¤ò¤¤¤ì¤ë¤³¤È¤Ë¤è¤ê¤ª¶â¤ò²Ô¤¤¤Ç¤¤¤ë¤ï¤±¤Ç¤³¤ì¤ò˾¤ó¤Ç¤¤¤ë¿Í¤¬²Ì¤¿¤·¤Æ¤¤¤ë¤Î¤À¤í¤¦¤«¤È¹Í¤¨¤ë¤È¤½¤ì¤ÏÌÀÇò¤Ë°ã¤¦¤È»×¤¦¤Î¤Ç¤¹¡£
ÆüËܰå»Õ²ñ¤Î¥É¥ó¤È¸À¤ï¤ì¤¿¸ÎÉ𸫲ñĹ¤Ï¡¢»õ²Ê°å»Õ¤Î»ö¤ò¤Ê¤Ë¤ä¤éËÁÆÂ¤¹¤ë¸ÀÍÕ¤ò»È¤¤Ãæ°å¶¨¤Ç¤Î»õ²Ê°å»Õ¤ÎΩ¾ì¤òËØ¤É̵»ë¤·¤Æ¤¤¤¿¤è¤¦¤À¤Ã¤¿¤Î¤Ç¤¹¡£
¤½¤ì¤Ï°å»Õ¤À¤±¤Ç¤Ê¤¯ÉáÄ̤ÎÊý¤Î¸«Êý¤Ç¤¢¤ê¡¢Éµ¤¤ò¼£¤¹¤È¤¤¤¦¤è¤ê²¿¤«Êª¤òÆþ¤ì¤Æ¤ª¶â¤ò¤Õ¤ó¤À¤¯¤ë¾¦Çä¿Í¤Î¤è¤¦¤Ê¸«Êý¤ò¤·¤Æ¤¤¤¿¤«¤é¤Ç¤Ï¤Ê¤¤¤«¤È¹Í¤¨¤é¤ì¤Þ¤¹¡£
¤Ç¤¹¤¬¡¢°åÎÅÀ¤ò»ý¤ÄÊäÄÖʪ¡Êº¹¤·»õ¤äÆþ¤ì»õ¡Ë¤ò¹Í¤¨¤ë¤È¤ä¤Ï¤ê¤¢¤ëÄøÅÙÆñ¤·¤¤¤³¤È¤Ç¤â¤¢¤ë¤È¸½ºß¤Ï»×¤Ã¤Æ¤¤¤Þ¤¹¡£
¤½¤·¤Æ¤ä¤¬¤Æ¸ý¹Ð²Ê¤È¤¤¤¦°å»Õ¤È¤·¤Æ¤Î¼«³Ð¤ò»ý¤Æ¤Ð¡¢»õ¤òºï¤ë¤È¤¤¤¦¹Ô°Ù¤¬½ý³²¹Ô°Ù¤Ç¤¢¤ê¤¢¤Þ¤ê¤¹¤Ù¤¤³¤È¤Ç¤Ï¤Ê¤¤¤È¤¤¤¦¥¹¥¿¥ó¥¹¤Ë¤Ê¤ê¤Þ¤¹¡£
¤À¤«¤é¤³¤½Ãî»õ¤È¤¤¤¦Éµ¤¤ò´°Á´¤Ë½üµî¤·¤ÆºÆÈ¯¤µ¤»¤Ê¤¤¤è¤¦¤Ë¤·¤Ê¤±¤ì¤Ð¤Ê¤ê¤Þ¤»¤ó¤·¡¢±¿°¤¯¿À·Ð¤òÈ´¤«¤Ê¤±¤ì¤Ð¤Ê¤é¤Ê¤¤¤è¤¦¤Ë¤Ê¤Ã¤Æ¤¤¤¿¤È¤·¤Æ¤â¡¢È´¤«¤Ê¤¤¤Ç²¿¤È¤«¿À·Ð¤òÍî¤ÁÃ夫¤»Äˤߤò»ß¤á¡¢¤¢¤ëÄøÅ٤λþ´Ö¤ò¤«¤±¤Æ¤â¿À·Ð¤ò¼è¤é¤º¤ËÃî»õ¤ò¼£Ìþ¤µ¤»¤ëÊýË¡¤ò¼è¤ë¤Ù¤¤Ç¤Ï¤Ê¤¤¤«¹Í¤¨¤Æ¤¤¤Þ¤¹¡£¡ÊÃí¼Í¤ò¤»¤º¤Ë¿µ½Å¤ËÃî»õ¤ò¤È¤ë¤È¤¤¤¦¹Ô°Ù¡¢»¤¤ê¼è¤ë¤è¤¦¤Ê¹Ô°Ù¡¢ÌµÍý¤ò¤»¤º¤ËÄÃÀŤµ¤»¤ë¥»¥á¥ó¥È¤ò»È¤¤È¾Ç¯¸å¤ËºÆ¥Á¥ã¥ì¥ó¥¸¤·¤Æ´°Á´¤Ê½üµî¤ò¤µ¤»¤ë¡Ë
¤½¤·¤Æ¤½¤ì¤Ï¤¢¤ëÄøÅÙ²Äǽ¤Ç¤¹¡£
¤À¤«¤é¤³¤½Ãî»õ¤Î¼è¤ê»Ä¤·¤Ë¤è¤ë¿Ê¹Ô¤·¤¿»õ¿ñ±ê¡Ê»õ¤¬¤·¤ß¤ë¡¢Äˤ¤¡Ë¤¬Éݤ¤¤Î¤Ç¤¹¡£
»þ´Ö¤È¤Î´Ø·¸¤â¤¢¤ë¤·¡¢Êݸ±¤Îɾ²Á¤¬¤Û¤Ü¤Ê¤¤¤È¤¤¤¦·ò¹¯Êݸ±¾å¤ÎÌäÂê¤â¤¢¤ê¤Þ¤¹¤¬¡¢°å»Õ¤È¹Í¤¨¤ì¤ÐÃî»õ¤òºÆÈ¯¤µ¤»¤ë¤Î¤ÏǽÎϤ¬Ìµ¤¤¤È¹Í¤¨¤Æ¤â¤¤¤¤¤Î¤Ç¤¹¡£
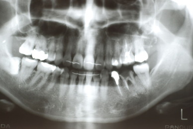
ºÇ¶á¡¢¶â°¤¬¼è¤ì¤¿¤È¤«µÍ¤áʪ¤¬¼è¤ì¤¿¤È¤¤¤¦´µ¼Ô¤µ¤ó¤ò¤ß¤Æ¤Þ¤ºµ¿¤¦¤Î¤Ï¡¢Ãî»õ¤È¤¤¤¦¤Ð¤¤¶Ý¤Î¼è¤ê»Ä¤·¤Ê¤Î¤Ç¤¹¡£
¤½¤·¤Æ»õ¼þɤȤ¤¤¦Éµ¤¤ËÂФ·¤Æ¤âËØ¤É¤Î¿Í¤¬Øí´µ¤·¤Æ¤¤¤ë¤Î¤Ë¤â´Ø¤ï¤é¤º¸¡ºº¤â¼£ÎŤâ¼õ¤±¤Æ¤¤¤Ê¤¤»ö¤òÍ«¤¤¤Þ¤¹¡£
°åÎŤȤ·¤Æ»õ¼þɤò¹Í¤¨¤ë¤È¡¢´µ¼Ô¤µ¤ó¤Ë¤¿¤ÀËᤤ¤Æ¤¯¤À¤µ¤¤¤Ç¤Ï¾ð¤±¤Ê¤¤¤È¤¤¤¦¤·¤«¤¢¤ê¤Þ¤»¤ó¡£¤¢¤ëÄøÅÙÀµ³Î¤Ê¸¡ºº¤ò¤·¤Æ¼£ÎÅÊý¿Ë¤ò¤¿¤ÆÀâÆÀ¤¹¤ë¤³¤È¤¬É¬ÍפǤ¹¡£
¤½¤·¤Æ»õ¤Î¿ô¤¬¾¯¤Ê¤¯¤Ê¤ì¤Ð¤Ê¤ëÄø¡¢¥×¥é¡¼¥¯¥³¥ó¥È¥í¡¼¥ë¤È¤¤¤¤¤Þ¤·¤ÆÉµ¤¤Î¸¶°øÊª¼Á¤ò½üµî¤¹¤ë¤Î¤¬Æñ¤·¤¯¤Ê¤ë¤Î¤Ç¤¹¡£
¤À¤«¤é¡¢Ãî»õ¤Ç¤â¤½¤·¤Æ¸µ¤ËÌá¤é¤Ê¤¤¹ü¤ÎµÛ¼ý¤ò¤¤¿¤¹»õ¼þɤǤ⡢¥Ö¥é¥·¤Ë¤è¤ë¸ú²ÌŪ¤ÊÊýË¡¤ò¥Þ¥¹¥¿¡¼¤µ¤»¤Ê¤¤¤ÈÂçÊѤʤó»ö¤Ë¤Ê¤ë¤È¤¤¤¦»ö¤òÍý²ò¤µ¤»¡¢¸ú²ÌŪ¤ÊÊýË¡¤ò¤ä¤é¤»Â³¤±¤µ¤»¤ë¤³¤È¤³¤½Âç»ö¤Ê¤Î¤Ç¤¹¡£
¤À¤«¤é¤³¤ì¤ò¼«³Ð¤µ¤»¤Æ¤ä¤é¤»¤ëÀâÆÀ¤Îµ»½Ñ¤³¤½¤¬»õ²Ê°å»Õ¤ÎǽÎϤǤ¢¤ë¤È¤µ¤¨»×¤ï¤ì¤ë¤Î¤Ç¤¹¡£
¿Í¤òÀâÆÀ¤¹¤ë¤³¤È¤ÎÆñ¤·¤µ¤òÄË´¶¤¤¤¿¤·¤Þ¤¹¡£
¤ÈƱ»þ¤Ë°å»Õ¤¬¼êÊü¤·¡¢¤ä¤ë¤³¤È¤¬¤Ê¤¯¤Ê¤Ã¤¿¸ý¹Ð¤ä´éÌ̤Îɵ¤¤Î¼£ÎÅ¡¢¹üÀÞ¤äµÞÀ³°½ý¡¢¤Î¤¦Ë¦Å¦½Ð¡¢´ñ·Á¡¢¿°³Ü¸ý³¸Îö¡Ê¤ß¤Ä¸ý¡ËÀåÄ˾ɡ¢³ÜÉÔÁ´¾É¡¢¸ý¹Ð³°²Ê¤òÀì¹¶¤·¤¿Êý¤Ê¤é¤Ð°À¼ðáç¤Ê¤É¤â½üµî¤·¤¿¤ê¤·¤Æ¤¤¤ë¤ï¤±¤Ç¤¹¤«¤é¡¢¤½¤ì¤Ë¶á¤¤¹Ô°Ù¤â¤Ç¤¤ë¤è¤¦¤Ê»õ²Ê°å»Õ¤òºî¤ê½Ð¤»¤Ð¡¢»õ²Ê¤Î°å»Õ¤Ç¤Ï¤Ê¤¯¸ý¹Ð²Ê¤Î°å»Õ¤È¤·¤ÆÇ§¼±¤µ¤»¤ë¤Î¤Ç¤Ï¤Ê¤¤¤«¤È»×¤Ã¤Æ¤·¤Þ¤¦¤Î¤Ç¤¹¡£
¤³¤¦¤Ê¤ë¤È¤ä¤Ï¤ê°å³ØÉô¤Ç¶µ°é¤ò¼õ¤±¤¿¿Í´Ö¤¬»õ²Ê¤ò¤µ¤é¤ËÀì¹¶¤·¤Æ¡¢¸ý¹Ð²Ê¤Ë¤Ê¤ë¤·¤«¤Ê¤¤¤è¤¦¤Êµ¤¤â¤·¤Þ¤¹¤¬¡¢¸½¼ÂŪ¤Ë¤Ï°å³ØÉô¤ò´¶È¤·¤Æ¸ý¹Ð³°²Ê¤òÀì¹¶¤¹¤ë°å»Õ¤Ï¤¤¤Ê¤¤¤è¤¦¤Ç¤¹¤«¤é¡¢»õ²Ê°å»Õ¤¬¤Ê¤ë¤·¤«¤Ê¤¤¤è¤¦¤Ç¤¹¡£
¥è¡¼¥í¥Ã¥Ñ¤Ç¤â°ÊÁ°¤Ï¸ý¹Ð²Ê¤È¤¤¤¦²Ê¤òÀì¹¶¤¹¤ë°å»Õ¤â¤¤¤¿¤è¤¦¤Ç¤¹¤¬¡¢ÆüËÜ¤ÈÆ±¤¸¤è¤¦¤Ë¸½ºß¤ÏËØ¤É¤¤¤Ê¤¤¤è¤¦¤Ç¤¹¡£
¤Ç¤¹¤«¤éÆüËܤǤϻõ²Ê°å»Õ¤¬¸ý¹Ð³°²Ê¤òÀì¹¶¤·¤Æ¤¤¤ë¤Î¤Ç¤¹¤¬¡¢ÌäÂê¤Ï»õ²Ê°ìÈ̤ؤζ½Ì£¤¬¤Ê¤¤¤Î¤«¤Ç¤¤Ê¤¤¤Î¤«Á´¤Æ¤òÌÖÍ夹¤ëǽÎϤò»ý¤ÄÊý¤¬¾¯¤Ê¤¤¤È¤¤¤¦»ö¼Â¤Ç¤¹¡£
»õ²Ê°å»Õ¤«¤é¸ý¹Ð²Ê¤Î°å»Õ¤Ø¤È¥Ñ¥é¥À¥¤¥àÊÑ´¹¤ò¤Ç¤¤Ê¤±¤ì¤Ð¡¢À¤´Ö¤«¤éɾ²Á¤µ¤ì¤ë¤³¤È¤Ï̵¤¤¤è¤¦¤Êµ¤¤¬¤·¤Æ¤¤¤Þ¤¹¡£
ɵ¤¤ò¼£¤¹¤³¤È¤³¤½°å»Õ¤Î̳¤á¤Ç¤¢¤ê¤½¤Î¾¤Î»ö¤ÏÉÕ°Éʤ˶ᤤ¤Î¤Ç¤¹¤«¤é¡£








