¿ÀÆàÀÀîºê»Ô¤Î»õ²Ê¡¢¥¤¥µ¥ª»õ²Ê¥¯¥ê¥Ë¥Ã¥¯¤Ç¤¹¡£
2015.10.20.
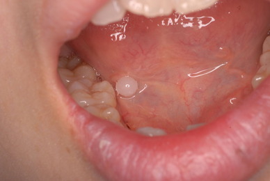
²¼³Ü²£¸þ¤¤Î¿ÆÉÔÃΤòºòÆüÈ´»õ¤·¤¿Êý¤ÎËÜÆü¤Î¾õÂ֤Ǥ¹¡£
..............................................................................................
°ì±þÌô¡Ê¾Ã±êÄÃÄ˺ޡˤò½Ð¤·¤Æ¤¤¤Þ¤·¤¿¤¬¡¢°ìγ¤â»ÈÍѤ·¤Æ¤¤¤Þ¤»¤ó¡£
Äˤߤâ¼ð¤ì¤â¤Ê¤¤¾õÂ֤Ǥ¹¡£Ë¥¤Ã¤Æ¤¤¤Ê¤¤¤Î¤ÇÈ´¤¤¤¿½ê¤ÏϪ½Ð¤·¤Æ¤¤¤Þ¤¹¡£¤À¤«¤é¤³¤½¼ð¤ì¤Ê¤¤¤Î¤Ç¤¹¤Í¡£Ë¥¹ç¤¹¤ë¤ÈÆâ½Ð·ì¤·¤Æ¼ð¤ì¤ë¤Î¤Ç¤¹¡£
»Äǰ¤Ê¤³¤È¤Ë½ý¸ý¤Ï³«¤¤¤Æ¤¤¤Þ¤·¤¿¡£
A
¡Á᤯æ±±¤µ¤»¤ë»ö¡£
¢¹ü¤ä»õ·Ô¤òÀÚ¤é¤Ê¤¤»ö
£Ë¥¹ç¤·¤Ê¤¤»ö¡£
¤¥Û¥á¥ª¥Ñ¥·¡¼¤Îremedy¤ò»È¤¦»ö
¤¿¤À¤·´¶À÷¤·¤ÆÈ¯Ç®¤·¤¿¾ì¹ç¤Ï¨ºÂ¤Ë¹³À¸Êª¼Á¤òÅêÍ¿¤·¤¿Êý¤¬¼£Ìþ¤ÏÁᤤ¤Ç¤¹¤Í¡£
´ðËÜŪ¤Ë¤Ï¹³À¸Êª¼Á¤Ï¿ÆÉÔÃΤÎÈ´»õ¤Ç¤â¼ê½Ñ¤Ç¤âËØ¤É½Ð¤·¤¿¤³¤È¤Ï¤Ê¤¤¤Î¤Ç¤¹¡£
¾¯¤·¹³À¸Êª¼Á¤Î½Ð¤·²á¤®¤Ç¤Ï¤Ê¤¤¤«¤Èº£¤Îɱ¡¤ä¿ÇÎŽê¤Ç¤Î¡¢½èÊý¤Ëµ¿Ìä¤ò»ý¤Ã¤Æ¤¤¤Þ¤¹¤Î¤Ç¡£





....................................................................................................
²¼³Ü²£¸þ¤¤Î¿ÆÉÔÃΤòºòÆüÈ´»õ¤·¤¿Êý¤ÎËÜÆü¤Î¾õÂ֤Ǥ¹¡£
°ì±þÌô¡Ê¾Ã±êÄÃÄ˺ޡˤò½Ð¤·¤Æ¤¤¤Þ¤·¤¿¤¬¡¢°ìγ¤â»ÈÍѤ·¤Æ¤¤¤Þ¤»¤ó¡£
Äˤߤâ¼ð¤ì¤â¤Ê¤¤¾õÂ֤Ǥ¹¡£Ë¥¤Ã¤Æ¤¤¤Ê¤¤¤Î¤ÇÈ´¤¤¤¿½ê¤ÏϪ½Ð¤·¤Æ¤¤¤Þ¤¹¡£¤À¤«¤é¤³¤½¼ð¤ì¤Ê¤¤¤Î¤Ç¤¹¤Í¡£Ë¥¹ç¤¹¤ë¤ÈÆâ½Ð·ì¤·¤Æ¼ð¤ì¤ë¤Î¤Ç¤¹¡£
»Äǰ¤Ê¤³¤È¤Ë½ý¸ý¤Ï³«¤¤¤Æ¤¤¤Þ¤·¤¿¡£
A
¡Á᤯æ±±¤µ¤»¤ë»ö¡£
¢¹ü¤ä»õ·Ô¤òÀÚ¤é¤Ê¤¤»ö
£Ë¥¹ç¤·¤Ê¤¤»ö¡£
¤¥Û¥á¥ª¥Ñ¥·¡¼¤Îremedy¤ò»È¤¦»ö
¤¿¤À¤·´¶À÷¤·¤ÆÈ¯Ç®¤·¤¿¾ì¹ç¤Ï¨ºÂ¤Ë¹³À¸Êª¼Á¤òÅêÍ¿¤·¤¿Êý¤¬¼£Ìþ¤ÏÁᤤ¤Ç¤¹¤Í¡£
´ðËÜŪ¤Ë¤Ï¹³À¸Êª¼Á¤Ï¿ÆÉÔÃΤÎÈ´»õ¤Ç¤â¼ê½Ñ¤Ç¤âËØ¤É½Ð¤·¤¿¤³¤È¤Ï¤Ê¤¤¤Î¤Ç¤¹¡£
¾¯¤·¹³À¸Êª¼Á¤Î½Ð¤·²á¤®¤Ç¤Ï¤Ê¤¤¤«¤Èº£¤Îɱ¡¤ä¿ÇÎŽê¤Ç¤Î¡¢½èÊý¤Ëµ¿Ìä¤ò»ý¤Ã¤Æ¤¤¤Þ¤¹¤Î¤Ç¡£

..........................................................................
211-0063
Àîºê»ÔÃæ¸¶¶è¾®¿ùÄ®1-527-4 ¥á¥¾¥ó¥´¡¼¥ë¥É1A¡¡
¥¤¥µ¥ª»õ²Ê¥¯¥ê¥Ë¥Ã¥¯
¾¾²¼·®É×
¥¤¥µ¥ª»õ²Ê¥¯¥ê¥Ë¥Ã¥¯¤ÏQ-life¤ËÅÐÏ¿¤·¤Æ¤¤¤Þ¤¹¡£
³ô¼°²ñ¼ÒQLife(¥¥å¡¼¥é¥¤¥Õ)¤ËÅÐÏ¿¤·¤Æ¾¦Éʤò¥²¥Ã¥È¤·É¾²Á¤ò¤ª´ê¤¤¤·¤Þ¤¹¡£²ñ°÷ÅÐÏ¿¤Ï¤³¤Á¤é¤«¤é
¡ÖÀîºê»Ô¤ÎÆþ¤ì»õ¤Ê¤é¥¤¥µ¥ª»õ²Ê¥¯¥ê¥Ë¥Ã¥¯¤Ø¡×
¡Ö³Ü´ØÀá¾É¤Ï¥¤¥µ¥ª»õ²Ê¥¯¥ê¥Ë¥Ã¥¯¤Ø¡×
¡¦¡¦¡¦¡¦¡¦¡¦¡¦¡¦¡¦¡¦¡¦¡¦¡¦¡¦¡¦¡¦¡¦¡¦¡¦¡¦¡¦¡¦¡¦¡¦¡¦¡¦¡¦¡¦¡¦¡¦¡¦¡¦¡¦¡¦¡¦¡¦¡¦¡¦¡¦¡¦¡¦¡¦¡¦¡¦¡¦¡¦¡¦¡¦¡¦¡¦
TMâÔÁÛ
http://tm-meisou.jp/
Æâ´ÑË¡
http://www.shirokanedai-naikan.com/about/
°æ·êƬÉô»ÉÍíÎÅË¡¡Ê¼«Î§¿À·ÐÌȱÖÎÅË¡¡Ë
http://www.geocities.jp/seiketusiraku/
ÆüËܥۥꥹ¥Æ¥Ã¥¯°å³Ø¶¨²ñ
http://www.holistic-medicine.or.jp/
ÆüËܥۥᥪ¥Ñ¥·¡¼°å³Ø²ñ
http://www.jpsh.jp/
NLP
http://ja.wikipedia.org/wiki/%E7%A5%9E%E7%B5%8C%E8%A8%80%E8%AA%9E%E3%83%97%E3%83%AD%E3%82%B0%E3%83%A9%E3%83%9F%E3%83%B3%E3%82%B0
¤ª¶â¤ÎǺ¤ß¤Ë´Ø¤·¤Æ¤Ï
¥Ð¥ê¤ÎÂçÉÙ¹ë¡Ê(¾Ð)¡Ë¤Ëʹ¤¤Þ¤·¤ç¤¦¡ª
http://anikiwakyo.jp/
****************************************
¤ª¸ý¤ÎÃæ¤«¤éº¹¤·»õ¡¢Æþ¤ì»õ¡¢µÍ¤áʪ¤òÄÉÊü¤·¤Þ¤·¤ç¤¦¡ª
¸ý¤ÎÃæ¤Îɵ¤¤ò¼£¤·¡¢Éµ¤¤ò¶½¤µ¤Ê¤¤°åÎŤòÌܻؤ·¤Þ¤¹¡£
ÆóÅ٤Ȥª¸ý¤ÎÃæ¤ØÊѤʤâ¤Î¤òÆþ¤ì¤Ê¤¯¤Æ¤âºÑ¤à¤è¤¦¤Ë
ͽËɤËÀº¿Ê¤¤¤¿¤·¤Þ¤·¤ç¤¦¡ª°ÂÁ´¤Ê¶ºÀµ¡¢ÈþÍÆ¤òÌܻؤ·¤Þ¤·¤ç¤¦¡ª
¡¦¡¦¡¦¡¦¡¦¡¦¡¦¡¦¡¦¡¦¡¦¡¦¡¦¡¦¡¦¡¦¡¦¡¦¡¦¡¦¡¦¡¦¡¦¡¦¡¦¡¦¡¦¡¦¡¦¡¦¡¦¡¦¡¦¡¦¡¦¡¦¡¦¡¦¡¦¡¦¡¦¡¦¡¦¡¦¡¦¡¦¡¦¡¦¡¦¡¦¡¦¡¦¡¦¡¦¡¦¡¦¡¦¡¦¡¦¡¦¡¦¡¦¡¦¡¦






![12096502_884816654928321_7932819104519815_n[1]](https://livedoor.blogimg.jp/netdental/imgs/b/d/bd27825c-s.jpg)
![13134_884816668261653_6396611885193663403_n[1]](https://livedoor.blogimg.jp/netdental/imgs/5/b/5b7d926e-s.jpg)
![12140638_884816678261652_438955386784340322_n[1]](https://livedoor.blogimg.jp/netdental/imgs/f/e/fe559105-s.jpg)
![12144916_884813474928639_8652104209736954143_n[1]](https://livedoor.blogimg.jp/netdental/imgs/8/9/890c9b25-s.jpg)
![12072726_884813484928638_1393358740321374479_n[1]](https://livedoor.blogimg.jp/netdental/imgs/1/b/1b6d2916-s.jpg)





![12115837_884897548253565_7353969107866028322_n[1]](https://livedoor.blogimg.jp/netdental/imgs/3/1/31a74111-s.jpg)
![10996285_884897641586889_9054493505518563632_n[1]](https://livedoor.blogimg.jp/netdental/imgs/e/f/ef7c0699-s.jpg)
![12065529_884799154930071_4118325655057777123_n[1]](https://livedoor.blogimg.jp/netdental/imgs/b/7/b75aa1cd.jpg)
![12112348_884778681598785_2155466117443972137_n[1]](https://livedoor.blogimg.jp/netdental/imgs/2/3/2363fa4f-s.jpg)
![12096527_884778724932114_2955093909574162311_n[1]](https://livedoor.blogimg.jp/netdental/imgs/3/b/3bee8f39-s.jpg)
![12122595_884778771598776_3479903311289300944_n[1]](https://livedoor.blogimg.jp/netdental/imgs/3/e/3e262b2b-s.jpg)
![12088396_884778741598779_1818095652546887004_n[1]](https://livedoor.blogimg.jp/netdental/imgs/6/4/6432a912-s.jpg)