神奈川県川崎市の歯科、イサオ歯科クリニックです。
2015.6.01.
普通の方が認識している歯科の病気と言いますと、多分、虫歯というばい菌の侵入によりできた歯の病巣(ばい
菌の塊り)ぐらいしか認識されてはいないと思います。それによりしみたり痛みが出てきて受診となりがちです。
・・・・・・・・・・・・・・・・・・・・・・・・・・・・・・・・・・・・・・・・・・・・・・・・・・・・・・・・
あとは、歯周病という歯を支えている骨が溶ける病気を少し認識されだしてきたぐらいですか。
しかし、病気の原因であるプラークが取れていない為に虫歯や歯周病予備軍の方はめちゃくちゃ多いのです。
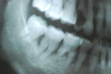
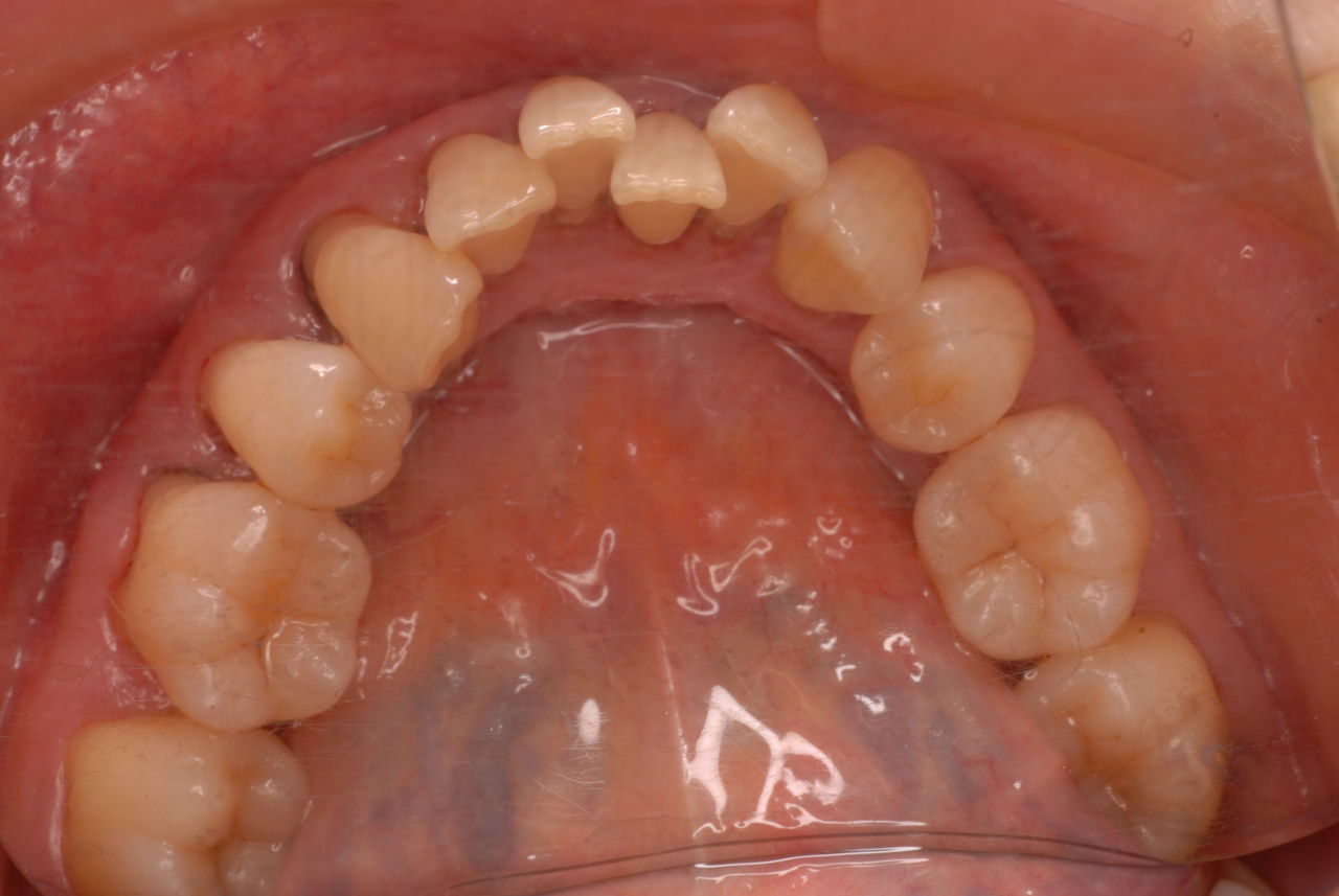
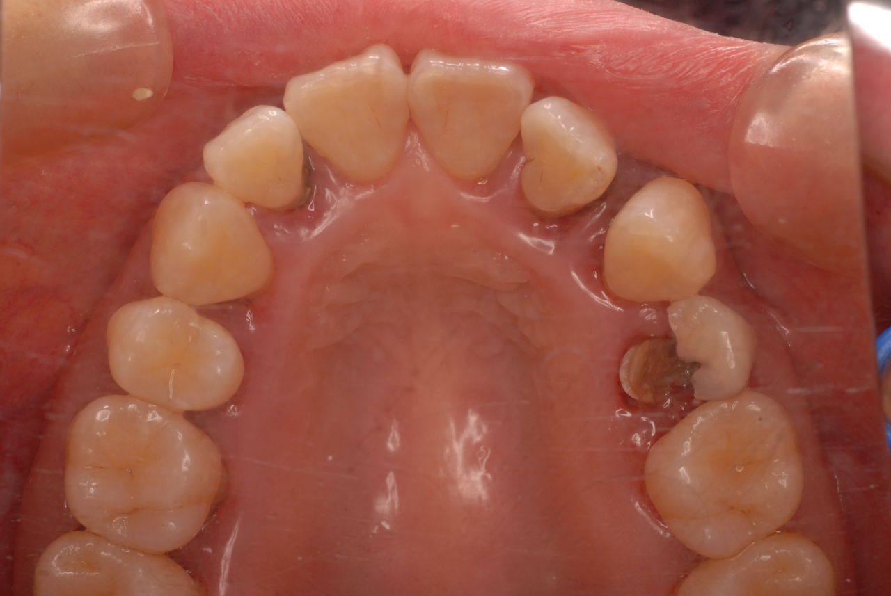
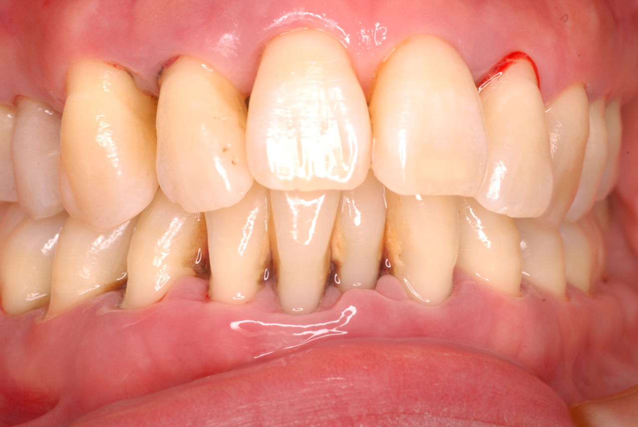
ある方の例です。親不知が痛くなってきました。一見問題ないようです。でも歯周病を常に治療している優れた歯科医師ならば、乾燥させてみた歯茎の色の変化で殆ど歯周病罹患部を指摘できるそうです。
検査をすれば恐ろしいほどの状態だといえるのです。10年後は虫歯と歯周病で残っている歯は何本なのか心配になってきました。
歯磨きではなく、歯の間、そして歯周ポケットと呼ばれる歯と歯肉の間の溝の清掃をできる能力を持つ必要性があるのです。
これができていない状態で何かを被せたり、詰めたりするから再発し加速度的に口の中は崩壊していくのです。
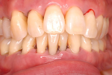
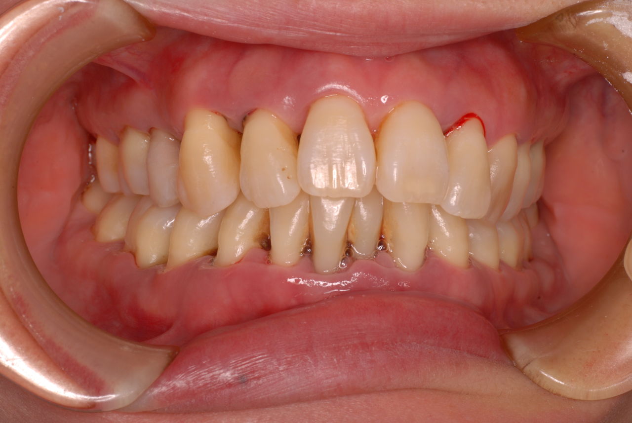
初診から数週間後大分よくなったとはいえまだまだ簡単な検査でも血だらけなのですね。
・・・・・・・・・・・・・・・・・・・・・・・・・・・・・・・・・・・・・・・
211-0063
川崎市中原区小杉町1-527-4 メゾンゴールド1A
イサオ歯科クリニック
松下勲夫
イサオ歯科クリニックはQ-lifeに登録しています。
株式会社QLife(キューライフ)に登録して商品をゲットし評価をお願いします。会員登録はこちらから
「川崎市の入れ歯ならイサオ歯科クリニックへ」
「顎関節症はイサオ歯科クリニックへ」
・・・・・・・・・・・・・・・・・・・・・・・・・・・・・・・・・・・・・・・・・・・・・・・・・・
TM瞑想
http://tm-meisou.jp/
内観法
http://www.shirokanedai-naikan.com/about/
井穴頭部刺絡療法(自律神経免疫療法)
http://www.geocities.jp/seiketusiraku/
日本ホリステック医学協会
http://www.holistic-medicine.or.jp/
日本ホメオパシー医学会
http://www.jpsh.jp/
NLP
http://ja.wikipedia.org/wiki/%E7%A5%9E%E7%B5%8C%E8%A8%80%E8%AA%9E%E3%83%97%E3%83%AD%E3%82%B0%E3%83%A9%E3%83%9F%E3%83%B3%E3%82%B0
お金の悩みに関しては
バリの大富豪((笑))に聞きましょう!
http://anikiwakyo.jp/
****************************************
お口の中から差し歯、入れ歯、詰め物を追放しましょう!
口の中の病気を治し、病気を興さない医療を目指します。
二度とお口の中へ変なものを入れなくても済むように
予防に精進いたしましょう!安全な矯正、美容を目指しましょう!
・・・・・・・・・・・・・・・・・・・・・・・・・・・・・・・・・・・・・・・・・・・・・・・・・・・・・・・・・・・・・・・・


















