神奈川県川崎市の歯科、イサオ歯科クリニックです。
2014.11.29.
入れ歯はやはり難しいですね。
。。。。。。。。。。。。。。。。。。。。。。。。。。。。。。。。。。
入れ歯が嫌ならすぐインプラントというのも、価格や健康な骨に穴を開けるという恐ろしさから、あるいは
数々の報道や消費者センターへの苦情からもうかがえるようにかなり患者さんは、かなり懐疑的ですね。
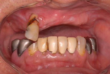
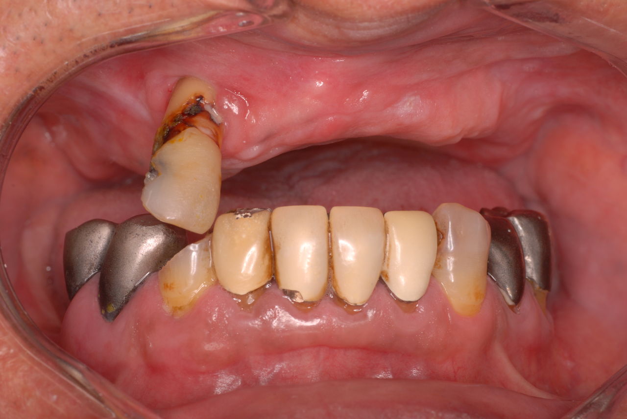
今回の方は、何十年にもわたりやすい保険の入れ歯で苦労したのです。それで自分で修理しながら使用していたという猛者でした。
所が、見た目も悪くこれでどうやって人と会っていたのか、食べていたのか皆目想像できない方でした。
..............................................................................................
カビか何かが入り込んでいる異様な入れ歯でした。

上の歯は一本がブラブラでしたね。
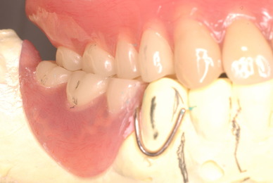
カビのような汚い部分を除去した直後です。
下顎です。
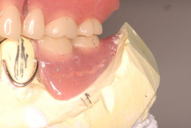
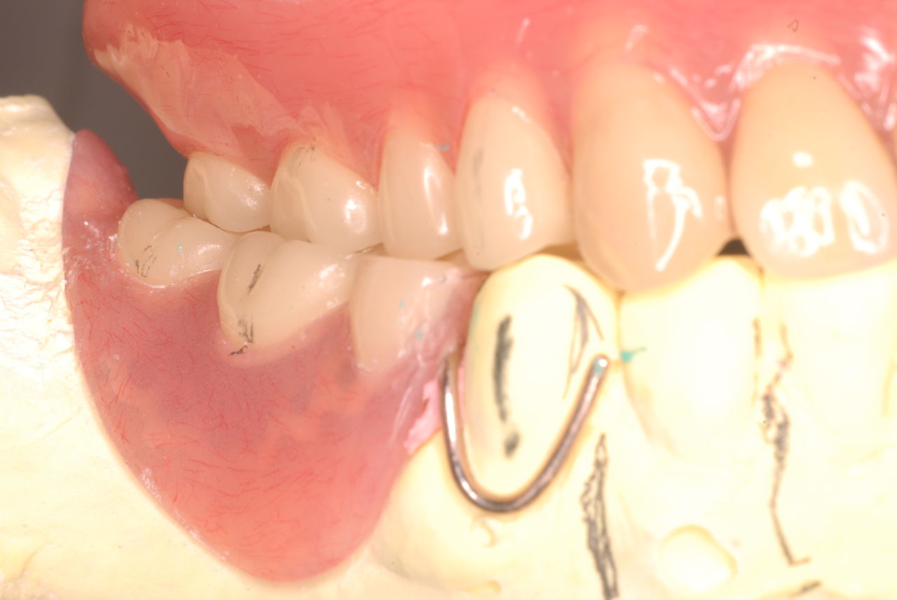
上の総義歯はまっったくはずれませんでした。下顎の入れ歯では若干痛みが出そうなので噛み合わせの調整をしています。口腔内では時間がかかりすぎるので器械に付けて調整しています。
下顎が右にシフトしているので噛み合わせはとても慎重にしました。下の方が頬側にないと安定せず噛めないのです。
左側の噛み合わせはまともにできます。


TM瞑想
http://tm-meisou.jp/
内観法
http://www.shirokanedai-naikan.com/about/
井穴頭部刺絡療法(自律神経免疫療法)
http://www.geocities.jp/seiketusiraku/
日本ホリステック医学協会
http://www.holistic-medicine.or.jp/
日本ホメオパシー医学会
http://www.jpsh.jp/
NLP
http://ja.wikipedia.org/wiki/%E7%A5%9E%E7%B5%8C%E8%A8%80%E8%AA%9E%E3%83%97%E3%83%AD%E3%82%B0%E3%83%A9%E3%83%9F%E3%83%B3%E3%82%B0
お金の悩みに関しては
バリの大富豪((笑))に聞きましょう!
http://anikiwakyo.jp/
・・・・・・・・・・・・・・・・・・・・・・・・・・・・・・・・・
株式会社QLife(キューライフ)に登録して商品をゲットし評価をお願いします。会員登録はこちらから
「川崎市の入れ歯なら新丸子西口歯科医院へ」
「顎関節症は新丸子西口歯科医院へ」
・・・・・・・・・・・・・・・・・・・・・・・・・・・・・・・・・・・・・・・・・・・・・・・・・・
211-0063
川崎市中原区小杉町1-527-4 メゾンゴールド1A












