2014.10.22.
平成3年に治療した患者さんが定期健診にいらっしゃいました。
今のところ一本も悪くなった所はありません。
上顎には本人から見て左に一本、右に二本の歯の喪失があり取り外し式の入れ歯を入れていらっしゃいました。
どうにも発音が悪いという事とレントゲンでは右上の歯が捻転(ねじれている)していて形が悪いという事で来院されました。
当時の写真がないのでX線写真と模型を示します。
写真右上の歯が曲がっています。 下の写真の上の歯がありません。
平成3年8月5日の日付けが見えます。
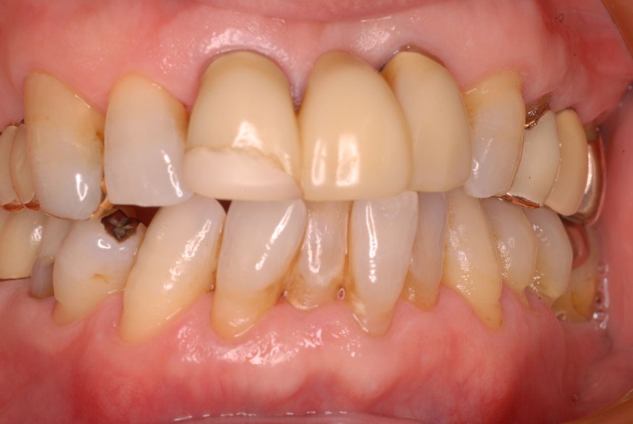
本人では上の左の歯の曲がりを直し、右側は裏側のみ金属にしています。
写真左上の糸切り歯は裏側のみ削っていますから金属も見えませんね。
平成20年のレントゲン写真です。写真の左上と前の方がつながれています。ゴールドクラウンとプラスチックで見える所はカバーしています。
一部前歯がぶつかって欠けたので5年程前に既成品でカバーしました。それで少し先端が変色しているように見えます。
20年以上たってもびくともしないものなのですね。ブラッシングの重要性を強く感じます。当時はお金がないということで超破格のダンピングで
作製しました。(あ〜安くし過ぎたな〜、笑い)
破折したところをその場で修理して即席の修理でした。やはり5年もたつと変色が目立ちます。



・・・・・・・・・・・・・・・・・・・・・・・・・・・・・・・・・・・・・・・・・・・・・・・・・・・・・・・
新丸子西口歯科はデンターネット
に参加してます。皆さんのおかげで、川崎中原区で29位になっています。ありがとうございます。
「新丸子西口歯科、良いね」と思って頂ける方はこちら
からデンターネットに行って「新丸子西口歯科」の「HP」というボタンをクリックして下さい。投稿も大募集中です!
株式会社QLife(キューライフ) に登録して商品をゲットし評価をお願いします。会員登録はここから
*******************************************
お口の中から差し歯、入れ歯、詰め物を追放しましょう!
口の中の病気を治し、病気を興さない医療を目指します。
二度とお口の中へ変なものを入れなくても済むように
予防に精進いたしましょう!安全な矯正、美容を目指しましょう!
211-0063
川崎市中原区小杉町1-527-4 メゾンゴールド1A
新丸子西口歯科
松下勲夫
TEL&FAX 044-744-1181
「川崎市の入れ歯なら新丸子西口歯科医院へ」
「顎関節症は新丸子西口歯科医院へ」
「神奈川県入れ歯・義歯センター・川崎市中原区新丸子の歯科医院 」
******************************************
![10612590_704691229607532_74289155154736432_n[1]](https://livedoor.blogimg.jp/netdental/imgs/b/5/b530297d-s.jpg)

![10394551_697324593677529_6343893067441191900_n[1]](https://livedoor.blogimg.jp/netdental/imgs/b/8/b80174a3-s.jpg)
![7573_697324557010866_8008554673163782833_n[1]](https://livedoor.blogimg.jp/netdental/imgs/5/0/50fe86f6-s.jpg)
![10489779_697188640357791_1342417744695081484_n[1]](https://livedoor.blogimg.jp/netdental/imgs/b/d/bd886e82-s.jpg)
![1422599_697188667024455_7874383323907813164_n[1]](https://livedoor.blogimg.jp/netdental/imgs/4/5/4524a6b0-s.jpg)
![10592816_696971253712863_6519614321983294741_n[1]](https://livedoor.blogimg.jp/netdental/imgs/9/4/94dbc81e-s.jpg)