入れ歯を入れるという敗北の結果について
・・・・・・・・・・・・・・・・・・・・
歯科医師には、歯を失った方に何とか物を食べれるようにしてあげるとか見た目に良くしてあげるという医療とは違った、入れ歯という物を作成してあげる能力も必要です。
差し歯にするとか何かを被せるということは、病気になった結果ですから、もしdentistが医師であるならば恥ずかしいことなのです。...
恥ずかしいと思えることこそ、dentistが医師らしい意識を持ったと思えるのです。
写真の方は、歯科では抜いたり削ったという経験しかありませんでした。そして来院された時には、見た目の不愉快さしかお話になりませんでした。
しかし、本質は病気を治すことですし、二度と病気を再発させないことです。その先によくかめて見た目にも綺麗なもの(入れ歯)を装着するという順番があるのです。でもとりあえず見た目にいい感じにした後に、歯周病という病や虫歯という病を治癒させてから人工物である入れ歯を作成いたしました。歯は私が並べたものです。以外と入れ歯に見えないと評判でした。
そして薄く小さく作ることにより最初から一回も調整はありませんでした。何回も削るとかクレームを受けることは、職人としてプライドが許さないのです。
しかし重症の歯周病患者だったので、メインテナンスなどには必ず再診させてチェックさせていただいています。
dentistはstomatologistという医師の認識と自覚を持ち社会に貢献しなければ、社会的地位などの向上できないと思うのは私だけでしょうか?
・・・・・・・・・・・・・・・・・・・・・・・・・・・・・・・・・・・・・・・・・・・・・・・・・・・・・・・・・・
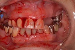
入れ歯の金属が見えるので何とかできないかと来院されました。でも調べてみると殆どの歯が歯周病に罹患して危ないのです。何故歯が抜けて入れ歯になったのか全然理解できていないのですね。こういう方が以外と多いのです。
・・・・・・・・・・・・・・・・・・・・
歯科医師には、歯を失った方に何とか物を食べれるようにしてあげるとか見た目に良くしてあげるという医療とは違った、入れ歯という物を作成してあげる能力も必要です。
差し歯にするとか何かを被せるということは、病気になった結果ですから、もしdentistが医師であるならば恥ずかしいことなのです。...
恥ずかしいと思えることこそ、dentistが医師らしい意識を持ったと思えるのです。
写真の方は、歯科では抜いたり削ったという経験しかありませんでした。そして来院された時には、見た目の不愉快さしかお話になりませんでした。
しかし、本質は病気を治すことですし、二度と病気を再発させないことです。その先によくかめて見た目にも綺麗なもの(入れ歯)を装着するという順番があるのです。でもとりあえず見た目にいい感じにした後に、歯周病という病や虫歯という病を治癒させてから人工物である入れ歯を作成いたしました。歯は私が並べたものです。以外と入れ歯に見えないと評判でした。
そして薄く小さく作ることにより最初から一回も調整はありませんでした。何回も削るとかクレームを受けることは、職人としてプライドが許さないのです。
しかし重症の歯周病患者だったので、メインテナンスなどには必ず再診させてチェックさせていただいています。
dentistはstomatologistという医師の認識と自覚を持ち社会に貢献しなければ、社会的地位などの向上できないと思うのは私だけでしょうか?
・・・・・・・・・・・・・・・・・・・・・・・・・・・・・・・・・・・・・・・・・・・・・・・・・・・・・・・・・・
入れ歯の金属が見えるので何とかできないかと来院されました。でも調べてみると殆どの歯が歯周病に罹患して危ないのです。何故歯が抜けて入れ歯になったのか全然理解できていないのですね。こういう方が以外と多いのです。
![10007069_612823935460929_1522465896295799953_n[1]](https://livedoor.blogimg.jp/netdental/imgs/9/a/9a081c10.jpg)
![10015647_612823852127604_6833603768649362522_n[1]](https://livedoor.blogimg.jp/netdental/imgs/d/5/d5ffd13a.jpg)
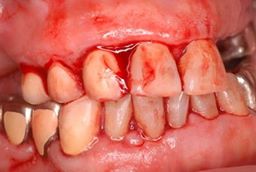
歯科医学的に設計がおかしい入れ歯、そして金属の設計と材料が悪い入れ歯を装着されていました。![10153702_612823805460942_1465954084819018795_n[1]](https://livedoor.blogimg.jp/netdental/imgs/4/8/48d9bc88.jpg)
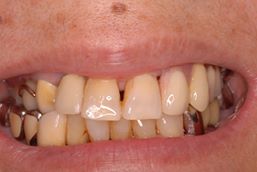
最終的に病気をある程度まで治療してからの問題が少ない入れ歯を作成しました。
最初から違和感もなくなんでも食べれるそうです。![10247233_612824055460917_7037888358400134356_n[1]](https://livedoor.blogimg.jp/netdental/imgs/f/6/f691fbd8.jpg)
定期検診時のお口の中です。前の方は入れ歯だと気づかれたことがないそうです。
![10151323_612824175460905_7506860736155202731_n[1]](https://livedoor.blogimg.jp/netdental/imgs/c/f/cf189569.jpg)
・・・・・・・・・・・・・・・・・・・・・・・・・・・・・・・・・・・・・・・・・・・・・・・・・・
株式会社QLife(キューライフ)に登録して商品をゲットし評価をお願いします。会員登録はこちらから
「川崎市の入れ歯なら新丸子西口歯科医院へ」
「顎関節症は新丸子西口歯科医院へ」
・・・・・・・・・・・・・・・・・・・・・・・・・・・・・・・・・・・・・・・・・・・・・・・・・・・・・・・・・・・・・・・・・・・・・・・・
211-0063
川崎市中原区小杉町1-527-4 メゾンゴールド1A
新丸子西口歯科
松下勲夫
TEL&FAX 044-744-1181
****************************************
お口の中から差し歯、入れ歯、詰め物を追放しましょう!
口の中の病気を治し、病気を興さない医療を目指します。
二度とお口の中へ変なものを入れなくても済むように
予防に精進いたしましょう!安全な矯正、美容を目指しましょう!
・・・・・・・・・・・・・・・・・・・・・・・・・・・・・・・・・・・・・・・・・・・・・・・・・・・・・・・・・・・・・・
続きを読む