2013.11.26.
悪い所を見つけて直して(治して)くださいという方は、口の中の病気をどんどん悪くするだけなのです。順番がオカシイことに気づいて欲しいのです。
・・・・・・・・・・・・・・・・・・・・・・・・・・・・・・・・・・・・
わかりやすく言えばどんな事を歯科医院でやろうが元の健康な状態には戻らないのです。
虫歯の治療とは、バイキンの塊を除去してバイ菌による歯髄(神経ともいう)への感染を防ぐものなのですね。
ただ、除去しようとしている段階で露髄(神経が露出する事)があれば後で神経を取らないといけなくなることが多いので、危ない場合は途中でやめて薬でしばらく第二象牙質のできるまで時間を取ることがあるのです。
その後、数ヵ月すると新しい歯の部分ができていることがあり残りの虫歯(バイキン)を除去しても露髄せずに神経を生きたままにさせることができるのです。
その為にはあまり注射をせずに患者さんの痛がり具合を見ながらそっと虫歯(バイキン)をとるのです。
早く終わらせるために注射をしたほうが早いのですが、それは歯を守る為にはあまりよくないのです。
ここが患者さんと良い治療を考えている歯科医師とのギャップなのです。
大学の虫歯専門の方はあまり注射をしませんし、例えば鶴見大学の桃井先生などは相当深い虫歯でも注射をしないで虫歯をとります。
時間がかかったしかたないのです。でも有名な上手いと呼ばれる歯科医師は殆ど注射をすることは少ないと記憶しています。
又、虫歯になるのも歯周病になるのも歯の周りの汚れを上手く取れないことに原因がるのですから、まず掃除の仕方を教えて綺麗にしてからでないとほぼ失敗します。
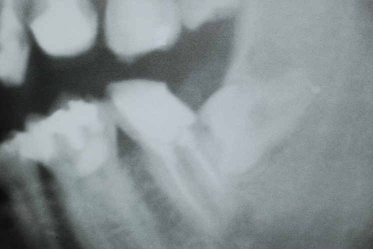
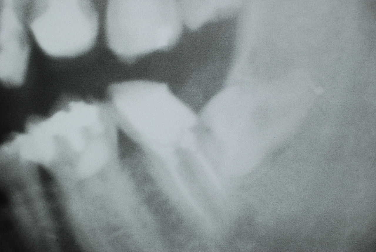
下記は患者に言われるままに血だらけでの不潔な状態で虫歯をとり埋めたようで全然適合していませんし、外れそうになっていました。

外したところです。中は虫歯のオンパレードでした。

適合が悪い銀歯が装着されていて更に虫歯の取残しにより歯髄炎症を起こして神経を取らざるをえなくなりました。神経を除去すれば痛みはなくなります。でもそれは死ぬことなのです。ほぼ寿命は半減したと考えるしかないのです。
まずは掃除の仕方を学ぶべきだったのです。環境をある程度良くしてから治療しないのでほぼ失敗に終わり、またハズレて虫歯により崩壊してしまうのです。


















































![91e2e491-s[1]](https://livedoor.blogimg.jp/netdental/imgs/7/1/716796d5.jpg)
![a63ee95d-s[1]](https://livedoor.blogimg.jp/netdental/imgs/a/3/a3fbdaa0.jpg)











