神奈川県川崎市の歯科、新丸子西口歯科です。
2013.10.28.
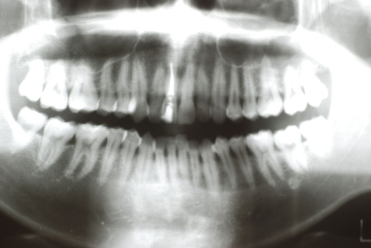
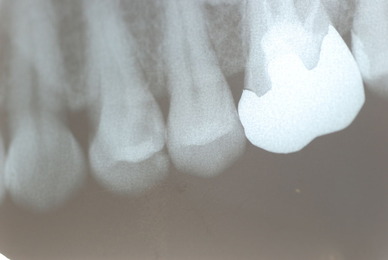
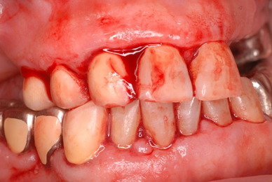
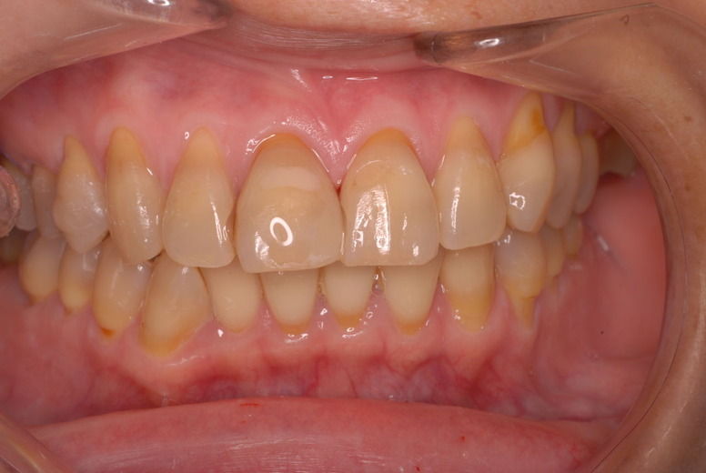
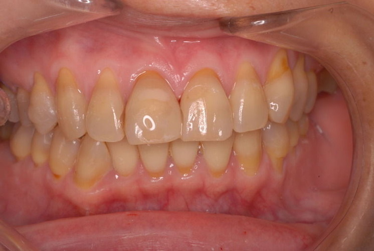
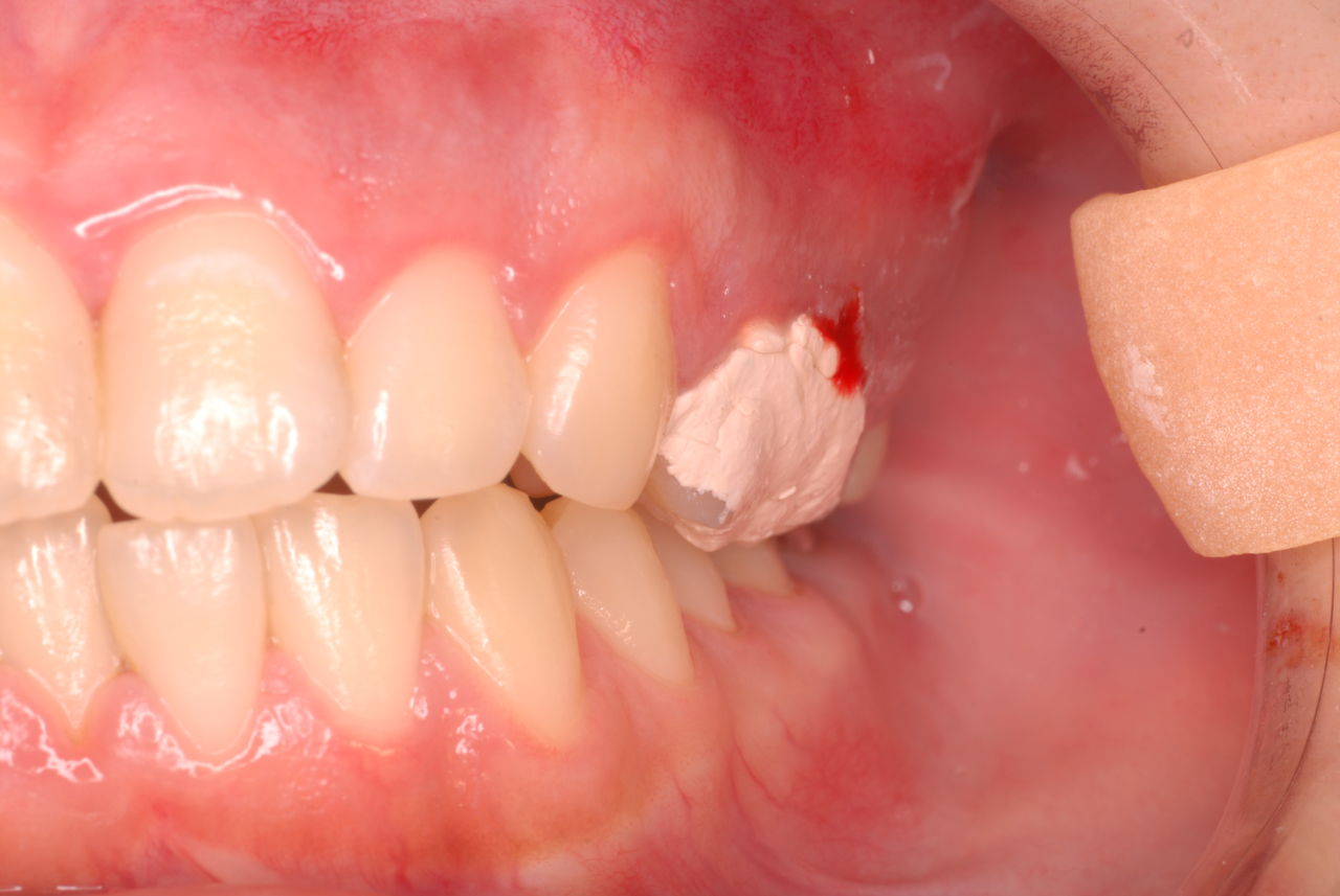
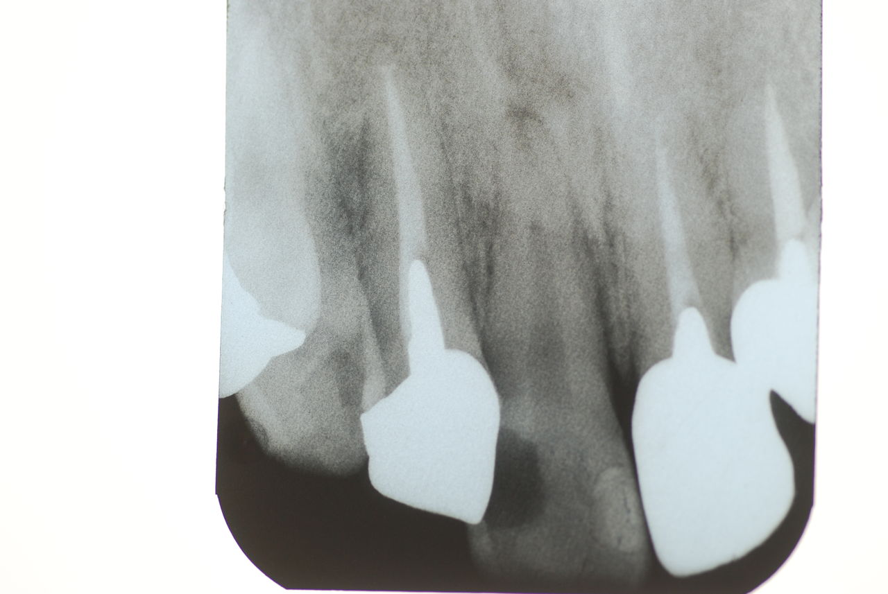
歯周病の疑いで東京のかなり遠方の方が来院されました。
・・・・・・・・・・・・・・・・・・・・・・・・・・・・・・・・・・・・・・・・・・・・・・・・・・・・・・・・・・・・・・・・
驚くべきことですが、定期検診は受けていたそうです。しかしながら歯周病の指摘は受けたことがないそうです。
何故か?定期検診が虫歯のチェックのみになり、又肝心の歯周病の検査や歯周病の部分の予防や治療のためのブラシの使い方などを学んだ事がないのです。
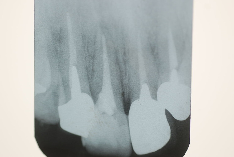
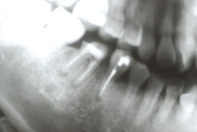
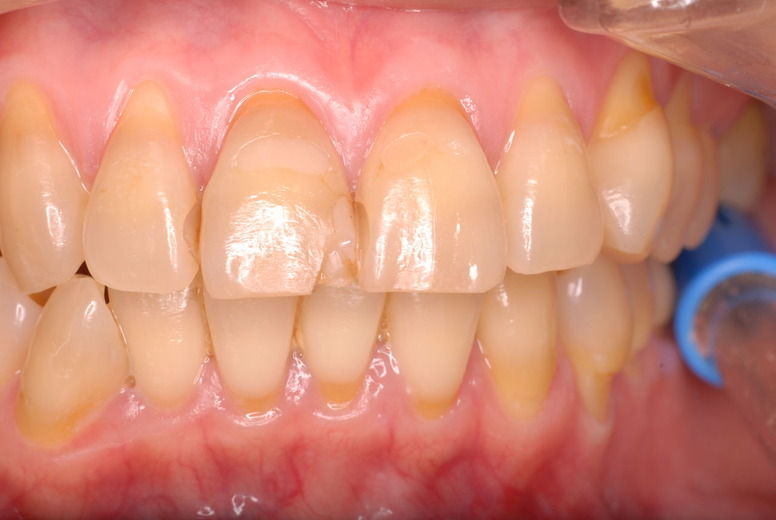
本当に患者さんのことを考えると憂鬱になります。歯周病が悪化すると殆ど回復は無理だからです。
抜いてインプラントにすれば収入は増えるでしょうし入れ歯にしても幾らかの費用はいただけるでしょう。
でもこれが医師?の考える事なのかと思えます。
制度を変えて、歯周病を治すことに対する評価を上げてもらうしか根本的解決はないのではと思った次第です。












![40af2ca7-s[1]](https://livedoor.blogimg.jp/netdental/imgs/2/5/259c3dfd-s.jpg)
![4e36cd58-s[1]](https://livedoor.blogimg.jp/netdental/imgs/f/f/ffd0e74b-s.jpg)
![a7fa4f9f-s[1]](https://livedoor.blogimg.jp/netdental/imgs/4/5/456282a9-s.jpg)
![a535535b-s[1]](https://livedoor.blogimg.jp/netdental/imgs/8/b/8b5b0717-s.jpg)
![96765d6c-s[1]](https://livedoor.blogimg.jp/netdental/imgs/a/8/a8f2a2aa-s.jpg)
![a4e7d03f-s[1]](https://livedoor.blogimg.jp/netdental/imgs/5/4/549e41d3-s.jpg)
![fc2010f4-s[1]](https://livedoor.blogimg.jp/netdental/imgs/4/6/464ffa79-s.jpg)
![1c81d8b6-s[1]](https://livedoor.blogimg.jp/netdental/imgs/4/c/4c546e64-s.jpg)
![ea7f9628-s[1]](https://livedoor.blogimg.jp/netdental/imgs/a/2/a2148eb6-s.jpg)








































































