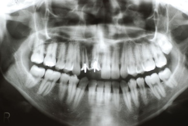
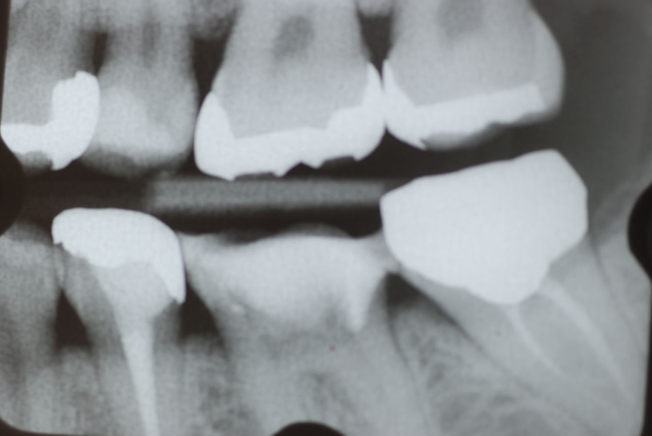
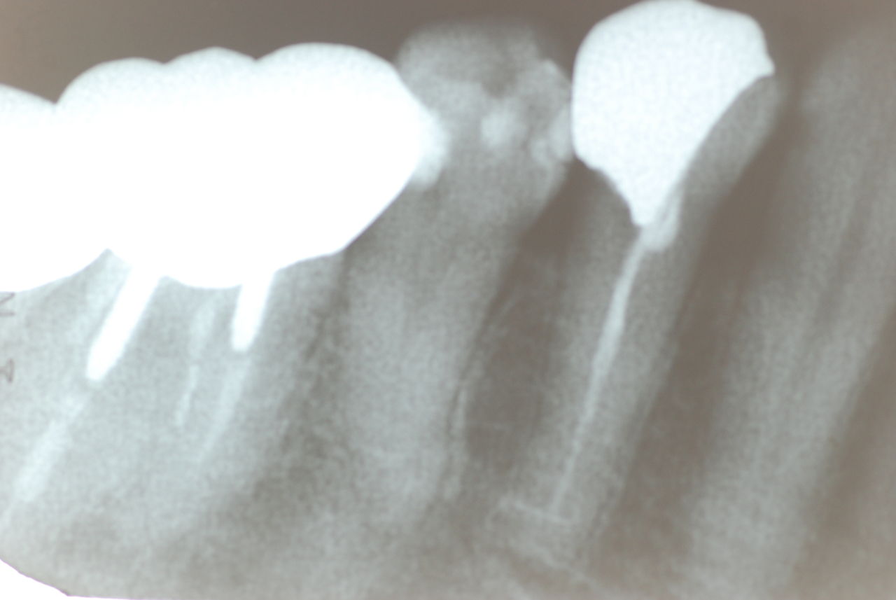
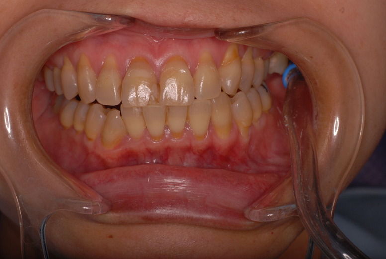
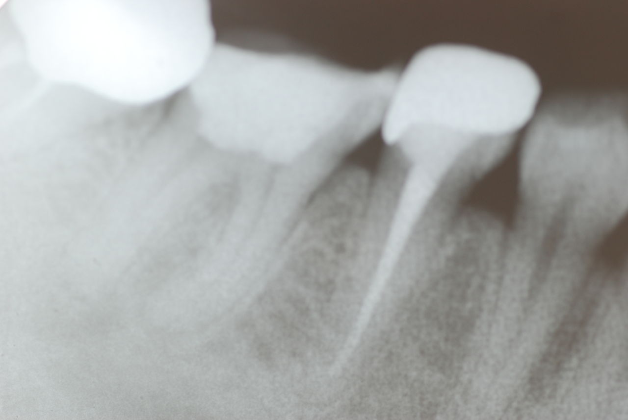
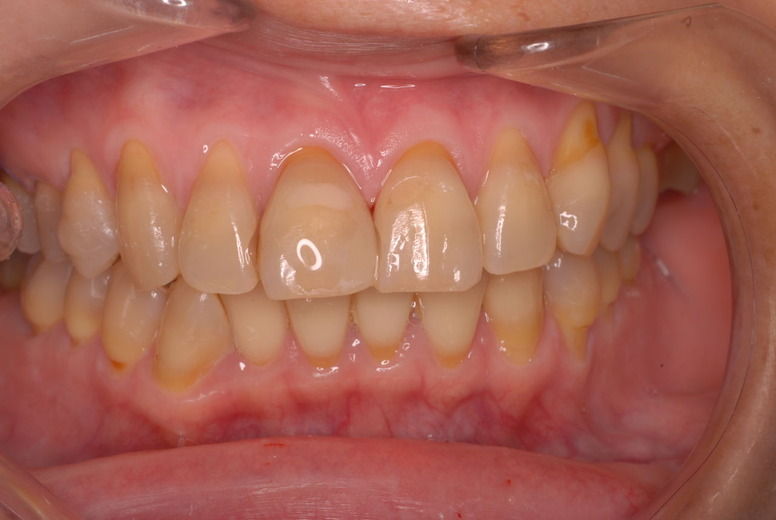
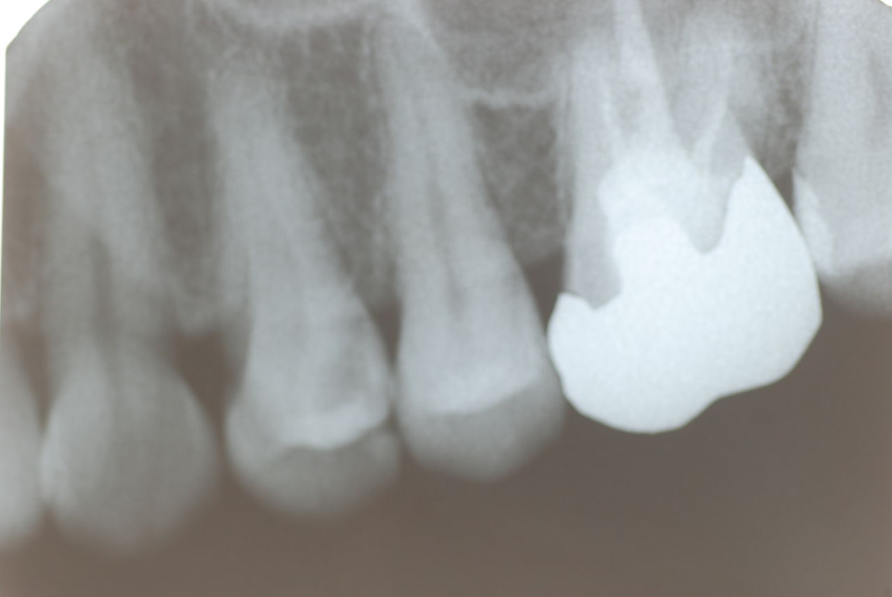
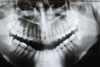
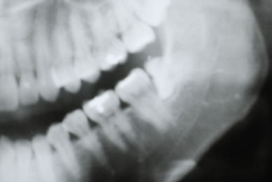
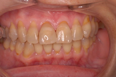
¿ÀÆàÀÀîºê»Ô¤Î»õ²Ê¡¢¿·´Ý»ÒÀ¾¸ý»õ²Ê¤Ç¤¹¡£
2013.9.29.
¹á¹Á¡¦¥Þ¥«¥ªºß½»¤ÎÂçÉÙ¹ë¤ÎÏäòݤ¤Ë½Âë¤Þ¤Ç¹Ô¤¤Þ¤·¤¿¡£
¡¦¡¦¡¦¡¦¡¦¡¦¡¦¡¦¡¦¡¦¡¦¡¦¡¦¡¦¡¦¡¦¡¦¡¦¡¦¡¦¡¦¡¦¡¦¡¦¡¦¡¦¡¦¡¦¡¦¡¦¡¦¡¦¡¦¡¦¡¦¡¦¡¦¡¦¡¦¡¦¡¦¡¦¡¦¡¦¡¦¡¦¡¦¡¦¡¦¡¦¡¦¡¦¡¦¡¦¡¦
½Âë¤Ç¡¢¹á¹Á¡¦¥Þ¥«¥ª¤òÃæ¿´¤Ë¥¸¥ç¥Û¡¼¥Ð¥ë¡¢¥»¥Ö¡¢¥«¥Ê¥À¤Î¥Ð¥ó¥¯¡¼¥Ð¡¼¤ËµòÅÀ¤ò»ý¤Áperpetual trabeller¤È¤¤¤¦·Á¤Ë¤Ê¤ë¤Î¤Ç¡¢ÀǶâ¤òËØ¤Éʧ¤Ã¤¿¤³¤È¤¬¤Ê¤¤¡©Êý¤Î¹Ö±é¤òʹ¤¤Þ¤·¤¿¡£¤È¤¤¤¤¤Þ¤·¤Æ¤â¥Þ¥«¥ª¤¬½»½ê¤Ç¤¹¤«¤é¡¢¤³¤³¤ò½»½ê¤ËÅÐÏ¿¤¹¤ì¤Ð¤½¤Î»þÅÀ¤ÇÀǶâ¤Ï¤Û¤Ü³§Ìµ¤Ë¤Ê¤ê¤Þ¤¹¡£
¤½¤ì¤Ï¡¢¥«¥¸¥Î¤Ç½á¤¦¥Þ¥«¥ª¤Ï¥Þ¥«¥ª¿Í¤«¤éÀǶâ¤ò¼è¤ëɬÍפ¬¤Ê¤¤¤Û¤ÉÀǼý¤¬Ë¤«¤Ê¤Î¤Ç¡¢¤³¤³¤Îvisa¤ä±Ê½»¸¢¤ò»ý¤ÄÊý¤Ï¡¢7¡ó¤°¤é¤¤¤Î²ÝÀǤǤ·¤«¤âÅê»ñ¤Ê¤É¤äÁê³ÀǤˤâ²ÝÀǤ¬¤Ê¤¯¡¢¹¹¤Ë°åÎŤ䶵°é¤â̵ÎÁ¤À¤½¤¦¤Ç¤¹¡£¤Ç¤â¸½ºß¤Ïvisa¤ä±Ê½»¸¢¤ÏËØ¤É¼è¤ì¤Ê¤¤¤È¤«¡£
ÆâÍÆ¤Ç¤¹¡£
Á°È¾¤ÏÅÓÃæ¤«¤é¤¦¤Ä¤é¤¦¤Ä¤é¤Çµ²±¤¬Ä꤫¤Ç¤Ï¤Ê¤¯º£»×¤¤½Ð¤·¤Ê¤¬¤éÆüµ¤ò½ñ¤¤¤Æ¤¤¤Þ¤¹¡£ÆÃ¤Ë¶Ã¤¤¤¿¤Î¤Ï¡¢¥¤¡¼¥¦¡¼¤È¤¤¤¦¾å³¤¶á¤¯¤ÎÃϤǤβ·Ìä²°¤Î³Æ¹ñ¤Î¥Ö¥é¥ó¥ÉÉʤä¹â²Á³Ê¤ÎʪÈΤﮤ¸¤é¤ì¤Ê¤¤¤ä¤¹¤µ¤Ç¤¹¡£
Î㤨¤Ð¹â²Á³Ê¤Î¸ªÙæ¤ß¤´ï¤ä¿ôÉ´Ëü±ß¤¹¤ë¥é¥ó¥Ë¥ó¥°¥Þ¥·¡¼¥ó¤¬¿ôËü±ß¤È¤«¡£¤½¤ì¤âÆüËܤβ¼ÀÁ¤±²ñ¼Ò¤ÎºîÀ®¤·¤¿¤â¤Î¤Ç¤¹¤«¤é¡¢¤³¤ì¤¬ÆüËܻԾì¤Ç¿ôÇܤ«¤é¿ôÉ´ÇܤˤʤäƤ¤¤ë¤È¤¤¤¦»ö¤Ç¤¹¡£
¤Á¤Ê¤ß¤Ë»õ²Ê¼£ÎÅÍÑ¥æ¥Ë¥Ã¥È¤Ï¥Ö¥é¥ó¥É¤Ï¤ï¤«¤ê¤Þ¤»¤ó¤¬¡¢¡Ê¤½¤³¤¬ÌäÂê¤Ç¤¹¤¬¡Ë°ìÂæ´ö¤é¤«¡©¿ôËü±ß¤«¤é12Ëü±ß¤È¤«¡¢¤¿¤á©¤¬¤Ç¤½¤¦¤Ç¤·¤¿¡£ÉáÄÌ¤ÎÆüËÜÀ½¤Ï250Ëü±ß¡Á£³£°£°Ëü±ß°Ê¾å¤Ç¤¹¤«¤é¡£
»Äǰ¤Ê¤¬¤é¡¢¾¯»Ò¹âÎ𲽤ǿ͸ý¸º¾¯¤¬Â³¤¯ÆüËܤϷʵ¤¤¬Îɤ¯¤Ê¤ë¤³¤È¤Ï¤Ê¤¯¡¢¹ñºÄ¾Ã²½¤Î°Ù¤ËÀζä¹Ô¡¢¸½ºßÊݸ±²ñ¼Ò¤ËÊÝͤµ¤»¤Æ¤¤¤ë¤¿¤á¤ËÀ¸Ì¿Êݸ±¤Ï³¤³°¤ËÈæ¤Ù¤ë¤È¿ý¤ÎÎޤۤɤÎÊݾڤ·¤«¤Ç¤¤Ê¤¤¾õÂÖ¡£¾ÃÈñÀǤΥ¢¥Ã¥×¤È¶¦¤Ë¡¢Æü¶ä¤¬¹ñºÄ¤òÇ㤤Æþ¤ì¤Æ¤¤¤ë¤¿¤á¤Ë¤ª¶â¤¬¶ä¹Ô¤ä¾Ú·ô²ñ¼Ò¤Ë²ó¤ê¡¢¤½¤Î°Ù¤Ë±ß°Â¡£¹¹¤Ë¸¶»ÒÎÏȯÅŵٻߤËȼ¤¦²½ÀÐdzÎÁÍ¢Æþ¤Î°Ù¤ËËǰ×ÀÖ»ú¤¬²Ã®¤·¤Þ¤¹¤Þ¤¹±ß°Â¡£µëÎÁ¤¬¾å¤¬¤é¤Ê¤¤¾õÂÖ¤ÇÀǶ⤬¾å¤¬¤ê±ß°Â¤Ë¤Ä¤Êª²Á¾å¾º¡£¶âÍ»´ËϤËȼ¤¦¤ª¶â¤Ï¡¢ÆüËܤǤϤʤ¯ÅìÆî¥¢¥¸¥¢¤Ë¸þ¤«¤¦¤ÈͽÁÛ¡£¤Þ¤¹¤Þ¤¹±ß°Â¤Ë¤¹¤¹¤à²ÄǽÀÂç¡£¥¢¥Ù¥Î¥ß¥¯¥¹¾ÃÈñ¼Ô¤Ë¤È¤ê²á¹ó¤Ê»îÎý¤È¤Ê¤ë²ÄǽÀÂç¡£
¹ñºÄ¤É¤¦¤·¤ÆÊÖ¤¹¤Î¤«¡©¤ä¤Ï¤ê´±Î½¤Ë¤ÏǤ¤»¤Æ¤ª¤±¤Ê¤¤¡ª
¡¦¡¦¡¦¡¦¡¦¡¦¡¦¡¦¡¦¡¦¡¦¡¦¡¦¡¦¡¦¡¦¡¦¡¦¡¦¡¦¡¦¡¦¡¦¡¦¡¦¡¦¡¦¡¦¡¦¡¦¡¦¡¦¡¦¡¦¡¦¡¦¡¦¡¦¡¦¡¦¡¦¡¦¡¦¡¦¡¦¡¦¡¦¡¦¡¦¡¦¡¦¡¦¡¦
£±¡ËÀ¤³¦¤ÎºÇ¿··ÐºÑ¾õ¶·
¡¡¡¦Ãæ¹ñ¥·¥ã¥É¡¼¥Ð¥ó¥¥ó¥°¤Î¸½¾õ¡¦¡¦¡¦ËؤɥХ֥롢¤¤¤ÄÇËÎö¤¹¤ë¤«¡©µ¬ÌϤϸ½ºßÆüËܤΥХ֥ë¤Î£²Çܤε¬ÌϤÀ¤È¤«¡£
¡¡¡¦¥Þ¥ì¡¼¥·¥¢ÉÔÆ°»º¡¡À¯Éܤ¬Æ°¤¯¶â;¤êÂкö¡¦¡¦¡¦µï̲¤ê¤·¤Æ¤¤¤Þ¤·¤¿¡£¡Ê¾Ð¤¤¡Ë
¡¡¡¦¥¢¥á¥ê¥«¤Î¿·¤¿¤ÊÉÔÆ°»º¤Îư¤¡¦¡¦¡¦¥·¥§¡¼¥ë¥¬¥¹³×Ì¿¤Ëʨ¤¯¥¢¥á¥ê¥«¤Ç¤Ï¤³¤Îµ»½Ñ¤È¤½¤³¤òÁÀ¤Ã¤¿³¤³°¤Î¿¹ñÀÒ´ë¶È¤Î¥¢¥á¥ê¥«²óµ¢¤È¡¢¥Æ¥¥µ¥¹¤Ê¤É¤Ç¤ÎÉÔÆ°»º¤ÎÃ;夬¤ê¡©¶¯¤¤ÄÂÂß¼ûÍפȹâ²Á³Ê¤ÎÉÔÆ°»º¡¢ÀáÀǤΰ٤ˡ¢ÅÚÃϤβÁ³Ê¤è¤ê·úʪ¤ÎÃÍÃʤ¬¹â¤¯É¾²Á¤µ¤ì¤ë¹ñ¤Ê¤Î¤Ç¤¹¤¬Ãæ¸Å·úʪ¤Î¾ì¹ç¡¢ÃÍÃʤϲ¼¤¬¤é¤º·úʪʬ¤ò£´Ç¯¤Ç½þµÑ¤Ç¤ÆüËܤǤÎÀáÀǤˤ褤¡£
¡¡¡¦¥·¥ê¥¢ÌäÂê¡¡¸¶Ìý¤Î¹â»ß¤Þ¤ê¤¬Â³¤¯Íýͳ
£²¡Ë¥Õ¥£¥ê¥Ô¥ó¡¦¡¦¡¦ÈëÌ©¡Ê¾Ð¤¤¡Ë
£³¡ËºÇ¶á¼ê¤¬¤±¤¿¿·¤·¤¤ÊªÈΤÎÏÃ
¡¡¡¦µÁÄ»¡Ê¥¤¡¼¥¦¡¼¡ËºÇ¿·»ë»¡¾ðÊó¡ª
¡¡¡¦¥¹¥¿¥Ð¤Î¥³¡¼¥Ò¡¼¤ò̵ÎÁ¤Ç°û¤à
¡¡¡¦¥¹¥¿¥Ð¤òÍøÍѤ·¤¿¸¶»ñ²Ô¤®
¡¡¡¦LED¤ÏÅŵ¤Âå¤ò²¼¤²¡¢ÊªÈΤ¬¤Ç¤¤ë¡ªÆüËܤÇ800±ß¤ÎLED¤¬²¼ÀÁ¤±¤Î²ñ¼Ò·Ðͳ¤Ç²·¤Ç¤Ï80±ß¤À¤È¤«¡£¤¿¤À¤·¤Þ¤È¤áÇ㤤¤¬É¬Íס¢¥¢¥Þ¥¾¥ó¤ÇÈÎÇä¡¢¥ä¥Õ¥ª¥¯¡¢e-bay¤Ç¥ª¡¼¥¯¥·¥ç¥ó¤Ë½Ð¤¹¤È½Ö¤¯´Ö¤ËÇä¤ì¤ë¡£¤¿¤À¡¢¥¢¥Þ¥¾¥ó¤Ø¤Î°ÑÂ÷¤«¥ª¡¼¥¯¥·¥ç¥ó¥µ¥¤¥È´ØÏ¢¤ÎÈÎÇä¥Î¥¦¥Ï¥¦¤ÏÇ㤦¤«¡¢Ëܤò¿ôºýÆÉ¤à»ö¤¬½ÅÍס£
¹á¹Á¶âÍ»¤Î¥×¥í¡ª
ÅÚÈîͪ¼ù»á¤ÎÏᢳ¤³°À¸Ì¿Êݸ±¤ÎÍ¥±ÛÀ¡¢£±£µÇ¯Áí³ÛÀÑΩ¤Ç900Ëü±ß¡¢£±£µÇ¯¸å¤Î5000Ëü±ß¤Î»Ùʧ¤¤³ÎÄê¡¢²ñ¼Ò¤ÏĶͥÎɤÎÊݸ±²ñ¼Ò¤À¤È¤«¡£¹á¹Á¥«¥¸¥Î´ë¶È¤Ø¤ÎÂßÉÕ¡¢¶âÍø¤Ï¡©ÆüËܤΥ«¥¸¥Î¹½ÁۡʤªÂæ¾ì¡Ëµ¬À©´ËÏÂ¤ÇÆÃ¶è¹½ÁÛ¡¢
¥½¡¼¥é¡¼¥Ñ¥Í¥ë¡¢¥½¡¼¥é¡¼¥Ï¥¦¥¹¡¦¡¦¡¦Á´Î̹ñ¤¬Ç㤤¾å¤²³ÎÄê¡¢À¯ºö¶âÍ»¸ø¸Ë¤¬Â߽С¢Ã´Êݤ¬¤¢¤ì¤Ð̵¾ò·ï¤Ç³Î¼Â¤Ê°Æ·ï¡¢
»³¼êÀþ¤Î¿·¤·¤¤±Ø¡©
³¤³°¤Î¶âÍ»¤Ë¤Ä¤¤¤Æ
¡¡






ºÙ¤«¤Ê»ö¤Ï¤Þ¤¿µºÜ¤·¤Þ¤¹¡£
£±¡ËÀ¤³¦¤ÎºÇ¿··ÐºÑ¾õ¶·
¡¡¡¦Ãæ¹ñ¥·¥ã¥É¡¼¥Ð¥ó¥¥ó¥°¤Î¸½¾õ¡¦¡¦¡¦ËؤɥХ֥롢¤¤¤ÄÇËÎö¤¹¤ë¤«¡©µ¬ÌϤϸ½ºßÆüËܤΥХ֥ë¤Î£²Çܤε¬ÌϤÀ¤È¤«¡££¸~12%¤ÎÍø²ó¤ê¡¢¶ä¹Ô¡¢ÃÏÊýÀ¯ÉܤËÂߤ¹¡©180Ê¿ÊÆ¤Ç5000Ëü±ß¤Î²Á³Ê¡¢Ãæ¹ñ¿Í¤Îǯ¼ý100Ëü±ß¡¢15ǯ´Ö¾å¤¬¤ê³¤±¤¿¡£¥Þ¥«¥ª¤ÎÀǼý¾å¤¬¤ê¤Ã¤Ñ¤Ê¤·¡£Visa,±Ê½»¸¢¤ÏÊÌʪ¡¢¶ä¹Ô¢Í£µ¡ó¤ÇÂßÉÕ¹©¾ì¤Ø¢Í20%¤ÇÂßÉÕdeveloper¢ÍÉÔÆ°»ºÈÎÇä²ñ¼Ò¡¢Íýºâ¾¦Éʤò²òÌ󤷤褦¤È¤·¤¿¤édeveloper¤¬º¤¤ë¡©¥¤¡¼¥¦¡¼¡ÊµÁÄ»¡ËÊ¡ÅĻԾì¤Î²·Çä»Ô¾ì¤Î°Â¤µ¡¢
¡¡¡¦¥Þ¥ì¡¼¥·¥¢ÉÔÆ°»º¡¡À¯Éܤ¬Æ°¤¯¶â;¤êÂкö¡¦¡¦¡¦µï̲¤ê¤·¤Æ¤¤¤Þ¤·¤¿¡£¡Ê¾Ð¤¤¡Ë
¡¡¡¦¥¢¥á¥ê¥«¤Î¿·¤¿¤ÊÉÔÆ°»º¤Îư¤¡¦¡¦¡¦¥·¥§¡¼¥ë¥¬¥¹³×Ì¿¤Ëʨ¤¯¥¢¥á¥ê¥«¤Ç¤Ï¤³¤Îµ»½Ñ¤È¤½¤³¤òÁÀ¤Ã¤¿³¤³°¤Î¿¹ñÀÒ´ë¶È¤Î¥¢¥á¥ê¥«²óµ¢¤È¡¢¥Æ¥¥µ¥¹¤Ê¤É¤Ç¤ÎÉÔÆ°»º¤ÎÃ;夬¤ê¡©¶¯¤¤ÄÂÂß¼ûÍפȹâ²Á³Ê¤ÎÉÔÆ°»º¡¢ÀáÀǤΰ٤ˡ¢ÅÚÃϤβÁ³Ê¤è¤ê·úʪ¤ÎÃÍÃʤ¬¹â¤¯É¾²Á¤µ¤ì¤ë¹ñ¤Ê¤Î¤Ç¤¹¤¬Ãæ¸Å·úʪ¤Î¾ì¹ç¡¢ÃÍÃʤϲ¼¤¬¤é¤º·úʪʬ¤ò£´Ç¯¤Ç½þµÑ¤Ç¤ÆüËܤǤÎÀáÀǤˤ褤¡£
¡¡¡¦¥·¥ê¥¢ÌäÂê¡¡¸¶Ìý¤Î¹â»ß¤Þ¤ê¤¬Â³¤¯Íýͳ
£²¡Ë¥Õ¥£¥ê¥Ô¥ó¡¦¡¦¡¦ÈëÌ©¡Ê¾Ð¤¤¡Ë
£³¡ËºÇ¶á¼ê¤¬¤±¤¿¿·¤·¤¤ÊªÈΤÎÏÃ
¡¡¡¦µÁÄ»¡Ê¥¤¡¼¥¦¡¼¡ËºÇ¿·»ë»¡¾ðÊó¡ª
¡¡¡¦¥¹¥¿¥Ð¤Î¥³¡¼¥Ò¡¼¤ò̵ÎÁ¤Ç°û¤à
¡¡¡¦¥¹¥¿¥Ð¤òÍøÍѤ·¤¿¸¶»ñ²Ô¤®
¢ÍÃϰèÀßÄꥹ¥¿¥Ð¥«¡¼¥É¡¢e-bay,¥ä¥Õ¥ª¥¯¤ÇÇä¤ì¤Æ¤¤¤Ê¤¤¤«Ä´¤Ù¤ë¡£e-bay¤Ç¤Ï¥¢¥«¥¦¥ó¥È¤ò°é¤Æ¤ë»ö¤¬½ÅÍס¢¹ØÆþ¤·¤Æ¤â¤é¤¤É¾²Á¤ò¾å¤²¤ë¤³¤È¡£¤½¤¦¤¹¤ë¤È¹¹¤ËÇä¤ì¤ä¤¹¤¤¡£¤ä¤¬¤Æ¹ØÆþ¼Ô¤ò¤Þ¤È¤á¤Æ¥ê¥¹¥È¤òºî¤ê¥ª¥ê¥¸¥Ê¥ëgoods¤òÈÎÇ䤹¤ë¡£ºÊñ¤ò¹©Éפ¹¤ë¤³¤È¡¢¼«Ê¬¤Ç¤Þ¤º¤ä¤Ã¤¿¤Û¤¦¤¬¤¤¤¤¡£¥¹¥¿¥Ð¥«¡¼¥É̾´Õ¡¢°ì±ß¤Çe-book¤òÈÎÇ䤹¤ë¡¢¤½¤·¤Æ¥ê¥¹¥È¤òºî¤ë¡¢¥¢¥É¥ì¥¹¤ò¼è¤ê¥¢¥«¥¦¥ó¥È¤ò°é¤Æ¤ë¡¢³§¤¬Îɤ¤É¾²Á¤òÉÕ¤±¤ë¡£¥¹¥¿¥Ð¥«¡¼¥É¤Ïmail-address¤ò¼è¤ë¼êÃÊ¡¢
¡¡¡¦LED¤ÏÅŵ¤Âå¤ò²¼¤²¡¢ÊªÈΤ¬¤Ç¤¤ë¡ªÆüËܤÇ800±ß¤ÎLED¤¬²¼ÀÁ¤±¤Î²ñ¼Ò·Ðͳ¤Ç²·¤Ç¤Ï80±ß¤À¤È¤«¡£¤¿¤À¤·¤Þ¤È¤áÇ㤤¤¬É¬Íס¢¥¢¥Þ¥¾¥ó¤ÇÈÎÇä¡¢¥ä¥Õ¥ª¥¯¡¢e-bay¤Ç¥ª¡¼¥¯¥·¥ç¥ó¤Ë½Ð¤¹¤È½Ö¤¯´Ö¤ËÇä¤ì¤ë¡£¤¿¤À¡¢¥¢¥Þ¥¾¥óFBA¤Ø¤Î°ÑÂ÷¤«¥ª¡¼¥¯¥·¥ç¥ó¥µ¥¤¥È´ØÏ¢¤ÎÈÎÇä¥Î¥¦¥Ï¥¦¤ÏÇ㤦¤«¡¢Ëܤò¿ôºýÆÉ¤à»ö¤¬½ÅÍס£
¹á¹Á¶âÍ»¤Î¥×¥í¡ª
ÅÚÈîͪ¼ù»á¤ÎÏᢳ¤³°À¸Ì¿Êݸ±¤ÎÍ¥±ÛÀ¡¢£±£µÇ¯Áí³ÛÀÑΩ¤Ç900Ëü±ß¡¢£±£µÇ¯¸å¤Î5000Ëü±ß¤Î»Ùʧ¤¤³ÎÄê¡¢²ñ¼Ò¤ÏĶͥÎɤÎÊݸ±²ñ¼Ò¤À¤È¤«¡£¹á¹Á¥«¥¸¥Î´ë¶È¤Ø¤ÎÂßÉÕ¡¢¶âÍø¤Ï¡©ÆüËܤΥ«¥¸¥Î¹½ÁۡʤªÂæ¾ì¡Ëµ¬À©´ËÏÂ¤ÇÆÃ¶è¹½ÁÛ¡¢
¥½¡¼¥é¡¼¥Ñ¥Í¥ë¡¢¥½¡¼¥é¡¼¥Ï¥¦¥¹¡¦¡¦¡¦Á´Î̹ñ¤¬Ç㤤¾å¤²³ÎÄê¡¢À¯ºö¶âÍ»¸ø¸Ë¤¬Â߽С¢Ã´Êݤ¬¤¢¤ì¤Ð̵¾ò·ï¤Ç³Î¼Â¤Ê°Æ·ï¡¢
»³¼êÀþ¤Î¿·¤·¤¤±Ø¡©¡ÊÉÊ¡¢Åġ˱©ÅÄ¢ÍÀ®ÅĴֹ⮡©olympic
³¤³°¤Î¶âÍ»¤Ë¤Ä¤¤¤Æ
¤³¤Î¥Ö¥í¥°¤ÎÆâÍÆµÚ¤Ó¼Ì¿¿¤ÏˡŪ¤ËÊݸ¤ì¤Æ¤¤¤Þ¤¹¤Î¤Ç¡¢ÌµÃǼÚÍѤϸ·¤Ë¶Ø»ß¤¤¤¿¤·¤Þ¤¹¡£
̵ÃǼÚÍѤ¬È¯³Ð¤·¤¿¾ì¹ç¤ÏˡŪÁ¼ÃÖ¤ò¤È¤é¤»¤Æ¤¤¤¿¤À¤¤Þ¤¹¡£¡Ê¾Ð¤¤¡Ë
¤Ê¤ªÅ¾ÍѤ¹¤ë¾ì¹ç¤Ï¤´Ï¢Íí¤¤¤¿¤À¤¤¿¤¤¤È»×¤¤¤Þ¤¹¡£
¡¦¡¦¡¦¡¦¡¦¡¦¡¦¡¦¡¦¡¦¡¦¡¦¡¦¡¦¡¦¡¦¡¦¡¦¡¦¡¦¡¦¡¦¡¦¡¦¡¦¡¦¡¦¡¦¡¦¡¦¡¦¡¦¡¦¡¦¡¦¡¦¡¦¡¦¡¦¡¦¡¦¡¦¡¦¡¦¡¦¡¦¡¦¡¦¡¦¡¦¡¦¡¦¡¦¡¦¡¦¡¦¡¦¡¦¡¦¡¦¡¦¡¦¡¦¡¦
![37b1da14-s[1]](https://livedoor.blogimg.jp/netdental/imgs/a/b/abee6e18.jpg)
![80093bac-s[1]](https://livedoor.blogimg.jp/netdental/imgs/9/f/9f722aa4.jpg)
![4ac6e542-s[1]](https://livedoor.blogimg.jp/netdental/imgs/f/a/fa8232f9.jpg)
![9106ceb9-s[1]](https://livedoor.blogimg.jp/netdental/imgs/f/5/f562c9cd.jpg)
![2bb1362d-s[1]](https://livedoor.blogimg.jp/netdental/imgs/1/e/1e3f524e.jpg)
![32a238b9-s[1]](https://livedoor.blogimg.jp/netdental/imgs/d/c/dce44600.jpg)




















![40af2ca7-s[1]](https://livedoor.blogimg.jp/netdental/imgs/6/4/64795831-s.jpg)
![a7fa4f9f-s[1]](https://livedoor.blogimg.jp/netdental/imgs/2/5/2577275c-s.jpg)
![f8336682-s[1]](https://livedoor.blogimg.jp/netdental/imgs/6/3/633cf6f2-s.jpg)
![4e36cd58-s[1]](https://livedoor.blogimg.jp/netdental/imgs/8/0/806472cf-s.jpg)
![a535535b-s[1]](https://livedoor.blogimg.jp/netdental/imgs/1/7/171c4000-s.jpg)
![a4e7d03f-s[1]](https://livedoor.blogimg.jp/netdental/imgs/c/a/ca791565-s.jpg)
![fc2010f4-s[1]](https://livedoor.blogimg.jp/netdental/imgs/6/0/60ad84d9-s.jpg)
![ea7f9628-s[1]](https://livedoor.blogimg.jp/netdental/imgs/0/6/067e9509-s.jpg)




































