神奈川県川崎市の歯科、新丸子西口歯科です。
2013.2.23.
差し歯、入れ歯の色や形を気にする前に、病気のことを理解していない患者さんが多いのです。
入れ歯の話から入りました。色々不満で注文があるようです。でも話が一段落して口腔内を調べると殆どの歯が重症で抜けそうな歯だらけなのです。
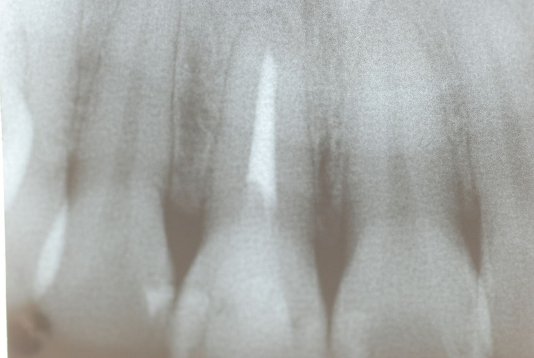
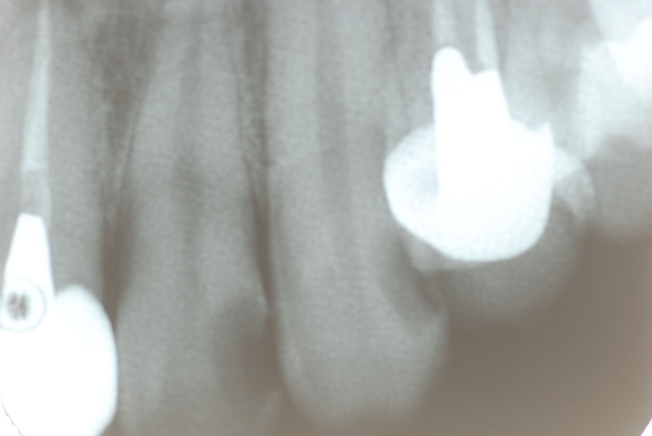
なぜ病気になるのかわからない方が多すぎます。歯が抜けるのは病気だからです。病気を治さずに何かお口の中に入れても土台である歯が抜けてしまっては同じことなのです。
・・・・・・・・・・・・・・・・・・・・・・・・・・・・・・・・・・・・・・・・・・・・・・・・・・・・・
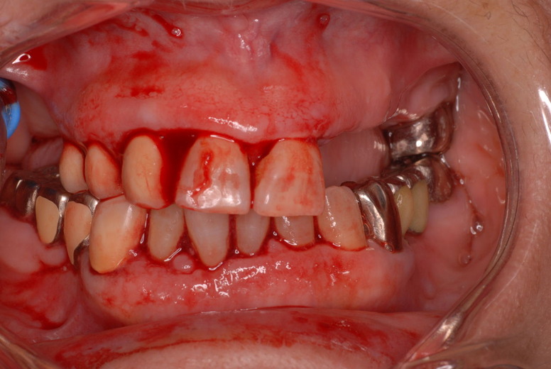
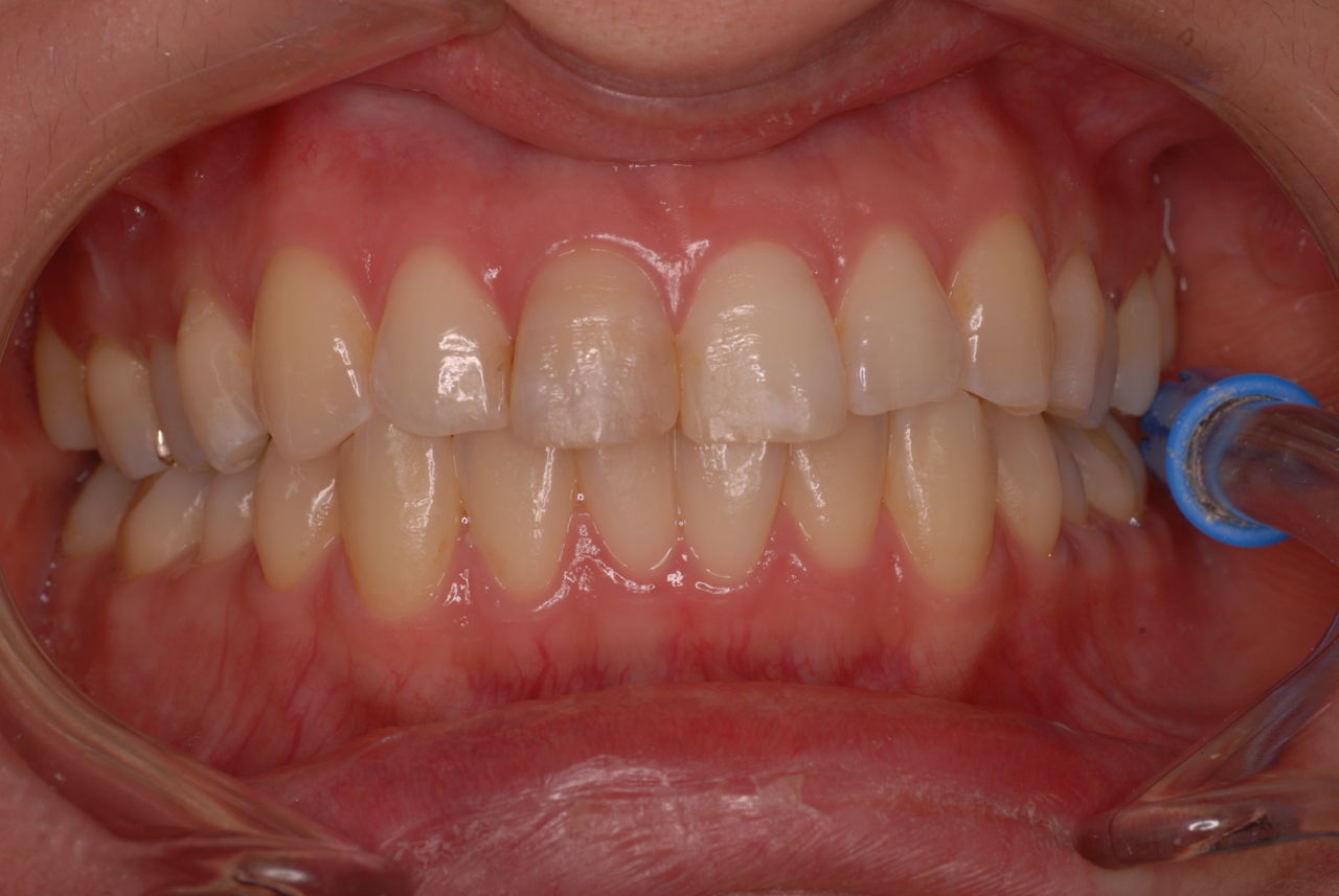
色々不満な入れ歯です。
発音や見える金属が気になるようです。

ご自分でやられても歯茎から血が出ないと話をされていましたが、私がブラシを当てると悲惨な状態であることがわかりました。


何故歯が悪くなるのか、歯周病で抜けるのか分からなければ何を入れても歯は悪くなり抜けていくのです。
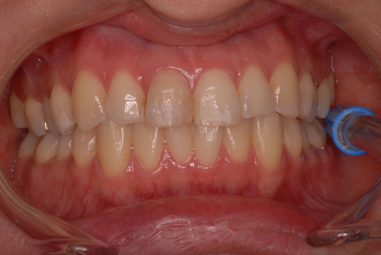
病気を治しましょう。それから差し歯や入れ歯を入れましょう!物を入れれば入れるほど、磨き方や掃除の仕方が上手にならなければ、すぐ抜けてくるのです。
・・・・・・・・・・・・・・・・・・・・・・・・・・・・・・・・・・・・・・・
新丸子西口歯科はQ-lifeに登録しています。
株式会社QLife(キューライフ)に登録して商品をゲットし評価をお願いします。会員登録はこちらから
「川崎市の入れ歯なら新丸子西口歯科医院へ」
「顎関節症は新丸子西口歯科医院へ」
・・・・・・・・・・・・・・・・・・・・・・・・・・・・・・・・・・・・・・・
211-0063
川崎市中原区小杉町1-527-4 メゾンゴールド1A
新丸子西口歯科
松下勲夫
TEL&FAX 044-744-1181
****************************************
お口の中から差し歯、入れ歯、詰め物を追放しましょう!
口の中の病気を治し、病気を興さない医療を目指します。
二度とお口の中へ変なものを入れなくても済むように
予防に精進いたしましょう!安全な矯正、美容を目指しましょう!
松下勲夫
お口の中から差し歯、入れ歯、詰め物を追放しましょう!
口の中の病気を治し、病気を興さない医療を目指します。
二度とお口の中へ変なものを入れなくても済むように
予防に精進いたしましょう!安全な矯正、美容を目指しましょう!
・・・・・・・・・・・・・・・・・・・・・・・・・・・・・・・・・・・・・・・・・・・・・・・・・・・・・・・・・・・・・・・・























































