神奈川県川崎市の歯科、新丸子西口歯科です。
2013.1.30.
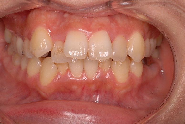
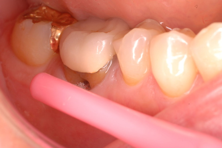
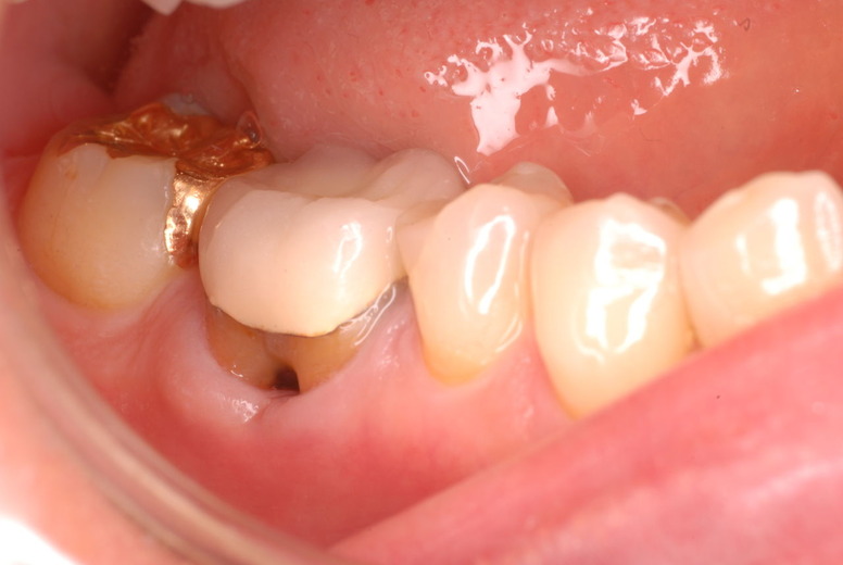
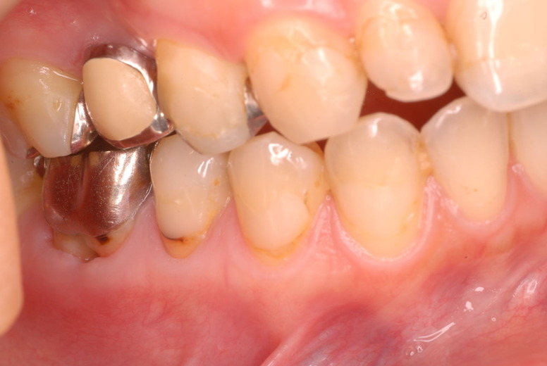
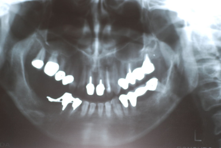
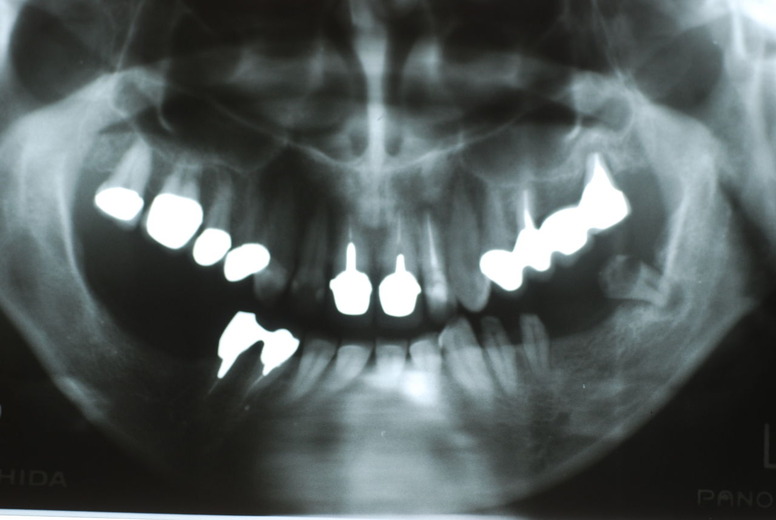
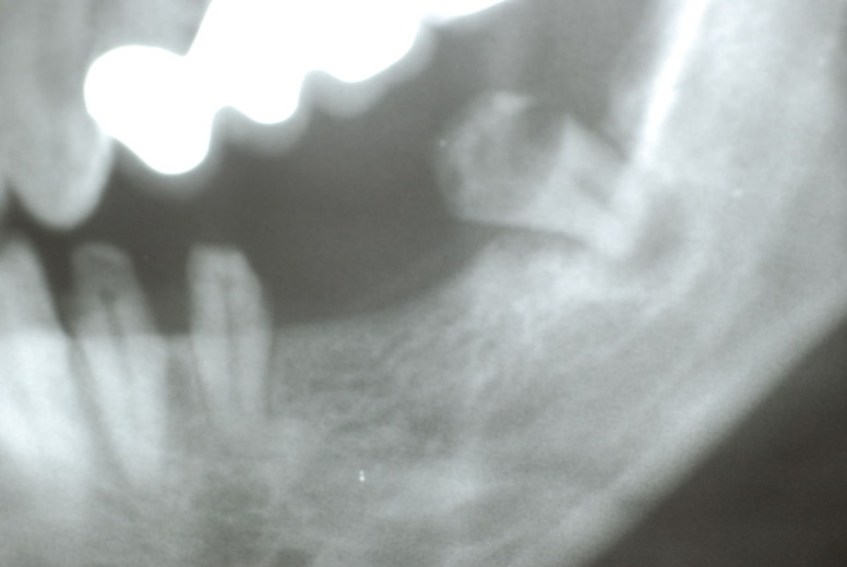
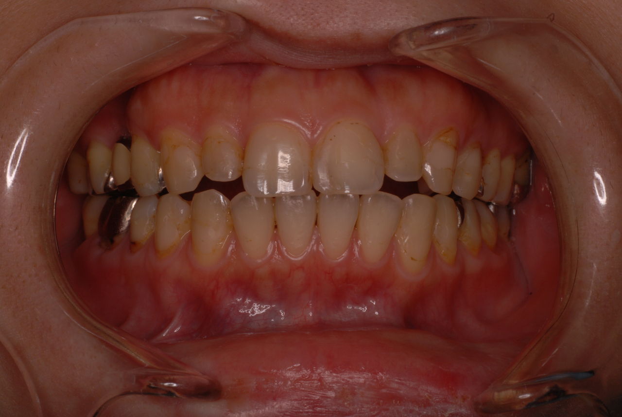
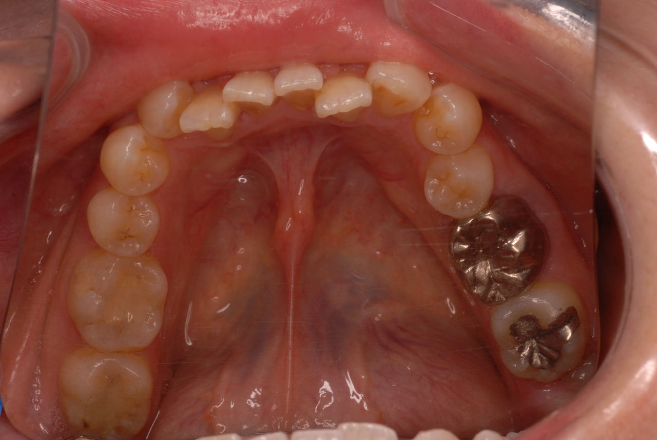
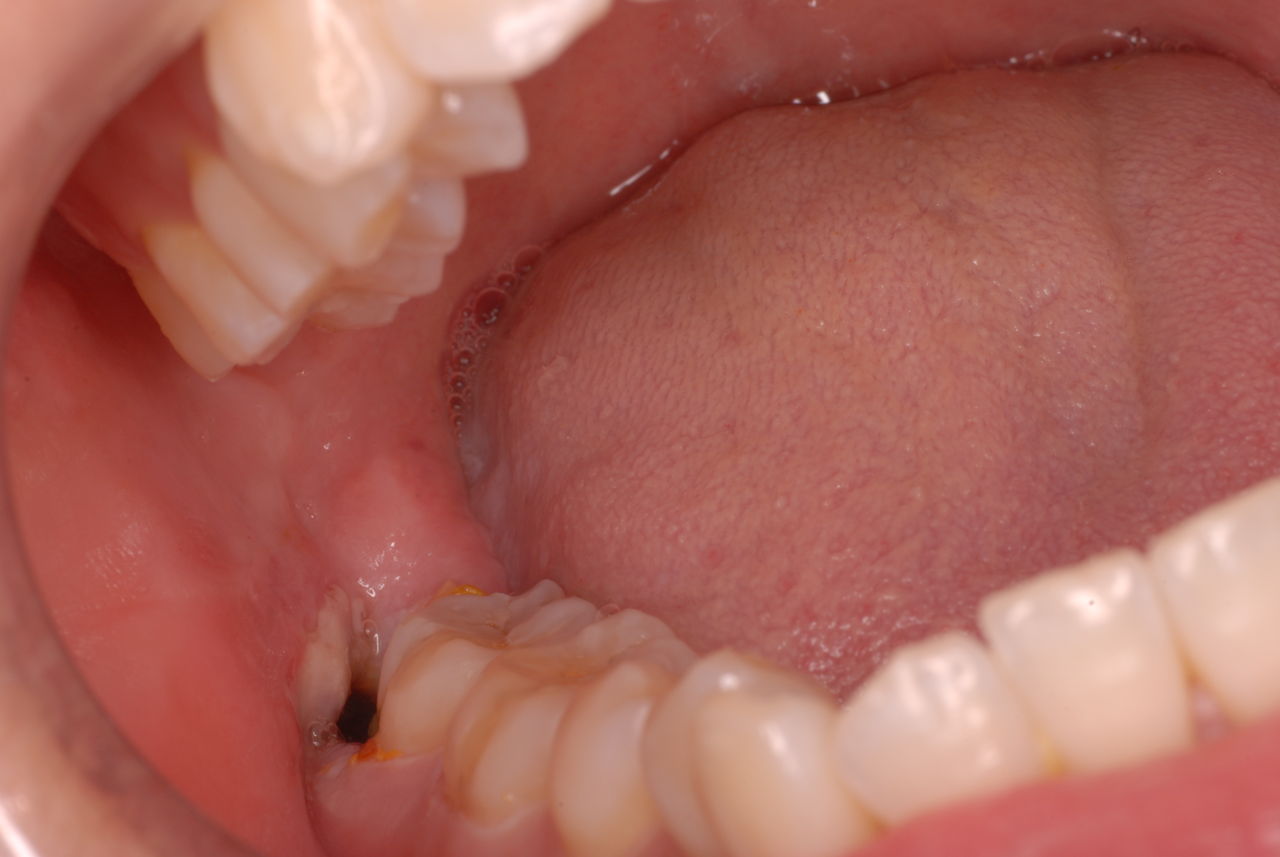
親知らずを取ることを嫌がる方が多いのですが、もし親知らずとその隣の14歳大臼歯の間に虫歯ができたり歯周病を罹患した場合、どれほど治療が大変で再発も起こりやすいか理解できない方がおおいのです。
・・・・・・・・・・・・・・・・・・・・・・・・・・・・・・・・・・・・・・・・・・・・・・・・・・・・・・・・・・・・・・・・
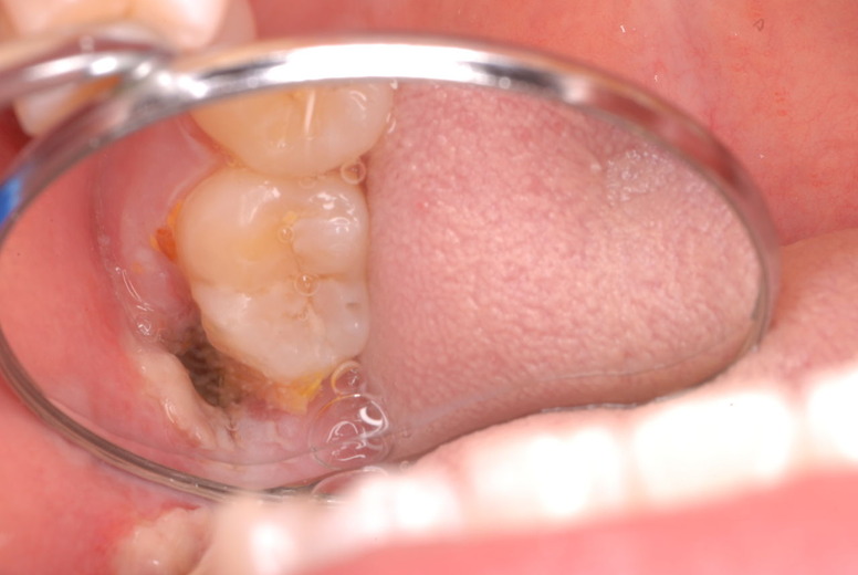
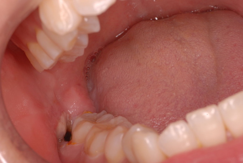
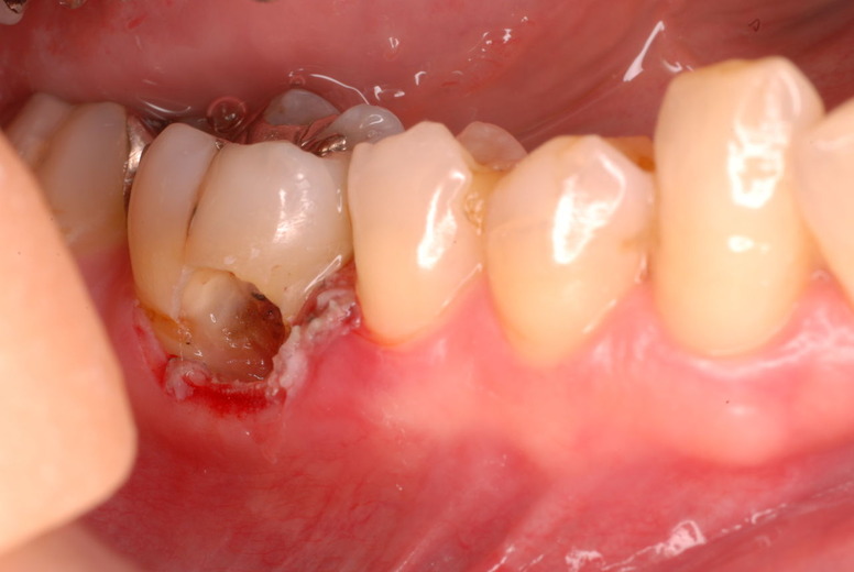
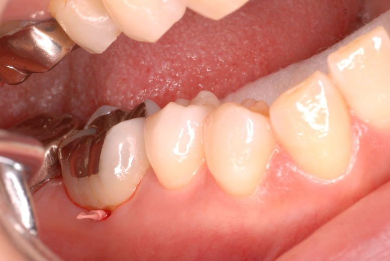
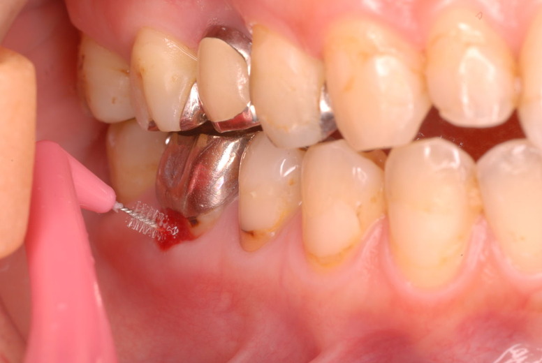
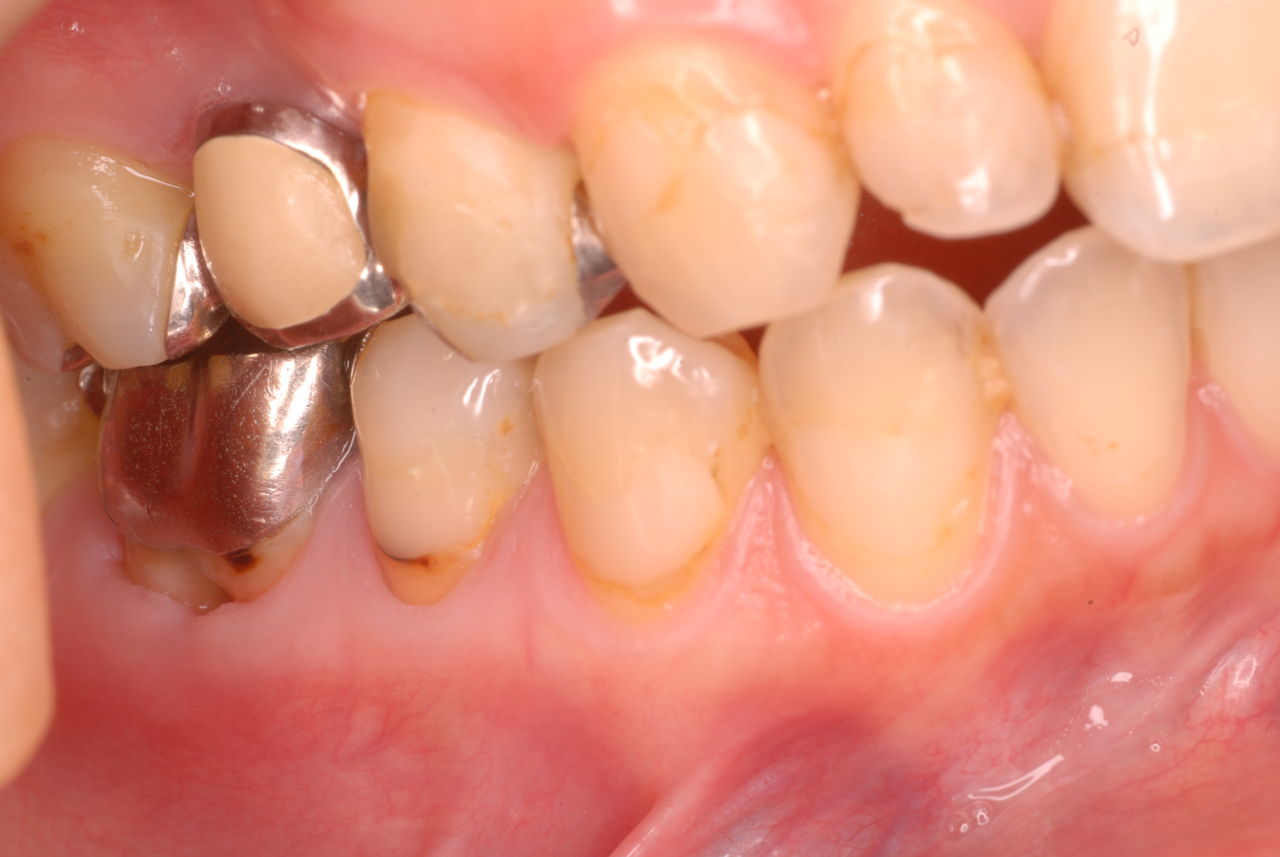
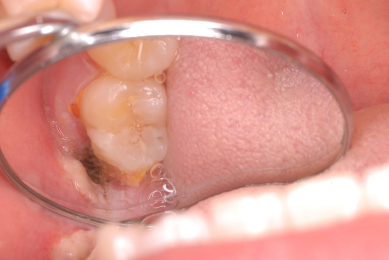
写真左下の親知らずが痛くなり抜歯しました。その後歯茎を除去して虫歯を露出させる処置を二回ほどしています。
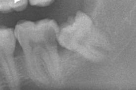
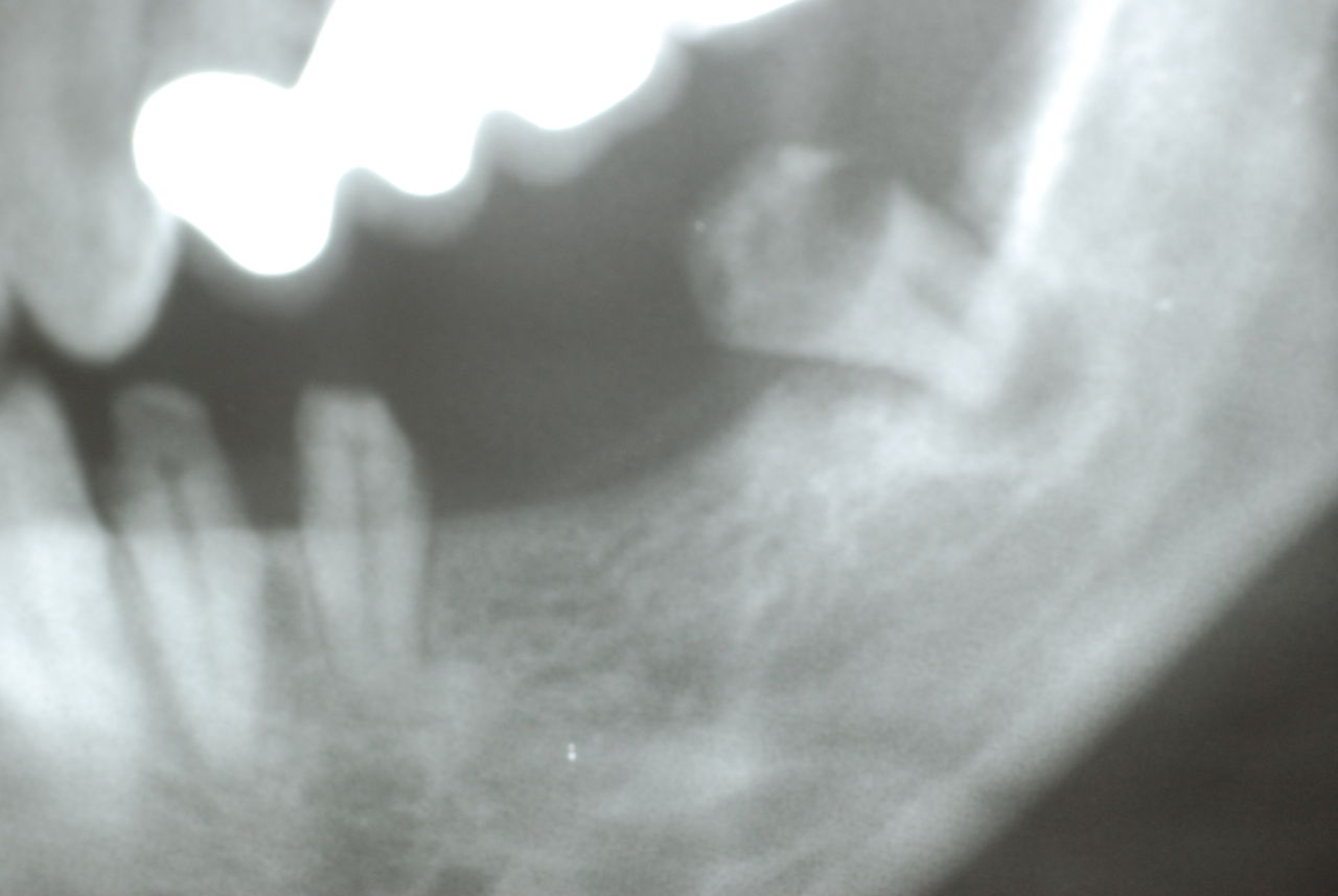
レントゲンでは小さいですが、こう言う虫歯が一番怖いのです。



治療の成功率は極めて悪くすぐ再発しやすいのです。
・・・・・・・・・・・・・・・・・・・・・・・・・・・・・・・・・・・・・・・・・・・・・・・・・
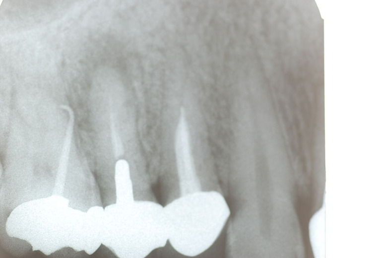
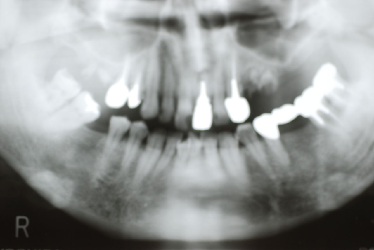
隣の14歳大臼歯がひどい虫歯になり治療不可能になりつつある状態のレントゲン

・・・・・・・・・・・・・・・・・・・・・・・・・・・・・・・・・・・・・・・・・・・・・・・・・・・・・・・・・・・・・・・・
新丸子西口歯科はQ-lifeに登録しています。
株式会社QLife(キューライフ)に登録して商品をゲットし評価をお願いします。会員登録はこちらから
「川崎市の入れ歯なら新丸子西口歯科医院へ」
「顎関節症は新丸子西口歯科医院へ」
入れ歯のことなら入れ歯専門の新丸子西口歯科へ
・・・・・・・・・・・・・・・・・・・・・・・・・・・・・・・・・・・・・・・
211-0063
川崎市中原区小杉町1-527-4 メゾンゴールド1A
新丸子西口歯科
松下勲夫
TEL&FAX 044-744-1181
お口の中から差し歯、入れ歯、詰め物を追放しましょう!
口の中の病気を治し、病気を興さない医療を目指します。
二度とお口の中へ変なものを入れなくても済むように
予防に精進いたしましょう!安全な矯正、美容を目指しましょう!
・・・・・・・・・・・・・・・・・・・・・・・・・・・・・・・・・・・・・・・・・・・・・・・・・・・・・・・・・・・・・・・・




















































































































































