神奈川県川崎市の歯科、新丸子西口歯科です。
2012.12.26.
大急ぎで総入れ歯を作成したおじいちゃんを拝見して
84歳になる方ですが娘さんから電話がありましたのは12月13日、そして1月3日のお囃子で笛を吹きたいから大急ぎで噛める、そして吹ける入れ歯を作って欲しいという要望でした。
無理だとは思いましたが12月15日に来ていただき唖然とした次第です。
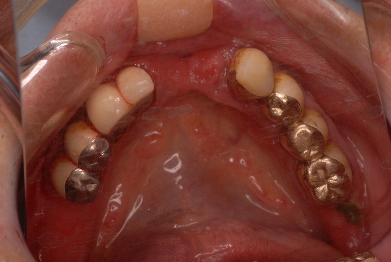
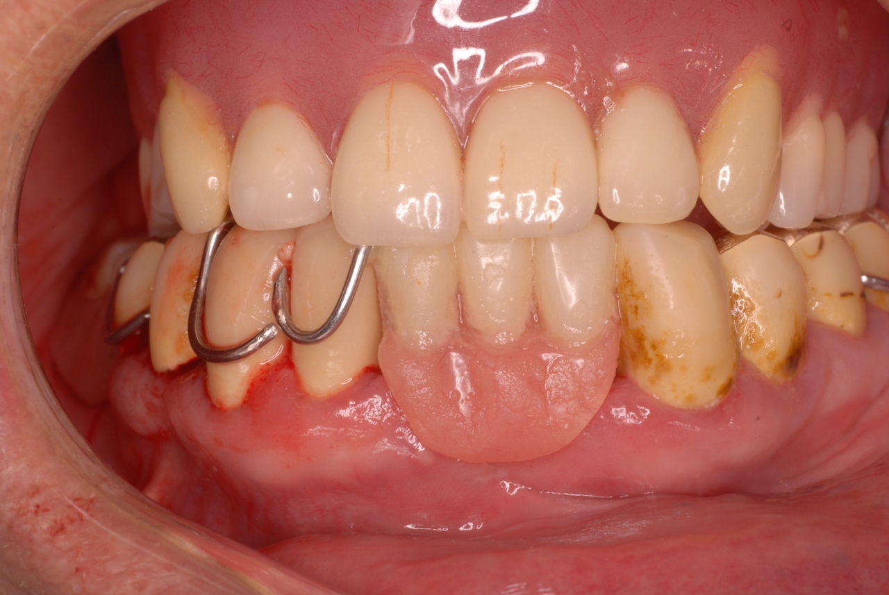
flabby gumと言いまして、骨が溶けてぶよぶよになった歯茎が残るとても入れ歯が吸着したり安定的に食べ物が噛めるような状態でないのです。(歯周病で骨が溶けたとか合わない入れ歯を入れているとなりやすい。)
そしてその部分が擦れて痛む為食事もできないのです。それ以上に驚いたのは、歯を磨いたり歯周病の治療の話を聞いたことがないという事実です。
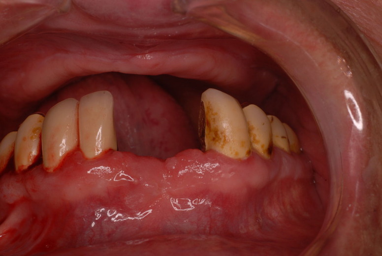
下の歯は数本存在しますが、全て虫歯と歯周病に犯されていました。
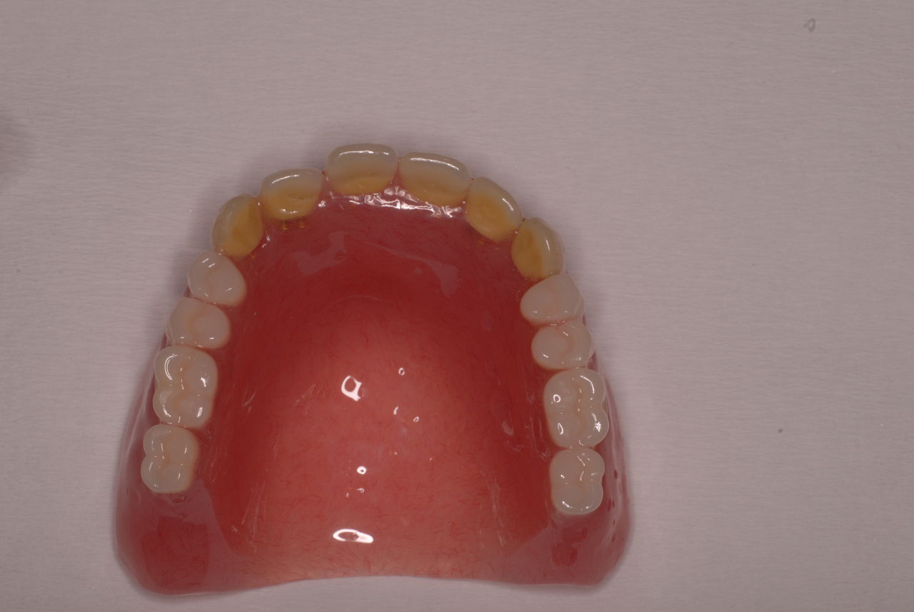
とりあえず私自身が作成し最後は業者に任せて10日ぐらいで作成しましたが、チェック回数が
少ない入れ歯はやはりいいものはできないのです。
フラビーガムとは?(歯界展望より転載?)
・・・・・・・・・・・・・・・・・・・・・・・・・・・・・・・・・・・・・・・・・・・・・・・・・・・・
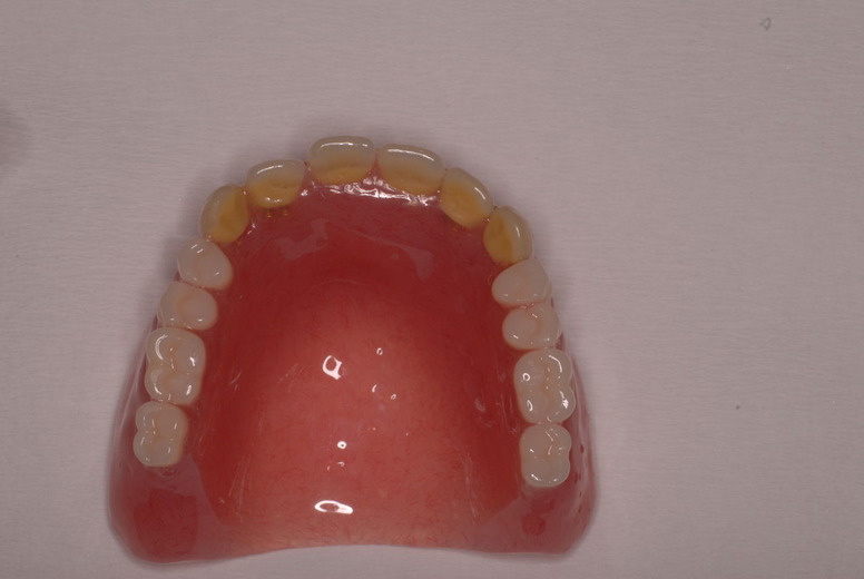
金属にもかかわらず適合が悪い為にプラスチックを重ね着した為に厚くなりしゃべりにくくなっていました。
かなり分厚い入れ歯です。
外注で完成させた入れ歯です。

違いは歯の位置です。あまりに外側で噛むと動くから噛めないのです。
触るとぶよぶよしていて強く押すと痛みがあります。
食べカスまみれで歯周病に罹患しています。


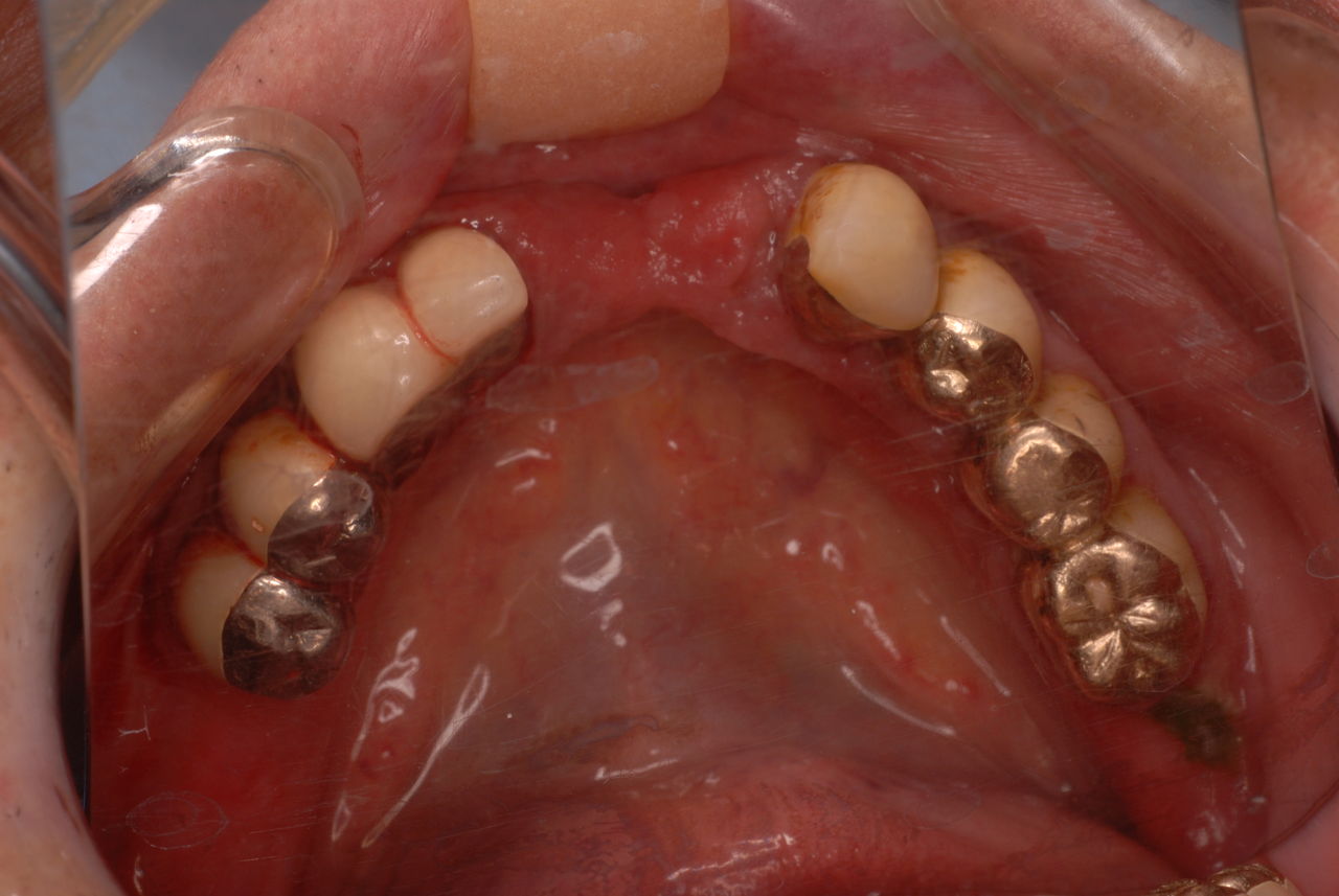
殆ど出っ張りがない上顎の部分です。

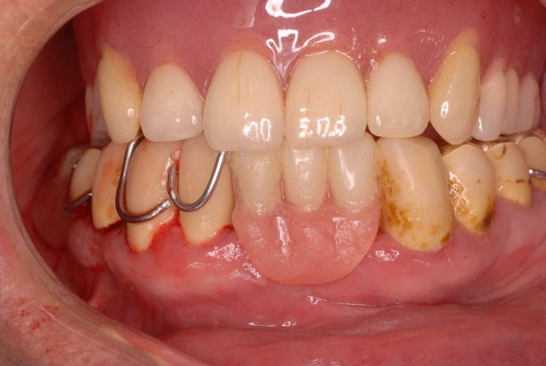
お渡しした当日は、歯型を採取してから約10日後に完成、一応調整後おにぎりとおせんべいを食べてもらい、痛まないこと落ない事を確認して来年又来てもらうことになりました。
できてからいくら調整しても殆ど無駄なのですね。途中の段階で修正を続けないと良い入れ歯はできないのですよ。
だから早く作ることはダメな入れ歯を作ることになるのです。
そして、歯科医院に行き続けても歯がなくなる理由がわからない事に疑問を持たない方が多くて困惑します。
もし、歯科が病気を治癒するところならば、一度治療したり指導を受ければ、それを大切にして指導どうりにやっていれば再発しないはずなのです。
ですから、詰める、被せる、矯正する、美容をするなどは、医療行為ではないので、やればやれるほど歯や歯茎に病気を起こしやすいということを認識しないといけませんし、治療と錯覚するところに問題の原因があるのですね。
差し歯や金属の歯、セラミック、矯正した歯などがあればあるほどそこは弱い歯なので、虫歯にもなりやすいし歯周病にもなりやすいのです。よほどしっかりと病気を治してからでないと、そしてブラシやその他の清掃グッズの使い方がうまくならないと早晩腐れくちはててしまうのですね。
この方の場合、病気を治さず入れ歯を入れたり掃除の仕方をうまくできないのに教えてもいないのですから歯医者さんに通っても歯は無くなり続けた訳です。
“歯なしにならない話”というのはこういうことです。
一生歯医者で削られたり、抜かれたりしたくなければ病気を完全に治し、予防に注意するしかないのですね。そしてそれは可能なのです。
・・・・・・・・・・・・・・・・・・・・・・・・・・・・・・・・・・・・・・・・・・・・・・・・・
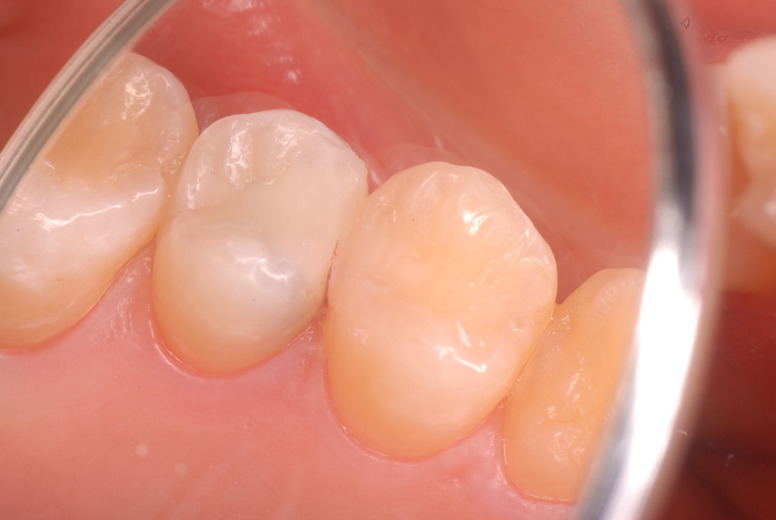
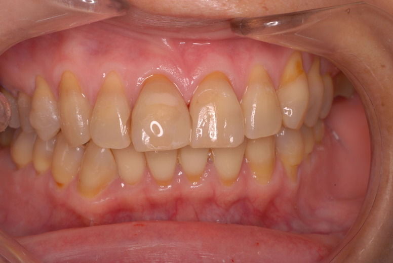
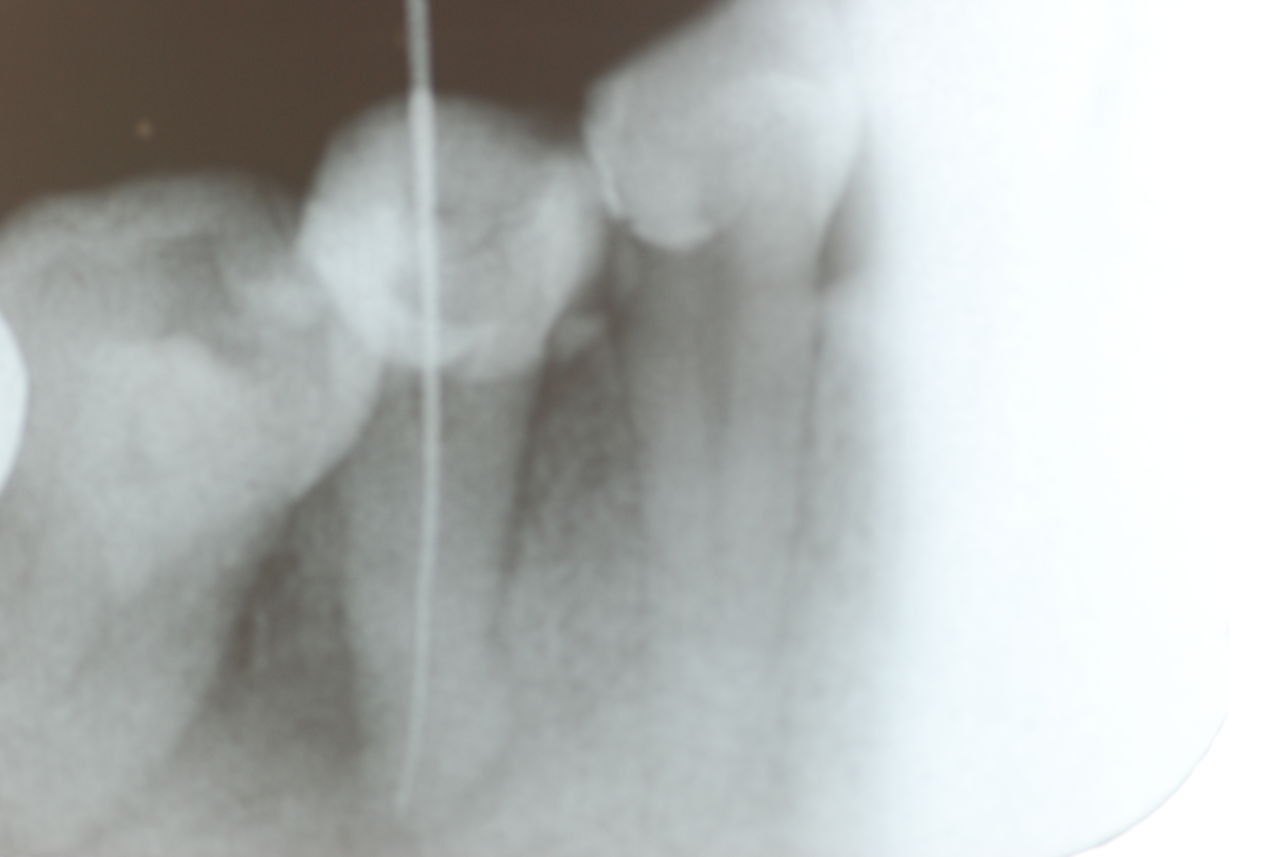
14年歯前、歯の神経が腐り、神経を除去したまま来なくなった現在大学生の女性



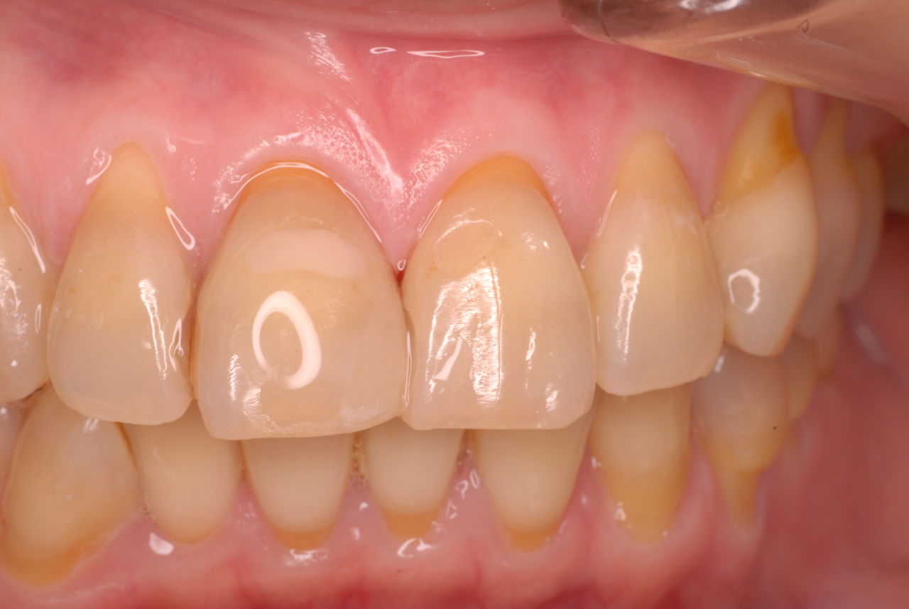
歯周病になっていましたが、少し色が黄色くなっているだけで比較的綺麗な歯の状態です。
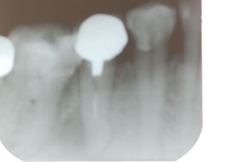
平成9年来院神経を取り、同時に歯周病の話をしてそのまま来なくなっていたかたですが、たまたま一部欠けてきました。それで来院。
平成9年![40af2ca7-s[1]](https://livedoor.blogimg.jp/netdental/imgs/0/d/0d02b3dc.jpg)
![f8336682-s[1]](https://livedoor.blogimg.jp/netdental/imgs/d/7/d739f231.jpg)
![a7fa4f9f-s[1]](https://livedoor.blogimg.jp/netdental/imgs/a/3/a3950330.jpg)
![4e36cd58-s[1]](https://livedoor.blogimg.jp/netdental/imgs/8/a/8aaefaf8.jpg)
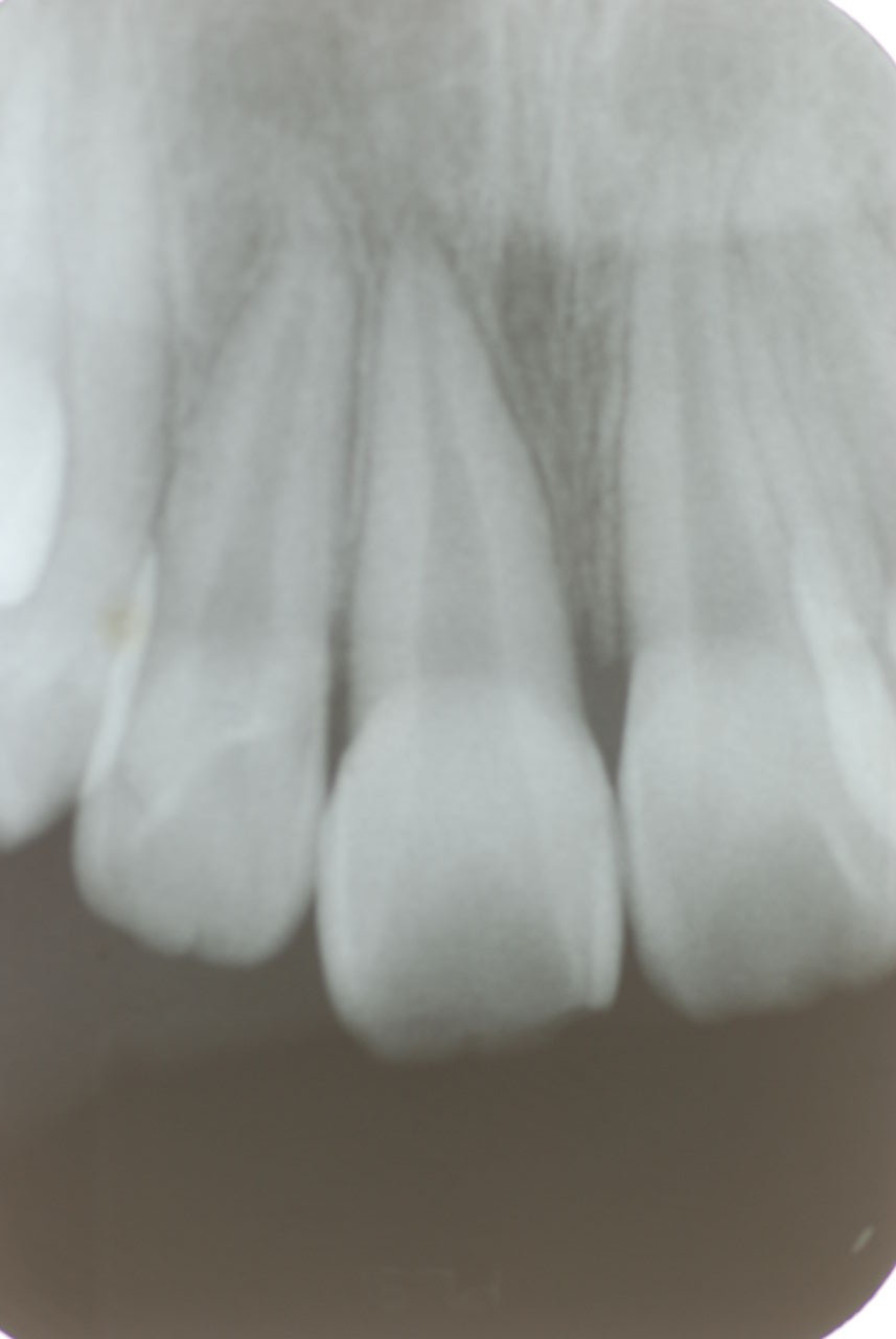
平成9年治療終了![a535535b-s[1]](https://livedoor.blogimg.jp/netdental/imgs/a/6/a6d0d873.jpg)
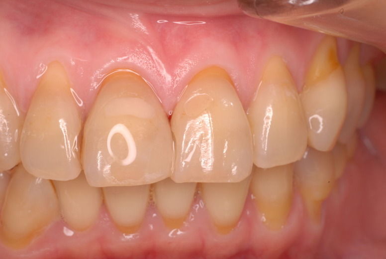
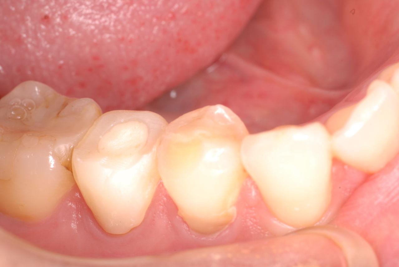
平成24年一部欠けて来院



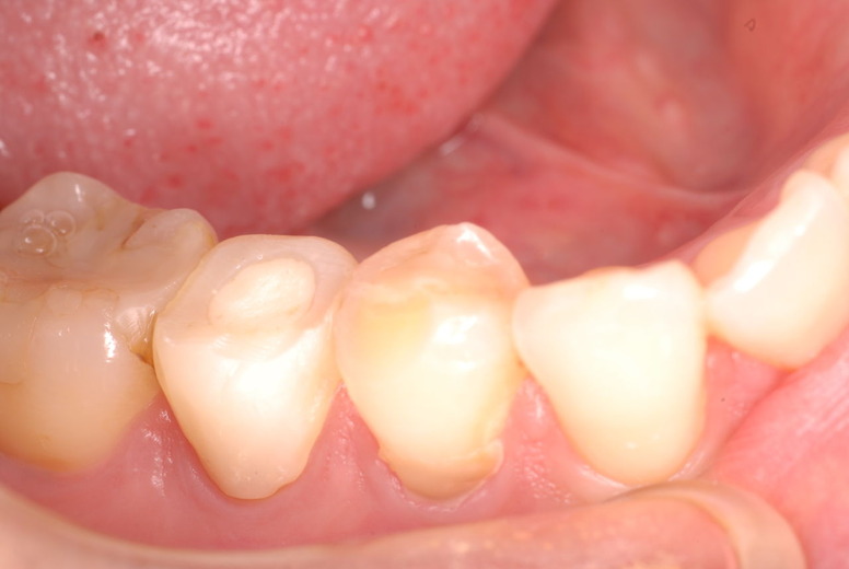
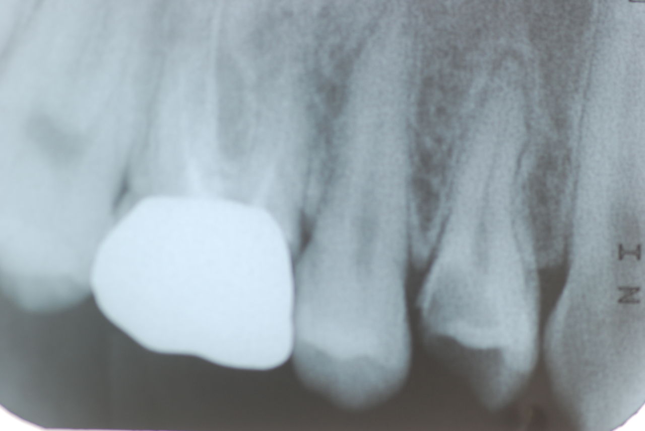
15年前と同じように詰めて終了。磨き方はまあまあでした。でも問題少ないでしょう。![ea7f9628-s[1]](https://livedoor.blogimg.jp/netdental/imgs/c/2/c2ef91be.jpg)
![1c81d8b6-s[2]](https://livedoor.blogimg.jp/netdental/imgs/a/4/a424b93d.jpg)
虫歯という病気を完全に治し、神経の処置で神経の病気を治し、ブラシの使い方をマスターすれば歯やお口の中は問題を起こしにくいのです。何かを被せることは注意が必要ですし、歯を傷つける訳ですからブラシの使い方をマスターしてから被せないと危ないのです。
そして被せることは破壊行為に近いので慎重にも慎重を来すべきなのです。
・・・・・・・・・・・・・・・・・・・・・・・・・・・・・・・・・・・・・・・・・・・・・・・・・・・・・・・・・・・・・・・・
新丸子西口歯科はQ-lifeに登録しています。
株式会社QLife(キューライフ)に登録して商品をゲットし評価をお願いします。会員登録はこちらから
「川崎市の入れ歯なら新丸子西口歯科医院へ」
「顎関節症は新丸子西口歯科医院へ」
入れ歯のことなら入れ歯専門の新丸子西口歯科へ
・・・・・・・・・・・・・・・・・・・・・・・・・・・・・・・・・・・・・・・
211-0063
川崎市中原区小杉町1-527-4 メゾンゴールド1A
新丸子西口歯科
松下勲夫
TEL&FAX 044-744-1181
お口の中から差し歯、入れ歯、詰め物を追放しましょう!
口の中の病気を治し、病気を興さない医療を目指します。
二度とお口の中へ変なものを入れなくても済むように
予防に精進いたしましょう!安全な矯正、美容を目指しましょう!
新丸子西口歯科
松下勲夫
TEL&FAX 044-744-1181
お口の中から差し歯、入れ歯、詰め物を追放しましょう!
口の中の病気を治し、病気を興さない医療を目指します。
二度とお口の中へ変なものを入れなくても済むように
予防に精進いたしましょう!安全な矯正、美容を目指しましょう!
松下勲夫
お口の中から差し歯、入れ歯、詰め物を追放しましょう!
口の中の病気を治し、病気を興さない医療を目指します。
二度とお口の中へ変なものを入れなくても済むように
予防に精進いたしましょう!安全な矯正、美容を目指しましょう!






































