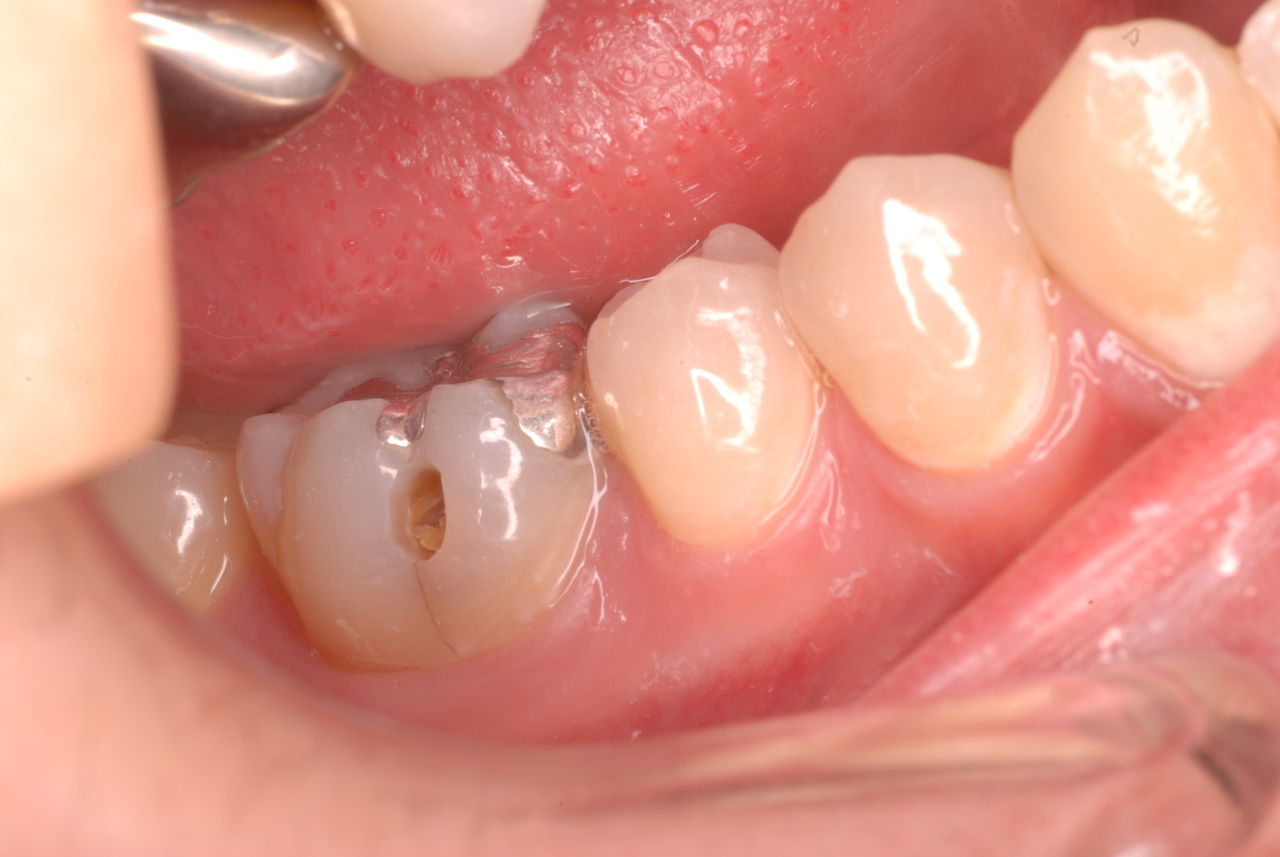
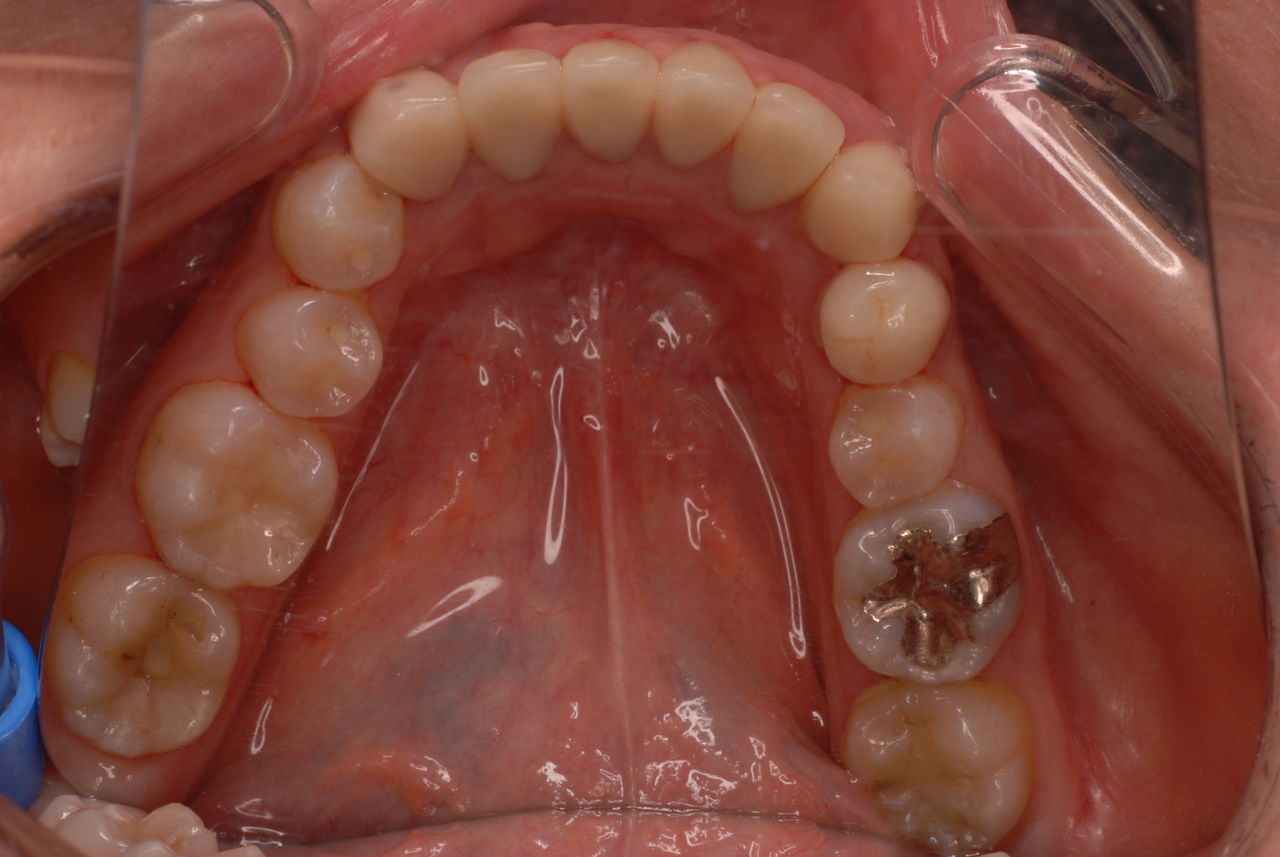
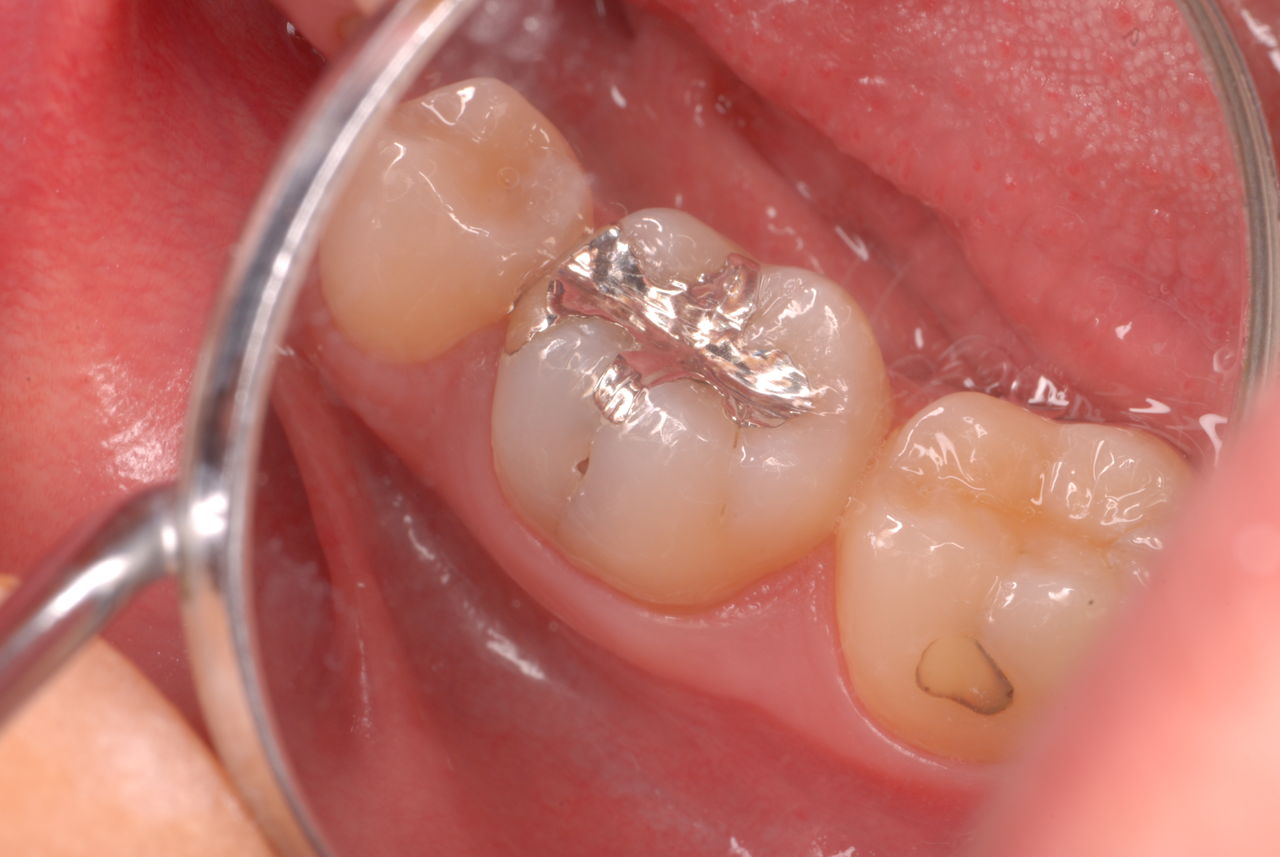
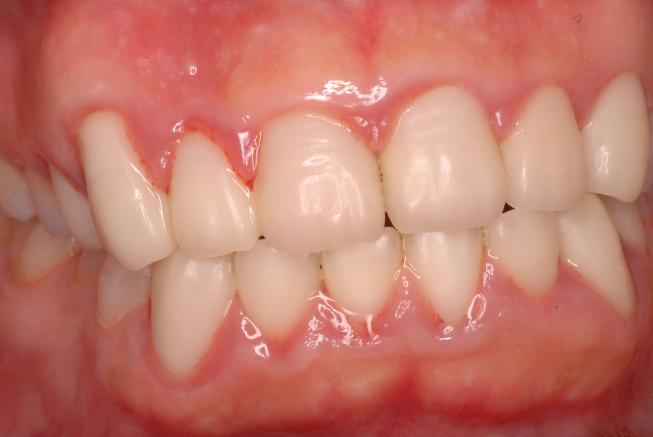
¿ÀÆàÀÀîºê»Ô¤Î»õ²Ê¡¢¿·´Ý»ÒÀ¾¸ý»õ²Ê¤Ç¤¹¡£
2012.9.23.
žºÜµ»ö¤Ç¤¹¡£
¡¦¡¦¡¦¡¦¡¦¡¦¡¦¡¦¡¦¡¦¡¦¡¦¡¦¡¦¡¦¡¦¡¦¡¦¡¦¡¦¡¦¡¦¡¦¡¦¡¦¡¦¡¦¡¦¡¦¡¦¡¦¡¦¡¦
¥Ç¥¹¥¯¥ï¡¼¥¯¤Ç¿©¤¤¤·¤Ð¤ê¾É¸õ·²¡©
http://zasshi.news.yahoo.co.jp/article?a=20120923-00000012-rnijugo-ent
ͧã¤Èι¹Ô¤Ë¹Ô¤Ã¤¿¤é¡¢ÌëÃæ¤ËÎÙ¤«¤é¥®¥ê¥®¥ê¤È»õ¤®¤·¤ê²»¤¬¡Ä¤Ê¤ó¤Æ·Ð¸³¡¢¤¢¤ê¤Þ¤»¤ó¤«¡©¡¡¤·¤«¤·¡¢¤¢¤Î¥®¥ê¥®¥ê¡¢Êü¤Ã¤Æ¤ª¤¯¤È¤¢¤Þ¤êÎɤ¯¤Ê¤¤¤â¤Î¤é¤·¤¤¡£
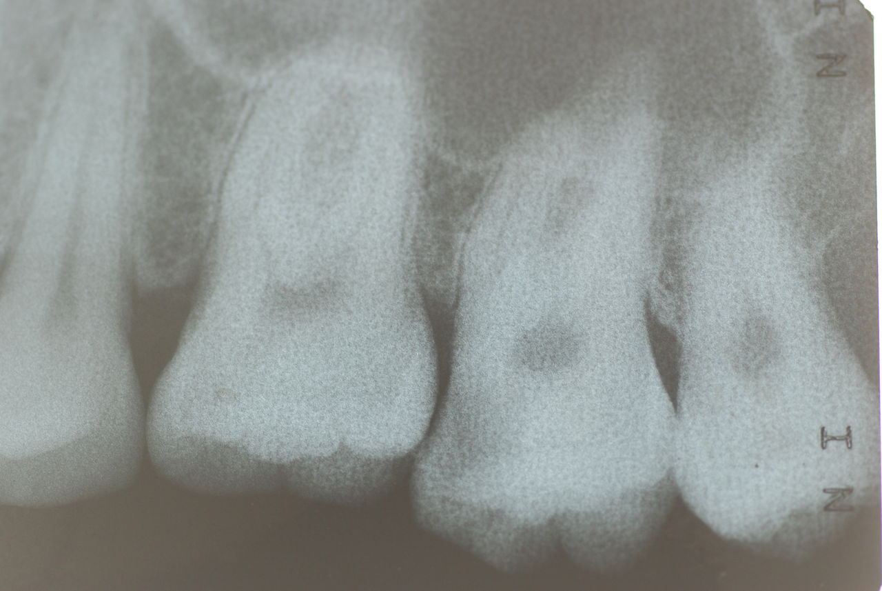
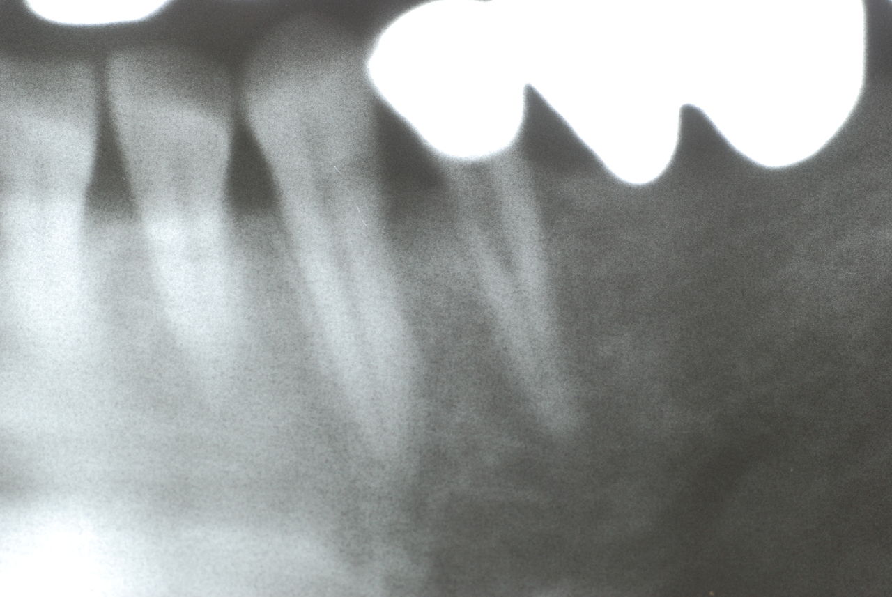
¡Ö»õ¤®¤·¤ê¤Ï¸ª¤³¤ê¤äƬÄˤò°ú¤µ¯¤³¤¹¤³¤È¤¬¤¢¤ê¤Þ¤¹¡£¤Ç¤â¤½¤Î¸¶°ø¤¬»õ¤®¤·¤ê¤À¤È»×¤¦¿Í¤Ï¤á¤Ã¤¿¤Ë¤¤¤Þ¤»¤ó¡£µ¤¤Å¤¤¤Æ¤¤¤Ê¤¤¿Í¤Ï¿¤¤¤È»×¤¤¤Þ¤¹¡×¤È¤Ï¡¢³ú¤ß¹ç¤ï¤»¤ä»õ¤®¤·¤ê¤Ë¾Ü¤·¤¤Ä¹Ã«Àî¹ÀÇ·ÀèÀ¸¡Ê´Ý¤ÎÆâ±Ê³Ú¥Ó¥ë»õ²Ê¥¯¥ê¥Ë¥Ã¥¯¡Ë¡£»õ¤®¤·¤ê¤Ï¿çÌ²Ãæ¤Ëµ¯¤¤ä¤¹¤¤¤¿¤áËܿͤ¬¼«³Ð¤·¤Å¤é¤¯¡¢¡Ö¾¤Î¼£ÎŤǻõ°å¼Ô¤ËÍ褿¤È¤¡¢»õ¤¬Ëá¤ê¸º¤Ã¤Æ¤¤¤ë¤³¤È¤«¤éȯ³Ð¤¹¤ë¥±¡¼¥¹¤¬¤Û¤È¤ó¤É¡×¤À¤È¤«¡£
¡Ö»õ¤®¤·¤ê¤È¸Æ¤Ð¤ì¤ë¾É¾õ¤Ë¤Ï¡¢¥®¥ê¥®¥ê¤ÈÂ礤ʲ»¤ò½Ð¤¹¤â¤Î¤Î¾¤Ë¡¢¤¤¤¯¤Ä¤«¼ïÎब¤¢¤ê¤Þ¤¹¡£¶áǯ¡¢¼ã¤¤Êý¤Ë¿¤¯¸«¤é¤ì¤ë¤Î¤¬¡¢²»¤Ï½Ð¤µ¤º¤Ë¾å²¼¤Î»õ¤ò¶¯¤¯¿©¤¤¤·¤Ð¤ë¡¢¤¤¤ï¤æ¤ë¡È¿©¤¤¤·¤Ð¤ê¡É¤Ç¤¹¡×¡ÊƱ¡Ë
¤·¤«¤â¤³¤Î¿©¤¤¤·¤Ð¤ê¡¢¿²¤Æ¤¤¤ë¤È¤¤À¤±¤Ç¤Ê¤¯¡¢µ¯¤¤Æ¤¤¤ë»þ¤Ë¤â¤·¤Æ¤¤¤ë¤³¤È¤¬Â¿¤¤¤È¤¤¤¦¡£
¡Ö¥Ñ¥½¥³¥ó¤Ë¸þ¤«¤Ã¤ÆÄ¹»þ´Ö¥Ç¥¹¥¯¥ï¡¼¥¯¤ò¤¹¤ë¤È¤¡¢Ìµ°Õ¼±¤Ë¿©¤¤¤·¤Ð¤Ã¤Æ¤¤¤ëÊý¤¬¸«¼õ¤±¤é¤ì¤Þ¤¹¡£»Å»öÃæ¡¢¤¢¤´¤Î¶ÚÆù¤¬Ä¥¤ëÊý¤Ï¿©¤¤¤·¤Ð¤ê¤Îµ¿¤¤¤¬¤¢¤ê¤Þ¤¹¡×¡ÊƱ¡Ë
¿©¤¤¤·¤Ð¤Ã¤Æ¤¤¤ë¤È¡¢¤¢¤´¤Î¶ÚÆù¤ËÉé²Ù¤¬¤«¤«¤ë¤¿¤áÊÐÆ¬ÄË¡¢¸ª¤³¤ê¡¢¼ó¤ÎÄ¥¤ê¤Ê¤É¤Î¾É¾õ¤Ë·Ò¤¬¤ë¤Û¤«¡¢»õ¤¬ËáÌפ·¤¿¤ê¤¹¤ë¤È¤¤¤¦¡£
¡Ö¿Í¤Ï¿²¤Æ¤¤¤ë¤È¤¡¢ÄøÅ٤κ¹¤³¤½¤¢¤ì¡¢Ã¯¤Ç¤â»õ¤®¤·¤ê¤ò¤¹¤ë¤È¹Í¤¨¤é¤ì¤Æ¤¤¤Þ¤¹¡£Ä̾ï¤ÏÀè¤ÎÀí¤Ã¤¿¾å²¼¤Î¸¤»õ¤¬Åö¤¿¤ë¤À¤±¤Ê¤Î¤Ç¤¢¤´¤Ø¤ÎÉéô¤ÏÂ礤¯¤¢¤ê¤Þ¤»¤ó¤¬¡¢¸¤»õ¤¬ËáÌפ·¤Æ¤¤¤ë¤È¡¢¾å²¼¤Î»õ¤ÎÀÜ¿¨ÌÌÀѤ¬¹¤¯¤Ê¤ê¡¢Á´ÂÎŪ¤ËËáÌפ¬¿Ê¤ß¤Þ¤¹¡£¤½¤¦¤Ê¤ë¤È¡¢»õ·Ô¤ä¡¢»õ¤ò»Ù¤¨¤ë¹ü¤ËÂ礤ÊÉé²Ù¤¬¤«¤«¤ë¤Î¤Ç¤¹¡×¡ÊƱ¡Ë
¤½¤Î·ë²Ì¡¢»õ¼þɤˤʤ俤ꡢ¤Ò¤É¤¤»þ¤Ë¤Ï±ü»õ¤¬³ä¤ì¤ë¤³¤È¤â¤¢¤ë¤½¤¦¡£¼«³Ð¤·¤Å¤é¤¤¤À¤±¤Ë¡¢µ¤¤Å¤¤¤¿¤È¤¤Ë¤Ï»õ¤¬ËáÌפ·¤Æ¤¤¤¿¡¦¡¦¡¦¤Ê¤ó¤Æ¤³¤È¤â¤¢¤ë¤è¤¦¤À¡£¤¢¤´¤ÎÄˤߤʤɼ«³Ð¾É¾õ¤¬¤¢¤ë¿Í¤Ï¡¢»õ²Ê°å¤Ç¥Á¥§¥Ã¥¯¤·¤Æ¤â¤é¤ª¤¦¡£
¡Ê¶ð·Á»ÍϺ¡Ë
´ØÏ¢µ»ö¡¢¤â¤Ã¤È¤ß
¢ª»Äǰ¤Ê¤¬¤é¥Þ¥¦¥¹¥Ô¡¼¥¹¤Ç»õ¤Î¤¹¤ê¸º¤é¤·¤Ï·Ú¸º¤Ç¤¤Æ¤â»õ¤®¤·¤ê¤½¤Î¤â¤Î¤Ï¤Õ¤»¤²¤Ê¤¤¤Î¤Ç¤¹¡£¤³¤ì¤Ï¥¹¥È¥ì¥¹¤«¤éÍè¤ë¤Î¤ÇÀº¿À°ÂÄêË¡¤Ç¤¢¤ë¡¢âÔÁÛ¤ä¸ÆµÛË¡¤ä¥¹¥È¥ì¥Ã¥Á¤Ê¤É¤ò¤ä¤ë¤È¤«´¶¾ð¤Î¥³¥ó¥È¥í¡¼¥ëË¡¤ò³Ð¤¨¤ë¤È¤«¡¢Àº¿À°ÂÄêºÞ¤ÎÉþÍѤʤɤʤɤò¤·¤Ê¤¤¸Â¤êËɤ²¤Ê¤¤¤Î¤Ç¤¹¡£¡Ê¿·´Ý»ÒÀ¾¸ý»õ²Ê¡Ë
¡¦¡¦¡¦¡¦¡¦¡¦¡¦¡¦¡¦¡¦¡¦¡¦¡¦¡¦¡¦¡¦¡¦¡¦¡¦¡¦¡¦¡¦¡¦¡¦¡¦¡¦¡¦¡¦¡¦¡¦¡¦¡¦¡¦¡¦¡¦¡¦¡¦¡¦¡¦
¿·´Ý»ÒÀ¾¸ý»õ²Ê¤ÏQ-life¤ËÅÐÏ¿¤·¤Æ¤¤¤Þ¤¹¡£
³ô¼°²ñ¼ÒQLife(¥¥å¡¼¥é¥¤¥Õ)¤ËÅÐÏ¿¤·¤Æ¾¦Éʤò¥²¥Ã¥È¤·É¾²Á¤ò¤ª´ê¤¤¤·¤Þ¤¹¡£²ñ°÷ÅÐÏ¿¤Ï¤³¤Á¤é¤«¤é
¡ÖÀîºê»Ô¤ÎÆþ¤ì»õ¤Ê¤é¿·´Ý»ÒÀ¾¸ý»õ²Ê°å±¡¤Ø¡×
¡Ö³Ü´ØÀá¾É¤Ï¿·´Ý»ÒÀ¾¸ý»õ²Ê°å±¡¤Ø¡×
¡¦¡¦¡¦¡¦¡¦¡¦¡¦¡¦¡¦¡¦¡¦¡¦¡¦¡¦¡¦¡¦¡¦¡¦¡¦¡¦¡¦¡¦¡¦¡¦¡¦¡¦¡¦¡¦¡¦¡¦¡¦¡¦¡¦¡¦¡¦¡¦¡¦¡¦¡¦
211-0063
Àîºê»ÔÃæ¸¶¶è¾®¿ùÄ®1-527-4 ¥á¥¾¥ó¥´¡¼¥ë¥É1A
¿·´Ý»ÒÀ¾¸ý»õ²Ê
¾¾²¼·®É×
TEL&FAX 044-744-1181
****************************************
¤ª¸ý¤ÎÃæ¤«¤éº¹¤·»õ¡¢Æþ¤ì»õ¡¢µÍ¤áʪ¤òÄÉÊü¤·¤Þ¤·¤ç¤¦¡ª
¸ý¤ÎÃæ¤Îɵ¤¤ò¼£¤·¡¢Éµ¤¤ò¶½¤µ¤Ê¤¤°åÎŤòÌܻؤ·¤Þ¤¹¡£
ÆóÅ٤Ȥª¸ý¤ÎÃæ¤ØÊѤʤâ¤Î¤òÆþ¤ì¤Ê¤¯¤Æ¤âºÑ¤à¤è¤¦¤Ë
ͽËɤËÀº¿Ê¤¤¤¿¤·¤Þ¤·¤ç¤¦¡ª°ÂÁ´¤Ê¶ºÀµ¡¢ÈþÍÆ¤òÌܻؤ·¤Þ¤·¤ç¤¦¡ª
¿·´Ý»ÒÀ¾¸ý»õ²Ê¤ÏQ-life¤ËÅÐÏ¿¤·¤Æ¤¤¤Þ¤¹¡£
³ô¼°²ñ¼ÒQLife(¥¥å¡¼¥é¥¤¥Õ)¤ËÅÐÏ¿¤·¤Æ¾¦Éʤò¥²¥Ã¥È¤·É¾²Á¤ò¤ª´ê¤¤¤·¤Þ¤¹¡£²ñ°÷ÅÐÏ¿¤Ï¤³¤Á¤é¤«¤é
¡ÖÀîºê»Ô¤ÎÆþ¤ì»õ¤Ê¤é¿·´Ý»ÒÀ¾¸ý»õ²Ê°å±¡¤Ø¡×
¡Ö³Ü´ØÀá¾É¤Ï¿·´Ý»ÒÀ¾¸ý»õ²Ê°å±¡¤Ø¡×
211-0063
Àîºê»ÔÃæ¸¶¶è¾®¿ùÄ®1-527-4 ¥á¥¾¥ó¥´¡¼¥ë¥É1A
¿·´Ý»ÒÀ¾¸ý»õ²Ê
¾¾²¼·®É×
TEL&FAX 044-744-1181
****************************************
¤ª¸ý¤ÎÃæ¤«¤éº¹¤·»õ¡¢Æþ¤ì»õ¡¢µÍ¤áʪ¤òÄÉÊü¤·¤Þ¤·¤ç¤¦¡ª
¸ý¤ÎÃæ¤Îɵ¤¤ò¼£¤·¡¢Éµ¤¤ò¶½¤µ¤Ê¤¤°åÎŤòÌܻؤ·¤Þ¤¹¡£
ÆóÅ٤Ȥª¸ý¤ÎÃæ¤ØÊѤʤâ¤Î¤òÆþ¤ì¤Ê¤¯¤Æ¤âºÑ¤à¤è¤¦¤Ë
ͽËɤËÀº¿Ê¤¤¤¿¤·¤Þ¤·¤ç¤¦¡ª°ÂÁ´¤Ê¶ºÀµ¡¢ÈþÍÆ¤òÌܻؤ·¤Þ¤·¤ç¤¦¡ª
¾¾²¼·®É×
¤ª¸ý¤ÎÃæ¤«¤éº¹¤·»õ¡¢Æþ¤ì»õ¡¢µÍ¤áʪ¤òÄÉÊü¤·¤Þ¤·¤ç¤¦¡ª
¸ý¤ÎÃæ¤Îɵ¤¤ò¼£¤·¡¢Éµ¤¤ò¶½¤µ¤Ê¤¤°åÎŤòÌܻؤ·¤Þ¤¹¡£
ÆóÅ٤Ȥª¸ý¤ÎÃæ¤ØÊѤʤâ¤Î¤òÆþ¤ì¤Ê¤¯¤Æ¤âºÑ¤à¤è¤¦¤Ë
ͽËɤËÀº¿Ê¤¤¤¿¤·¤Þ¤·¤ç¤¦¡ª°ÂÁ´¤Ê¶ºÀµ¡¢ÈþÍÆ¤òÌܻؤ·¤Þ¤·¤ç¤¦¡ª





























































