神奈川県川崎市の歯科、新丸子西口歯科です。
2012.7.31.
歯医者に通いながらいつの間にか歯がなくなる理由。
70代の患者ですが上の歯は残根一つ全て歯は無し。
下顎、殆ど歯はなく歯周病で抜けそうな歯と虫歯だらけの歯、適合の悪い銀歯が入っていてそれも虫歯と歯周病で危ない状態でした。入れ歯は下の入れ歯は入れたことがないようです。(ため息)痛くて入れたことがないそうです。

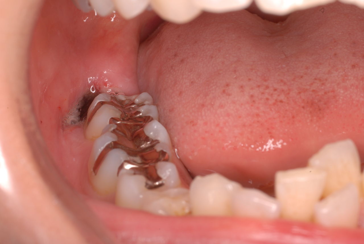
左下の歯は歯の中の治療も?ですごい歯周病を患い歯茎の穴(ポケットと呼ばれるところ)から膿が出ているのです。ばい菌と毒素で骨が溶けて深い穴ができてそこにまたバイキンと毒素がたまるという悪循環ができているのですね。
抜きたくないと抵抗されてもこのような歯が生き返ることもないし、噛む度にバイキンを血管に押し込み血管の中にバイキンを押し込む菌血漿を起こしていますから、動脈硬化や心臓、腎臓などの血管豊富な場所での病気(感染症)を起こしている可能性が高いのです。
リュウマチなどが歯周病等をよくすることでよくなることを知らない方が多いのです。
難病治療で有名な未来クリニックの今井先生はリュウマチの患者さんで自分ではうまくいかない患者は、一応提携している歯科医院で歯周病や歯の感染症の治療をおねがいしているそうです。その治癒率は80%にも上るとか。(驚き)
http://mirai-iryou.com/mc_profeel.html

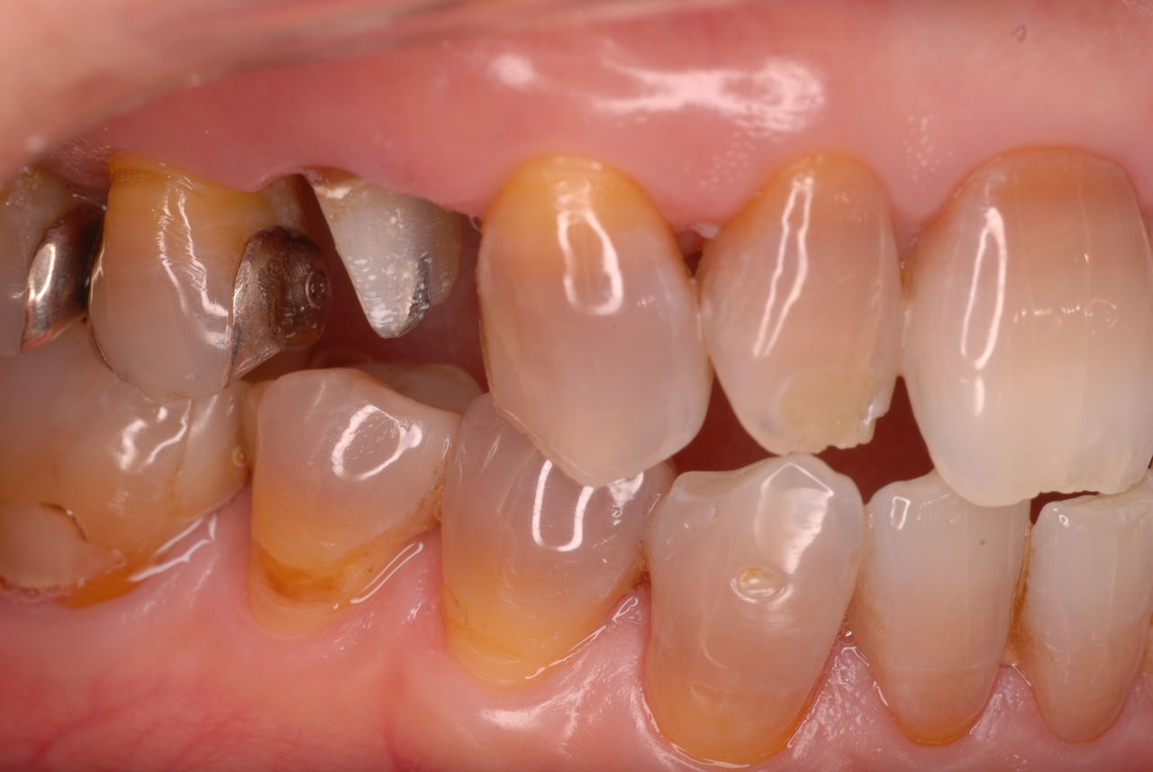
右下の歯は歯の中の治療もあやしいのですが、金属と歯の間がすでに虫歯で崩壊し始めています。



プラークというバイキンと毒素と食べかすの塊が歯の周りや歯茎にまとわりついて虫歯になり且つ重症の歯周病を患っています。

クラスプという歯を取り囲むワイヤ−が折れたりしてまともに機能していません。構造的な問題もあるのでしょうがヒビも目立ちます。殆ど使わずに御蔵入りとなったようです。値段の問題からかそうではないか判然としませんが、入れ歯というのは残りの歯や歯周病の治療がある程度完了してからでないと良い機能的な入れ歯などはできません。せいぜい治療中用の簡素な物を作成して歯や歯茎の病気が治るのを待ちながら様子をみるしかないのです。
一旦歯が悪くなり病気になり崩壊している場合は、かなりの時間と費用がかかるのはしかたないことです。物ですから全て価格統一して好いものが出来るとは思えません。大学や講習会で習った理想的な入れ歯は自由診療以外では無理なことを理解していただくしかないのです。
だからこそ悪くならないようにブラシの使い方を習い、予防のために検診していただきたいのです。



痛い時だけ神経をとり歯周病も完治していない状態で被せたりすれば、なんとなく早く終わった感じがしてそこの歯医者さんは“手が早い”“うまい”ということになるようです。
何度も強調しておかなければならないことは、神経の病気や歯周病という病気は簡単に治らず治癒に時間がかかることが多いということです。被せたり詰めたりすることは病気の治療とは関係ないのです。病気がよくなり、そして原因であるバイキンや毒素のかたまりであるプラークを毎日綺麗にそぎ落とす技術ができて初めて病気がよくなるのです。
不潔な状態で作成した詰め物や銀歯、差し歯の類は適合も悪く上記のような悲惨な状態へと移行していくのです。
お金をかけたくないとか、歯が悪くなりたくないとか、歯医者で治療されたくなければまず病気にならないように、プラークコントロールできるブラシなどの清掃用具の使い方に精通する事。
病気を確実に良くしてからしか被せたりしないことなのです。そして危ないので被せた所はずっとチェックが必要なのです。なぜなら磨きにくいバイキンが溜まりやすい歯の間とか後ろの方
の歯が悪くなり治療になったのだから再発しやすいということです。
下記はかなりうまくいった方です。
・・・・・・・・・・・・・・・・・・・・・・・・・・・・・・・・・・・・・・・・・・・・・・・・
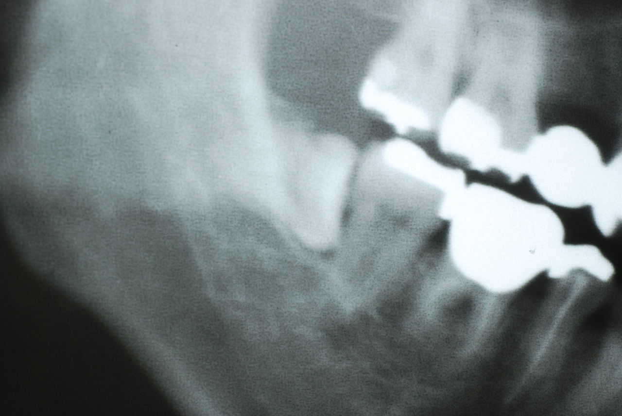
平成9年治療、虫歯と神経の処置、歯周病の治療




![a7fa4f9f-s[1]](https://livedoor.blogimg.jp/netdental/imgs/4/2/42470ffa.jpg)
2012,7月来院



欠けたところを埋めておしまいです。

・・・・・・・・・・・・・・・・・・・・・・・・・・・・・・・・・・・・・・・・・・・・・・・・・・
歯医者でしている被せたり、詰めたりすることは病気を治したりすることではないからです。
ですから病気を治していれば、あるいは患者さんがそれを理解して歯ブラシの使い方や病気を治すためには時間がかかることを理解していただかないと難しいのです。
例えば虫歯の治療、痛くしないのは重要ですが意外と取り残しが多いのです。又歯周病の治療をやられていないので血だらけの方がいます。虫歯の治療をしようとしても虫歯を除去した後にプラスチックを埋めようとしても血だらけで濡れている状態では、くっつかないのですぐ外れるし、綺麗な形にできないのです。
神経を取りましてもただ“死んだ”だけですからとても虫歯になりやすいし、何より完全に歯の中から腐りやすいものやばい菌を除去するのは難しいのです。治療成績は極めて悪い処置です。
そして極めつけは歯が割れないように削り被せる行為が歯を弱めて虫歯や歯周病を起こしやすい事を理解できていないのです。
いじくった歯はとても虫歯や歯周病になりやすいので磨き方や掃除の仕方を真剣に考えないといけないのです。でも被せて終わりの歯科医院の多いこと。
被せたり詰めたりした後からが大事なのです。
・・・・・・・・・・・・・・・・・・・・・・・・・・・・・・・・・・・・・・・
新丸子西口歯科はQ-lifeに登録しています。
株式会社QLife(キューライフ)に登録して商品をゲットし評価をお願いします。会員登録はこちらからよう
「川崎市の入れ歯なら新丸子西口歯科医院へ」
「顎関節症は新丸子西口歯科医院へ」
・・・・・・・・・・・・・・・・・・・・・・・・・・・・・・・・・・・・・・・
211-0063
川崎市中原区小杉町1-527-4 メゾンゴールド1A
新丸子西口歯科
松下勲夫
TEL&FAX 044-744-1181
****************************************
お口の中から差し歯、入れ歯、詰め物を追放しましょう!
口の中の病気を治し、病気を興さない医療を目指します。
二度とお口の中へ変なものを入れなくても済むように
予防に精進いたしましょう!安全な矯正、美容を目指しましょう!
2012.7.31.
歯医者に通いながらいつの間にか歯がなくなる理由。
70代の患者ですが上の歯は残根一つ全て歯は無し。
下顎、殆ど歯はなく歯周病で抜けそうな歯と虫歯だらけの歯、適合の悪い銀歯が入っていてそれも虫歯と歯周病で危ない状態でした。入れ歯は下の入れ歯は入れたことがないようです。(ため息)痛くて入れたことがないそうです。

左下の歯は歯の中の治療も?ですごい歯周病を患い歯茎の穴(ポケットと呼ばれるところ)から膿が出ているのです。ばい菌と毒素で骨が溶けて深い穴ができてそこにまたバイキンと毒素がたまるという悪循環ができているのですね。
抜きたくないと抵抗されてもこのような歯が生き返ることもないし、噛む度にバイキンを血管に押し込み血管の中にバイキンを押し込む菌血漿を起こしていますから、動脈硬化や心臓、腎臓などの血管豊富な場所での病気(感染症)を起こしている可能性が高いのです。
リュウマチなどが歯周病等をよくすることでよくなることを知らない方が多いのです。
難病治療で有名な未来クリニックの今井先生はリュウマチの患者さんで自分ではうまくいかない患者は、一応提携している歯科医院で歯周病や歯の感染症の治療をおねがいしているそうです。その治癒率は80%にも上るとか。(驚き)
http://mirai-iryou.com/mc_profeel.html

右下の歯は歯の中の治療もあやしいのですが、金属と歯の間がすでに虫歯で崩壊し始めています。



プラークというバイキンと毒素と食べかすの塊が歯の周りや歯茎にまとわりついて虫歯になり且つ重症の歯周病を患っています。

クラスプという歯を取り囲むワイヤ−が折れたりしてまともに機能していません。構造的な問題もあるのでしょうがヒビも目立ちます。殆ど使わずに御蔵入りとなったようです。値段の問題からかそうではないか判然としませんが、入れ歯というのは残りの歯や歯周病の治療がある程度完了してからでないと良い機能的な入れ歯などはできません。せいぜい治療中用の簡素な物を作成して歯や歯茎の病気が治るのを待ちながら様子をみるしかないのです。
一旦歯が悪くなり病気になり崩壊している場合は、かなりの時間と費用がかかるのはしかたないことです。物ですから全て価格統一して好いものが出来るとは思えません。大学や講習会で習った理想的な入れ歯は自由診療以外では無理なことを理解していただくしかないのです。
だからこそ悪くならないようにブラシの使い方を習い、予防のために検診していただきたいのです。



痛い時だけ神経をとり歯周病も完治していない状態で被せたりすれば、なんとなく早く終わった感じがしてそこの歯医者さんは“手が早い”“うまい”ということになるようです。
何度も強調しておかなければならないことは、神経の病気や歯周病という病気は簡単に治らず治癒に時間がかかることが多いということです。被せたり詰めたりすることは病気の治療とは関係ないのです。病気がよくなり、そして原因であるバイキンや毒素のかたまりであるプラークを毎日綺麗にそぎ落とす技術ができて初めて病気がよくなるのです。
不潔な状態で作成した詰め物や銀歯、差し歯の類は適合も悪く上記のような悲惨な状態へと移行していくのです。
お金をかけたくないとか、歯が悪くなりたくないとか、歯医者で治療されたくなければまず病気にならないように、プラークコントロールできるブラシなどの清掃用具の使い方に精通する事。
病気を確実に良くしてからしか被せたりしないことなのです。そして危ないので被せた所はずっとチェックが必要なのです。なぜなら磨きにくいバイキンが溜まりやすい歯の間とか後ろの方
の歯が悪くなり治療になったのだから再発しやすいということです。
下記はかなりうまくいった方です。
・・・・・・・・・・・・・・・・・・・・・・・・・・・・・・・・・・・・・・・・・・・・・・・・
平成9年治療、虫歯と神経の処置、歯周病の治療




![a7fa4f9f-s[1]](https://livedoor.blogimg.jp/netdental/imgs/4/2/42470ffa.jpg)
2012,7月来院



欠けたところを埋めておしまいです。

・・・・・・・・・・・・・・・・・・・・・・・・・・・・・・・・・・・・・・・・・・・・・・・・・・
歯医者でしている被せたり、詰めたりすることは病気を治したりすることではないからです。
ですから病気を治していれば、あるいは患者さんがそれを理解して歯ブラシの使い方や病気を治すためには時間がかかることを理解していただかないと難しいのです。
例えば虫歯の治療、痛くしないのは重要ですが意外と取り残しが多いのです。又歯周病の治療をやられていないので血だらけの方がいます。虫歯の治療をしようとしても虫歯を除去した後にプラスチックを埋めようとしても血だらけで濡れている状態では、くっつかないのですぐ外れるし、綺麗な形にできないのです。
神経を取りましてもただ“死んだ”だけですからとても虫歯になりやすいし、何より完全に歯の中から腐りやすいものやばい菌を除去するのは難しいのです。治療成績は極めて悪い処置です。
そして極めつけは歯が割れないように削り被せる行為が歯を弱めて虫歯や歯周病を起こしやすい事を理解できていないのです。
いじくった歯はとても虫歯や歯周病になりやすいので磨き方や掃除の仕方を真剣に考えないといけないのです。でも被せて終わりの歯科医院の多いこと。
被せたり詰めたりした後からが大事なのです。
新丸子西口歯科はQ-lifeに登録しています。
株式会社QLife(キューライフ)に登録して商品をゲットし評価をお願いします。会員登録はこちらからよう
「川崎市の入れ歯なら新丸子西口歯科医院へ」
「顎関節症は新丸子西口歯科医院へ」
211-0063
川崎市中原区小杉町1-527-4 メゾンゴールド1A
新丸子西口歯科
松下勲夫
TEL&FAX 044-744-1181
****************************************
お口の中から差し歯、入れ歯、詰め物を追放しましょう!
口の中の病気を治し、病気を興さない医療を目指します。
二度とお口の中へ変なものを入れなくても済むように
予防に精進いたしましょう!安全な矯正、美容を目指しましょう!
松下勲夫
お口の中から差し歯、入れ歯、詰め物を追放しましょう!
口の中の病気を治し、病気を興さない医療を目指します。
二度とお口の中へ変なものを入れなくても済むように
予防に精進いたしましょう!安全な矯正、美容を目指しましょう!
--























![3f82a7cc-s[3]](https://livedoor.blogimg.jp/netdental/imgs/7/4/74bd95cf.jpg)



























































