神奈川県川崎市の歯科、新丸子西口歯科です。
2012.6.29.
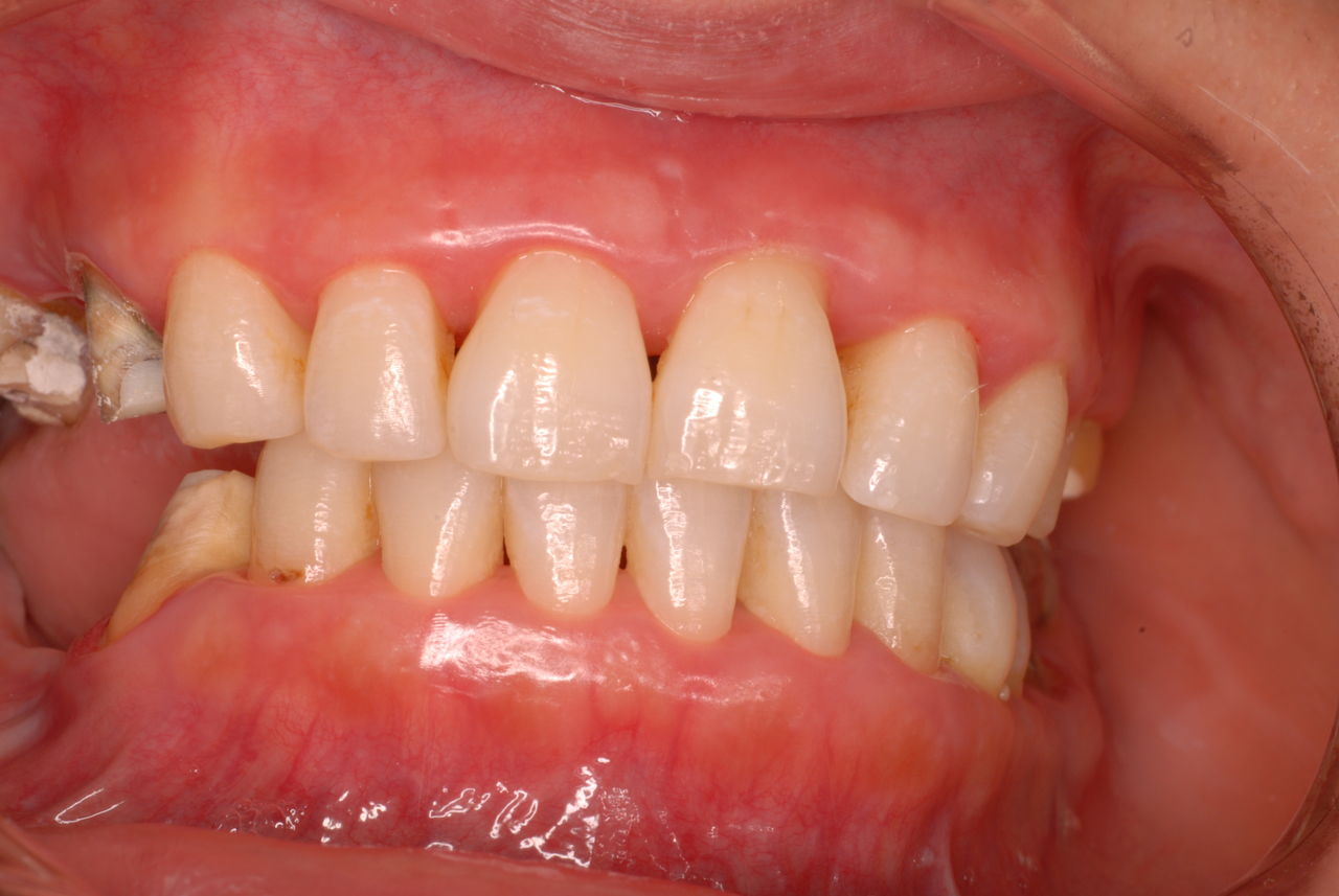
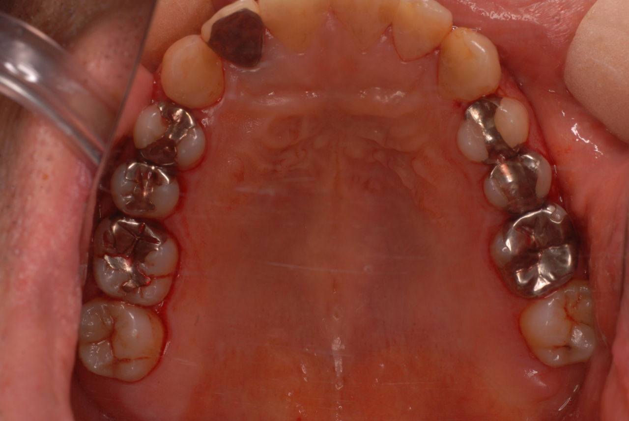
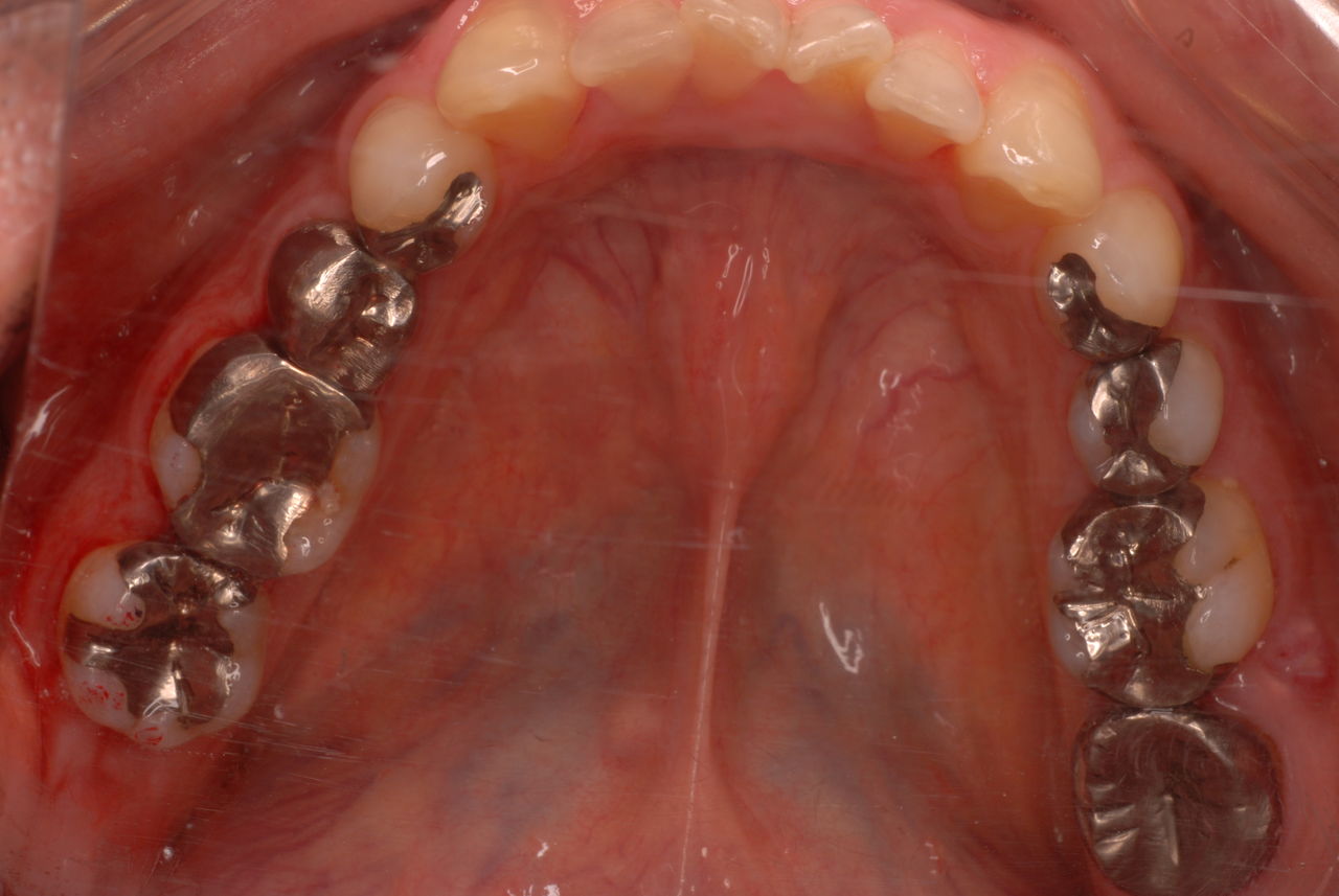
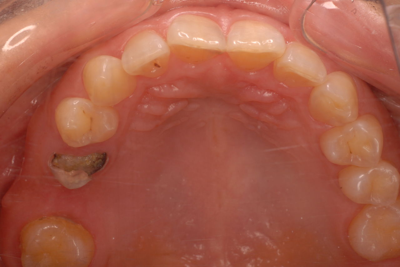
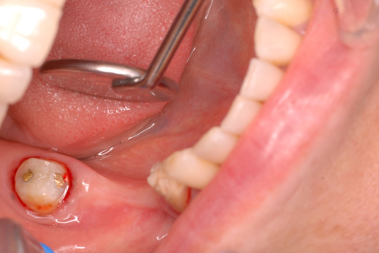
今日のすべての患者さんは、一人を除いて新患を含めてすべて歯周病の方でした。
歯周病は殆どの方に存在し、気づかないうちに進行していきます。
そして場所や痛みなどの症状がはっきりしないのです。冷たい水がしみることもあります。
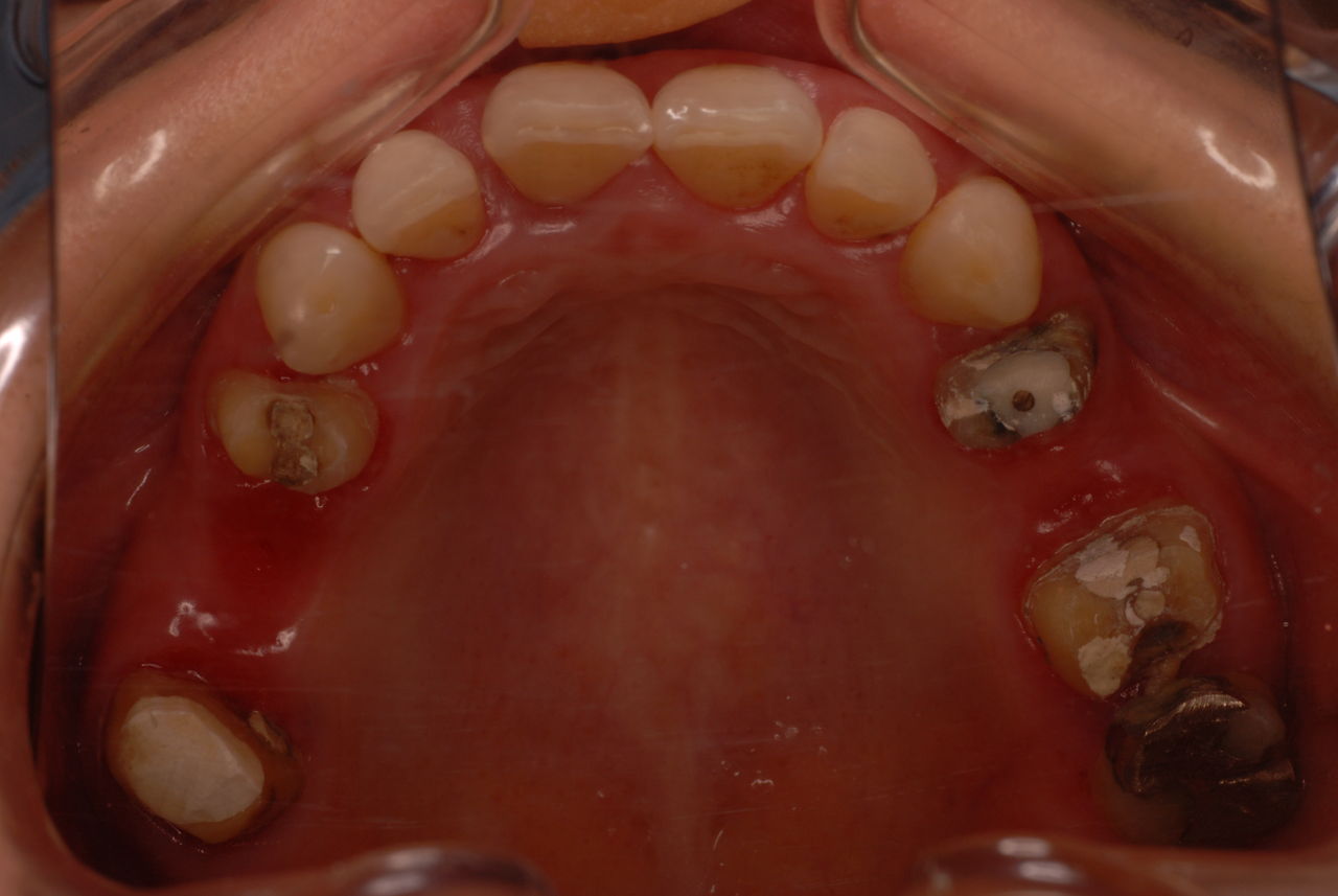
なかなかブラシの使い方ができていないようで、歯磨きと歯周病でのブラシの使い方は別なのですが、習ったことも検査もされずに金属を被せたりしているようで、これからも歯医者さんで抜かれたり、その後にインプラントのような高価な“クギ”を打ち込まれる方が増えるかと思うと残念です。
まず検査をして、ブラシの使い方を習得して歯医者さんで削ったり抜かれたりしないように予防に注意する方々が増えないかと思う日々です。
被せても、詰めても病気は治らないのですから。又病気の元になり易い不適合な差し歯や金属、インプラントがあればそこからバイキンが侵入して体に悪さもしやすいのではないかと心配しています。

全身にバイキンが周り病気の原因になるというのに気づかない方が多いのです。
・・・・・・・・・・・・・・・・・・・・・・・・・・・・・・・・・・・・・・・・・・・・・・・・・・・・・・・・・・・・
歯周病と心臓疾患、全身疾患との関係についてのお話がありました。
せんぽ病院心臓血管外科部長 元女子医大准教授 川合明彦先生
鶴見大学 探索歯科教授 花田信弘先生
どうも歯周病などは全身疾患と関係があるようです。
川合先生は心臓外科が専門ですから、その手術方法などが主な話で、私ども素人にはその違いが専門的すぎて特にすごいなーという印象はなかったですね。
ところが、花田先生の話は具体的に健康を維持し、病気にならないためにはどうすればいいかということを今までの健康法を軸に何故それが理に叶うのかとてもわかりやすかった説明があり、具体的な方法も述べておられました。






備忘録
・・・・・・・・・・・・・・・・・・・・・・・・・・・・・・・・・・・・・・・・・・・
2012.6.23.(金曜日)
歯周病と心臓疾患、全身疾患との関係についてのお話がありました。
せんぽ病院心臓血管外科部長 元女子医大准教授 川合明彦先生
鶴見大学 探索歯科教授 花田信弘先生
どうも歯周病などは全身疾患と関係があるようです。
川合先生は心臓外科が専門ですから、その手術方法などが主な話で、
私ども素人にはその違いが専門的すぎて特にすごいなーという印象はなかったですね。
動脈硬化と僧帽弁感染症についてでした。心臓の感染症の方や疾患をもつ方の
外科的治療による菌血漿はかなり注意して、抗生剤の投与を必ずしたほうがいいという
怖い話でした。
菌血漿もすべて頻度ですから多ければ多いほど動脈硬化を起こしやすい。
ところが、花田先生の話は具体的に健康を維持し、病気にならないためにはどうすれば
いいかということを今までの健康法を軸に何故それが理に叶うのかとてもわかりやすかった説明があり、
具体的な方法も述べておられました。
何故昔から食養生や食事のことが何故大事なのか、その理由を明確にできて本当に理解できました。
治療法の概念は
prebiotics(下部消化管でグラム陽性菌、乳酸菌などを増やす食物をとること)
probiotics(口腔と腸の細菌をprobioticsに変えていくreplacement therapy)
antibiotics
そして一番知りたかった歯周病や歯牙の根尖病巣と体の感染症についても質問しました。
明確な答えに唖然といたしました。
歯周病と根尖病巣(根管内とは違う)の菌は同じだとか、所謂biofilm感染症なのだと。
だから血管に入り込むと血液中にウロウロしてどこかの内皮細胞に住み着き、ここで
血液中からは居なくなる。(だから血液培養はこの時点で意味がなくなる。抗生剤使用も
意味なくなるのではないでしょうか)そして
やがて白血球や単球(細胞内ではmacro phageと名前が変わる。)で貪食される。
ところがこの時に血管は硬化を起こすのだとか、動脈硬化の理由等初めて知りました。
すべて合理的な体の反応なんですね。だから感染症による菌血漿は注意が必要なんですね。
これも頻度とか。心臓外科の先生は僧帽弁感染症とmacro phageによる細菌の貪食による
動脈硬化を並列されていましたから聴衆の方はこんがらがったのではないかと感じました。
内科の先生によれば、リュウマチなども歯周病や根尖病巣と大いに関係があり、治療がうまくいかない場合は近隣の歯科医にお願いして歯周病等を治癒してもらうと約8割も改善したとか。まだまだ一般的ではありませんが、そういう報告をしている福岡の薬をあまり使わない内科の先生もいます。
・・・・・・・・・・・・・・・・・・・・・・・・・・・・・・・・・・・・・・・・・・・・・・・・・・・・
・・・・・・・・・・・・・・・・・・・・・・・・・・・・・・・・・・・・・・・
新丸子西口歯科はQ-lifeに登録しています。
株式会社QLife(キューライフ)に登録して商品をゲットし評価をお願いします。会員登録はこちらからよう
「川崎市の入れ歯なら新丸子西口歯科医院へ」
「顎関節症は新丸子西口歯科医院へ」
・・・・・・・・・・・・・・・・・・・・・・・・・・・・・・・・・・・・・・・
211-0063
川崎市中原区小杉町1-527-4 メゾンゴールド1A
新丸子西口歯科
松下勲夫
TEL&FAX 044-744-1181
****************************************
お口の中から差し歯、入れ歯、詰め物を追放しましょう!
口の中の病気を治し、病気を興さない医療を目指します。
二度とお口の中へ変なものを入れなくても済むように
予防に精進いたしましょう!安全な矯正、美容を目指しましょう!
2012.6.29.
今日のすべての患者さんは、一人を除いて新患を含めてすべて歯周病の方でした。
歯周病は殆どの方に存在し、気づかないうちに進行していきます。
そして場所や痛みなどの症状がはっきりしないのです。冷たい水がしみることもあります。
なかなかブラシの使い方ができていないようで、歯磨きと歯周病でのブラシの使い方は別なのですが、習ったことも検査もされずに金属を被せたりしているようで、これからも歯医者さんで抜かれたり、その後にインプラントのような高価な“クギ”を打ち込まれる方が増えるかと思うと残念です。
まず検査をして、ブラシの使い方を習得して歯医者さんで削ったり抜かれたりしないように予防に注意する方々が増えないかと思う日々です。
被せても、詰めても病気は治らないのですから。又病気の元になり易い不適合な差し歯や金属、インプラントがあればそこからバイキンが侵入して体に悪さもしやすいのではないかと心配しています。

全身にバイキンが周り病気の原因になるというのに気づかない方が多いのです。
・・・・・・・・・・・・・・・・・・・・・・・・・・・・・・・・・・・・・・・・・・・・・・・・・・・・・・・・・・・・
歯周病と心臓疾患、全身疾患との関係についてのお話がありました。
せんぽ病院心臓血管外科部長 元女子医大准教授 川合明彦先生
鶴見大学 探索歯科教授 花田信弘先生
どうも歯周病などは全身疾患と関係があるようです。
川合先生は心臓外科が専門ですから、その手術方法などが主な話で、私ども素人にはその違いが専門的すぎて特にすごいなーという印象はなかったですね。
ところが、花田先生の話は具体的に健康を維持し、病気にならないためにはどうすればいいかということを今までの健康法を軸に何故それが理に叶うのかとてもわかりやすかった説明があり、具体的な方法も述べておられました。






備忘録
・・・・・・・・・・・・・・・・・・・・・・・・・・・・・・・・・・・・・・・・・・・
2012.6.23.(金曜日)
歯周病と心臓疾患、全身疾患との関係についてのお話がありました。
せんぽ病院心臓血管外科部長 元女子医大准教授 川合明彦先生
鶴見大学 探索歯科教授 花田信弘先生
どうも歯周病などは全身疾患と関係があるようです。
川合先生は心臓外科が専門ですから、その手術方法などが主な話で、
私ども素人にはその違いが専門的すぎて特にすごいなーという印象はなかったですね。
動脈硬化と僧帽弁感染症についてでした。心臓の感染症の方や疾患をもつ方の
外科的治療による菌血漿はかなり注意して、抗生剤の投与を必ずしたほうがいいという
怖い話でした。
菌血漿もすべて頻度ですから多ければ多いほど動脈硬化を起こしやすい。
ところが、花田先生の話は具体的に健康を維持し、病気にならないためにはどうすれば
いいかということを今までの健康法を軸に何故それが理に叶うのかとてもわかりやすかった説明があり、
具体的な方法も述べておられました。
何故昔から食養生や食事のことが何故大事なのか、その理由を明確にできて本当に理解できました。
治療法の概念は
prebiotics(下部消化管でグラム陽性菌、乳酸菌などを増やす食物をとること)
probiotics(口腔と腸の細菌をprobioticsに変えていくreplacement therapy)
antibiotics
そして一番知りたかった歯周病や歯牙の根尖病巣と体の感染症についても質問しました。
明確な答えに唖然といたしました。
歯周病と根尖病巣(根管内とは違う)の菌は同じだとか、所謂biofilm感染症なのだと。
だから血管に入り込むと血液中にウロウロしてどこかの内皮細胞に住み着き、ここで
血液中からは居なくなる。(だから血液培養はこの時点で意味がなくなる。抗生剤使用も
意味なくなるのではないでしょうか)そして
やがて白血球や単球(細胞内ではmacro phageと名前が変わる。)で貪食される。
ところがこの時に血管は硬化を起こすのだとか、動脈硬化の理由等初めて知りました。
すべて合理的な体の反応なんですね。だから感染症による菌血漿は注意が必要なんですね。
これも頻度とか。心臓外科の先生は僧帽弁感染症とmacro phageによる細菌の貪食による
動脈硬化を並列されていましたから聴衆の方はこんがらがったのではないかと感じました。
内科の先生によれば、リュウマチなども歯周病や根尖病巣と大いに関係があり、治療がうまくいかない場合は近隣の歯科医にお願いして歯周病等を治癒してもらうと約8割も改善したとか。まだまだ一般的ではありませんが、そういう報告をしている福岡の薬をあまり使わない内科の先生もいます。
・・・・・・・・・・・・・・・・・・・・・・・・・・・・・・・・・・・・・・・・・・・・・・・・・・・・
・・・・・・・・・・・・・・・・・・・・・・・・・・・・・・・・・・・・・・・
新丸子西口歯科はQ-lifeに登録しています。
株式会社QLife(キューライフ)に登録して商品をゲットし評価をお願いします。会員登録はこちらからよう
「川崎市の入れ歯なら新丸子西口歯科医院へ」
「顎関節症は新丸子西口歯科医院へ」
211-0063
川崎市中原区小杉町1-527-4 メゾンゴールド1A
新丸子西口歯科
松下勲夫
TEL&FAX 044-744-1181
****************************************
お口の中から差し歯、入れ歯、詰め物を追放しましょう!
口の中の病気を治し、病気を興さない医療を目指します。
二度とお口の中へ変なものを入れなくても済むように
予防に精進いたしましょう!安全な矯正、美容を目指しましょう!
松下勲夫
お口の中から差し歯、入れ歯、詰め物を追放しましょう!
口の中の病気を治し、病気を興さない医療を目指します。
二度とお口の中へ変なものを入れなくても済むように
予防に精進いたしましょう!安全な矯正、美容を目指しましょう!






































































