神奈川県川崎市の歯科、新丸子西口歯科です。
2012.5.29.
矯正治療は病気をおこしやすいので注意が必要です。
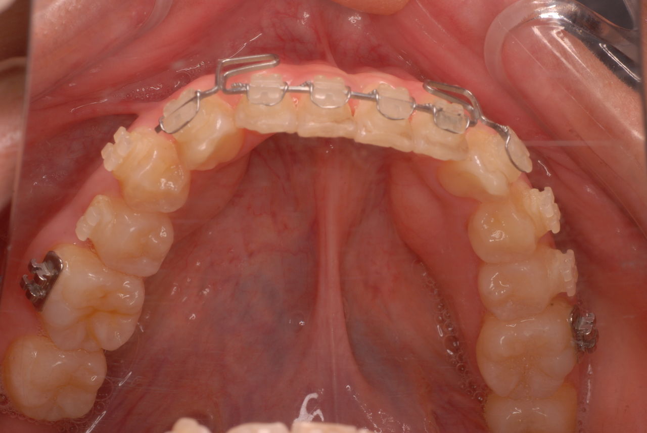
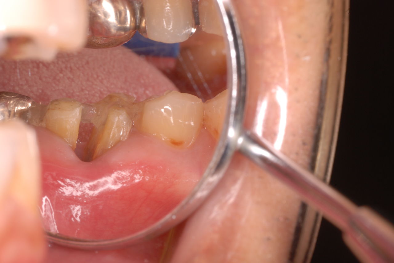
他の都心の矯正歯科で治療中で、ほぼ終了近くの方でした。歯並びで言えば上下の歯が突出していて唇が閉じにくいというのをなんとかしたい。そして歯を抜かないで出来るところを探して都心の矯正歯科への通院となりました。ところが本人曰くよく噛めないというのです。
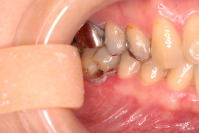
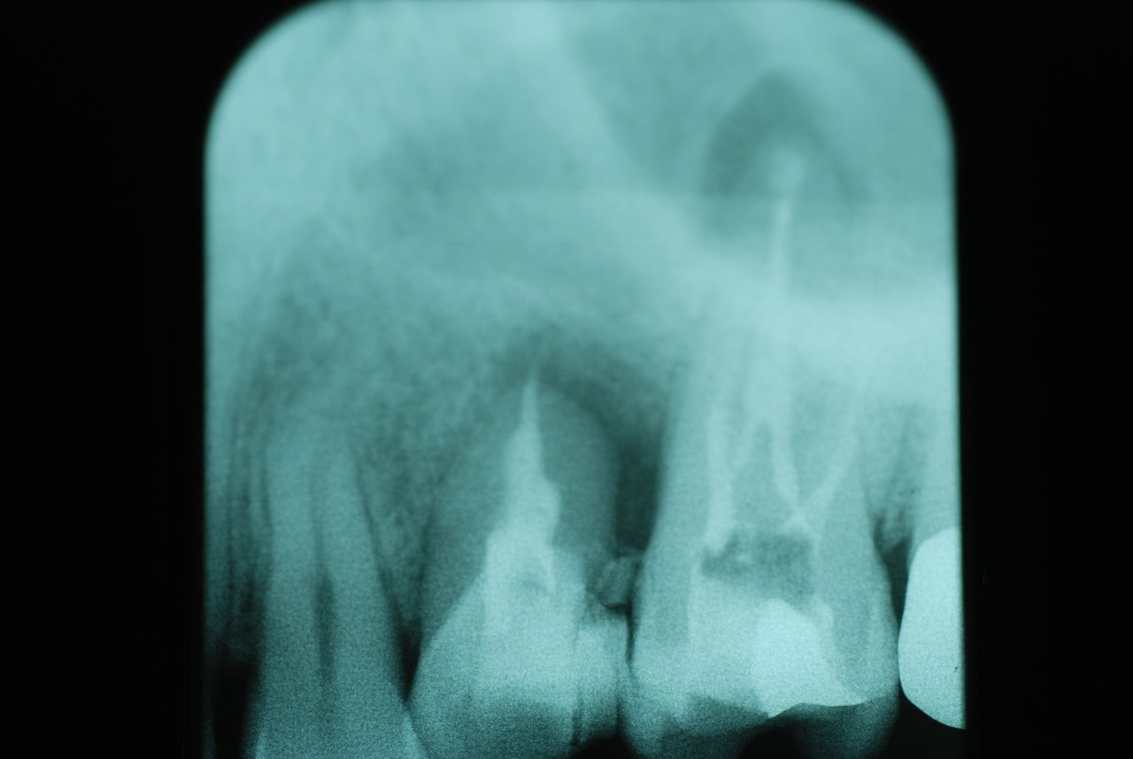
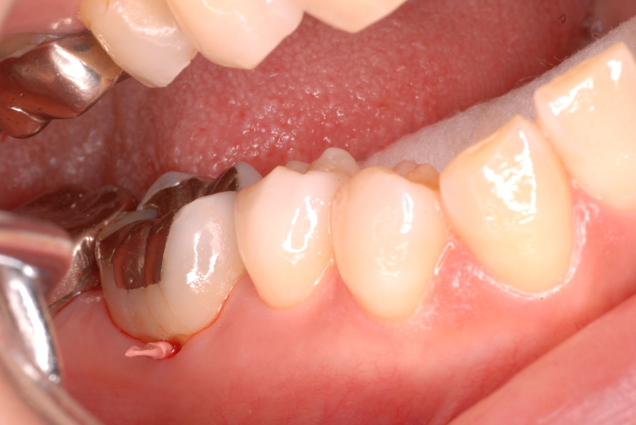
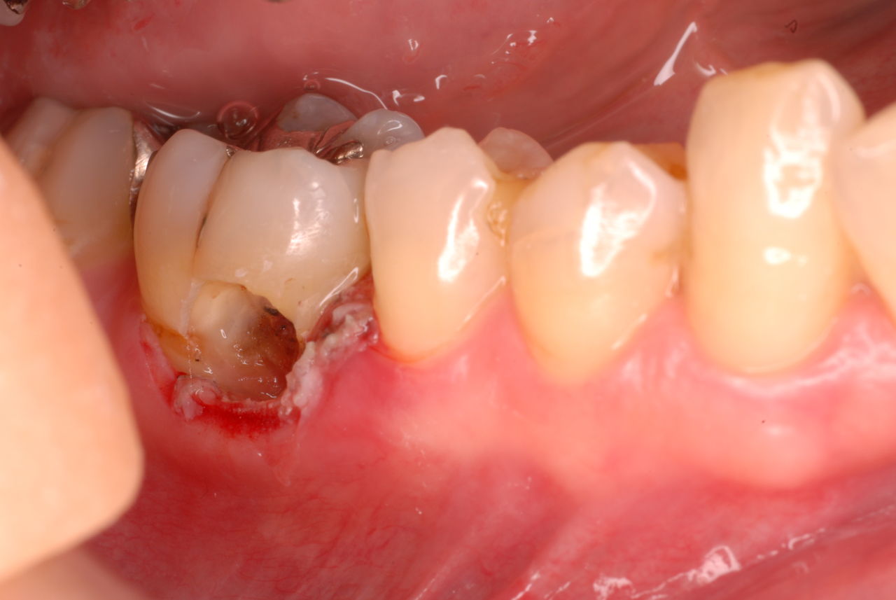
相談しても“問題無い”の説明だけだそうです。調べたところ歯周病は進行しているし、奥歯の大きい歯2本ずつ計4本はしっかり噛んでいないのです。よく噛めないというのはそのことのようでした。これを矯正的に元に戻すことはできない訳ではありませんが、時間と手間がかかるのは間違いないことです。
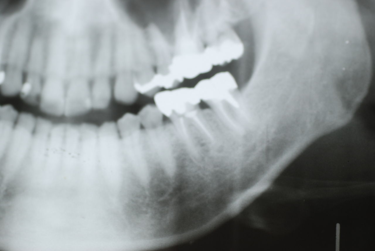
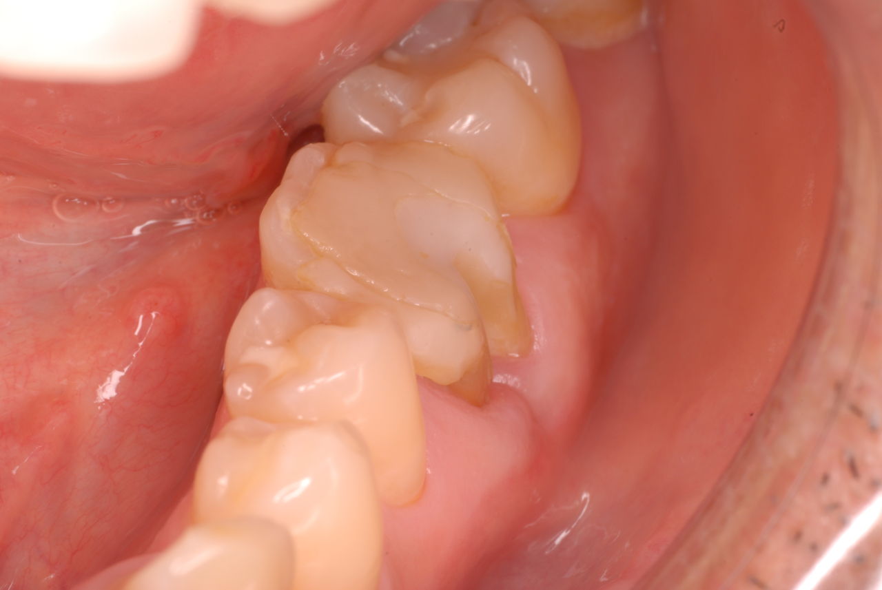
歯を削らないといいましても結局歯の間を削りスペースを確保したそうですから、何らかの歯に対する傷害はしているのです。それは虫歯や歯周病を起こしやすい理由にもなりますからこれからも要注意なのです。二年間という貴重な時間を費やしていますから患者本人は大変だったと思います。そして二年間を要したならば更に二年間動かないようにするための入れ歯やマウスピースを装着し続けなければいけないのです。
綺麗になりたいのはわかりますが、注意しなければならないことも多いのです。矯正専門医というのは歯学部を出ていますが、歯を動かすテクニックはあるのでしょうが、虫歯や歯周病の治療、そして一般歯科の経験がないので噛合せがおかしくなってもあまりわからないことが多いのです。理解していて注意深く治療するかたもいるようですが、大半は“素人”と考えて良いのです。やはり矯正も一般歯科もやられている歯科医のほうが私は対応出来ると考えています。
どれだけ早く綺麗に並ぶよりも、虫歯や歯周病をいかに起こさず綺麗にしていくかそのことに重点を置いて患者さんの期待に答えようと考えています。それが矯正医と口腔科医師としての歯科医師との違いです。






・・・・・・・・・・・・・・・・・・・・・・・・・・・・・・・・・・・・・・・
新丸子西口歯科はQ-lifeに登録しています。
株式会社QLife(キューライフ)に登録して商品をゲットし評価をお願いします。会員登録はこちらから
「川崎市の入れ歯なら新丸子西口歯科医院へ」
「顎関節症は新丸子西口歯科医院へ」
・・・・・・・・・・・・・・・・・・・・・・・・・・・・・・・・・・・・・・・
211-0063
川崎市中原区小杉町1-527-4 メゾンゴールド1A
新丸子西口歯科
松下勲夫
TEL&FAX 044-744-1181
****************************************
お口の中から差し歯、入れ歯、詰め物を追放しましょう!
口の中の病気を治し、病気を興さない医療を目指します。
二度とお口の中へ変なものを入れなくても済むように
予防に精進いたしましょう!安全な矯正、美容を目指しましょう!
2012.5.29.
矯正治療は病気をおこしやすいので注意が必要です。
他の都心の矯正歯科で治療中で、ほぼ終了近くの方でした。歯並びで言えば上下の歯が突出していて唇が閉じにくいというのをなんとかしたい。そして歯を抜かないで出来るところを探して都心の矯正歯科への通院となりました。ところが本人曰くよく噛めないというのです。
相談しても“問題無い”の説明だけだそうです。調べたところ歯周病は進行しているし、奥歯の大きい歯2本ずつ計4本はしっかり噛んでいないのです。よく噛めないというのはそのことのようでした。これを矯正的に元に戻すことはできない訳ではありませんが、時間と手間がかかるのは間違いないことです。
歯を削らないといいましても結局歯の間を削りスペースを確保したそうですから、何らかの歯に対する傷害はしているのです。それは虫歯や歯周病を起こしやすい理由にもなりますからこれからも要注意なのです。二年間という貴重な時間を費やしていますから患者本人は大変だったと思います。そして二年間を要したならば更に二年間動かないようにするための入れ歯やマウスピースを装着し続けなければいけないのです。
綺麗になりたいのはわかりますが、注意しなければならないことも多いのです。矯正専門医というのは歯学部を出ていますが、歯を動かすテクニックはあるのでしょうが、虫歯や歯周病の治療、そして一般歯科の経験がないので噛合せがおかしくなってもあまりわからないことが多いのです。理解していて注意深く治療するかたもいるようですが、大半は“素人”と考えて良いのです。やはり矯正も一般歯科もやられている歯科医のほうが私は対応出来ると考えています。
どれだけ早く綺麗に並ぶよりも、虫歯や歯周病をいかに起こさず綺麗にしていくかそのことに重点を置いて患者さんの期待に答えようと考えています。それが矯正医と口腔科医師としての歯科医師との違いです。






新丸子西口歯科はQ-lifeに登録しています。
株式会社QLife(キューライフ)に登録して商品をゲットし評価をお願いします。会員登録はこちらから
「川崎市の入れ歯なら新丸子西口歯科医院へ」
「顎関節症は新丸子西口歯科医院へ」
211-0063
川崎市中原区小杉町1-527-4 メゾンゴールド1A
新丸子西口歯科
松下勲夫
TEL&FAX 044-744-1181
****************************************
お口の中から差し歯、入れ歯、詰め物を追放しましょう!
口の中の病気を治し、病気を興さない医療を目指します。
二度とお口の中へ変なものを入れなくても済むように
予防に精進いたしましょう!安全な矯正、美容を目指しましょう!
松下勲夫
お口の中から差し歯、入れ歯、詰め物を追放しましょう!
口の中の病気を治し、病気を興さない医療を目指します。
二度とお口の中へ変なものを入れなくても済むように
予防に精進いたしましょう!安全な矯正、美容を目指しましょう!
































































































