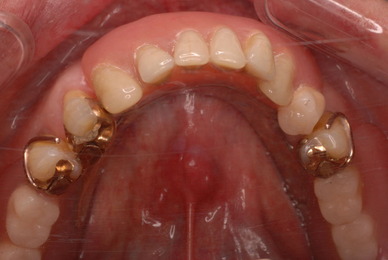
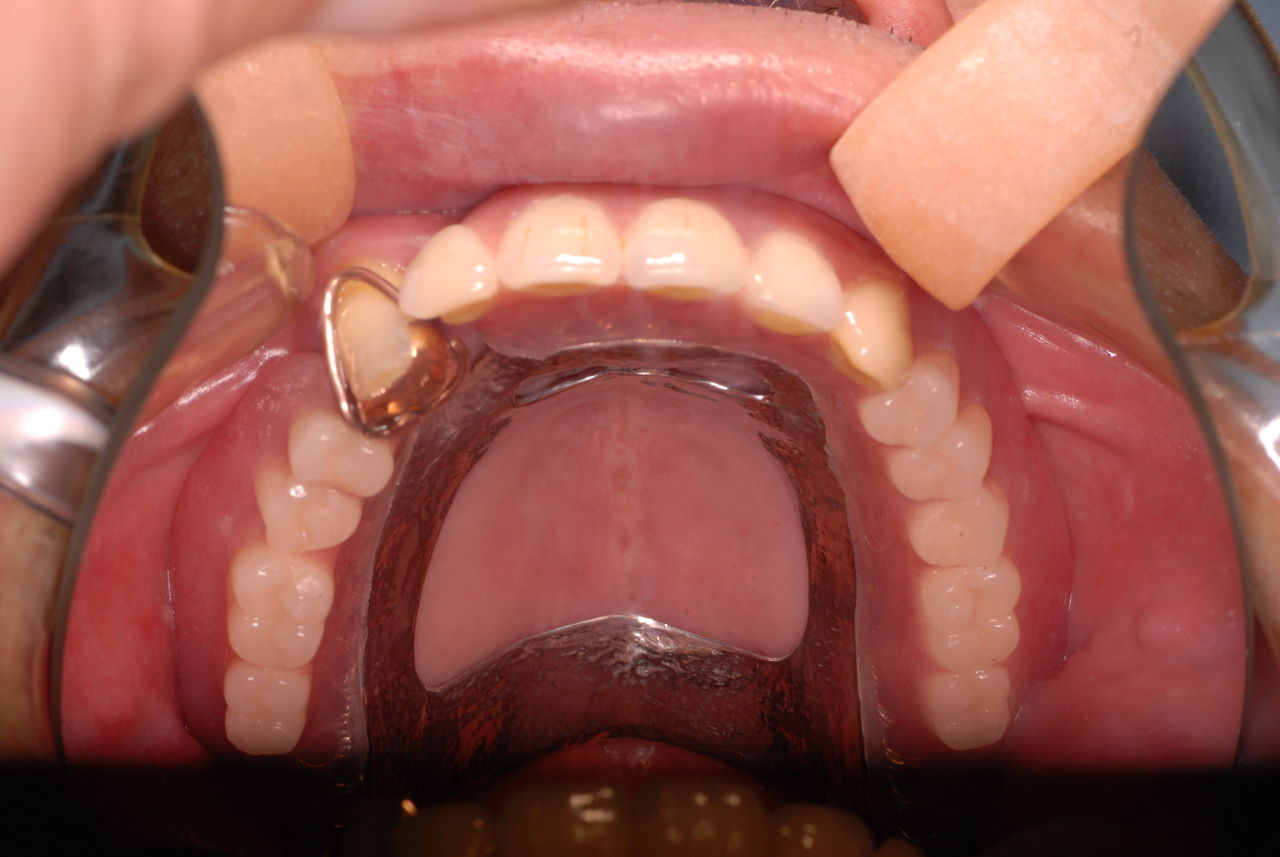
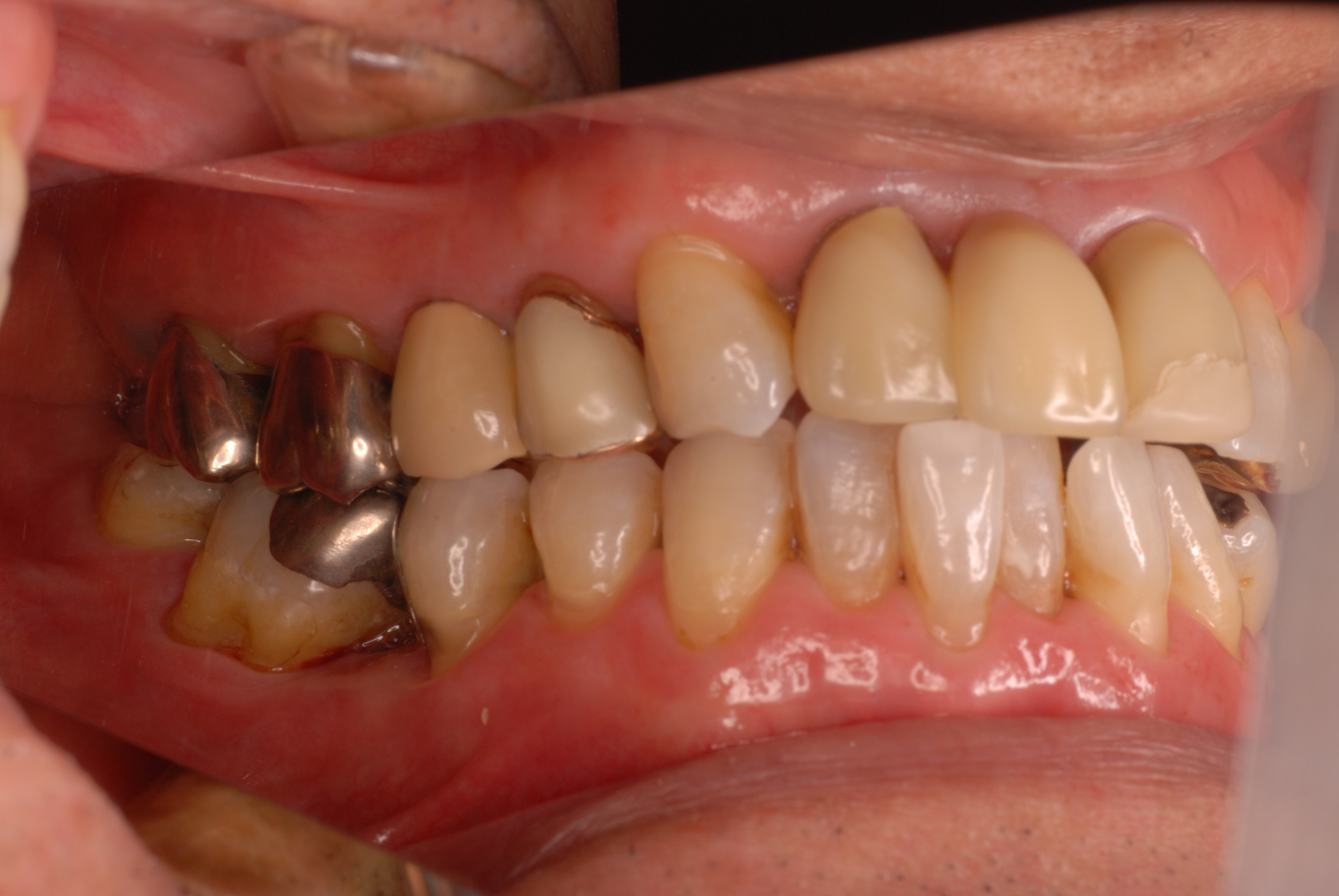
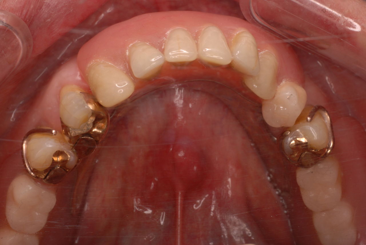
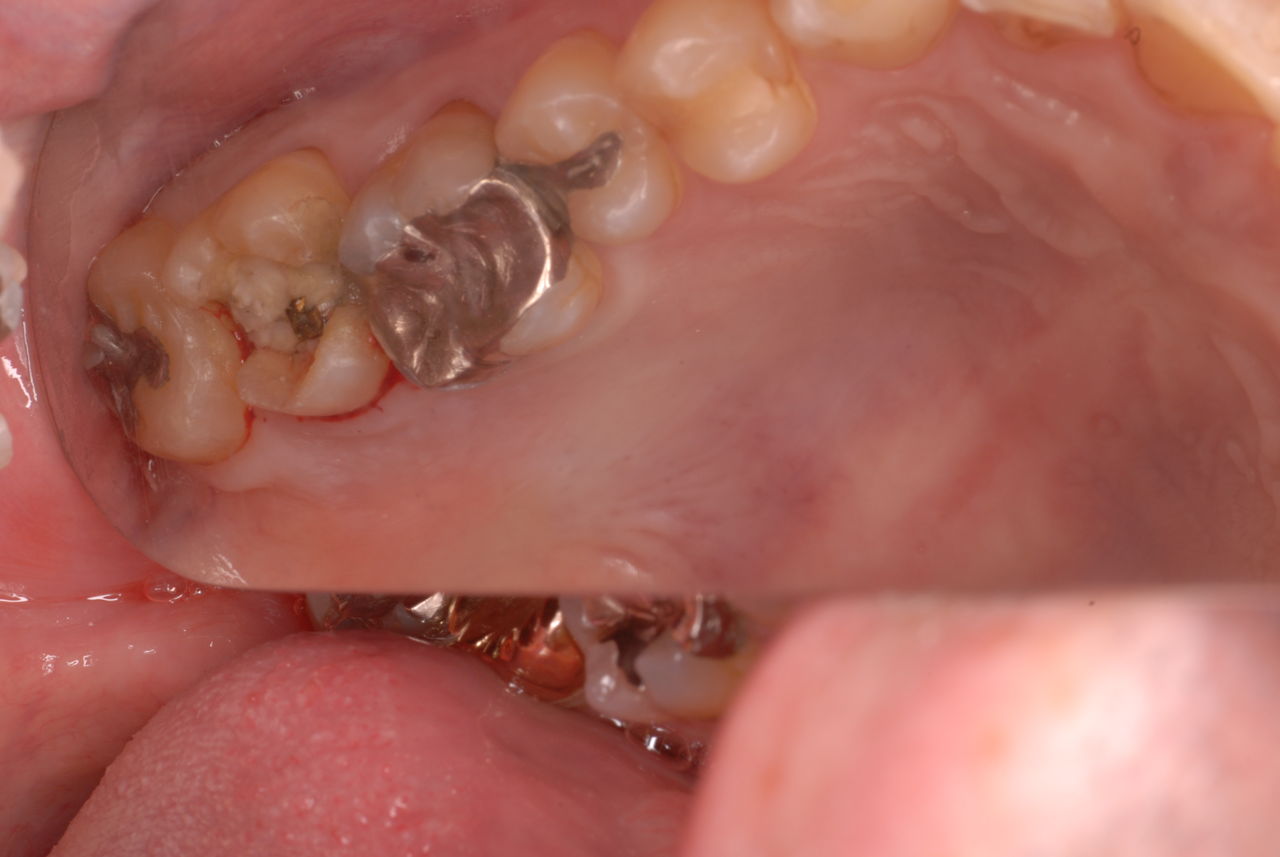
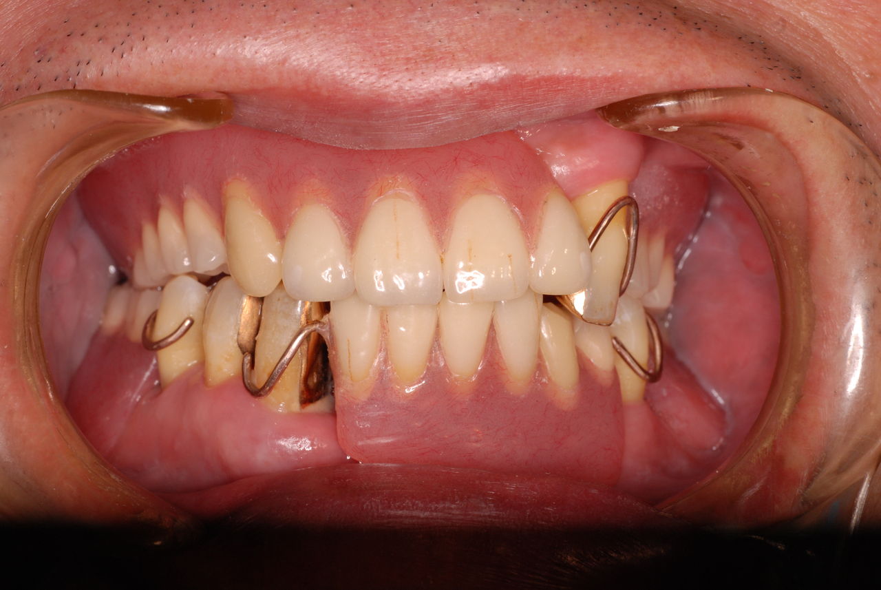
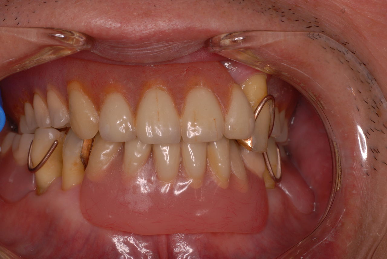
¿ÀÆàÀÀîºê»Ô¤Î»õ²Ê¡¢¿·´Ý»ÒÀ¾¸ý»õ²Ê¤Ç¤¹¡£
¤¢¤ë³Ü´ØÀá¾É¤Î´µ¼Ô¤µ¤ó¤ÎÏ䫤éɵ¤¤Î¸¶°ø¤Ï¥ß¥¯¥íŪ¤Ë¹Í¤¨¤ë¤È¤ï¤«¤ê¤Þ¤¹¡£
ºÙ˦¥ì¥Ù¥ë¤ÇÈèϫʪ¼Á¤¬¤¿¤Þ¤êºÙ˦¥ì¥Ù¥ë¤ÇÉÔ·ò¹¯¤Ë¤Ê¤ì¤ÐÈáÌĤȤ·¤Æ¾É¾õ¤¬¤Ç¤ë¤Î¤Ç¤Ï¤Ê¤¤¤Ç¤¹¤«¡©·ò¹¯¤Ê¿Í¤Î¥é¥¤¥Õ¥¹¥¿¥¤¥ë¤ò¿¿»÷¤¹¤ì¤Ð¤À¤ì¤Ç¤â·ò¹¯¤Ë¤Ê¤ì¤Þ¤¹¡£Ìô¤Ê¤É¤Çɵ¤¤¬¤è¤¯¤Ê¤ë¤Ê¤É¤È»×¤Ã¤Æ¤¤¤ë¤Î¤Ï¸½Âå°å³Ø¤Î²á¿®¤Ç¤Ï¤Ê¤¤¤«¤È»×¤Ã¤Æ¤¤¤Þ¤¹¡£

Íý¶þ¤è¤ê·ë²Ì¤Ç¤¹¡£¿Í´Ö¤ÎÂΤϿ´¤È°ìÂΤÇÀÚ¤êÎ¥¤¹¤³¤È¤Ï¤Ç¤¤Þ¤»¤ó¤Í¡£¸¡ºº¤è¤êºÙ¤«¤ËÄ´¤Ù¤ë¤è¤ê´µ¼Ô¤µ¤ó¤ÎÏ䫤éÁ´ÂÎŪ¤Ë´µ¼Ô¤Î¾õÂÖ¤ò¼è¤ìÆÀ¤ì¤Ð¸¶°ø¤Ï¤ï¤«¤ê¤Þ¤¹¡£
̵Â̤ʻþ´Ö¤È̵Â̤ʸ¡ºº¤È̵Â̤ʼ£ÎŤ¬Âô»³¤¢¤ë¤è¤¦¤Ç»Äǰ¤Ç¤¹¡£
¡ÖÏÀ¤è¤ê¾Úµò¡×
¡¦¡¦¡¦¡¦¡¦¡¦¡¦¡¦¡¦¡¦¡¦¡¦¡¦
¿·´Ý»ÒÀ¾¸ý»õ²Ê¤ÏQ-life¤ËÅÐÏ¿¤·¤Æ¤¤¤Þ¤¹¡£
³ô¼°²ñ¼ÒQLife(¥¥å¡¼¥é¥¤¥Õ)¤ËÅÐÏ¿¤·¤Æ¾¦Éʤò¥²¥Ã¥È¤·É¾²Á¤ò¤ª´ê¤¤¤·¤Þ¤¹¡£²ñ°÷ÅÐÏ¿¤Ï¤³¤Á¤é¤«¤é
*******************************************
¤ª¸ý¤ÎÃæ¤«¤éº¹¤·»õ¡¢Æþ¤ì»õ¡¢µÍ¤áʪ¤òÄÉÊü¤·¤Þ¤·¤ç¤¦¡ª
¸ý¤ÎÃæ¤Îɵ¤¤ò¼£¤·¡¢Éµ¤¤ò¶½¤µ¤Ê¤¤°åÎŤòÌܻؤ·¤Þ¤¹¡£
ÆóÅ٤Ȥª¸ý¤ÎÃæ¤ØÊѤʤâ¤Î¤òÆþ¤ì¤Ê¤¯¤Æ¤âºÑ¤à¤è¤¦¤Ë
ͽËɤËÀº¿Ê¤¤¤¿¤·¤Þ¤·¤ç¤¦¡ª°ÂÁ´¤Ê¶ºÀµ¡¢ÈþÍÆ¤òÌܻؤ·¤Þ¤·¤ç¤¦¡ª
211-0063
Àîºê»ÔÃæ¸¶¶è¾®¿ùÄ®1-527-4 ¥á¥¾¥ó¥´¡¼¥ë¥É1A
¿·´Ý»ÒÀ¾¸ý»õ²Ê
¾¾²¼·®É×
TEL&FAX 044-744-1181
¡ÖÀîºê»Ô¤ÎÆþ¤ì»õ¤Ê¤é¿·´Ý»ÒÀ¾¸ý»õ²Ê°å±¡¤Ø¡×
¡Ö³Ü´ØÀá¾É¤Ï¿·´Ý»ÒÀ¾¸ý»õ²Ê°å±¡¤Ø¡×
*****************************************
¤¢¤ë³Ü´ØÀá¾É¤Î´µ¼Ô¤µ¤ó¤ÎÏ䫤éɵ¤¤Î¸¶°ø¤Ï¥ß¥¯¥íŪ¤Ë¹Í¤¨¤ë¤È¤ï¤«¤ê¤Þ¤¹¡£
ºÙ˦¥ì¥Ù¥ë¤ÇÈèϫʪ¼Á¤¬¤¿¤Þ¤êºÙ˦¥ì¥Ù¥ë¤ÇÉÔ·ò¹¯¤Ë¤Ê¤ì¤ÐÈáÌĤȤ·¤Æ¾É¾õ¤¬¤Ç¤ë¤Î¤Ç¤Ï¤Ê¤¤¤Ç¤¹¤«¡©·ò¹¯¤Ê¿Í¤Î¥é¥¤¥Õ¥¹¥¿¥¤¥ë¤ò¿¿»÷¤¹¤ì¤Ð¤À¤ì¤Ç¤â·ò¹¯¤Ë¤Ê¤ì¤Þ¤¹¡£Ìô¤Ê¤É¤Çɵ¤¤¬¤è¤¯¤Ê¤ë¤Ê¤É¤È»×¤Ã¤Æ¤¤¤ë¤Î¤Ï¸½Âå°å³Ø¤Î²á¿®¤Ç¤Ï¤Ê¤¤¤«¤È»×¤Ã¤Æ¤¤¤Þ¤¹¡£

Íý¶þ¤è¤ê·ë²Ì¤Ç¤¹¡£¿Í´Ö¤ÎÂΤϿ´¤È°ìÂΤÇÀÚ¤êÎ¥¤¹¤³¤È¤Ï¤Ç¤¤Þ¤»¤ó¤Í¡£¸¡ºº¤è¤êºÙ¤«¤ËÄ´¤Ù¤ë¤è¤ê´µ¼Ô¤µ¤ó¤ÎÏ䫤éÁ´ÂÎŪ¤Ë´µ¼Ô¤Î¾õÂÖ¤ò¼è¤ìÆÀ¤ì¤Ð¸¶°ø¤Ï¤ï¤«¤ê¤Þ¤¹¡£
̵Â̤ʻþ´Ö¤È̵Â̤ʸ¡ºº¤È̵Â̤ʼ£ÎŤ¬Âô»³¤¢¤ë¤è¤¦¤Ç»Äǰ¤Ç¤¹¡£
¡ÖÏÀ¤è¤ê¾Úµò¡×
¡¦¡¦¡¦¡¦¡¦¡¦¡¦¡¦¡¦¡¦¡¦¡¦¡¦
¿·´Ý»ÒÀ¾¸ý»õ²Ê¤ÏQ-life¤ËÅÐÏ¿¤·¤Æ¤¤¤Þ¤¹¡£
³ô¼°²ñ¼ÒQLife(¥¥å¡¼¥é¥¤¥Õ)¤ËÅÐÏ¿¤·¤Æ¾¦Éʤò¥²¥Ã¥È¤·É¾²Á¤ò¤ª´ê¤¤¤·¤Þ¤¹¡£²ñ°÷ÅÐÏ¿¤Ï¤³¤Á¤é¤«¤é
*******************************************
¤ª¸ý¤ÎÃæ¤«¤éº¹¤·»õ¡¢Æþ¤ì»õ¡¢µÍ¤áʪ¤òÄÉÊü¤·¤Þ¤·¤ç¤¦¡ª
¸ý¤ÎÃæ¤Îɵ¤¤ò¼£¤·¡¢Éµ¤¤ò¶½¤µ¤Ê¤¤°åÎŤòÌܻؤ·¤Þ¤¹¡£
ÆóÅ٤Ȥª¸ý¤ÎÃæ¤ØÊѤʤâ¤Î¤òÆþ¤ì¤Ê¤¯¤Æ¤âºÑ¤à¤è¤¦¤Ë
ͽËɤËÀº¿Ê¤¤¤¿¤·¤Þ¤·¤ç¤¦¡ª°ÂÁ´¤Ê¶ºÀµ¡¢ÈþÍÆ¤òÌܻؤ·¤Þ¤·¤ç¤¦¡ª
211-0063
Àîºê»ÔÃæ¸¶¶è¾®¿ùÄ®1-527-4 ¥á¥¾¥ó¥´¡¼¥ë¥É1A
¿·´Ý»ÒÀ¾¸ý»õ²Ê
¾¾²¼·®É×
TEL&FAX 044-744-1181
¡ÖÀîºê»Ô¤ÎÆþ¤ì»õ¤Ê¤é¿·´Ý»ÒÀ¾¸ý»õ²Ê°å±¡¤Ø¡×
¡Ö³Ü´ØÀá¾É¤Ï¿·´Ý»ÒÀ¾¸ý»õ²Ê°å±¡¤Ø¡×
*****************************************






























