神奈川県川崎市の歯科、新丸子西口歯科です。
新丸子西口歯科をかたった詐欺的情報商材です。
下記のようなものを販売しているのは誰だかわかりませんが、
詐欺です。当方とは全く関係ない方です。
歯科医師かどうかもわかりません。ご注意ください。
・・・・・・・・・・・・・・・・・・・・・・・・・・・・・・・・・・・・・・・・・・・・・・・・・・・・・
新丸子西口歯科川崎市中原区小杉町1 顎関節症すっきり改善簡単マニュアル
http://gakukansetsu.interdata-bo.com/aG9v/ff.html/index.html#1
・・・・・・・・・・・・・・・・・・・・・・・・・・・・・・・・・・・・・・・・・・・・・・・・・・・・・・
新丸子西口歯科はQ-lifeに登録しています。
株式会社QLife(キューライフ)に登録して商品をゲットし評価をお願いします。会員登録はこちらから
*******************************************
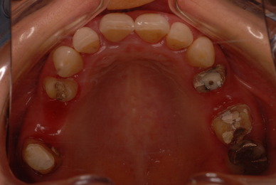
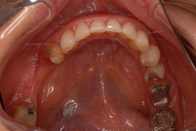
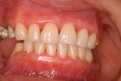
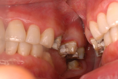
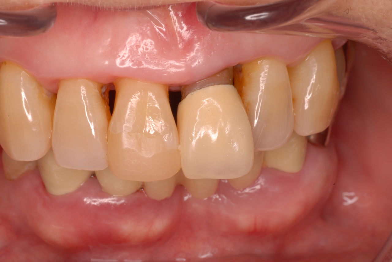
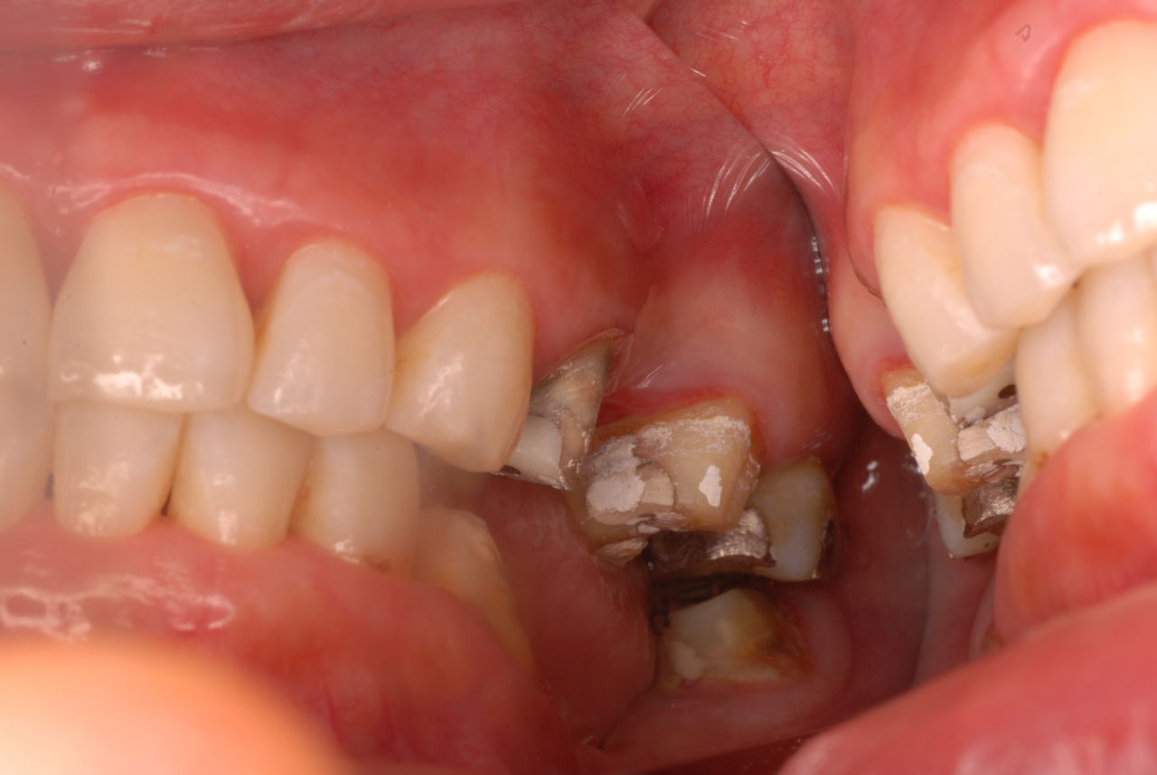
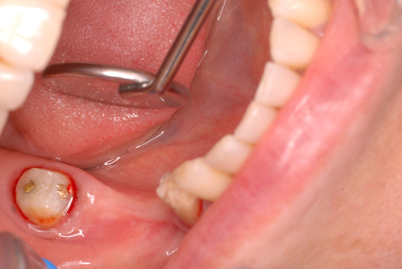
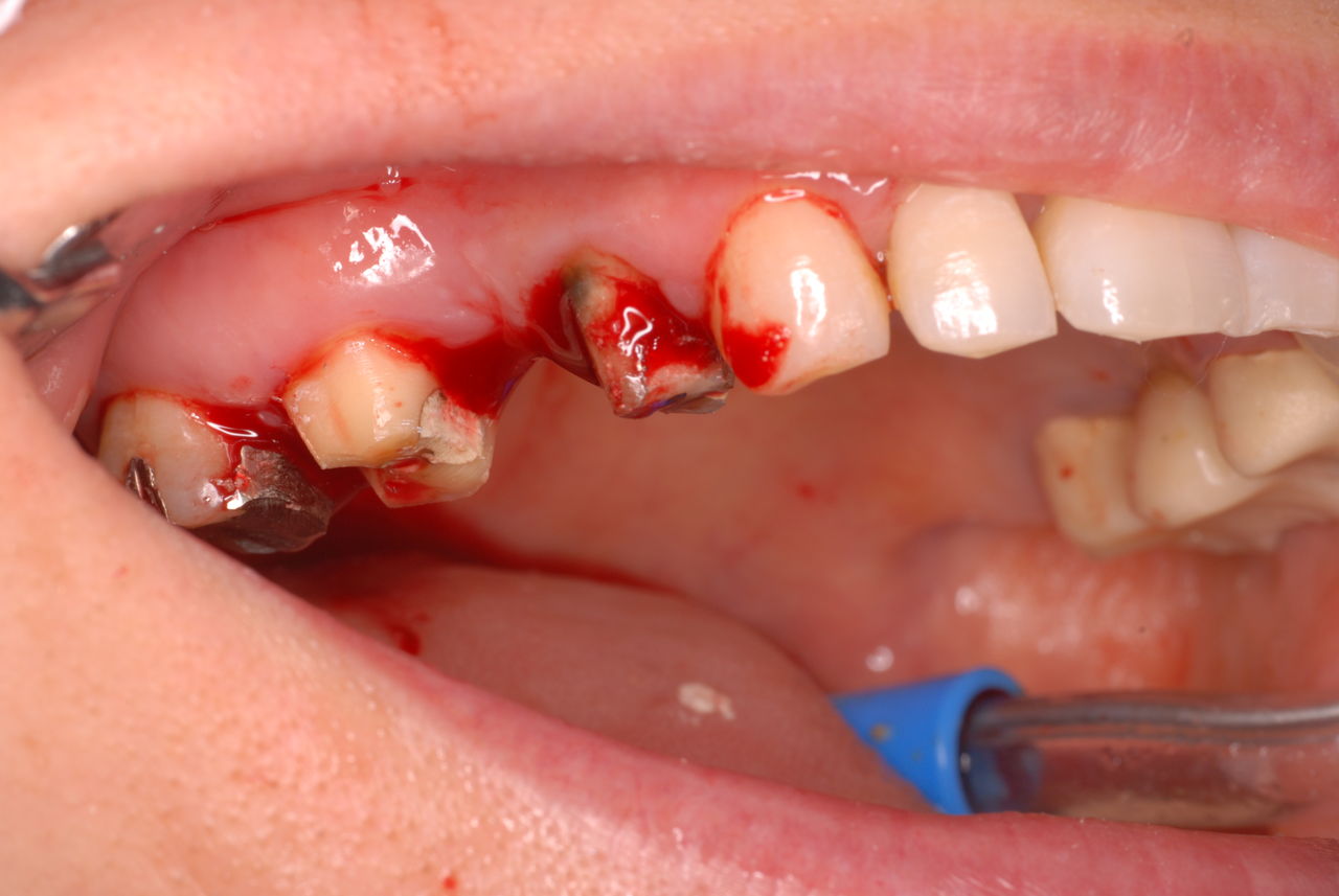
お口の中から差し歯、入れ歯、詰め物を追放しましょう!
口の中の病気を治し、病気を興さない医療を目指します。
二度とお口の中へ変なものを入れなくても済むように
予防に精進いたしましょう!安全な矯正、美容を目指しましょう!
211-0063
川崎市中原区小杉町1-527-4 メゾンゴールド1A
新丸子西口歯科
松下勲夫
TEL&FAX 044-744-1181
「川崎市の入れ歯なら新丸子西口歯科医院へ」
「顎関節症は新丸子西口歯科医院へ」
*******************************************


































![0a9e48b6-s[1]](https://livedoor.blogimg.jp/netdental/imgs/4/0/40e1507e.jpg)















