今でさえすごい虫歯でも治療も受けずにいる方がたまにいます。
其の方達は、男性でも女性でも素直な、疑いを持たない方々かもしれません。
歯科医を疑わず何年も通い続けて歯がなくなる方々です。或いは変なことを言われそれを信じ込んで(ご本人の聞き間違いかもしれませんが)怖くていけなくなったとか、あまりにもひどく歯医者に見せるのも恥ずかしく酷い状態になったとかいう方方です。
30代の男性の方です。
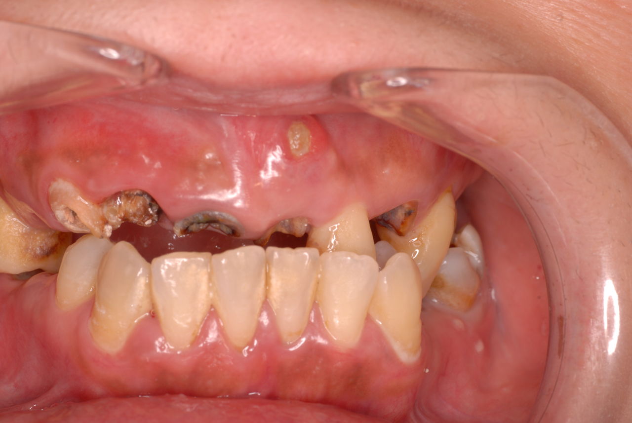
入れ歯を入れていました。歯科医院で歯を抜けず仕方なく入れ歯にしたとか。何とかならないものだったのか悔やまれました。



抜いた歯はありません。

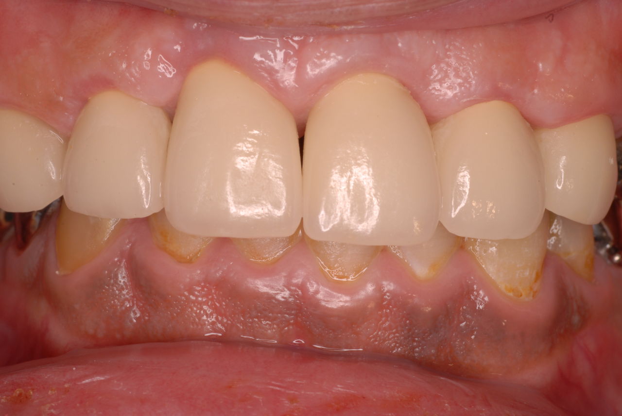
一応差し歯にしましたが、歯茎の状態はよくはありません。
とりあえず希望を入れて差し歯にしたような感じです。
・・・・・・・・・・・・・・・・・・・・・・・・・・・・・・・・・・・・・・・・・・・・・・・・
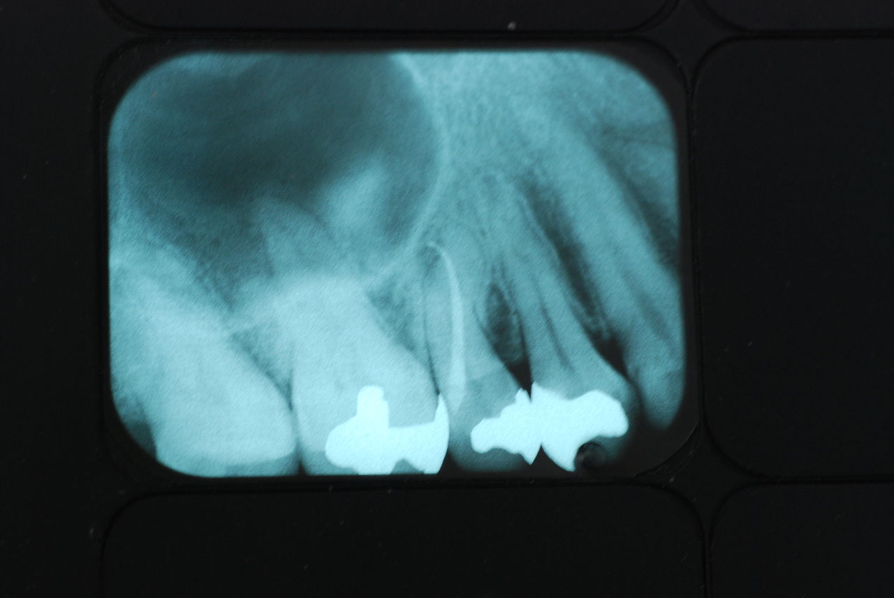
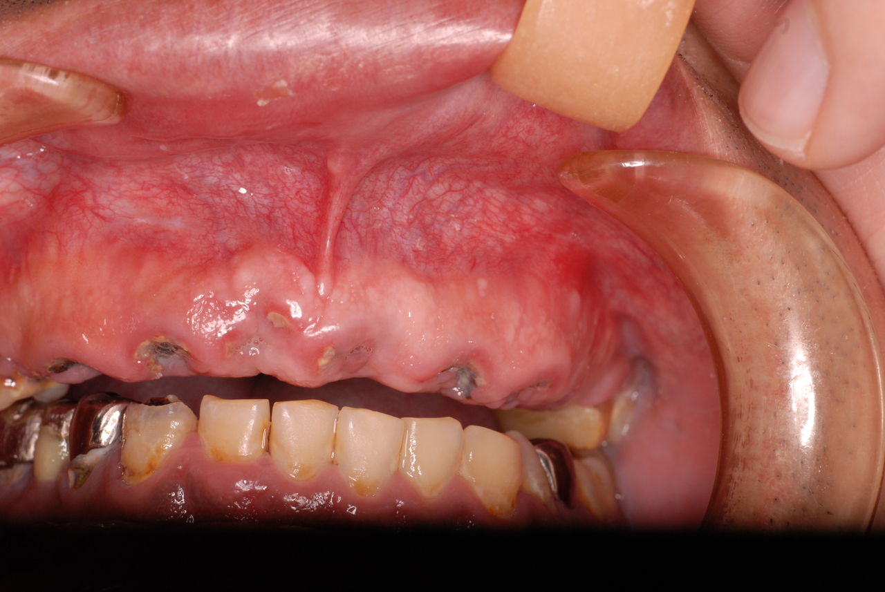
最近も5年ぶりに来た方がやはり同じような感じでした。
前回の来院時には痛みを止める為に歯に穴をあけ膿を吐き出させるような事をやっただけで来なくなった人です。
歯科医も患者も勉強する必要があるのかもしれません。
ため息が出ました。

*****************************************
新丸子西口歯科はデンターネットに参加してます。皆さんのおかげで、川崎中原区で29位になっています。ありがとうございます。
「新丸子西口歯科、良いね」と思って頂ける方はこちら
からデンターネットに行って「新丸子西口歯科」の「HP」というボタンをクリックして下さい。投稿も大募集中です!
に登録して商品をゲットし評価をお願いします。会員登録は
211-0063
川崎市中原区小杉町1-527-4 メゾンゴールド1A
新丸子西口歯科
松下勲夫
TEL&FAX 044-744-1181
「川崎市の入れ歯なら新丸子西口歯科医院へ」
「顎関節症は新丸子西口歯科医院へ」
「神奈川県入れ歯・義歯センター・川崎市中原区新丸子の歯科医院 」















