神奈川県川崎市の歯科、新丸子西口歯科です。
2010-10-07
・・・・・・・・・・・・・・・・・・・・・・・・・・・・・・・・・・・・・・・・・・・・・・・・・・・・・・・・・・・・・
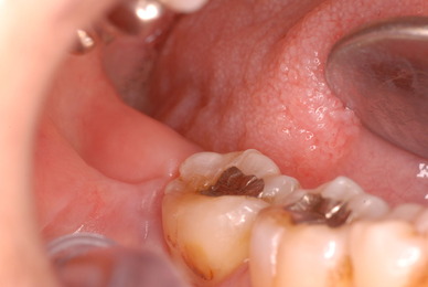
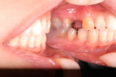
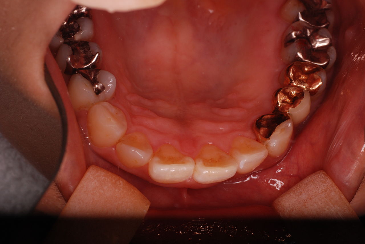
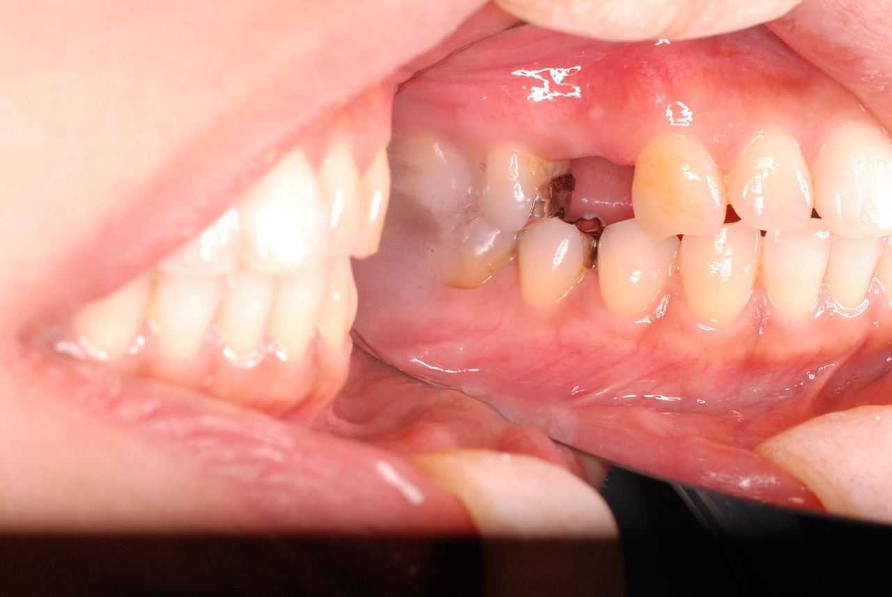
神経が死んでしまった歯は脆いのです。
重症の歯周病で削って上の歯とぶつからないようにしていた歯ですが
いつの間にか神経が死に歯の中が腐っていたようです。
それでヒビが入り割れてしまいました。



・・・・・・・・・・・・・・・・・・・・・・・・・・・・・・・・・・・・・・・・・・・・・・・・・・・・・・
新丸子西口歯科はデンターネット
に参加してます。皆さんのおかげで、川崎中原区で29位になっています。ありがとうございます。
「新丸子西口歯科、良いね」と思って頂ける方はこちら
からデンターネットに行って「新丸子西口歯科」の「HP」というボタンをクリックして下さい。投稿も大募集中です!
株式会社QLife(キューライフ) に登録して商品をゲットし評価をお願いします。会員登録はここから
*****************************************
お口の中から差し歯、入れ歯、詰め物を追放しましょう!
口の中の病気を治し、病気を興さない医療を目指します。
二度とお口の中へ変なものを入れなくても済むように
予防に精進いたしましょう!安全な矯正、美容を目指しましょう!
211-0063
川崎市中原区小杉町1-527-4 メゾンゴールド1A
新丸子西口歯科
松下勲夫
TEL&FAX 044-744-1181
http://www.net-dental.jp/
info@net-dental.jp
http://www.1net-dental.jp/
info@1net-dental.jp
http://blognet-dental.blogdehp.ne.jp/
isao1@ya2.so-net.ne.jp/
*******************************************














