病気が治癒していなければ、審美も矯正も意味がないのでは。
虫歯の治癒率がどれほどですか知りませんが、普段治療していてばい菌の取り残しをよく見受けます。
歯科医師は虫歯を治療できていないことが多いのです。
その一例です。
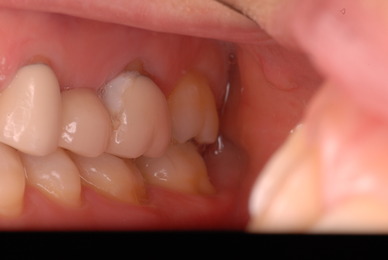
右上の歯の付近の慢性的な鈍痛を訴えられてきました。見た感じでもレントゲンでもよくわかりませんでした。それで歯周病の検査をしてみたのです。そうしたらセトモノの歯と歯の間に深い隙間があり、虫歯から歯髄炎になったのが原因だとわかりました。
虫歯が取れていなかったり掃除が悪ければ歯はダメになります。


セトモノを切断したところです。虫歯でボロボロでした。
最初からきちんと取れていれば何ともならずにすんだものを
残念です。


痛みがひどく神経を取りましたがまだ痛みが続き悩んだ方です。
最終的には、自費診療所の先生に紹介して痛みの原因が目に見えない
程小さな神経の穴があり、そこの神経がばい菌におかされているから
だと判断していただき神経の治療は済みました。
そこでは神経の処置だけで(一本の部分だけ、その他の三本は私が綺麗に除去していますので問題はないのですが)約20万円かかり私も値段に驚きました。保険ではまとめて治療しても(4本の神経の処置でも数千円です。)
又三本の仮歯の費用が10万円でした。患者さんにお話ししておやめになるよう説得しました。でも約束していたので仮歯の料金を払いそのままになっているそうです。
その後私も拡大鏡を購入して数倍に拡大して歯の中を覗くようにしています。目が疲れますが見落としがないようにしています。
保険の点数にキャリアや能力加算がなければ本当にやりきれない感じです。
私も早く保険の呪縛から逃れたいと思い、矯正などを勉強してその方面のみで生計を立てられるようにシフトしています。
保険の治療はボランテイアでやるしかないのかと半分あきらめています。
・・・・・・・・・・・・・・・・・・・・・・・・・・・・・・・・・・・・・・・・・・・・・・・・・・・・・・・
新丸子西口歯科はデンターネット
に参加してます。皆さんのおかげで、川崎中原区で28位になっています。ありがとうございます。
「新丸子西口歯科、良いね」と思って頂ける方はこちら
からデンターネットに行って「新丸子西口歯科」の「HP」というボタンをクリックして下さい。投稿も大募集中です!
株式会社QLife(キューライフ) に登録して商品をゲットし評価をお願いします。会員登録はここから
*******************************************
お口の中から差し歯、入れ歯、詰め物を追放しましょう!
口の中の病気を治し、病気を興さない医療を目指します。
二度とお口の中へ変なものを入れなくても済むように
予防に精進いたしましょう!安全な矯正、美容を目指しましょう!
211-0063
川崎市中原区小杉町1-527-4 メゾンゴールド1A
新丸子西口歯科
松下勲夫
TEL&FAX 044-744-1181
松下勲夫
TEL&FAX 044-744-1181
「川崎市の入れ歯なら新丸子西口歯科医院へ」
「顎関節症は新丸子西口歯科医院へ」
「神奈川県入れ歯・義歯センター・川崎市中原区新丸子の歯科医院 」
*****************************************
ラバーダム














