川崎市 イサオ歯科クリニック 院長ブログ

川崎市中原区新丸子で開業している歯科医院の日常をお話しいたします。

2010年03月

遠藤さんへ・神経を取ったら金属やセラミックを被せないといけないのか?

神奈川県川崎市の歯科、新丸子西口歯科です。

神経を取ったら金属やセラミックを被せないといけないのか?

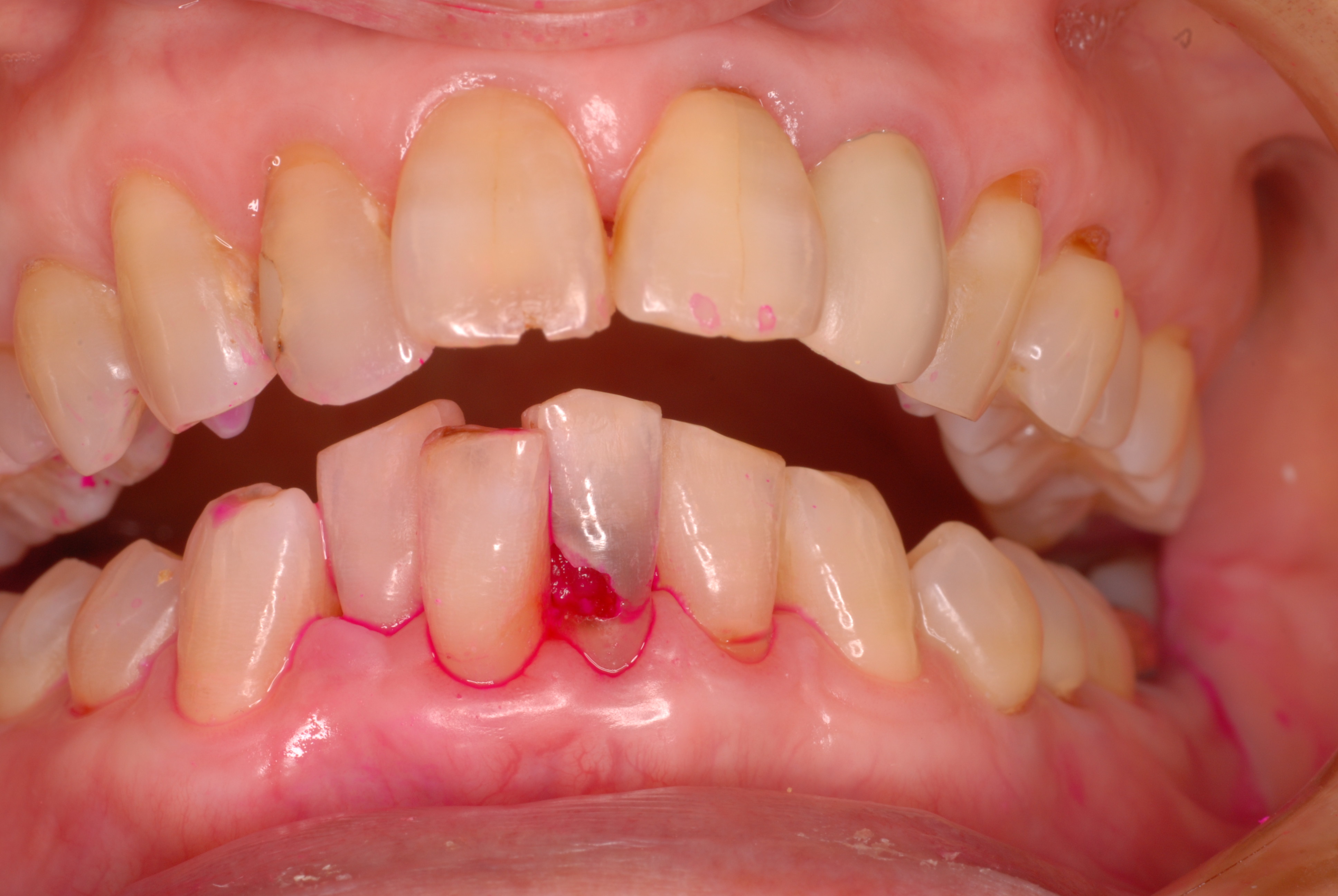
以前の患者です。悪くなってからしか来ない人です。
以前やりました上の歯です。

DSC_0010














今度は下の歯が酷く折れそうでした。赤い色は虫歯菌の検知液です。
染まった所がばい菌の塊です。右上の真ん中の歯は虫歯もひどく神経を取った歯です。隣は何回も注意していたのですが、約束を守らず治療途中で硬いものを噛んだ為に折れて差し歯になったものです。
DSC_0004














DSC_0005














又すぐやれと言うので拒絶しました。ある程度治療をやった後は
ブラッシングを正確にできるようにしないと同じ事の繰り返しになります。

少しうまくなり綺麗な歯肉の状態になりました。

数年経過した上の歯です。折れた歯は差し歯になっています。その隣の
白い歯が差し歯にしていない歯です。神経はありません。
DSC_0019














下の歯も一見解らないでしょう。

DSC_0021














差し歯にするのは避けたいところです。折れたりしたら仕方ないことですが、以外と折れずにすむこともあるのです。

ただ、あちこちにまだ歯茎の炎症があり、歯の間も沢山虫歯なのです。
この方のように歯医者で何かをすれば歯や歯茎は治癒しもう来なくてもいいと思っている方は多いのです。

警告します!

歯医者では何かを入れたり詰めたりしますが、これは病気を治しているのではないのです。ですから再発や又同じ所から病気が起きやすいのです。くれぐれもブラシで病気の原因である病原菌を取り続けない限り御自分の歯や歯茎の健康は守れいという事を御理解ください。

・・・・・・・・・・・・・・・・・・・・・・・・・・・・・・・・・・・・・・・・・・・・・・・・・・・・・・・


新丸子西口歯科はデンターネット

 に参加してます。皆さんのおかげで、川崎中原区で29位になっています。ありがとうございます。

「新丸子西口歯科、良いね」と思って頂ける方はこちら

 

からデンターネットに行って「新丸子西口歯科」の「HP」というボタンをクリックして下さい。投稿も大募集中です!

株式会社QLife(キューライフ) に登録して商品をゲットし評価をお願いします。会員登録はここから



*******************************************

お口の中から差し歯、入れ歯、詰め物を追放しましょう!
口の中の病気を治し、病気を興さない医療を目指します。
二度とお口の中へ変なものを入れなくても済むように
予防に精進いたしましょう!安全な矯正、美容を目指しましょう!

211-0063
川崎市中原区小杉町1-527-4 メゾンゴールド1A

新丸子西口歯科
松下勲夫

TEL&FAX 044-744-1181

川崎市の入れ歯なら新丸子西口歯科医院へ
顎関節症は新丸子西口歯科医院へ
神奈川県入れ歯・義歯センター・川崎市中原区新丸子の歯科医院

*******************************************

 

 

歯科での予約キャンセルについて

神奈川県川崎市の歯科、新丸子西口歯科です。

2010.3.25.

歯科での予約キャンセルについて

予約はその時間を拘束してその人の為に貴重な時間をお取りして他の
患者さんを治療しないというお約束なのです。

待たせないという意味ではないのですよ!

弁護士に会って相談しても相談料というのがかかります。時間はお金と同じなのです。当然キャンセルすると違約金がかかることもあるのです。

日本では歯科での予約制が進んでいますが、これは時間の約束であることを御理解いただきたいのです。

待たせないとかそういう意味ではなく時間をかけないと病気は治らないからなのです。

歯科とか医科では相談時間を取っても費用はいただけませんが、世界では時間を取れば費用がかかるのは当然なんです。

例えば、経営相談、対融資相談、弁護士相談などを私はしましたが、大体一時間1万円以上です。

この前お会いした、予約性の対融資相談のコンサルタントの場合、大して
有用な内容ではありませんでしたが、約1.5時間で31500円でした。

時間を取れば費用がかかることを御理解ください。
そして安易にキャンセルしないで欲しいのです。
・・・・・・・・・・・・・・・・・・・・・・・・・・・・・・・・・・・・・・・・・・・・・・・・・・・・・・・
新丸子西口歯科はデンターネット

 に参加してます。皆さんのおかげで、川崎中原区で29位になっています。ありがとうございます。

「新丸子西口歯科、良いね」と思って頂ける方はこちら

 

からデンターネットに行って「新丸子西口歯科」の「HP」というボタンをクリックして下さい。投稿も大募集中です!

株式会社QLife(キューライフ) に登録して商品をゲットし評価をお願いします。会員登録はここから



*******************************************

お口の中から差し歯、入れ歯、詰め物を追放しましょう!
口の中の病気を治し、病気を興さない医療を目指します。
二度とお口の中へ変なものを入れなくても済むように
予防に精進いたしましょう!安全な矯正、美容を目指しましょう!

211-0063
川崎市中原区小杉町1-527-4 メゾンゴールド1A

新丸子西口歯科
松下勲夫

TEL&FAX 044-744-1181

川崎市の入れ歯なら新丸子西口歯科医院へ
顎関節症は新丸子西口歯科医院へ
神奈川県入れ歯・義歯センター・川崎市中原区新丸子の歯科医院

*******************************************

 


 


予約制の意味について

神奈川県川崎市の歯科、新丸子西口歯科です。

2010.3.25.

予約制の意味について

歯の治療は、一般の病院で考えるとわかりやすいのですが、外科の手術に似ています。

救急でやらないといけないことも当然ありますけれど、慢性の病気の場合
説明を行い同意を得てから手術という段取りですね。

手術も予約してからしか病院でも対応できません。
歯科の治療は説明を含めて普通1~2時間が当然と考えていますので

その間に患者さんが急患で来れば本来予定した治療ができなくなり時間を無駄にします。時間は貴重ですし費用がかかるのです。

ですから無断キャンセルとか当日でもキャンセルされると本来治療費をいただける時間を失う事になりますから経営上多大な損失になるのです。

キャンセルを簡単に考えて欲しくないのです。どこでも時間にルーズな方は社会では相手にされません。同じように好い治療を受けたいならば
お約束した時間を守る!都合が悪い場合は早めに連絡をとるという社会人としてのルールを守っていただきたいと思います。

予約というお約束を守れない方で何故か歯は殆どガタガタの方が多いのは、治療が中断して病気が進行したためだと思います。

一度悪くなったら痛みがなくなったからと言いましても病気が完治していない事が多いのです。

そして放置していた為にさらに悪化して抜歯しかないことの多い事、多い事。

歯や歯茎は昔の健康な状態には決して戻りません。だからこそ完全に治療を行い、病気で治療した歯や歯茎は以前より“弱い”病気になりやすいものだと御理解ください。

金歯やセラミックやインプラント、入れ歯を入れようが同じなのです。
“異物”は病気の“種”なのです。

・・・・・・・・・・・・・・・・・・・・・・・・・・・・・・・・・・・・・・・・・・・・・・・・・・・・・・・
新丸子西口歯科はデンターネット

 に参加してます。皆さんのおかげで、川崎中原区で29位になっています。ありがとうございます。

「新丸子西口歯科、良いね」と思って頂ける方はこちら

 

からデンターネットに行って「新丸子西口歯科」の「HP」というボタンをクリックして下さい。投稿も大募集中です!

株式会社QLife(キューライフ) に登録して商品をゲットし評価をお願いします。会員登録はここから



*******************************************

お口の中から差し歯、入れ歯、詰め物を追放しましょう!
口の中の病気を治し、病気を興さない医療を目指します。
二度とお口の中へ変なものを入れなくても済むように
予防に精進いたしましょう!安全な矯正、美容を目指しましょう!

211-0063
川崎市中原区小杉町1-527-4 メゾンゴールド1A

新丸子西口歯科
松下勲夫

TEL&FAX 044-744-1181

http://www.net-dental.jp/
info@net-dental.jp

http://www.1net-dental.jp/
info@1net-dental.jp

http://blognet-dental.blogdehp.ne.jp/
isao1@ya2.so-net.ne.jp/
*******************************************

 


TIswimmingって知ってますか?

神奈川県川崎市の歯科、新丸子西口歯科です。

TIswimmingって知ってますか?
魔法みたいに誰でも早く泳げるという水泳方法です。まずは
下の映像をみてください!

TIジャパン代表竹内慎司
http://www.youtube.com/watch?v=rJpFVvho0o4

・・・・・・・・・・・・・・・・・・・・・・・・・・・・・・・・・・・・・・・・・・・・・・・・・・・・・・・
新丸子西口歯科はデンターネット

 に参加してます。皆さんのおかげで、川崎中原区で29位になっています。ありがとうございます。

「新丸子西口歯科、良いね」と思って頂ける方はこちら

 

からデンターネットに行って「新丸子西口歯科」の「HP」というボタンをクリックして下さい。投稿も大募集中です!

株式会社QLife(キューライフ) に登録して商品をゲットし評価をお願いします。会員登録はここから



*******************************************

お口の中から差し歯、入れ歯、詰め物を追放しましょう!
口の中の病気を治し、病気を興さない医療を目指します。
二度とお口の中へ変なものを入れなくても済むように
予防に精進いたしましょう!安全な矯正、美容を目指しましょう!

211-0063
川崎市中原区小杉町1-527-4 メゾンゴールド1A

新丸子西口歯科
松下勲夫

TEL&FAX 044-744-1181

http://www.net-dental.jp/
info@net-dental.jp

http://www.1net-dental.jp/
info@1net-dental.jp

http://blognet-dental.blogdehp.ne.jp/
isao1@ya2.so-net.ne.jp/
*******************************************

 


定期的健診の重要性

神奈川県川崎市の歯科、新丸子西口歯科です。

定期的健診の重要性
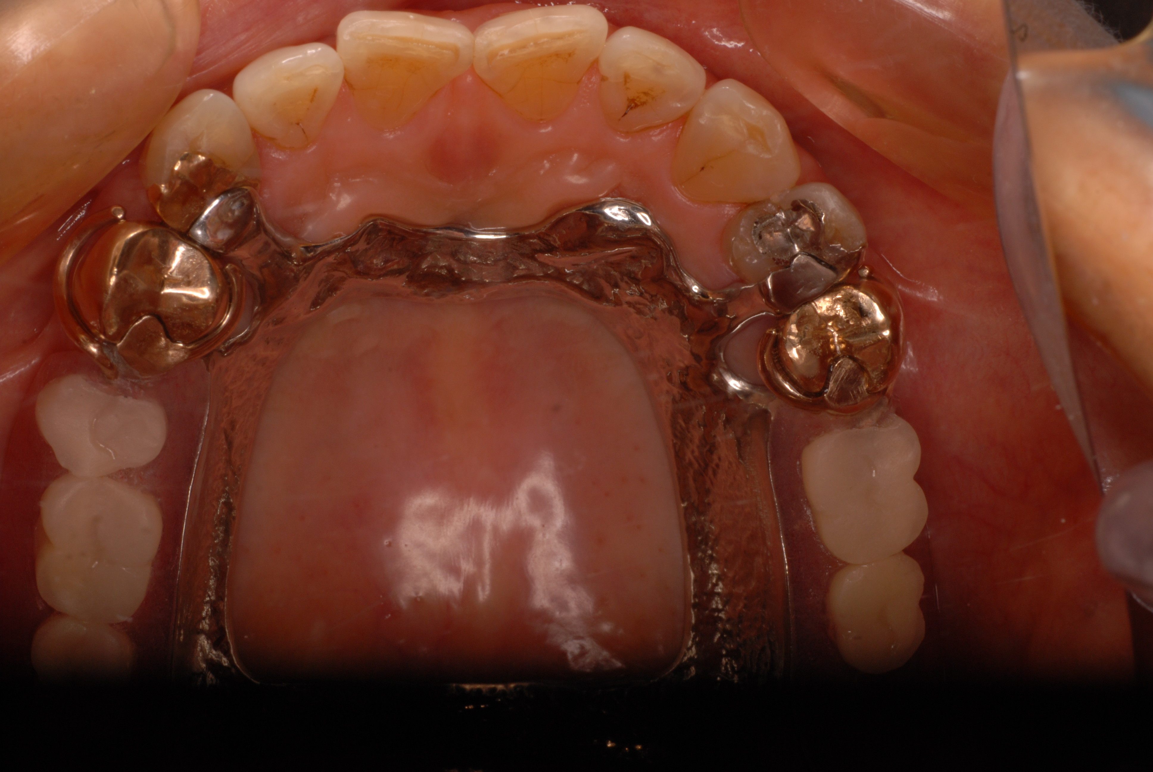
数か月前に新規で初めて部分入れ歯を入れた方が定期的健診に来られました。

電話でお話しした時に歯茎とか何かが痛いとか言われていたのでびくびくしていたのです。

上の歯が少なくよく噛めません。そして写真右上の歯が使いすぎてしみるのです。
DSC_0026














写真の左上の部分の歯茎が痛いそうです。
DSC_0003














調べたところ入れ歯を外して磨いていないので歯周病を起こしていました。

何かを入れたり入れ歯を入れたりすると必ずばい菌が溜まりやすくなるのです。

入れてから或いは、被せてからしばらくは歯周病になっていないか確認し続けないと危険です。

歯周病になっているという事は即ち虫歯になりやすい状態だからです。

最終的には、空隙を開けた入れ歯から全面的に大きくした入れ歯にして
歯に無理がかかるのを防ぎました。発音の心配をしていたのですが、問題ありませんでした。
DSC_0023















DSC_0024














見た目には、正面からでも入れ歯はわかりませんね。

DSC_0015














ただ金属が接触しているところはばい菌が溜まりやすいのです。
要注意です。
写真で、左上の部分の歯の間に強い炎症があります。

DSC_0030














DSC_0032














・・・・・・・・・・・・・・・・・・・・・・・・・・・・・・・・・・・・・・・・・・・・・・・・・・・・・・・
新丸子西口歯科はデンターネット

 に参加してます。皆さんのおかげで、川崎中原区で29位になっています。ありがとうございます。

「新丸子西口歯科、良いね」と思って頂ける方はこちら

 

からデンターネットに行って「新丸子西口歯科」の「HP」というボタンをクリックして下さい。投稿も大募集中です!

株式会社QLife(キューライフ) に登録して商品をゲットし評価をお願いします。会員登録はここから



*******************************************

お口の中から差し歯、入れ歯、詰め物を追放しましょう!
口の中の病気を治し、病気を興さない医療を目指します。
二度とお口の中へ変なものを入れなくても済むように
予防に精進いたしましょう!安全な矯正、美容を目指しましょう!

211-0063
川崎市中原区小杉町1-527-4 メゾンゴールド1A

新丸子西口歯科
松下勲夫

TEL&FAX 044-744-1181

川崎市の入れ歯なら新丸子西口歯科医院へ
顎関節症は新丸子西口歯科医院へ
神奈川県入れ歯・義歯センター・川崎市中原区新丸子の歯科医院

*****************************************

 

続・自由診療と保険診療の違いについて

神奈川県川崎市の歯科、新丸子西口歯科です。

続・自由診療と保険診療の違いについて

先ほど大学の先生に、気になっていたことを尋ねる為に連絡を取りました。

まずは虫歯の治療です。

以前、自由診療と保険診療の違いについて
http://1net-dental.livedoor.biz/preview/editを書きました。

虫歯の治療には、ラバーダム防湿というゴムで唾液やばい菌が入らないようにしてからエキスカというような鋭利なスプーン状のものでこすりながらとるのが普通です。当然注射もしません。

そして、その時間ですが大体速い先生でも一時間かかることもあり本当に保険では不採算な所です。そしてばい菌が取れたかどうかは必ず虫歯検知液で確認してからその後プラスチックを詰めたり、セメントで形を整えてから銀歯やセラミックの歯型を取り装着することになります。

(新丸子西口歯科の一般歯科・小児歯科参照

http://www.1net-dental.jp/treatment.html

根管治療という神経の治療にも一時間ぐらいかかるのはざらです。
そしておおむね数百円から数千円というのが保険の値段です。

・・・この値段ではまじめにやれば潰れます!・・・

だからか解りませんが、虫歯の治療も神経の治療も殆どうまくいっているのを見るのはまれです!解らないのか時間がないからなのか判然としませんが、医療行為に関しては成功していないのが普通です。

どんなに白い綺麗なセラミックや金の歯を入れていたとしても病気が治癒していなければ数年すればすべて破壊されていくのです。

このことを理解している歯科医師も患者も少ないと私は常ずね感じています。

なかなかこのことを理解させにくいので、患者さんには、白い歯がいくらいくらで金属だと金歯がいくらいくら、保険だといくらいくらという説明になっていくのです。

好い治療や病気を治すには保険治療では赤字になることを理解していただきたいのです。

だからかしれませんが、保険治療にない、
美容、矯正、インプラントの勉強会、講習会が歯科医師の間では盛んです。

私も矯正の勉強会には行きますし、インプラントの勉強会にもよくいきました。でもインプラントをやりたいとは思いませんでした。
何故でしょうか?

当時は医師でもなく歯科医師でもないただのインプラント開発の技術者が“インプラントの仕方”を教えていたのです。

・・・こうして歯茎を切りこうして骨に穴を開け、こういう風にインプラントというセラミック(当時)やチタンという金属を入れます。・・・

・・・そして骨の中でくっつきましたら歯型をとりセラミックや金属を入れるのです。・・・・

変な時代でした。そしてスウェーデンの医師が開発したインプラントになってから急速に普及し始めたという歴史を持ちます。

ですが、歯とは根本的に違うのです。

御本人が望めばやらない事はありませんが、歯とは違うと、そして問題を起こしやすいという事を十分ご理解いただきたいのです。

情けない話ですが、真面目に歯科の医療をやろうという講習会なり勉強会にはあまり行かないようです。

審美歯科(美容)、矯正、インプラントがどれほど難しいか関心があまりないので知りませんが、矯正とかインプラントなどという治療があまり難しいものでないことは間違いありません。

しかし、同じ時間を取りましても収入は雲泥の差となります。
このままでは、お口の中は、セラミックやインプラントなどの高級な“異物”のオンパレードとなり病気の原因になりやすいのです。

病気は治した方がいいのですが、“異物”のオンパレードは避けないといけません。

又歯周病の治療というのものの基本は、患者さんに磨き方(歯肉の病気を治す磨き方)、医療性の高い磨き方を憶えてもらい、まず歯や歯茎の周りの環境を衛生的にしてもらうことなんです。

その後しか歯石除去や手術はしてはいけません。これも" 言うは安く行うのは難し"が現状です。

いつまでもお口の中が病気にならない為には、医療行為に時間をとり定期的に病気になっていないか健診して病気にならないように注意することが大事なんです。

殆どの病気が一度治療したところから起こっているのを見ても、歯科治療の医療性が極めて少なく、被せたり詰めたりすることが病気とは何も関係がない事を物語っています。

“何かやった所から駄目になっていく”のです。ブラシの使い方や健診の重要性が御理解できたでしょうか?


・・・・・・・・・・・・・・・・・・・・・・・・・・・・・・・・・・・・・・・・・・・・・・・・・・・・・・・
新丸子西口歯科はデンターネット

 に参加してます。皆さんのおかげで、川崎中原区で29位になっています。ありがとうございます。

「新丸子西口歯科、良いね」と思って頂ける方はこちら

 

からデンターネットに行って「新丸子西口歯科」の「HP」というボタンをクリックして下さい。投稿も大募集中です!

株式会社QLife(キューライフ) に登録して商品をゲットし評価をお願いします。会員登録はここから



*******************************************

お口の中から差し歯、入れ歯、詰め物を追放しましょう!
口の中の病気を治し、病気を興さない医療を目指します。
二度とお口の中へ変なものを入れなくても済むように
予防に精進いたしましょう!安全な矯正、美容を目指しましょう!

211-0063
川崎市中原区小杉町1-527-4 メゾンゴールド1A

新丸子西口歯科
松下勲夫

TEL&FAX 044-744-1181

 「川崎市の入れ歯なら新丸子西口歯科医院へ
顎関節症は新丸子西口歯科医院へ
神奈川県入れ歯・義歯センター・川崎市中原区新丸子の歯科医院

*****************************************

 

被せたり詰めたり矯正したりすることが医療か?

神奈川県川崎市の歯科、新丸子西口歯科です。

被せたり詰めたり矯正したりすることが医療か?

差し歯やセラミック、金属を入れるのは治療ではないのです。どちらかと言えば破壊行為に近いのですね。


だから触った所から病気(虫歯、歯周病)になりやすいのです。
ですから、虫歯や根管治療という病気の治療をやりその後歯周病という病気を治癒してからでないと、詰めたり被せたりしてはいけないのです。

治っていない状態で被せるとかすると或いは注意していないと、いずれ歯や歯茎は病気になり抜けおちるということになります。

歯科医院での病気の治療はなかなかうまくいっていないのが現状です。
時間がかかるのです。ですが保険の評価は低いのですね。


被せたりしない限り評価は少ないのが現状です。被せたり詰めた歯を監視して病気にならないようにしない限り病気を防ぐ事は困難なんです。

矯正治療にしてもものすごく病気になりやすいので要注意なんですね。
綺麗になることは当然ですが、病気を起こさないように注意することはもっと大切なんです。

・・・・・・・・・・・・・・・・・・・・・・・・・・・・・・・・・・・・・・・・・・・・・・・・・・・・・・・
新丸子西口歯科はデンターネット

 に参加してます。皆さんのおかげで、川崎中原区で29位になっています。ありがとうございます。

「新丸子西口歯科、良いね」と思って頂ける方はこちら

 

からデンターネットに行って「新丸子西口歯科」の「HP」というボタンをクリックして下さい。投稿も大募集中です!

株式会社QLife(キューライフ) に登録して商品をゲットし評価をお願いします。会員登録はここから



*******************************************

お口の中から差し歯、入れ歯、詰め物を追放しましょう!
口の中の病気を治し、病気を興さない医療を目指します。
二度とお口の中へ変なものを入れなくても済むように
予防に精進いたしましょう!安全な矯正、美容を目指しましょう!

211-0063
川崎市中原区小杉町1-527-4 メゾンゴールド1A

新丸子西口歯科
松下勲夫

TEL&FAX 044-744-1181

 「川崎市の入れ歯なら新丸子西口歯科医院へ
顎関節症は新丸子西口歯科医院へ
神奈川県入れ歯・義歯センター・川崎市中原区新丸子の歯科医院

*******************************************

 



歯周病は歯科医が治すのか?

神奈川県川崎市の歯科、新丸子西口歯科です。

歯周病は歯科医が治すのか?

今日インプラントが高価で嫌だという方が来られました。

歯周病の歯がありその歯を抜いた後インプラントにすることを
薦められるので嫌になり来院されました。

いかにも安い入れ歯を装着されていますので、かなり不愉快な感じ(発音)をお持ちでないかと思いました。いずれ、歯に引っかけている金属の
引っ張りで歯周病になったりして抜けやすいのです。(正確な金属があれば大丈夫です。)

それ以上に歯周病を歯科医師が治すものだという固定観念に驚くのです。歯周病の治療は一にも二にもブラッシングの徹底なのです。

歯科医師は治療の為のナビケーターに過ぎないのです。

それでも治癒が難しい場合、歯石を取ったり手術をするのです。
歯茎が炎症を起こしているときに歯石をとったり手術をすれば、お分かりのようにさらに炎症が酷くなります。

前提は、かなり長い時間をかけた医療性を伴ったブラシによる刺激なのです。そして病原菌という病原菌を歯の周りや歯茎の中のポケットと呼ばれる穴から追い出すことなんですね。

そして歯肉の血液循環を改善させることが一番なんです。

それから、次の段階である歯石除去や手術という悪い部分を切り取るという手段になります。

まずは検査とブラシの当て方の訓練なんですよ!

薬で治ることも、すぐ手術で治る事もないのです。
薬を使えばある程度急性症状は楽になりますが、使い続けるつもりでしょうか?

医科では薬の使い過ぎで耐性菌のオンパレードです。もっと悪性の歯周病菌を作りたいのでしょうか?

歯科界に苦言を呈したいと思います。
・・・・・・・・・・・・・・・・・・・・・・・・・・・・・・・・・・・・・・・・・・・・・・・・・・・・・・・
新丸子西口歯科はデンターネット

 に参加してます。皆さんのおかげで、川崎中原区で29位になっています。ありがとうございます。

「新丸子西口歯科、良いね」と思って頂ける方はこちら

 

からデンターネットに行って「新丸子西口歯科」の「HP」というボタンをクリックして下さい。投稿も大募集中です!

株式会社QLife(キューライフ) に登録して商品をゲットし評価をお願いします。会員登録はここから



*******************************************

お口の中から差し歯、入れ歯、詰め物を追放しましょう!
口の中の病気を治し、病気を興さない医療を目指します。
二度とお口の中へ変なものを入れなくても済むように
予防に精進いたしましょう!安全な矯正、美容を目指しましょう!

211-0063
川崎市中原区小杉町1-527-4 メゾンゴールド1A

新丸子西口歯科
松下勲夫

TEL&FAX 044-744-1181

 「川崎市の入れ歯なら新丸子西口歯科医院へ
顎関節症は新丸子西口歯科医院へ
神奈川県入れ歯・義歯センター・川崎市中原区新丸子の歯科医院

*******************************************

 



Scotlandよりremedy(ホメオパシーの治療薬)が送られてきました。

神奈川県川崎市の歯科、新丸子西口歯科です。

Scotlandよりremedy(ホメオパシーの治療薬)が送られてきました。
http://www.freemans.uk.com
DSC_0005














DSC_0004















DSC_0008














普通は錠剤なのですが、今回はLMという液状のremedyを別注文しました。(自分の病気?用です。笑い)

慢性疾患の場合どのremedyなのか?どの強さを今使うべきかは
とても難しい判断になります。

素人では無駄なことだと御理解ください。
イギリス系統の専門学校では、年間に数十回の講義と数年間の年月を教育期間として教育しているようですが、

インドなどでは、6年生の所謂ホメオパシー医科大学で教育しておりレベルは普通の医学部と同程度のです。

プロになるのには厳しい勉強と時間が必要なのです。
費用がかかることを御理解ください。(慢性疾患)

DSC_0011


















・・・・・・・・・・・・・・・・・・・・・・・・・・・・・・・・・・・・・・・・・・・・・・・・・・・・・・・
新丸子西口歯科はデンターネット

 に参加してます。皆さんのおかげで、川崎中原区で29位になっています。ありがとうございます。

「新丸子西口歯科、良いね」と思って頂ける方はこちら

 

からデンターネットに行って「新丸子西口歯科」の「HP」というボタンをクリックして下さい。投稿も大募集中です!

株式会社QLife(キューライフ) に登録して商品をゲットし評価をお願いします。会員登録はここから



*******************************************

お口の中から差し歯、入れ歯、詰め物を追放しましょう!
口の中の病気を治し、病気を興さない医療を目指します。
二度とお口の中へ変なものを入れなくても済むように
予防に精進いたしましょう!安全な矯正、美容を目指しましょう!

211-0063
川崎市中原区小杉町1-527-4 メゾンゴールド1A

新丸子西口歯科
松下勲夫

TEL&FAX 044-744-1181

 「川崎市の入れ歯なら新丸子西口歯科医院へ
顎関節症は新丸子西口歯科医院へ
神奈川県入れ歯・義歯センター・川崎市中原区新丸子の歯科医院

*******************************************

 



子供が親より早く亡くなること。(逆縁)について

神奈川県川崎市の歯科、新丸子西口歯科です。

子供が親より早く亡くなること。(逆縁)について

ある異常に成功している先生の娘さん(16歳だとか)の葬儀に出ました。

「筋委縮性側索硬化症」という難病だったそうです。

「筋委縮性側索硬化症」については良く知りませんが
ホメオパシーの勉強の時に、世界的チェロの奏者が
(ジャクリーン・デュプレ)

『ほんとうのジャクリーン・デュプレ』(原題 ヒラリーアンドジャクリーン)
確かこの病気でお亡くなりになったのです。

そして治療薬としてのremedy(ホメオパシーの薬)の説明に
使われていました。もしかしたらと思うと残念です。(あくまで可能性ですが)

Cacinocinというremedyだったと思います。

しんでん森の動物病院
院長 森井 啓二

http://homepage3.nifty.com/shinden-forest/04_tougou/doc/87.html



クラシカルホメオパシークリニック

http://www.asunarokai.net/index.html



→昔同じ教室の先生(今は大学教授)のところに行った時

何やら一生懸命拝んでいたのを覚えています。



子供が病気になった時に祈りをささげたところ

改善した為にどうも入信されたようでした。その時親の有難さを

実感いたしました。そして祈りの大切さを感じたものです。

その先生とはあまりお話したことはありませんでしたが、何やら気になり

本日葬儀場に伺いました。お話することもありませんでしたが、

逆縁というのでしょうが、親の辛さはいかばかりかと

思います。

お年をめした方のご葬儀は不謹慎でしょうが笑いもあるやと

思います。大往生でもあるからです。でも子供の時は沈痛ですね。

→日頃から、成功されている方は陰徳をなるべくされて

このような事態を招来しないように予防に努められたらと

思います。(効果は定かではありませんが、昔から慣習的

に言われていることです。お布施や誰かを助ける事です。)

或る宗教雑誌(入信はしておりませんが。)を読むといつも

病気や死に対する見方が変わります。

恐れもなく淡々とそのことを受け入れる心の強さを感じています。

だからバックボーンとなる考え方は大事な感じがしています。

すべての「結果」は引き寄せられている。
運命を決める「牽引の法則」

著者 澤谷 こう 総合法令

少し宗教的な本ですが、どんな場合でも
試してみる価値はあるのではと思います。

カウンセラーですから宗教みたいに
勧誘されることはありません。

私も一度受けてみたいと思ったことが
ありました。


皆さまに良きことが起こる事を切に祈ります。

・・・・・・・・・・・・・・・・・・・・・・・・・・・・・・・・・・・・・・・・・・・・・・・・・・・・・・・
新丸子西口歯科はデンターネット

 に参加してます。皆さんのおかげで、川崎中原区で29位になっています。ありがとうございます。

「新丸子西口歯科、良いね」と思って頂ける方はこちら

 

からデンターネットに行って「新丸子西口歯科」の「HP」というボタンをクリックして下さい。投稿も大募集中です!

株式会社QLife(キューライフ) に登録して商品をゲットし評価をお願いします。会員登録はここから



*******************************************

お口の中から差し歯、入れ歯、詰め物を追放しましょう!
口の中の病気を治し、病気を興さない医療を目指します。
二度とお口の中へ変なものを入れなくても済むように
予防に精進いたしましょう!安全な矯正、美容を目指しましょう!

211-0063
川崎市中原区小杉町1-527-4 メゾンゴールド1A

新丸子西口歯科
松下勲夫

TEL&FAX 044-744-1181

 「川崎市の入れ歯なら新丸子西口歯科医院へ
顎関節症は新丸子西口歯科医院へ
神奈川県入れ歯・義歯センター・川崎市中原区新丸子の歯科医院

******************************************

 



根管治療という治療の成功の為に(歯の神経の処置)

神奈川県川崎市の歯科、新丸子西口歯科です。

2010.3.6.
根管治療という治療の成功の為に(歯の神経の処置)

ばい菌が歯の中に侵入しないようにまず歯の形を変えなければならないことがあります。そして形を整えてからラバーダムというゴムなどで隔離してばい菌が侵入しないように、又消毒薬がお口に漏れないようにして歯の中からばい菌の塊である、“虫歯”や“神経”の中に残っている汚染された歯質を除去していかないかぎり、痛みや顎の中の骨の破壊はとめられないのです。

又神経という歯の中の穴は複数あるのですが、拡大鏡で覗かなければ見落としてしまう事も多いのです。

右上に穴が二つ見えますか?一つは以前治療した先生が開けた穴ですが途中で閉塞していまいた。そしてその下に別の神経の穴が存在していたのですが、拡大鏡で見ていないので見えていなかったか注意不足で腐れた神経を取り残して腐敗していました。細いのでわからなかったのかもしれません。

DSC_0048














拡大鏡でみるとはっきりと見えます。同じ場所のようにレントゲンではみえますが全然別の神経の穴だったのです。

DSC_0047














私も最近は必ず拡大鏡で確認してから治療を始めます。
しかし保険の治療費では本当にこだわればこだわるほど“赤字”になります。



・・・・・・・・・・・・・・・・・・・・・・・・・・・・・・・・・・・・・・・・・・・・・・・・・・・・・・・
新丸子西口歯科はデンターネット

 に参加してます。皆さんのおかげで、川崎中原区で29位になっています。ありがとうございます。

「新丸子西口歯科、良いね」と思って頂ける方はこちら

 

からデンターネットに行って「新丸子西口歯科」の「HP」というボタンをクリックして下さい。投稿も大募集中です!

株式会社QLife(キューライフ) に登録して商品をゲットし評価をお願いします。会員登録はここから



*******************************************

お口の中から差し歯、入れ歯、詰め物を追放しましょう!
口の中の病気を治し、病気を興さない医療を目指します。
二度とお口の中へ変なものを入れなくても済むように
予防に精進いたしましょう!安全な矯正、美容を目指しましょう!

211-0063
川崎市中原区小杉町1-527-4 メゾンゴールド1A

新丸子西口歯科
松下勲夫

TEL&FAX 044-744-1181

 「川崎市の入れ歯なら新丸子西口歯科医院へ
顎関節症は新丸子西口歯科医院へ
神奈川県入れ歯・義歯センター・川崎市中原区新丸子の歯科医院

*******************************************

 



噛みあわせが悪いとは?金属、セラミック編

神奈川県川崎市の歯科、新丸子西口歯科です。


一番遭遇するのは、高さが高いとか低いという話です。

本日右上奥の銀歯(保険のものでしょうか?)が取れたという若い以前別のところを治療した方が見えられました。

本人は高くないというのですが、慎重に調べてみるとやはり高いのです。高いから外れたのではと考えた私は、少しずつ削っていきましたが削っても削っても他の歯はしっかりと噛んでいるのです。(一見高くないよいうに見えますが)


この意味解りますか?歯(銀歯、セラミック)は一番奥の歯の場合少々高くても沈む事により順応するのです。ですから仮にこの銀歯を入れたところで高さを調べても他の歯が噛まないという事もなく噛んでいるのです。

でも若干高い為に取れてしまう事はよくあります。

生きている歯ならば、よく水や冷たいものが“しみる” という現象が現れます。

死んだ歯の場合は何かしっくりこないとか脱落の原因になるのです。
今回もこのケースでした。なんと保険の銀歯の調整で約1.5時間かかりました。

おそらく1mm以上金属を削ったのではないかと思いました。
又高いと歯折の原因にもなるのです。

それにしても噛みあわせの調整は大変です。殆どこの点数が保険にないのは詐欺というしかありません。

残念です。

土台の金属ごとはずれています。
銀の土台なので歯の部分が変色しています。虫歯を除去した後の
写真です。
DSC_0026














銀の土台と被せた銀歯を力で分離した所です。取れた時にはくっついていました。
DSC_0022














高さを調整する為に削りまくった銀歯です。削りすぎた為に溝もなく形もぬっぺりとしています。

DSC_0021














テープで高いかどうか調べていますが、いくら削っても高さには変わりありませんでした。歯が噛むとかなり沈むようなのです。銀歯やセラミックを入れる時には、高さに注意しないと、しみたり、取れたり割れたりする原因になるのです。

DSC_0024














・・・・・・・・・・・・・・・・・・・・・・・・・・・・・・・・・・・・・・・・・・・・・・・・・・・・・・・
新丸子西口歯科はデンターネット

 に参加してます。皆さんのおかげで、川崎中原区で29位になっています。ありがとうございます。

「新丸子西口歯科、良いね」と思って頂ける方はこちら

 

からデンターネットに行って「新丸子西口歯科」の「HP」というボタンをクリックして下さい。投稿も大募集中です!

株式会社QLife(キューライフ) に登録して商品をゲットし評価をお願いします。会員登録はここから



*******************************************

お口の中から差し歯、入れ歯、詰め物を追放しましょう!
口の中の病気を治し、病気を興さない医療を目指します。
二度とお口の中へ変なものを入れなくても済むように
予防に精進いたしましょう!安全な矯正、美容を目指しましょう!

211-0063
川崎市中原区小杉町1-527-4 メゾンゴールド1A

新丸子西口歯科
松下勲夫

TEL&FAX 044-744-1181

 「川崎市の入れ歯なら新丸子西口歯科医院へ
顎関節症は新丸子西口歯科医院へ
神奈川県入れ歯・義歯センター・川崎市中原区新丸子の歯科医院

*******************************************

 



噛みあわせが悪いとは?入れ歯編

神奈川県川崎市の歯科、新丸子西口歯科です。

噛みあわせが悪いとは?

一番遭遇するのは、高さが高いとか低いという話です。

入れ歯ではどんなに精密に歯型を取り技工士さんが精密に作ったとしても、“ずれ”を口腔内で調整しなければ痛くて噛めません。

主に“垂直的ずれ”ですが、これも患者に噛ませても全く無駄なのです。
調整は歯科医師が顎を誘導して上下の入れ歯が噛まないところで上下の入れ歯を固定し、そのまま咬合器という器械に付着し、咬合器上で均一に噛むように調整しなければ痛くて患者さんは噛めないのです。

それは、顎の“蝶つがい”はふらふらしていますから歯科医師が誘導しないと正常なかみ合わせはわからないからなのです。

患者さんに“はい、噛んで”では噛んだ瞬間に入れ歯がずれて本来の均一な調整ができないからです。

少し複雑ですが、噛みあわせの専門家ならば痛いからと言って入れ歯の痛い所をザクザク削るようなことはないのです。

痛くてもそこを削らず咬合器上で調整してから痛いかどうかを尋ねて数回やっても問題がある時のみ入れ歯を少し削るのです。

私の場合、作製後調整ゼロもありました。
だから、痛いからといって入れ歯をすぐ削ることは殆どないのです。
・・・・・・・・・・・・・・・・・・・・・・・・・・・・・・・・・・・・・・・・・・・・・・・・・・・・・・・・・・・・
出来上がった入れ歯(上下でぶつかる歯がない場合)はできたとしても
お口の中ですぐ高いかどうか調べることはやらないのです。顎を誘導して
入れ歯を噛ませ咬合器に再装着して咬合器上で高さの調整をしなければ本当の高さの調整はできないのです。

よくわからない歯科医師はお口の中で調整してしまう為に余計なところを削ってしまうのです。痛いからといって痛いところを削るのはプロの入れ歯専門歯科医師のすることではないのです。
DSC_0015















・・・・・・・・・・・・・・・・・・・・・・・・・・・・・・・・・・・・・・・・・・・・・・・・・・・・・・・
新丸子西口歯科はデンターネット

 に参加してます。皆さんのおかげで、川崎中原区で29位になっています。ありがとうございます。

「新丸子西口歯科、良いね」と思って頂ける方はこちら

 

からデンターネットに行って「新丸子西口歯科」の「HP」というボタンをクリックして下さい。投稿も大募集中です!

株式会社QLife(キューライフ) に登録して商品をゲットし評価をお願いします。会員登録はここから



*******************************************

お口の中から差し歯、入れ歯、詰め物を追放しましょう!
口の中の病気を治し、病気を興さない医療を目指します。
二度とお口の中へ変なものを入れなくても済むように
予防に精進いたしましょう!安全な矯正、美容を目指しましょう!

211-0063
川崎市中原区小杉町1-527-4 メゾンゴールド1A

新丸子西口歯科
松下勲夫

TEL&FAX 044-744-1181

 「川崎市の入れ歯なら新丸子西口歯科医院へ
顎関節症は新丸子西口歯科医院へ
神奈川県入れ歯・義歯センター・川崎市中原区新丸子の歯科医院

******************************************

 



顎関節症について・・番外編

神奈川県川崎市の歯科、新丸子西口歯科です。

顎関節症を治療していると歯科医師が対処してよいのか
分からないような方も治療にいらっしゃいます。

ですが、これは治療範囲外でお断りせざるをえません。
ただ、慢性疾患に対するアドバイスは致します。

下記はその回答です。診療するわけではないのでこのような
質問に回答する時間も本当は、ご遠慮いただきたいものなんですが
・・・・・・・・
三年間も問題が解決していたとは驚きです。
自律神経免疫療法はすごいの一言です。

。。。。。。。。。。。。。。。。。。。。。。。。。。。。。。。。。。。。。。。。。


新丸子西口歯科
松下先生

お世話になります。
●●(●●歳)と申します。

私は、3年前先生に顎関節症を治療して
いただいた者です。

その節は大変お世話になりました。
今現在、顎の状態は良好で快適に生活させていただいております。
先生の治療法で完治に至り、日々感謝の念に絶えません。
本当にありがとうございました。

さて、顎の状態はよろしいのですが、本メールでご相談させて
いただきたいことは、私は長年の持病に関してなのです。

私は、現在
1IgA糸球体慢性腎炎(病歴約30年)
2自律神経失調症(病歴約15年)
であります。

特に1はご存知のように不治の病と言われており、
現在は、降圧剤の服用と2〜3ヵ月ごとの定期検査(血液、
尿、血圧)で病状の経過を観察していただいております。
また、塩分を控える等で普通の生活はできておりますが、
腎機能は通常の約60%程度だと思います。

また、2に関しましては、時々症状が出たとき(ふらつく、不安になる、
ボーとする等)のみ、「セルシン2mg」を服用しております。
今のところ、一応服用すれば症状は緩和され、おさまりますが、
若干常時継続しているようにも思われ、いまいち首から上が
シャキッとしておりません。

この2つの持病につき、先生のお力でなんとか改善(または
現状維持)できるような方法などお心あたりがありますでしょうか?
もしご存知のような事柄があればぜひ一度受診させて
いただければ大変幸甚と存じます。

全く方向の違うご相談かもしれませんが、
もしそうであれば、平にご容赦のほどお願い申し上げます。

突然の勝手なメールで大変恐縮しておりますが、
何卒よろしくお願い申し上げます。

●●
住所:●●
TEL:●○●○
以上


これらに対する私の回答です。
。。。。。。。。。。。。。。。。。。。。。。。。。。。。。。。。。。。。

おひさしぶりですが、
顎関節症,或いは良く分からない病気の方はおそらく

2000名以上来院しているのではと思います。
ですからいつもいらして歯科治療をやられているかたと

違い思い出せません。

そして医師のやる事に対して何かの方法を教えたりやったりすることは、
法律違反に抵触する恐れがあります。

ご理解下さい。

川と同じように流れが滞ると細胞レベルで
老廃物が溜まります。溜まれば細胞レベル
で遺伝子や細胞の壊死が起こります。

細かな分析より自然の環境から学ばれては
いかがでしょうか?

西洋医学は抑える薬が多いのです。
生体は本に戻ろうとして色々な症状を呈します。
その時点でデータとか色々な数字を分析します。

ですが、本来船みたいなもので必ず元に戻ります。
戻ろうとする時に多少揺れ戻しもありましょうが、

それが症状です。もとに戻ろうとしているだけなのです。
ですから原因を考えてそれを改善されてはどうでしょうか。

生活の改善です。
慢性疾患はこれしかないと思います。

又心の問題は心を落ち着かせることです。
全てこれで解決できるのではと思います。

昔、心も体も疲労困憊になった時病院などに行きましたが
分析ばかりで何故という事を尋ねない医師が多いのに
驚きました。

そしてやがて瞑想治療のところに行きますと瞑想を通じて
ありとあらゆる病気が良くなるのをこの目でみましたし、

小生も劇的に改善しました。

自分で末期癌を治した方です。
http://www.shin-terayama.jp/




私が以前書いた文章です。
参考にしてください。
・・・・・・・・・・・・・・・・・・・・・・・・・・・・・・・・・

神奈川県川崎市の歯科、新丸子西口歯科です。

ずっと体の痛みや不調を抱えた方が来院されました。
所謂(いわゆる)不定愁訴というやつです。

心と体を分離する西洋医学的考察では、生命体の
不調はなかなか解決できません。

色々な病院や治療院を転々として治らない為に
歯やかみ合わせが原因ではないかと来院されたのです。

本当に藁をもすがる思いなのでしょうか。

かような方には、まず健康な方の真似をしてはいかがでしょうか?
とお話しします。

まず、体の健康を保っている人のやり方をまねて健康を
考える。

心の健康を保っている方のやり方をまねて心の健康を
考える。

体・・・・有酸素運動をしないと健康は保てません!
  ・・体が硬いと疲労物質が溜まります。柔らかく!
  ・・・食べ物はなるべく野菜中心、午前中は果物とか
    生野菜中心、夜8時以降はあまり食べない事、
    水分補給をまめに(一日2リットル以上)
    コーヒーやカフェイン入り食べ物を避ける。
    酒やたばこを止める。

心・・・・溜まった記憶やストレスを吐き出す為に瞑想のような
    吐き出す行為を行う事。
   ・・・・感情のコントロール(NLP)プラスの言葉
     ・・・・体の姿勢、いつも明るい顔をする。
  ・・・・新聞やテレビなどの悪いニュースから
     自分を遠ざける。楽しい、感動する話し
     だけを聞くようにする。

・・・・・・・・・・・・・・・・・・・・・・・・・・・・・・・・・・・・・・・・・・・・・・

マハリシのT.M.瞑想(アメリカ西岸ではインド系
            の内分泌医師ディーパップ・チョプラが有名・ハリウッド
            スターが患者です。)

            http://www.maharishi.co.jp/tm/

ストレスやマイナスな記憶が多くなると自律神経の機能が不調になります。
例えば交感神経が緊張すると血液がうっ血し乳酸がたまり痛みの原因になります。

一時的には、交感神経の緊張を取ること、筋肉をストレッチして血流を良くし、乳酸を絞り出す事で良くなります。

長期的には、肉体の状態管理や瞑想などにより毎日心の疲れをとりませんと何回も再発します。

症状は、体より精神の不調のサインなのです。
薬も治療も本来必要ないのです。現代医学はおかしいです。慢性の病気が薬で手術で治るとはとても思えないのです。

病気の原因は遺伝、環境(エアコンなどの室内環境、ホルモン、ストレス、ストレッチ不足、運動不足)、食べ物など以外考えられません。そこに焦点をあてるとほとんど解決できないことはないと思います。

ただ遺伝はわかりませんが、だからホメオパシーの治療が必要になるのではと思っています。

       未病.コム
            http://mibyo.jp/

            日本ホリスティック医学協会
            http://www.holistic-medicine.or.jp/

            日本ホメオパシー医学会
             http://www.jps-homeopathy.com/

            自律神経免疫療法
             http://www.d9.dion.ne.jp/~shohei-c/shiraku1.html 

            マハリシのT.M.瞑想(アメリカ西岸ではインド系
            の内分泌医師ディーパップ・チョプラが有名・ハリウッド
            スターが患者です。)

            http://www.maharishi.co.jp/tm/

中村天風さんを知っていますか?不治の病をヨガと瞑想で治し
その哲学が残っていて実際の養生法を勉強する会もあります。
http://www.tempukai.or.jp/web/top.html

痛みに関しては、現在科学的に咬合は関係ないというのが定説です。断言はできませんが。
私は20年以上前から歯を触ることはありません。慢性の痛みなどは現在の普通の治療しても治癒には殆ど効果がないと言われています。

もし効果があるとすれば、人の手を介すからとか暗示とか安心するからとか、そういうふうに自分で治ることによる効果だといわれています。
http://www.tms-japan.org/ 腰痛に関してのサイトですが、すべての慢性的な痛みについての答えがあります。これ程科学的に調べてお話ししているものはないようです

痛みについての一番科学的な評価をしている
サイトです。

「腰痛は怒りである」長谷川淳史 ・・春秋社
TMSジャパン
〒070-0864  北海道旭川市住吉4-1-5-23
TEL:0166-52-7797
http://www.tms-japan.org/

彼が書いている以上に整体や歯科、或いは口腔外科にかかってひどくなった方を私は沢山みてきました。大学や権威に弱い習性なんでしょうね。

科学的に言いましても薬や何かで治ることはないのです。科学的に考えれば考える程精神的なものを何とかしないと治癒は難しい事がよく分かります。

・・・・・・・・・・・・・・・・・・・・・・・・・・・・・・・・・・・・・・・・・・・・・・・・・・・・・・・・・・・
患者さんからのお返事です。
・・・・・・・・・・・・・・・・・・・・・・・・・・・・・・・・・・

新丸子西口歯科
松下先生

こんばんは。
お忙しいところ、さっそくメールをいただき大変恐縮しております。

何分にも顎関節症の治療に際して、一度だけお伺いしただけで
完治したため、その後、ご報告も差し上げておらず、
ご記憶にないのは当然です。

それに最近引越しをしましたし、メールアドレスも
当時使用していたものと違っております。
改めまして今までのご無礼につき、深くお詫び申し上げます。
誠に申し訳ございませんでした。

私事、
たまたま治療法が見えない?困難な病気にかかってしまい、
ここ30年治療を受けていながら、西洋医学的には具体的な
原因治療に特別の手立てもなく?、ただ検査と経過観察と対症療法的
な処置に対して物足りなさを感じている次第です。

腎炎に関しましては罹病当時、自然治癒力の増強を目的とした漢方薬も
1年ほど試してみたものの、生薬の効果もよく分からず中断してしまった、ということもありました。

昨年、家内もいわゆる更年期障害という症状で、あちらこちらの
先生に診ていただき、結局、瀉血と漢方薬で何とか回復しつつ
ある状態です。

そんな様子を見ながら、顎関節症という難病?を一発(失礼)で
直してくれた先生を思い出し、ご連絡をさせていただいた次第です。

当時から相当年数が経過し、突然のメールなどでのご連絡、
さらには医学会の常識も存じ上げず、勝手なご相談を申し
上げましたこと、心よりお詫び申し上げます。

このたびご教示いただきましたこと、及ばずながら少しでも理解
できたらと勉強させていただこうと思っております。
誠にありがとうございました。

まずは、お詫びとメール受領の御礼までにて
失礼申し上げます。
ありがとうございました。

○○○●




・・・・・・・・・・・・・・・・・・・・・・・・・・・・・・・・・・・・・・・・・・・・・・・・・・・・・・・
新丸子西口歯科はデンターネット

 に参加してます。皆さんのおかげで、川崎中原区で29位になっています。ありがとうございます。

「新丸子西口歯科、良いね」と思って頂ける方はこちら

 

からデンターネットに行って「新丸子西口歯科」の「HP」というボタンをクリックして下さい。投稿も大募集中です!

株式会社QLife(キューライフ) に登録して商品をゲットし評価をお願いします。会員登録はここから



*******************************************

お口の中から差し歯、入れ歯、詰め物を追放しましょう!
口の中の病気を治し、病気を興さない医療を目指します。
二度とお口の中へ変なものを入れなくても済むように
予防に精進いたしましょう!安全な矯正、美容を目指しましょう!

211-0063
川崎市中原区小杉町1-527-4 メゾンゴールド1A

新丸子西口歯科
松下勲夫

TEL&FAX 044-744-1181

 「川崎市の入れ歯なら新丸子西口歯科医院へ
顎関節症は新丸子西口歯科医院へ
神奈川県入れ歯・義歯センター・川崎市中原区新丸子の歯科医院

******************************************