神奈川県川崎市の歯科、新丸子西口歯科です。
病気を起こさない矯正治療について
矯正治療は医療ではありません。しかし医源性の病気を起こしやすいので注意しなければなりません。
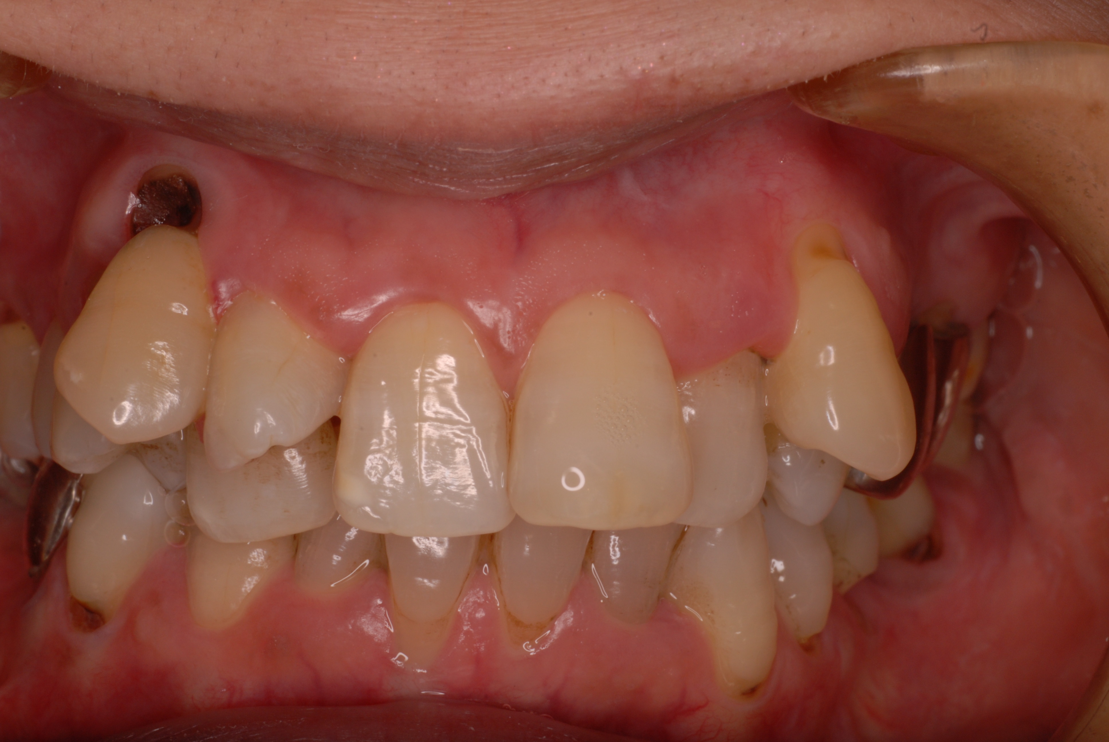
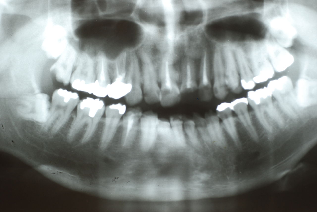
下の写真の方は虫歯と歯の間の歯周病が酷かったのです。
虫歯の治療も完全にできませんし、歯の位置が悪く又重なっている為に歯周病が治らずに説得に数カ月を有した後に矯正することになりました。
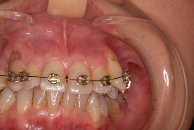
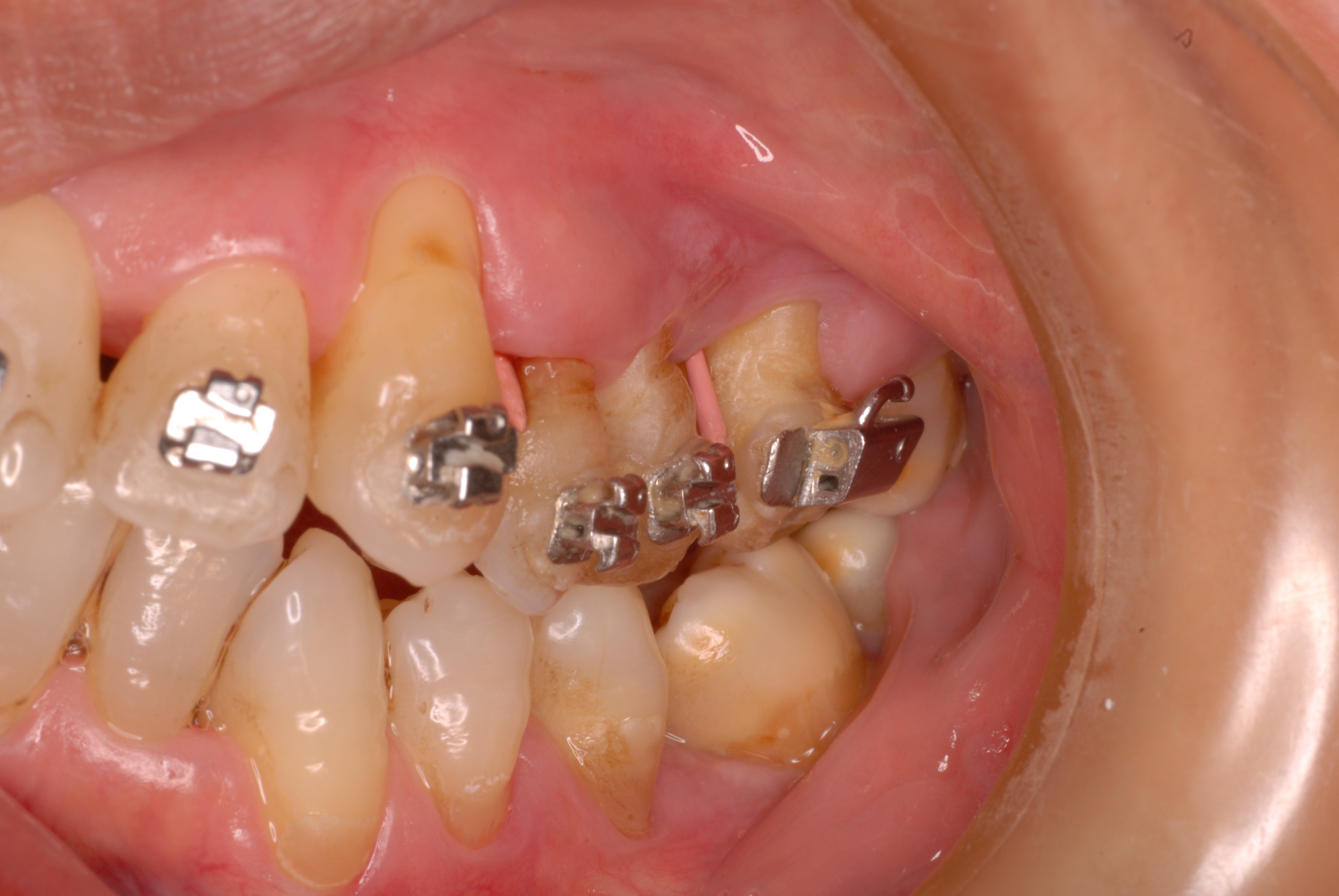
写真左の歯のうち過剰歯と糸きり歯の隣を抜きました。
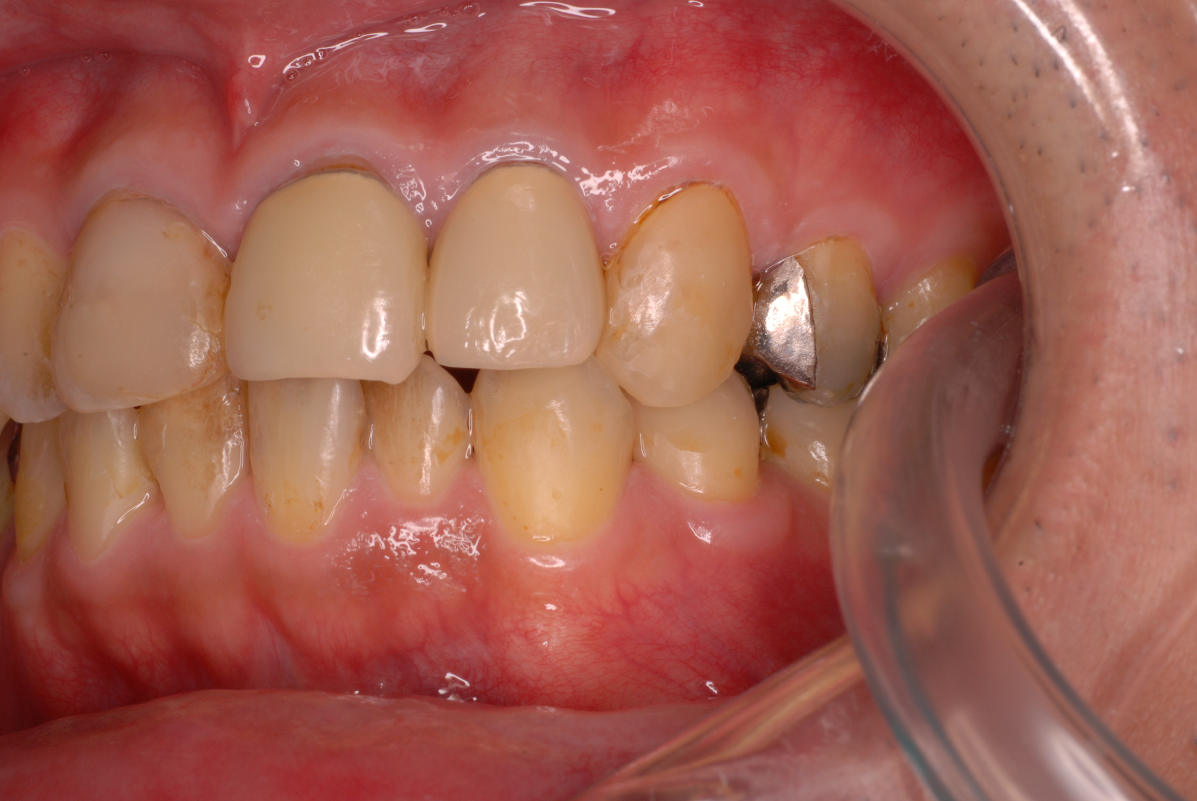
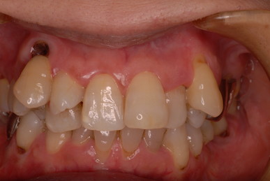
矯正治療一ヶ月後です。歯並びのガタガタはすぐよくなっています。
矯正は簡単なのですが、虫歯や歯周病にならないように、又かみ合わせや関節、筋肉に問題を起こさないように矯正するのは難しいのです。
・・・・・・・・・・・・・・・・・・・・・・・・・・・・・・・・・・・・・・・・・・・・・・・・・・・・・・・・・
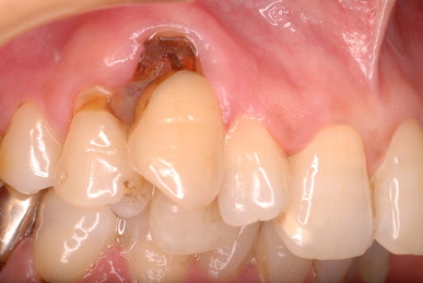
二ヶ月後ですが、歯周病が酷くなったので一時的に矯正治療を中止しました。歯周ポケットの深さを測っています。
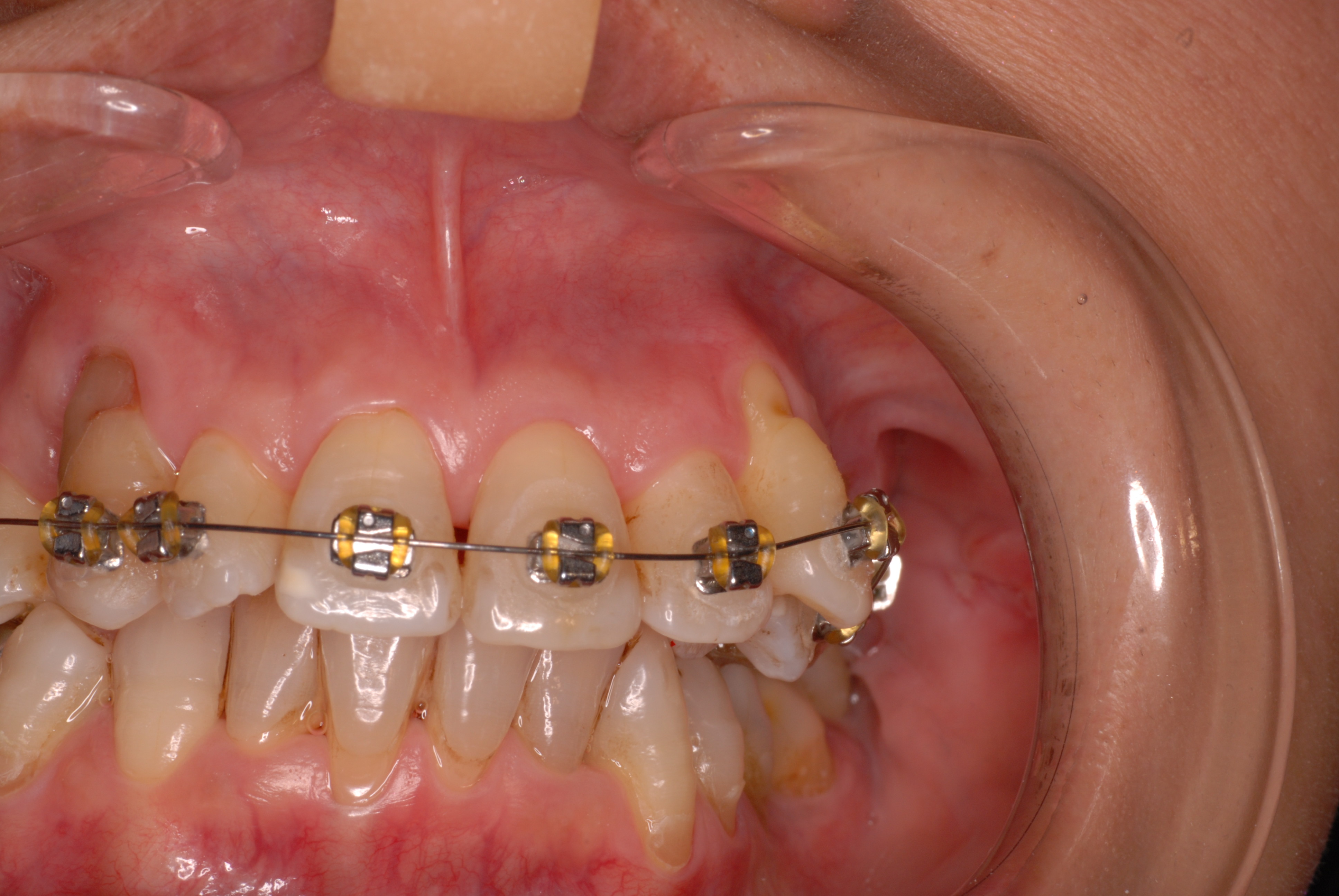
挿入したゴムのポイントです。
歯並びは綺麗になり掃除はしやすくなったはずですが、矯正治療中は
磨きにくいので歯周病や虫歯が酷くなりやすいのです。
矯正は簡単、重要な事は
1虫歯にならないこと。
2歯周病を起こさないこと。
3神経や血管がおかしくなり歯がしみたり痛くならないように。
4噛めなくなるのでかみ合わせを狂わせない様にすること。
5筋肉や関節に痛みが出ないようにすること。
6歯根が溶けやすいので動揺などがあれば注意して
歯根の吸収を少なくすること。
などでしょうか。
関連ブログ
矯正治療の患者で顎がおかしい人が来院しました。
http://1net-dental.livedoor.biz/preview/edit
矯正治療の問題点(歯根の吸収)
http://1net-dental.livedoor.biz/preview/edit
歯の矯正の問題点。
http://1net-dental.livedoor.biz/preview/edit
・・・・・・・・・・・・・・・・・・・・・・・・・・・・・・・・・・・・・・・・・・・・・・・・・・・・・・・
新丸子西口歯科はデンターネット
に参加してます。皆さんのおかげで、川崎中原区で27位になっています。ありがとうございます。
「新丸子西口歯科、良いね」と思って頂ける方はこちら
からデンターネットに行って「新丸子西口歯科」の「HP」というボタンをクリックして下さい。投稿も大募集中です!
株式会社QLife(キューライフ) に登録して商品をゲットし評価をお願いします。会員登録はここから
*******************************************
お口の中から差し歯、入れ歯、詰め物を追放しましょう!
口の中の病気を治し、病気を興さない医療を目指します。
二度とお口の中へ変なものを入れなくても済むように
予防に精進いたしましょう!安全な矯正、美容を目指しましょう!
211-0063
川崎市中原区小杉町1-527-4 メゾンゴールド1A
新丸子西口歯科
松下勲夫
TEL&FAX 044-744-1181
「川崎市の入れ歯なら新丸子西口歯科医院へ」
「顎関節症は新丸子西口歯科医院へ」
「神奈川県入れ歯・義歯センター・川崎市中原区新丸子の歯科医院
*******************************************
