川崎市 イサオ歯科クリニック 院長ブログ

川崎市中原区新丸子で開業している歯科医院の日常をお話しいたします。

2010年01月

一流の人を求めて


神奈川県川崎市の歯科、新丸子西口歯科です。

致知出版社の講演会

http://www.chichi.co.jp/seminar/1729.html

に間に合わず、懇親会のみ参加いたしました。

目当ての医師がいなくて淋しい限りでしたが、それなりに人生を積み重ねた方がたですから

お話ししても得る所があります。

寺山心一翁先生にお会いしました。
有限会社超越意識研究所
http://www.shin-terayama.jp/office/index.html

末期の癌から自力で回復された方です。現代医学に対して強烈なアンチテーゼを
出されていますけれど、穏やかでいつもにこにこしている好々爺とした仙人みたいな方です。

会っただけで癒されます。

いつも思うのですが、喜劇やお笑いなどをやる方がたのマルチな才能と豊富な知識に驚きます。

記憶の中で最初に驚いたのは、売れ始めたばかりの“タモリ”さんのお話しを雑誌で読んだ時の知識の豊富さと頭の良さでした。

そして今では、北野武(ビート武)映画監督などがやはり有名ですね。
同じように片岡鶴太郎さんもマルチな才能を発揮されています。

致知出版社から本をだされたそうです。

DSC00450






千日回峰行という山伏などの方がやられる空前絶後の修行をその山では歴史上2番目に成し遂げられたお坊さんです。(大阿闍梨とい言うそうです。)
塩沼亮潤(りょうじゅん)師と言われます。その手はとても柔らかいもので、このやさしい方が、約7年にも及ぶ過酷な荒行を
満行できたとは思えませんでした。

逆に言えばしなやかな方だから満行できたのかもしれません。歴史上殆どの方は、命を落とした荒行なのですからね。あやかる事しかできませんが、あやかることでもいいからその力を授かりたいと思いました。

DSC00449






感性哲学?なるものを唱え、人生などを変える為のセミナー?などを山で取り行っていらっしゃいます行徳哲夫先生です。

いつも、雪駄?に半纏みたいなものを羽おっていらっしゃいます。独特の雰囲気を持ったかたです。
「感奮語録」致知出版社…名著です。

DSC00453







・・・・・・・・・・・・・・・・・・・・・・・・・・・・・・・・・・・・・・・・・・・・・・・・・・・・・・・
新丸子西口歯科はデンターネット

 に参加してます。皆さんのおかげで、川崎中原区で29位になっています。ありがとうございます。

「新丸子西口歯科、良いね」と思って頂ける方はこちら

 

からデンターネットに行って「新丸子西口歯科」の「HP」というボタンをクリックして下さい。投稿も大募集中です!

株式会社QLife(キューライフ) に登録して商品をゲットし評価をお願いします。会員登録はここから



*******************************************

お口の中から差し歯、入れ歯、詰め物を追放しましょう!
口の中の病気を治し、病気を興さない医療を目指します。
二度とお口の中へ変なものを入れなくても済むように
予防に精進いたしましょう!安全な矯正、美容を目指しましょう!

211-0063
川崎市中原区小杉町1-527-4 メゾンゴールド1A

新丸子西口歯科
松下勲夫

TEL&FAX 044-744-1181

川崎市の入れ歯なら新丸子西口歯科医院へ
顎関節症は新丸子西口歯科医院へ
神奈川県入れ歯・義歯センター・川崎市中原区新丸子の歯科医院

******************************************

 

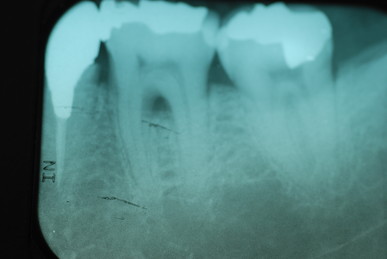
続・根管治療という歯の中の治療について

神奈川県川崎市の歯科、新丸子西口歯科です。

続・根管治療という歯の中の治療について
....................................................................................................................

以前来られて痛みがなくなると或いは費用?の話しになると来なくなり仮の歯が壊れると又来るという方がいました。

根管治療という歯の中の治療は、保険で完全にやろうとするとかなり赤字になる部門なんです。

だから被せ物とかで費用を請求しないと採算に合いません。だからか解りませんが、治療の失敗が多いのです。
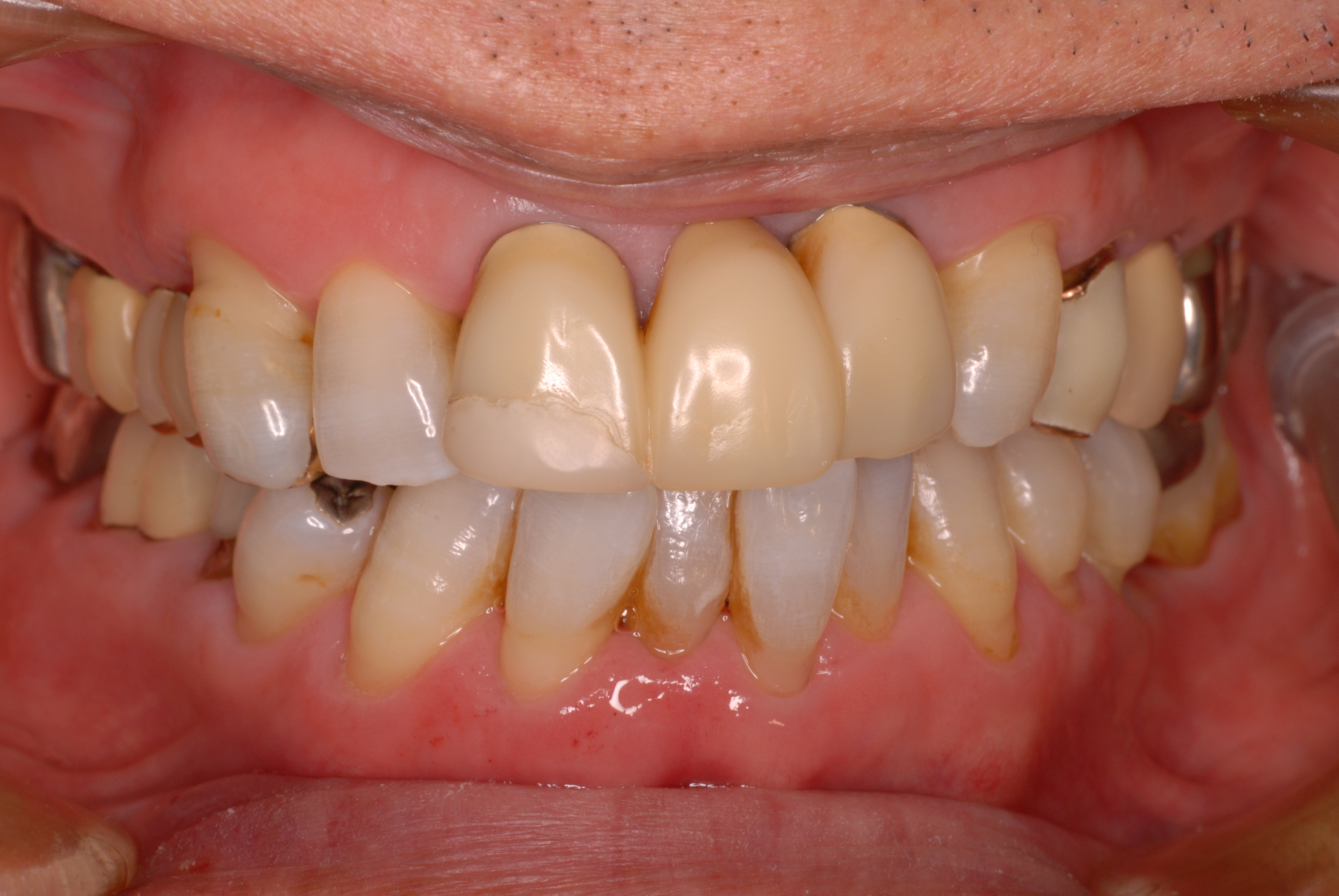
左下の一番奥の歯の治療がいい加減なようです。

そして歯周病を併発していて別の歯科医院で抜くしかないと言われて何とかならないかと当院に来られました。

前の歯科医院では抜歯した後インプラントを薦められたそうです。
確かに保険で治療して成功しても毎回数千円にも満たない治療費となり経営を考えると憂鬱の一言です。

だから一度インプラントを導入した歯科医院では、安い保険の治療を諦める傾向にあるのではないかと想像していました。

現実にそういう事を目にして安易に人工の金属歯根であるインプラントの導入は危険な感じがします。

左下の一番奥の歯の治療がいい加減なようです。しかし治療をしてみると滅菌しながら治療をすることの困難さを痛感しました。

保険では安すぎます。(ため息)
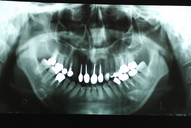
DSC_0008














DSC_0010














三本ある根管の内、難しい手前の根幹の治療が為されていません。顎の骨に黒い影ができています。
DSC_0011














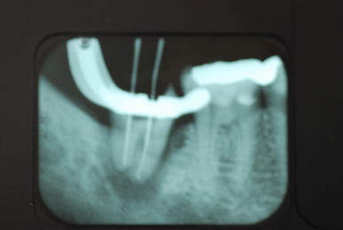
根管治療終了です。
DSC_0012














又来なくなりました。
そして一年後仮歯が取れてきました。こういう患者さんは疲れます。
仮歯というものは、必要ですが善意で安い値段でやっているのですね。
骨の部分は健康を回復しています。影がありません。治療が成功しています。

費用を安く済ませる為に仮歯だけで時間を取るという事は許されません。
これからは仮の歯でも2万円ぐらいいただかないといけないかと思う事もあります。それだけ時間と手間がかかるのです。
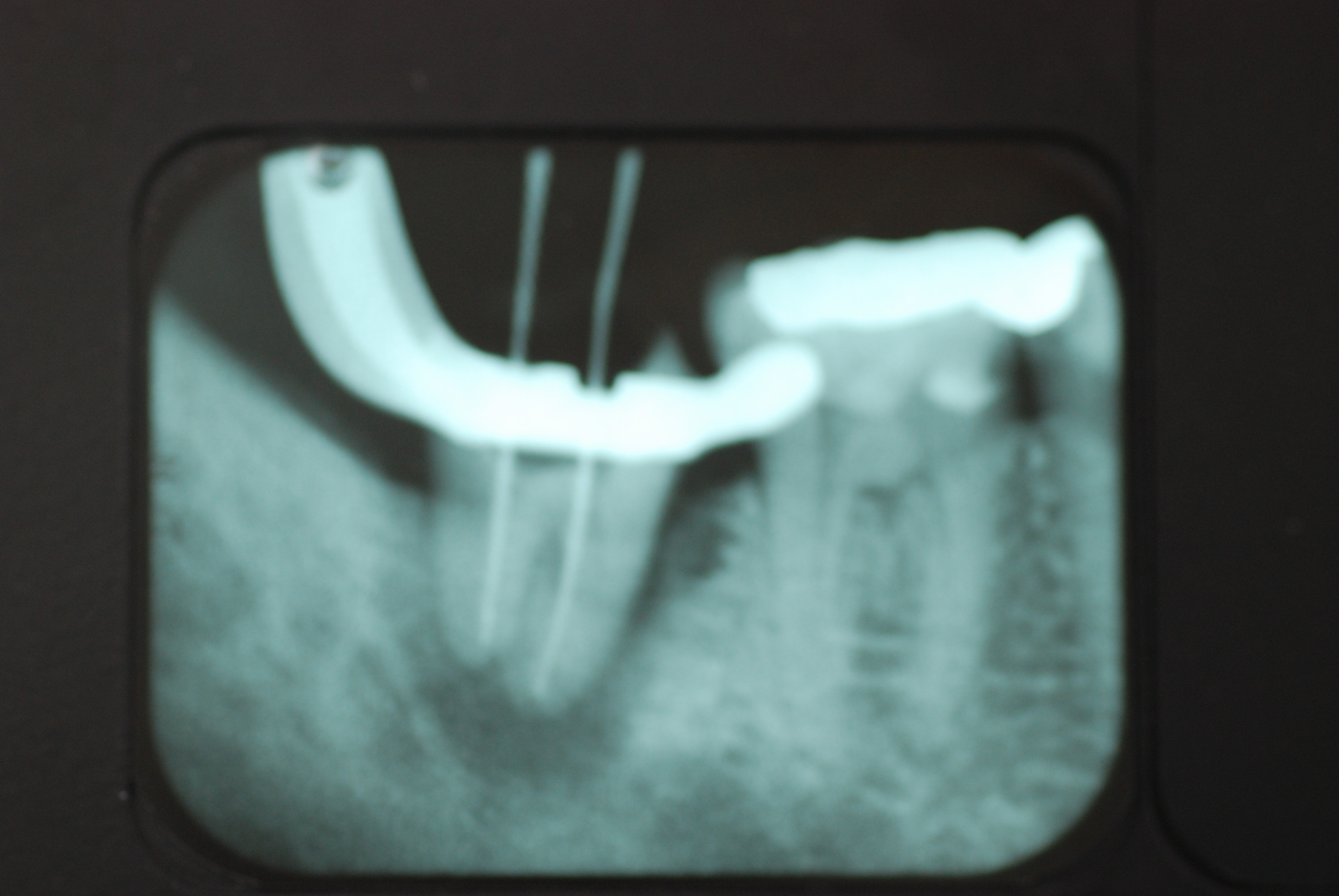
DSC_0014 - コピー














反対側の大臼歯には分岐部に深い虫歯と深い分岐部病変がありますが、虫歯の治療後は歯周病が酷いのに来られなくなりました。
上のレントゲンでも歯根の間に影があります。悪性の分岐部病変ですね。
DSC_0016














・・・・・・・・・・・・・・・・・・・・・・・・・・・・・・・・・・・・・・・・・・・・・・・・・・・・・・・
新丸子西口歯科はデンターネット

 に参加してます。皆さんのおかげで、川崎中原区で29位になっています。ありがとうございます。

「新丸子西口歯科、良いね」と思って頂ける方はこちら

 

からデンターネットに行って「新丸子西口歯科」の「HP」というボタンをクリックして下さい。投稿も大募集中です!

株式会社QLife(キューライフ) に登録して商品をゲットし評価をお願いします。会員登録はここから



*******************************************

お口の中から差し歯、入れ歯、詰め物を追放しましょう!
口の中の病気を治し、病気を興さない医療を目指します。
二度とお口の中へ変なものを入れなくても済むように
予防に精進いたしましょう!安全な矯正、美容を目指しましょう!

211-0063
川崎市中原区小杉町1-527-4 メゾンゴールド1A

新丸子西口歯科
松下勲夫

TEL&FAX 044-744-1181

川崎市の入れ歯なら新丸子西口歯科医院へ
顎関節症は新丸子西口歯科医院へ
神奈川県入れ歯・義歯センター・川崎市中原区新丸子の歯科医院

*****************************************

 

根管治療という歯の中の治療について


神奈川県川崎市の歯科、新丸子西口歯科です。

今日も歯の中の治療後、痛くて眠れなくなり“まともな歯医者”を探して遠方より患者さんが来られました。

どんな場合でも痛みがすぐに取れるかというと一概には言えませんが、
それなりに判断能力が優れていれば、痛みなどはすぐに取れます。

今日来た方もお話しから刺し歯が取れた後最初に受診した歯科医院で、神経があった所にばい菌があるので綺麗にした後被せ治しましょうという説明を受け、ばい菌が残っている“根幹”という神経がもと存在した穴を探し掃除をしていたようですが、まだ歯の中には虫歯というばい菌の塊が残っていました。

そして相当歯と歯の間の歯の部分の崩壊が激しくこの部分を何かで封鎖して根幹治療をしないと、ばい菌がどんどん入る状態でほじくっても意味がないし、ばい菌が存在しやすい状態では何をやっても意味がないような気がします。

下のレントゲンの真ん中の欠けた歯が痛くて来られました。
DSC_0010














虫歯というばい菌を除去して壁を作り歯のような形にしてから根幹治療をしないと痛くなりやすいのです。

まあ、これだけでなくて治療の技術的なうまさも必要ですが、“基本”が大事なのです。そしてゴムで隔離して(ラバーダム防湿)“唾”の中のばい菌が侵入しないようにして治療をしなければなりません。歯科医院がやらない理由は保険でやると無料でやらなければならないからとか時間がないからなのです。


予約制にして時間を確保するのはそういう心配をなくす為です。患者が多いとできません。予約性の意味をご理解いただくとありがたいですね。

DSC_0001















今回は時間がないので歯の治療は殆どせず、歯の中の洗浄を行い硬いセメントで封鎖しました。

そして自律神経免疫療法やハリ治療で痛みを軽くいたしました。
(すぐ痛みは取れたようです。)

後は、ホメオパシーの“薬”や抗生物質を投与して痛みが取れてからでないと本当の歯の治療は不可能なのです。

まあ痛みが取れてひとまず安心いたしました。

歯の治療は一回につき一時間を目安とするぐらいでないと難しいですね!

沢山の患者を治療すれば手抜きのオンパレードになります。皆さん真面目な歯医者さんの声を理解してくださいね。

保険だけでは良い治療は難しいのです。

ですから予防をお勧めしているのです。

一番奥の銀歯の裏側(舌側)にものすごい虫歯ができていて
穴があいて心配になり受診されました。

セトモノや銀歯を被せたと言っても治った訳ではないのです。
銀歯を外すと歯茎との境目が虫歯という“ばい菌”の塊でボロボロ
でした。
DSC_0005














ばい菌を除去した後の歯です。神経を取り削り被せた歯というのはセトモノであろうと銀歯であろうとこのように殆ど健康な部分はないのです。

磨かなければ、磨けなければ“助からないのです。”

DSC_0008














 日本ホメオパシー医学会
 http://www.jps-homeopathy.com/

 自律神経免疫療法

http://www.immunity.jp/


・・・・・・・・・・・・・・・・・・・・・・・・・・・・・・・・・・・・・・・・・・・・・・・・・・・・・・・
新丸子西口歯科はデンターネット

 に参加してます。皆さんのおかげで、川崎中原区で29位になっています。ありがとうございます。

「新丸子西口歯科、良いね」と思って頂ける方はこちら

 

からデンターネットに行って「新丸子西口歯科」の「HP」というボタンをクリックして下さい。投稿も大募集中です!

株式会社QLife(キューライフ) に登録して商品をゲットし評価をお願いします。会員登録はここから



*******************************************

お口の中から差し歯、入れ歯、詰め物を追放しましょう!
口の中の病気を治し、病気を興さない医療を目指します。
二度とお口の中へ変なものを入れなくても済むように
予防に精進いたしましょう!安全な矯正、美容を目指しましょう!

211-0063
川崎市中原区小杉町1-527-4 メゾンゴールド1A

新丸子西口歯科
松下勲夫

TEL&FAX 044-744-1181

川崎市の入れ歯なら新丸子西口歯科医院へ
顎関節症は新丸子西口歯科医院へ
神奈川県入れ歯・義歯センター・川崎市中原区新丸子の歯科医院

*******************************************

 

重症の歯周病について、分岐部病変について

神奈川県川崎市の歯科、新丸子西口歯科です。

重症の歯周病について、分岐部病変について

上も下も大きな歯(大臼歯と言います。)は歯根が2つ以上存在しますから、その間が歯周病になりますととても厄介なのです。

適合の悪い金属やセトモノが入っていると悪くなりやすいのです。
ですから歯茎の歯周病検査を“正確”にやることが重要です。
sisyuubyou







大臼歯の分岐部病変とは
下の左側の大きな歯の間の病気を言います。
sisyuubyou hone20001







下記は上の歯が一本、そして
下の左側の奥歯分岐部に歯周病があります。
かなり重症ですね。


DSC_0011DSC_0012







歯の奥の方(遠心と言いますが)の分岐部および
根っこを除去して悪い肉を完全に取りました。
DSC_0013DSC_0004







・・・・・・・・・・・・・・・・・・・・・・・・・・・・・・・・・・・・・・・・・・・・・・・・・・・・・・
お口の中には高価なセトモノや金歯が多いのですが、
残念ながら健康になったわけではないのです。

分岐部の歯周病を見逃した為に頬が腫れあがり診察の結果、
歯の歯折か重症の分岐部の歯周病と判断した患者さんです。

検査の為に歯茎を開き少し悪いところを取って様子を見ていたのですが、又激痛が走りその為応急処置として東洋医学で対処しました。

ですが、根本的に悪いところを取らなくては再発するだけでなく歯そのものが駄目になる事をお話しして納得してもらい、セラミックを外しその後重症の分岐部の歯周病と判断して歯の一部分と悪い病気の歯肉をえぐりとったその後1週間後の写真です。
DSC_0012右上の奥から2番目の歯が問題の歯です。






DSC_0014







セトモノが入っていますが、だからと言って健康になったわけではないのです。切り取った歯の残りと切り取り後が痛々しいですね。

DSC_0006














DSC_0008















DSC_0009















・・・・・・・・・・・・・・・・・・・・・・・・・・・・・・・・・・・・・・・・・・・・・・・・・・・・・・・
新丸子西口歯科はデンターネット

 に参加してます。皆さんのおかげで、川崎中原区で29位になっています。ありがとうございます。

「新丸子西口歯科、良いね」と思って頂ける方はこちら

 

からデンターネットに行って「新丸子西口歯科」の「HP」というボタンをクリックして下さい。投稿も大募集中です!

株式会社QLife(キューライフ) に登録して商品をゲットし評価をお願いします。会員登録はここから



*******************************************

お口の中から差し歯、入れ歯、詰め物を追放しましょう!
口の中の病気を治し、病気を興さない医療を目指します。
二度とお口の中へ変なものを入れなくても済むように
予防に精進いたしましょう!安全な矯正、美容を目指しましょう!

211-0063
川崎市中原区小杉町1-527-4 メゾンゴールド1A

新丸子西口歯科
松下勲夫

TEL&FAX 044-744-1181

川崎市の入れ歯なら新丸子西口歯科医院へ
顎関節症は新丸子西口歯科医院へ
神奈川県入れ歯・義歯センター・川崎市中原区新丸子の歯科医院

*******************************************

 



重症の歯周病について,その後

神奈川県川崎市の歯科、新丸子西口歯科です。

重症の歯周病について、その後

すごい出っ歯になっています。でも噛めています。
とても難しいものでしたが。

DSC_0022DSC_0014








DSC_0394







・・・・・・・・・・・・・・・・・・・・・・・・・・・・・・・・・・・・・・・・・・・・・・・・・・・・・・・
新丸子西口歯科はデンターネット

 に参加してます。皆さんのおかげで、川崎中原区で29位になっています。ありがとうございます。

「新丸子西口歯科、良いね」と思って頂ける方はこちら

 

からデンターネットに行って「新丸子西口歯科」の「HP」というボタンをクリックして下さい。投稿も大募集中です!

株式会社QLife(キューライフ) に登録して商品をゲットし評価をお願いします。会員登録はここから



*******************************************

お口の中から差し歯、入れ歯、詰め物を追放しましょう!
口の中の病気を治し、病気を興さない医療を目指します。
二度とお口の中へ変なものを入れなくても済むように
予防に精進いたしましょう!安全な矯正、美容を目指しましょう!

211-0063
川崎市中原区小杉町1-527-4 メゾンゴールド1A

新丸子西口歯科
松下勲夫

TEL&FAX 044-744-1181

川崎市の入れ歯なら新丸子西口歯科医院へ
顎関節症は新丸子西口歯科医院へ
神奈川県入れ歯・義歯センター・川崎市中原区新丸子の歯科医院

*******************************************

 



重症の歯周病について

神奈川県川崎市の歯科、新丸子西口歯科です。

重症の歯周病について

以前来られた方です。ずっと歯科医院に通いながら治療といっても殆ど
抜歯と下手な入れ歯を入れただけでした。(入れ歯はとても難しいのです。下手なものを入れると噛めないだけでなく残りの歯がすぐ歯周病で
抜け落ちるのです。)

痛くて噛めないだけではなく残りの歯もブラブラでした。
歯科医というのはお口の中に何かを入れる存在であることから、

病気を治す存在にならなければ社会的評価などもらえないと思うのですが・・・・・・・

殆ど抜け落ちる寸前でした。取れた歯は顎に埋まっている部分にも
ばい菌がべっとりついています。注射もせず表面麻酔だけで

ポロリと取れました。

残念です。何とか抜ける前に処置できなかったのでしょうか?

又下顎は一本の歯もなくそしてあちこちに傷ができて良く噛めないのです。
入れ歯安定剤をつけていらっしゃいましたが、健康な硬い歯茎はもうなくて触っただけでも痛い状態でした。入れ歯を入れるような状態ではないのです。指で触っても痛いのですから。

それは硬い歯茎が消失してぶよぶよの歯茎になってしまったからです。

インプラントとかそういう話しさえもできない状態です。健康な歯茎がないと入れ歯もインプラントも入れられないのですよ!

残念です。(涙)
DSC_0365DSC_0368








DSC_0380DSC_0382








DSC_0366










・・・・・・・・・・・・・・・・・・・・・・・・・・・・・・・・・・・・・・・・・・・・・・・・・・・・・・・
新丸子西口歯科はデンターネット

 に参加してます。皆さんのおかげで、川崎中原区で29位になっています。ありがとうございます。

「新丸子西口歯科、良いね」と思って頂ける方はこちら

 

からデンターネットに行って「新丸子西口歯科」の「HP」というボタンをクリックして下さい。投稿も大募集中です!

株式会社QLife(キューライフ) に登録して商品をゲットし評価をお願いします。会員登録はここから



*******************************************

お口の中から差し歯、入れ歯、詰め物を追放しましょう!
口の中の病気を治し、病気を興さない医療を目指します。
二度とお口の中へ変なものを入れなくても済むように
予防に精進いたしましょう!安全な矯正、美容を目指しましょう!

211-0063
川崎市中原区小杉町1-527-4 メゾンゴールド1A

新丸子西口歯科
松下勲夫

TEL&FAX 044-744-1181

川崎市の入れ歯なら新丸子西口歯科医院へ
顎関節症は新丸子西口歯科医院へ
神奈川県入れ歯・義歯センター・川崎市中原区新丸子の歯科医院

*******************************************

 



平成3年に治療した患者さんが定期健診にいらっしゃいました。

神奈川県川崎市の歯科、新丸子西口歯科です。

2010.1.19.

平成3年に治療した患者さんが定期健診にいらっしゃいました。
今のところ一本も悪くなった所はありません。

上顎には本人から見て左に一本、右に二本の歯の喪失があり取り外し式の入れ歯を入れていらっしゃいました。

どうにも発音が悪いという事とレントゲンでは右上の歯が捻転(ねじれている)していて形が悪いという事で来院されました。

当時の写真がないのでX線写真と模型を示します。
DSC_0016DSC_0017







写真右上の歯が曲がっています。 下の写真の上の歯がありません。
平成3年8月5日の日付けが見えます。
DSC_0019DSC_0020







本人では上の左の歯の曲がりを直し、右側は裏側のみ金属にしています。
写真左上の糸切り歯は裏側のみ削っていますから金属ま見えませんね。
DSC_0002DSC_0003







平成20年のレントゲン写真です。写真の左上と前の方がつながれています。ゴールドクラウンとプラスチックで見える所はカバーしています。
一部前歯がぶつかって欠けたので2年程前に既成品でカバーしました。それで少し先端が変色しているように見えます。
DSC_0023







20年以上たってもびくともしないものなのですね。ブラッシングの重要性を強く感じます。当時はお金がないということで超破格のダンピングで
作製しました。(あ〜安くし過ぎたな〜、笑い)


・・・・・・・・・・・・・・・・・・・・・・・・・・・・・・・・・・・・・・・・・・・・・・・・・・・・・・・
新丸子西口歯科はデンターネット

 に参加してます。皆さんのおかげで、川崎中原区で29位になっています。ありがとうございます。

「新丸子西口歯科、良いね」と思って頂ける方はこちら

 

からデンターネットに行って「新丸子西口歯科」の「HP」というボタンをクリックして下さい。投稿も大募集中です!

株式会社QLife(キューライフ) に登録して商品をゲットし評価をお願いします。会員登録はここから



*******************************************

お口の中から差し歯、入れ歯、詰め物を追放しましょう!
口の中の病気を治し、病気を興さない医療を目指します。
二度とお口の中へ変なものを入れなくても済むように
予防に精進いたしましょう!安全な矯正、美容を目指しましょう!

211-0063
川崎市中原区小杉町1-527-4 メゾンゴールド1A

新丸子西口歯科
松下勲夫

TEL&FAX 044-744-1181

川崎市の入れ歯なら新丸子西口歯科医院へ
顎関節症は新丸子西口歯科医院へ
神奈川県入れ歯・義歯センター・川崎市中原区新丸子の歯科医院

******************************************

 



歯科の矯正と顎関節症の関係について

神奈川県川崎市の歯科、新丸子西口歯科です。

歯科の矯正治療をやると、顎の関節がおかしくなりお口が開かなくなるとか痛みが関節の周りにあるとか訴える患者さんが当方に問い合わせをすることがあります。

この場合治療を遠慮しています。何故ならば当方の矯正治療ではなく
別の先生による矯正治療に伴う問題は当事者がまずやるべきものであり、責任の所在がややこしくなるからです。

そして矯正治療の中止を含めた事をやらない限り難しいことが多いのです。


矯正治療を継続しながら顎関節症を何とかしようという患者さんが多くて困ります。
それは、本来問題を起こした先生が治療をやるのが筋ですし、矯正治療は50万円以上、一般的には100万円ぐらいすることも多いのです。

それにも拘わらず当方はボランテイアでやることがおおいですから数千円という値段が多いのです。

やはりおかしいと思いませんか?


治療をやりたくないわけではありませんが、矯正治療などは難しくないと思っている私のような人間にとりましてかなりの高額の治療にも拘わらずその尻拭いの為に異常に安い値段で難しい治療をやらされる事は心外なのです。

患者さんはかわいそうですからなんとかしてあげたいのですけれど、担当矯正医は多額の費用を請求しているわけですからまず自分で何とかしなさいと言いたい訳です。

そして患者さんにもお話ししたいのですが、矯正というのは体と心にかなり無理な事をやるものですから、問題を必ず起こします。その事を理解して矯正をやって欲しいということです。

そして問題を起こした時はまず、担当矯正医にまず治療をお願いするのが筋なのです。

そこでの解決が難しく困難な場合、紹介状を書いてもらい初期の歯並びの状態からすべての情報をもらわない限り治療は難しいし、矯正治療の方法を変更しなければ解決できないことも多いのです。

矯正医に相談もせず、顎関節症だけを当方で治そうとしても矯正治療のやり方まで含めて理解しないとできません。

そしてそれは矯正医のやり方に対する治療方法の問題にまで発展することが多いのです。

簡単に引き受けられない事情がここに存在します。

顎関節に問題を起こした場合、矯正治療まで含めて当方が面倒を見ない限り治療をできないことが多いのです。

二重の矯正治療料金が発生することも考えてもらわないといけない場合があるのですね。

それは矯正治療のやり方そのものが顎関節症を起こしていることが多いからです。

病気を起こさない矯正治療というのは難しいのです。

矯正は医療行為ではありません。やれば必ず何らかの問題を起こします。

十分リスクを納得してからやらないといけないのです。

当方では、歯、歯肉、神経、筋肉、顎の関節に問題を起こさないように、そして沢山の歯をあまり動かさず前歯だけを動かすようにして問題が起こらない矯正をやっています。


・・・・・・・・・・・・・・・・・・・・・・・・・・・・・・・・・・・・・・・・・・・・・・・・・・・・・・・
新丸子西口歯科はデンターネット

 に参加してます。皆さんのおかげで、川崎中原区で29位になっています。ありがとうございます。

「新丸子西口歯科、良いね」と思って頂ける方はこちら

 

からデンターネットに行って「新丸子西口歯科」の「HP」というボタンをクリックして下さい。投稿も大募集中です!

株式会社QLife(キューライフ) に登録して商品をゲットし評価をお願いします。会員登録はここから



*******************************************

お口の中から差し歯、入れ歯、詰め物を追放しましょう!
口の中の病気を治し、病気を興さない医療を目指します。
二度とお口の中へ変なものを入れなくても済むように
予防に精進いたしましょう!安全な矯正、美容を目指しましょう!

211-0063
川崎市中原区小杉町1-527-4 メゾンゴールド1A

新丸子西口歯科
松下勲夫

TEL&FAX 044-744-1181

川崎市の入れ歯なら新丸子西口歯科医院へ
顎関節症は新丸子西口歯科医院へ
神奈川県入れ歯・義歯センター・川崎市中原区新丸子の歯科医院

*******************************************

 



よくわからない病気について

神奈川県川崎市の歯科、新丸子西口歯科です。

顎関節症を治療していると歯科医師が対処してよいのか
分からないような方も治療にいらっしゃいます。

ですが、これは治療範囲外でお断りせざるをえません。
ただ、慢性疾患に対するアドバイスは致します。

下記はその回答です。診療するわけではないのでこのような
質問に回答する時間も本当は、ご遠慮いただきたいものなんですが
・・・・・・・・

。。。。。。。。。。。。。。。。。。。。。。。。。。。。。。。。。。。。。。。。。


新丸子西口歯科
松下先生

お世話になります。
●●(●●歳)と申します。

私は、3年前先生に顎関節症を治療して
いただいた者です。

その節は大変お世話になりました。
今現在、顎の状態は良好で快適に生活させていただいております。
先生の治療法で完治に至り、日々感謝の念に絶えません。
本当にありがとうございました。

さて、顎の状態はよろしいのですが、本メールでご相談させて
いただきたいことは、私は長年の持病に関してなのです。

私は、現在
?IgA糸球体慢性腎炎(病歴約30年)
?自律神経失調症(病歴約15年)
であります。

特に?はご存知のように不治の病と言われており、
現在は、降圧剤の服用と2〜3ヵ月ごとの定期検査(血液、
尿、血圧)で病状の経過を観察していただいております。
また、塩分を控える等で普通の生活はできておりますが、
腎機能は通常の約60%程度だと思います。

また、?に関しましては、時々症状が出たとき(ふらつく、不安になる、
ボーとする等)のみ、「セルシン2mg」を服用しております。
今のところ、一応服用すれば症状は緩和され、おさまりますが、
若干常時継続しているようにも思われ、いまいち首から上が
シャキッとしておりません。

この2つの持病につき、先生のお力でなんとか改善(または
現状維持)できるような方法などお心あたりがありますでしょうか?
もしご存知のような事柄があればぜひ一度受診させて
いただければ大変幸甚と存じます。

全く方向の違うご相談かもしれませんが、
もしそうであれば、平にご容赦のほどお願い申し上げます。

突然の勝手なメールで大変恐縮しておりますが、
何卒よろしくお願い申し上げます。

●●
住所:●●
TEL:●○●○
以上


これらに対する私の回答です。
。。。。。。。。。。。。。。。。。。。。。。。。。。。。。。。。。。。。

おひさしぶりですが、
顎関節症,或いは良く分からない病気の方はおそらく

2000名以上来院しているのではと思います。
ですからいつもいらして歯科治療をやられているかたと

違い思い出せません。

そして医師のやる事に対して何かの方法を教えたりやったりすることは、
法律違反に抵触する恐れがあります。

ご理解下さい。

川と同じように流れが滞ると細胞レベルで
老廃物が溜まります。溜まれば細胞レベル
で遺伝子や細胞の壊死が起こります。

細かな分析より自然の環境から学ばれては
いかがでしょうか?

西洋医学は抑える薬が多いのです。
生体は本に戻ろうとして色々な症状を呈します。
その時点でデータとか色々な数字を分析します。

ですが、本来船みたいなもので必ず元に戻ります。
戻ろうとする時に多少揺れ戻しもありましょうが、

それが症状です。もとに戻ろうとしているだけなのです。
ですから原因を考えてそれを改善されてはどうでしょうか。

生活の改善です。
慢性疾患はこれしかないと思います。

又心の問題は心を落ち着かせることです。
全てこれで解決できるのではと思います。

昔、心も体も疲労困憊になった時病院などに行きましたが
分析ばかりで何故という事を尋ねない医師が多いのに
驚きました。

そしてやがて瞑想治療のところに行きますと瞑想を通じて
ありとあらゆる病気が良くなるのをこの目でみましたし、

小生も劇的に改善しました。

自分で末期癌を治した方です。
http://www.shin-terayama.jp/




私が以前書いた文章です。
参考にしてください。
・・・・・・・・・・・・・・・・・・・・・・・・・・・・・・・・・

神奈川県川崎市の歯科、新丸子西口歯科です。

ずっと体の痛みや不調を抱えた方が来院されました。
所謂(いわゆる)不定愁訴というやつです。

心と体を分離する西洋医学的考察では、生命体の
不調はなかなか解決できません。

色々な病院や治療院を転々として治らない為に
歯やかみ合わせが原因ではないかと来院されたのです。

本当に藁をもすがる思いなのでしょうか。

かような方には、まず健康な方の真似をしてはいかがでしょうか?
とお話しします。

まず、体の健康を保っている人のやり方をまねて健康を
考える。

心の健康を保っている方のやり方をまねて心の健康を
考える。

体・・・・有酸素運動をしないと健康は保てません!
  ・・体が硬いと疲労物質が溜まります。柔らかく!
  ・・・食べ物はなるべく野菜中心、午前中は果物とか
    生野菜中心、夜8時以降はあまり食べない事、
    水分補給をまめに(一日2リットル以上)
    コーヒーやカフェイン入り食べ物を避ける。
    酒やたばこを止める。

心・・・・溜まった記憶やストレスを吐き出す為に瞑想のような
    吐き出す行為を行う事。
   ・・・・感情のコントロール(NLP)プラスの言葉
     ・・・・体の姿勢、いつも明るい顔をする。
  ・・・・新聞やテレビなどの悪いニュースから
     自分を遠ざける。楽しい、感動する話しの
     だけを聞くようにする。

・・・・・・・・・・・・・・・・・・・・・・・・・・・・・・・・・・・・・・・・・・・・・・

マハリシのT.M.瞑想(アメリカ西岸ではインド系
            の内分泌医師ディーパップ・チョプラが有名・ハリウッド
            スターが患者です。)

            http://www.maharishi.co.jp/tm/

ストレスやマイナスな記憶が多くなると自律神経の機能が不調になります。
例えば交感神経が緊張すると血液がうっ血し乳酸がたまり痛みの原因になります。

一時的には、交感神経の緊張を取ること、筋肉をストレッチして血流を良くし、
乳酸を絞り出す事で良くなります。

長期的には、肉体の状態管理や瞑想などにより毎日心の疲れをとりませんと何回も再発します。

症状は、体より精神の不調のサインなのです。
薬も治療も本来必要ないのです。現代医学はおかしいです。慢性の病気が薬で手術で治るとは
とても思えないのです。

病気の原因は遺伝、環境(エアコンなどの室内環境、ホルモン、ストレス、ストレッチ不足、運動不足)、食べ物
など以外考えられません。そこに焦点をあてるとほとんど解決できないことはないと思います。

ただ遺伝はわかりませんが、だからホメオパシーの治療が必要になるのではと思っています。

       未病.コム
            http://mibyo.jp/

            日本ホリスティック医学協会
            http://www.holistic-medicine.or.jp/

            日本ホメオパシー医学会
             http://www.jps-homeopathy.com/

            自律神経免疫療法
             http://www.d9.dion.ne.jp/~shohei-c/shiraku1.html 

            マハリシのT.M.瞑想(アメリカ西岸ではインド系
            の内分泌医師ディーパップ・チョプラが有名・ハリウッド
            スターが患者です。)

            http://www.maharishi.co.jp/tm/

中村天風さんを知っていますか?不治の病をヨガと瞑想で治し
その哲学が残っていて実際の養生法を勉強する会もあります。
http://www.tempukai.or.jp/web/top.html

痛みに関しては、現在科学的に咬合は関係ないというのが定説です。断言はできませんが。
私は20年以上前から歯を触ることはありません。慢性の痛みなどは現在の普通の治療しても
治癒には殆ど効果がないと言われています。もし効果があるとすれば、人の手を介すからとか

暗示とか安心するからとか、そういうふうに自分で治ることによる効果だといわれています。
http://www.tms-japan.org/ 腰痛に関してのサイトですが、すべての慢性的な痛みについて
の答えがあります。これ程科学的に調べてお話ししているものはないようです




痛みについての一番科学的な評価をしている
サイトです。

「腰痛は怒りである」長谷川淳史 ・・春秋社
TMSジャパン
〒070-0864  北海道旭川市住吉4-1-5-23
TEL:0166-52-7797
http://www.tms-japan.org/

彼が書いている以上に整体や歯科、或いは口腔外科にかかってひどくなった方を
私は沢山みてきました。大学や権威に弱い習性なんでしょうね。

科学的に言いましても薬や何かで治ることはないのです。科学的に考えれば考える
程精神的なものを何とかしないと治癒は難しい事がよく分かります。

・・・・・・・・・・・・・・・・・・・・・・・・・・・・・・・・・・・・・・・・・・・・・・・・・・・・・・・・・・・
患者さんからのお返事です。
・・・・・・・・・・・・・・・・・・・・・・・・・・・・・・・・・・

新丸子西口歯科
松下先生

こんばんは。
お忙しいところ、さっそくメールをいただき大変恐縮しております。

何分にも顎関節症の治療に際して、一度だけお伺いしただけで
完治したため、その後、ご報告も差し上げておらず、
ご記憶にないのは当然です。

それに最近引越しをしましたし、メールアドレスも
当時使用していたものと違っております。
改めまして今までのご無礼につき、深くお詫び申し上げます。
誠に申し訳ございませんでした。

私事、
たまたま治療法が見えない?困難な病気にかかってしまい、
ここ30年治療を受けていながら、西洋医学的には具体的な
原因治療に特別の手立てもなく?、ただ検査と経過観察と対症療法的
な処置に対して物足りなさを感じている次第です。

腎炎に関しましては罹病当時、自然治癒力の増強を目的とした漢方薬も
1年ほど試してみたものの、生薬の効果もよく分からず中断してしまった、
ということもありました。

昨年、家内もいわゆる更年期障害という症状で、あちらこちらの
先生に診ていただき、結局、瀉血と漢方薬で何とか回復しつつ
ある状態です。

そんな様子を見ながら、顎関節症という難病?を一発(失礼)で
直してくれた先生を思い出し、ご連絡をさせていただいた次第です。

当時から相当年数が経過し、突然のメールなどでのご連絡、
さらには医学会の常識も存じ上げず、勝手なご相談を申し
上げましたこと、心よりお詫び申し上げます。

このたびご教示いただきましたこと、及ばずながら少しでも理解
できたらと勉強させていただこうと思っております。
誠にありがとうございました。

まずは、お詫びとメール受領の御礼までにて
失礼申し上げます。
ありがとうございました。

○○○●




・・・・・・・・・・・・・・・・・・・・・・・・・・・・・・・・・・・・・・・・・・・・・・・・・・・・・・・
新丸子西口歯科はデンターネット

 に参加してます。皆さんのおかげで、川崎中原区で29位になっています。ありがとうございます。

「新丸子西口歯科、良いね」と思って頂ける方はこちら

 

からデンターネットに行って「新丸子西口歯科」の「HP」というボタンをクリックして下さい。投稿も大募集中です!

株式会社QLife(キューライフ) に登録して商品をゲットし評価をお願いします。会員登録はここから



*******************************************

お口の中から差し歯、入れ歯、詰め物を追放しましょう!
口の中の病気を治し、病気を興さない医療を目指します。
二度とお口の中へ変なものを入れなくても済むように
予防に精進いたしましょう!安全な矯正、美容を目指しましょう!

211-0063
川崎市中原区小杉町1-527-4 メゾンゴールド1A

新丸子西口歯科
松下勲夫

TEL&FAX 044-744-1181

川崎市の入れ歯なら新丸子西口歯科医院へ
顎関節症は新丸子西口歯科医院へ
神奈川県入れ歯・義歯センター・川崎市中原区新丸子の歯科医院

*******************************************

 



ハイチ大地震

神奈川県川崎市の歯科、新丸子西口歯科です。

ハイチ大地震
日本は一刻も早く救助隊を出し、貢献すべきです。中国が何よりも日本を意識して動いています。負けないようにしなければ。



・・・・・・・・・・・・・・・・・・・・・・・・・・・・・・・・・・・・・・・・・・・・・・・・・・・・・・・
新丸子西口歯科はデンターネット

 に参加してます。皆さんのおかげで、川崎中原区で29位になっています。ありがとうございます。

「新丸子西口歯科、良いね」と思って頂ける方はこちら

 

からデンターネットに行って「新丸子西口歯科」の「HP」というボタンをクリックして下さい。投稿も大募集中です!

株式会社QLife(キューライフ) に登録して商品をゲットし評価をお願いします。会員登録はここから



*******************************************

お口の中から差し歯、入れ歯、詰め物を追放しましょう!
口の中の病気を治し、病気を興さない医療を目指します。
二度とお口の中へ変なものを入れなくても済むように
予防に精進いたしましょう!安全な矯正、美容を目指しましょう!

211-0063
川崎市中原区小杉町1-527-4 メゾンゴールド1A

新丸子西口歯科
松下勲夫

TEL&FAX 044-744-1181

川崎市の入れ歯なら新丸子西口歯科医院へ
顎関節症は新丸子西口歯科医院へ
神奈川県入れ歯・義歯センター・川崎市中原区新丸子の歯科医院

*******************************************

 

間 寛平(はざま かんぺい)

神奈川県川崎市の歯科、新丸子西口歯科です。

間 寛平(はざま かんぺい)さんの前立腺癌のニュースが入りました。

病気いついては、活性酸素の問題を聞いたことがあります。

杏林予防医学研究所署長 山田豊文
ライナス・ポーリング博士開発

分子整合医学・・・薬を使わず病気を治す栄養療法
・・・子供の頃ある病気で悩んでいた山田氏はふとある本に目が留まりました。

それは、「断食と食事で病気が治る」

これを読み野菜ジュース断食を行なった所病気がよくなったとか。

基本は
1、加工食品(熱を加えたもの)に頼らない。
2、玄米などの未精製の炭水化物を主食にする。
3、副食の基本は
「マゴワヤサシイ」

マメ類、ゴマ、わかめ(海藻類)、野菜、魚、しいたけ(キノコ類)、イモ類
の頭文字で表現されます。


又油が大事だとか
「病気になりたくなければ油を変えなさい!」

脳は六割が油でできています。これを生かす油がなければ脳は正常に作動しません。
この生かす油を食い荒らす油がトランス脂肪酸です。油を精製する時にできるこれは天然には存在しません。

マーガリンなどに含まれるものです。
そして一番よろしいのが、亜麻仁油です。

加熱調理には向きませんが、ドレッシングにして生野菜にかけて食べるのがいいようです。

健康になりましょう!

・・・・・・・・・・・・・・・・・・・・・・・・・・・・・・・・・・・・・・・・・・・・・・・・・・・・・・・
新丸子西口歯科はデンターネット

 に参加してます。皆さんのおかげで、川崎中原区で29位になっています。ありがとうございます。

「新丸子西口歯科、良いね」と思って頂ける方はこちら

 

からデンターネットに行って「新丸子西口歯科」の「HP」というボタンをクリックして下さい。投稿も大募集中です!

株式会社QLife(キューライフ) に登録して商品をゲットし評価をお願いします。会員登録はここから



*******************************************

お口の中から差し歯、入れ歯、詰め物を追放しましょう!
口の中の病気を治し、病気を興さない医療を目指します。
二度とお口の中へ変なものを入れなくても済むように
予防に精進いたしましょう!安全な矯正、美容を目指しましょう!

211-0063
川崎市中原区小杉町1-527-4 メゾンゴールド1A

新丸子西口歯科
松下勲夫

TEL&FAX 044-744-1181

川崎市の入れ歯なら新丸子西口歯科医院へ
顎関節症は新丸子西口歯科医院へ
神奈川県入れ歯・義歯センター・川崎市中原区新丸子の歯科医院

*******************************************

 

神田昌典氏の「年間計画実現カップ2010」に参加しました。

神奈川県川崎市の歯科、新丸子西口歯科です。

「mind map」「photo reading」「全脳思考」でおなじみの 神田昌典
さんと豪華知識人のコラボレートによる祭典、1月11日(祝・月)開催「年間計画実現カップ2010」ありました。

https://www.kandamasanori.com/cf2/form.php?fid=94&?ALmail091207

細かな内容はさておき、mind mapと「全能思考」の大まかなやり方は
分かりました。おもしろいです。

「全能思考」については下記の神田さんのh.p.から調べて下さい。
http://www.kandamasanori.com/index.html

DSC00437







DSC00433







DSC00434










・・・・・・・・・・・・・・・・・・・・・・・・・・・・・・・・・・・・・・・・・・・・・・・・・・・・・・・
新丸子西口歯科はデンターネット

 に参加してます。皆さんのおかげで、川崎中原区で29位になっています。ありがとうございます。

「新丸子西口歯科、良いね」と思って頂ける方はこちら

 

からデンターネットに行って「新丸子西口歯科」の「HP」というボタンをクリックして下さい。投稿も大募集中です!

株式会社QLife(キューライフ) に登録して商品をゲットし評価をお願いします。会員登録はここから



*******************************************

お口の中から差し歯、入れ歯、詰め物を追放しましょう!
口の中の病気を治し、病気を興さない医療を目指します。
二度とお口の中へ変なものを入れなくても済むように
予防に精進いたしましょう!安全な矯正、美容を目指しましょう!

211-0063
川崎市中原区小杉町1-527-4 メゾンゴールド1A

新丸子西口歯科
松下勲夫

TEL&FAX 044-744-1181

川崎市の入れ歯なら新丸子西口歯科医院へ
顎関節症は新丸子西口歯科医院へ
神奈川県入れ歯・義歯センター・川崎市中原区新丸子の歯科医院

*******************************************

 

[感動]レジ打ちの女性(涙の数だけ大きくなれる!)、歯科医師、スタッフセミナーに行きました。

神奈川県川崎市の歯科、新丸子西口歯科です。

歯科医師、スタッフセミナーに行きました。
東京神保町の学士会館というところでスタッフ教育の抜群の
歯科医師愛知県のすまいる歯科の山村洋明先生の発表でした。

とにかく人気がある歯科医院なんです。
会員発表は じゅにあ こと「すまいる歯科」http://www.smile-shika.jp/山村洋志明先生http://www.smile-shika.jp/clinic_member.html歯科医院スタッフ向けの話をしてくれます。

それと株式会社アビトレの木下晴弘さんhttp://www.abtr.co.jp/


 youtubeの木下先生のビデオ
http://www.youtube.com/user/ffakinoshita#p/a/u/0/t4ZuoeZr9o4
[感動]レジ打ちの女性(涙の数だけ大きくなれる!)
http://www.youtube.com/user/ffakinoshita#p/a/u/1/2M08p9leBio
です。

なかなか感動的なお話しでした。

最初からできた人はいないということです。

t02000284_0200028410353504821[1]







[感動]レジ打ちの女性(涙の数だけ大きくなれる!)

http://www.youtube.com/watch?v=2M08p9leBio



DSC00426










お話し中の木下先生の横で強引に
写真を取りました。苦笑いしております。

DSC00431







DSC00429







・・・・・・・・・・・・・・・・・・・・・・・・・・・・・・・・・・・・・・・・・・・・・・・・・・・・・・・
新丸子西口歯科はデンターネット

 に参加してます。皆さんのおかげで、川崎中原区で29位になっています。ありがとうございます。

「新丸子西口歯科、良いね」と思って頂ける方はこちら

 

からデンターネットに行って「新丸子西口歯科」の「HP」というボタンをクリックして下さい。投稿も大募集中です!

株式会社QLife(キューライフ) に登録して商品をゲットし評価をお願いします。会員登録はここから



*******************************************

お口の中から差し歯、入れ歯、詰め物を追放しましょう!
口の中の病気を治し、病気を興さない医療を目指します。
二度とお口の中へ変なものを入れなくても済むように
予防に精進いたしましょう!安全な矯正、美容を目指しましょう!

211-0063
川崎市中原区小杉町1-527-4 メゾンゴールド1A

新丸子西口歯科
松下勲夫

TEL&FAX 044-744-1181

川崎市の入れ歯なら新丸子西口歯科医院へ
顎関節症は新丸子西口歯科医院へ
神奈川県入れ歯・義歯センター・川崎市中原区新丸子の歯科医院

******************************************

 

成功の秘訣

神奈川県川崎市の歯科、新丸子西口歯科です。

成功の秘訣
→行動あるのみ!動く事。



・・・・・・・・・・・・・・・・・・・・・・・・・・・・・・・・・・・・・・・・・・・・・・・・・・・・・・・
新丸子西口歯科はデンターネット

 に参加してます。皆さんのおかげで、川崎中原区で29位になっています。ありがとうございます。

「新丸子西口歯科、良いね」と思って頂ける方はこちら

 

からデンターネットに行って「新丸子西口歯科」の「HP」というボタンをクリックして下さい。投稿も大募集中です!

株式会社QLife(キューライフ) に登録して商品をゲットし評価をお願いします。会員登録はここから



*******************************************

お口の中から差し歯、入れ歯、詰め物を追放しましょう!
口の中の病気を治し、病気を興さない医療を目指します。
二度とお口の中へ変なものを入れなくても済むように
予防に精進いたしましょう!安全な矯正、美容を目指しましょう!

211-0063
川崎市中原区小杉町1-527-4 メゾンゴールド1A

新丸子西口歯科
松下勲夫

TEL&FAX 044-744-1181

川崎市の入れ歯なら新丸子西口歯科医院へ
顎関節症は新丸子西口歯科医院へ
神奈川県入れ歯・義歯センター・川崎市中原区新丸子の歯科医院

*****************************************

 

不定愁訴という病気について

神奈川県川崎市の歯科、新丸子西口歯科です。

ずっと体の痛みや不調を抱えた方が来院されました。
所謂(いわゆる)不定愁訴というやつです。

心と体を分離する西洋医学的考察では、生命体の
不調はなかなか解決できません。

色々な病院や治療院を転々として治らない為に
歯やかみ合わせが原因ではないかと来院されたのです。

本当に藁をもすがる思いなのでしょうか。

かような方には、まず健康な方の真似をしてはいかがでしょうか?
とお話しします。

まず、体の健康を保っている人のやり方をまねて健康を
考える。

心の健康を保っている方のやり方をまねて心の健康を
考える。

体・・・・有酸素運動をしないと健康は保てません!
  ・・体が硬いと疲労物質が溜まります。柔らかく!
  ・・・食べ物はなるべく野菜中心、午前中は果物とか
    生野菜中心、夜8時以降はあまり食べない事、
    水分補給をまめに(一日2リットル以上)
    コーヒーやカフェイン入り食べ物を避ける。
    酒やたばこを止める。

心・・・・溜まった記憶やストレスを吐き出す為に瞑想のような
    吐き出す行為を行う事。
   ・・・・感情のコントロール(NLP)プラスの言葉
     ・・・・体の姿勢、いつも明るい顔をする。
  ・・・・新聞やテレビなどの悪いニュースから
     自分を遠ざける。楽しい、感動する話しの
     だけを聞くようにする。






・・・・・・・・・・・・・・・・・・・・・・・・・・・・・・・・・・・・・・・・・・・・・・・・・・・・・・・
新丸子西口歯科はデンターネット

 に参加してます。皆さんのおかげで、川崎中原区で29位になっています。ありがとうございます。

「新丸子西口歯科、良いね」と思って頂ける方はこちら

 

からデンターネットに行って「新丸子西口歯科」の「HP」というボタンをクリックして下さい。投稿も大募集中です!

株式会社QLife(キューライフ) に登録して商品をゲットし評価をお願いします。会員登録はここから



*******************************************

お口の中から差し歯、入れ歯、詰め物を追放しましょう!
口の中の病気を治し、病気を興さない医療を目指します。
二度とお口の中へ変なものを入れなくても済むように
予防に精進いたしましょう!安全な矯正、美容を目指しましょう!

211-0063
川崎市中原区小杉町1-527-4 メゾンゴールド1A

新丸子西口歯科
松下勲夫

TEL&FAX 044-744-1181

川崎市の入れ歯なら新丸子西口歯科医院へ
顎関節症は新丸子西口歯科医院へ
神奈川県入れ歯・義歯センター・川崎市中原区新丸子の歯科医院

******************************************

 

横浜弘明寺観音様を知っていますか?

神奈川県川崎市の歯科、新丸子西口歯科です。

横浜弘明寺観音様を知っていますか?

新年も明けて街はだんだんと普段の状態に戻ってきています。
観音様拝みに出かけました。

PT340004







厄年の事が書いてあります。
PT340005







身代り地蔵さんです。

PT340007







オンカカカビマエンソワカ(真言です)
これを唱えながら問題の個所の地蔵さん
のところをさするのです。
腰が痛い人は地蔵さんの腰を真言を
唱えながら触るのです。

PT340006







綺麗な笑顔のお姉さんが惣菜を
販売しています。

PT340013








・・・・・・・・・・・・・・・・・・・・・・・・・・・・・・・・・・・・・・・・・・・・・・・・・・・・・・・
新丸子西口歯科はデンターネット

 に参加してます。皆さんのおかげで、川崎中原区で29位になっています。ありがとうございます。

「新丸子西口歯科、良いね」と思って頂ける方はこちら

 

からデンターネットに行って「新丸子西口歯科」の「HP」というボタンをクリックして下さい。投稿も大募集中です!

株式会社QLife(キューライフ) に登録して商品をゲットし評価をお願いします。会員登録はここから



*******************************************

お口の中から差し歯、入れ歯、詰め物を追放しましょう!
口の中の病気を治し、病気を興さない医療を目指します。
二度とお口の中へ変なものを入れなくても済むように
予防に精進いたしましょう!安全な矯正、美容を目指しましょう!

211-0063
川崎市中原区小杉町1-527-4 メゾンゴールド1A

新丸子西口歯科
松下勲夫

TEL&FAX 044-744-1181

川崎市の入れ歯なら新丸子西口歯科医院へ
顎関節症は新丸子西口歯科医院へ
神奈川県入れ歯・義歯センター・川崎市中原区新丸子の歯科医院

*******************************************

 

「to do goodを考える前に、to be goodを目指しなさい」

神奈川県川崎市の歯科、新丸子西口歯科です。


古典の話し

西洋的な治療や即効性の経営や集客方法について勉強していると役に立つことが多いのは確かです。

ですが、東洋の知恵に学んだ人はその本質を見てやるかやらないかを判断するそうです。

たまたま見た雑誌に、終戦時の天皇陛下の玉音放送の原稿を書いた戦前から戦後の時代まで日本の政治、財界の指南役であった安岡正篤先生の話しが書いてありました。

牛尾電気の創業者牛尾治郎氏は戦後の風潮の中(実存主義、アメリカ大衆民主主義万歳)で就職を決める時にその進路を迷い父親に相談したそうです。

すると哲学者でもあった安岡正篤先生を紹介されて、古色蒼然とした東洋哲学に違和感を持っていた牛尾氏は“いやいやながら”会いに行ったのです。

牛尾氏の話しを聞いてピンと来た安岡正篤先生は東洋哲学を話しても無駄だと即座に悟り、英語を使いこう話したそうです。

「to do goodを考える前に、to be goodを目指しなさい」と

やはり大した方だったのと今になってわかってきました。

さて口の中をいじくりまわす歯科医を見て先生は何とアドバイスなさるのかと思うと暗澹たる気持ちになります。

歯の事だけしか話す話題が無いなど情けない話しと思います。
どんな職業であろうと「to do goodを考える前に、to be goodを目指しなさい」という気持ちで人生を切り開かないとつまらないと思いました。

どんなに大きな歯科医院を経営していても、技術がどうであろうと人間的器を大きくしない限り本物と会話した時には全く相手にされないのです。

明日から別の職業をやったとしても食べて行けるような人間的な大きさを身に付けたいものです。

少し生意気な申しようですみません。
Bigな人間にならねばなりません。

インド独立のガンジーの生い立ちは決して優秀でも目立った事もない普通の生い立ちでした。

しかし、ある出来事を通じて自分の使命に目覚めたガンディーは独立闘争へとまい進します。

妻曰く「私には4人の子供がいます。でも主人には4億人の子供がおります。」と。

全インドの独立の父であることの宣言なんですね。そこまで大きな思想をもったガンジーは誰とあっても自分の子供と思い親しみをこめて話しかけてきたとか。

人を魅了する人というのはかように“器”が大きい人のようです。

何とかしなければ!



・・・・・・・・・・・・・・・・・・・・・・・・・・・・・・・・・・・・・・・・・・・・・・・・・・・・・・・
新丸子西口歯科はデンターネット

 に参加してます。皆さんのおかげで、川崎中原区で29位になっています。ありがとうございます。

「新丸子西口歯科、良いね」と思って頂ける方はこちら

 

からデンターネットに行って「新丸子西口歯科」の「HP」というボタンをクリックして下さい。投稿も大募集中です!

株式会社QLife(キューライフ) に登録して商品をゲットし評価をお願いします。会員登録はここから



*******************************************

お口の中から差し歯、入れ歯、詰め物を追放しましょう!
口の中の病気を治し、病気を興さない医療を目指します。
二度とお口の中へ変なものを入れなくても済むように
予防に精進いたしましょう!安全な矯正、美容を目指しましょう!

211-0063
川崎市中原区小杉町1-527-4 メゾンゴールド1A

新丸子西口歯科
松下勲夫

TEL&FAX 044-744-1181

川崎市の入れ歯なら新丸子西口歯科医院へ
顎関節症は新丸子西口歯科医院へ
神奈川県入れ歯・義歯センター・川崎市中原区新丸子の歯科医院

******************************************

 

2010年横浜の正月

神奈川県川崎市の歯科、新丸子西口歯科です。

昨日は元旦に見られなかった日の出を拝もうと自宅の近くの神社や仏閣に参内しましたが、都会は毎年高層ビルの建設で殆ど水平線を拝めないのです。

仕方なくタクシーを飛ばし横浜で日の出が見える所に連れてってと運転手さんにお話ししたところ、懐かしい港が見える丘公園?に連れて行っていただきました。

残念ながら写真は取れていません。ですが、やはり横浜の山手は朝日と夕日が良く見えて太陽信仰が強い方には絶景の場所です。

何故外国人がこの地に館を建てたのか良くわかりませんでしたが、太陽信仰を持っているとは思えませんので高台に対する憧れとか港が良く見える景色の良さからなのかと思いました。

それと湿気の問題ですか。日本は湿気が多いのでそれをさけたのかもしれません。

DSC00417やと坂です。下の方は元町ですね。







その途中に矯正歯科医院があります。
私の記憶によれば30年以上前からあるような
気がします。学生時代試合の帰りに
この坂を上り山手を観光したことが

あるからです。やはり外国人が多いから
なのでしょうか?
DSC00416








坂を登り切った所に「港が見えるが
丘公園」がありその近くにinternational
schoolがあります。相当歴史が古いので
しょうか?

さらに芸術のゲーテ座という施設もあります。
DSC00411







お馴染の外人墓地です。
すぐ近くの交番の方に伺った
ところ今でも観光客は多いとの
事でした。てっきり港の近くの
ランドマークタワーがある所
に観光客を奪われているのでは
と思っていたからです。

DSC00413







 外人墓地の近くには昔
そうですね30年以上前ですが
「山手一番館歯科医院」というのが
ありまして田舎(笑い)から出てきて
観光している自分にとりましては
まぶしい診療所の姿でした。

しかし今は歯科と医科を備えた
診療所に衣替えしているようです。
名前もBluff(ぶらふ)medical&
dentalとなっていました。

昔はBluff(ぶらふ)という内科?診療所
がありましたからそこの方が経営している
のかもしれません。
写真にとってしまいました。院長先生、職員
の方ご迷惑だったらごめんなさいね。

DSC00414







DSC00415







港には代表的なホテルがあります。
双璧はザ・横浜と横浜
NEW GRANDホテルではないかと
思います。昭和20年の終戦後米軍
に接収されて米軍の横浜GHQ?が
おかれた所だったと記憶しています。

本当に荘厳な感じのホテルです。
内部の待合室や廊下を写させて
いただきました。

ご迷惑でしたら申し訳ありません。


NEW GRANDホテル
DSC00420







DSC00421







あとは中華街に参りましたが
朝が早いせいかまだどこの
店も開いていません。

ただ、中国料理の世界チャンピォン
が3人も並んで
宣伝している看板がありその割
には何か安い肉まん?(一個90円)
などを販売しているようでなんだか笑って
しまいました。高級料理店かと

勘違いしますからね。

DSC00418







やはり同じ写真をフカヒレの
販売商店が使っていました。
名声と写真を借りているのでしょうか?
DSC00419







横浜の氷川丸が停泊する
港のフェンスの近くに
犬をそれぞれ連れた方々が

椅子に座って歓談されていました。
所謂イヌ友(メル友のような感じ)
かと思いまして尋ねてみましたところ

港の近くに住んでいらっしゃるご近所の
方がたばかりだそうです。

正月だというのに暖かい日和ですから
日向ぼっこしに来たのでしょうか?

それとも観光客が少ないこの時期を
狙って繰り出されたのか?

朝ですし、観光客も少ないですからね。
DSC00422







DSC00423








・・・・・・・・・・・・・・・・・・・・・・・・・・・・・・・・・・・・・・・・・・・・・・・・・・・・・・・
新丸子西口歯科はデンターネット

 に参加してます。皆さんのおかげで、川崎中原区で29位になっています。ありがとうございます。

「新丸子西口歯科、良いね」と思って頂ける方はこちら

 

からデンターネットに行って「新丸子西口歯科」の「HP」というボタンをクリックして下さい。投稿も大募集中です!

株式会社QLife(キューライフ) に登録して商品をゲットし評価をお願いします。会員登録はここから



*******************************************

お口の中から差し歯、入れ歯、詰め物を追放しましょう!
口の中の病気を治し、病気を興さない医療を目指します。
二度とお口の中へ変なものを入れなくても済むように
予防に精進いたしましょう!安全な矯正、美容を目指しましょう!

211-0063
川崎市中原区小杉町1-527-4 メゾンゴールド1A

新丸子西口歯科
松下勲夫

TEL&FAX 044-744-1181

川崎市の入れ歯なら新丸子西口歯科医院へ
顎関節症は新丸子西口歯科医院へ
神奈川県入れ歯・義歯センター・川崎市中原区新丸子の歯科医院

*******************************************

 

浅間神社、山谷、浅草

神奈川県川崎市の歯科、新丸子西口歯科です。

今年もドヤ街でのお手伝いをと考えましたが、年末から異常に泌尿器系の問題を起こしまして(笑い)長らく立ったままとかができなくなりました。
(ホメオパシーのremedyを昨日取りましたから好転反応が起こったようで症状が酷くなってきたようです。あ〜あ情けない・・・)

ですから本当は色々なドヤ街での炊き出しを手伝うつもりでしたが、今年は東京の山谷(日雇いの町)に行きました。そこでの寄付だけで帰って来たのです。

まずは浅間神社にお参りして富士山を拝みました。真ん中の山々の中で飛びぬけて一つだけ出ています。晴天のせいかはっきりとみえました。
その後南千住駅という駅を降り、警察の方に道を伺い“山谷”というドヤ
街に出かけました。

しかし、イメージとは違って寄賃宿と違いまあまあ綺麗な簡易宿泊所が
多いのにびっくりしました。又炊き出しに集まる人も少なく少し拍子抜けいたしました。

昨年の寿町といい、山谷の方がたといい皆さん何とか元気をだして仕事をなさり生計が早く立つ事をお祈りいたします。ただ“仕事をよこせ!とか
闘争”というスローガンには少し違和感を感じます。

まず人の為に何ができるのか何を貢献できるのかを考えていたら仕事というのは見つかるような気がします。頑張っていただきたいですね。

教会の牧師らしき方がいらしたところも写真に撮らせていただきました。
炊き出しの方に“このあたりで徳のある立派な方はいらっしゃいますか?”とお尋ねしたところ伝道所を紹介していただきました。伝道している方は小柄な女性の方でした。

昨年の横浜寿町の方が少し落ちぶれた感じがあったような気がします。
千住と言えば、浅草・浅草寺、しかし、元旦や正月は行くものではないような気がしました。まあとにかくお参りに数時間も要するとは、ですから修繕中の横から気持ちを込めてお祈りしたのです。信心は気持ちが大事ですからね。


DSC00397







DSC00399







DSC00400







DSC00401







DSC00403







DSC00404







DSC00405







DSC00406







DSC00408










・・・・・・・・・・・・・・・・・・・・・・・・・・・・・・・・・・・・・・・・・・・・・・・・・・・・・・・
新丸子西口歯科はデンターネット

 に参加してます。皆さんのおかげで、川崎中原区で29位になっています。ありがとうございます。

「新丸子西口歯科、良いね」と思って頂ける方はこちら

 

からデンターネットに行って「新丸子西口歯科」の「HP」というボタンをクリックして下さい。投稿も大募集中です!

株式会社QLife(キューライフ) に登録して商品をゲットし評価をお願いします。会員登録はここから



*******************************************

お口の中から差し歯、入れ歯、詰め物を追放しましょう!
口の中の病気を治し、病気を興さない医療を目指します。
二度とお口の中へ変なものを入れなくても済むように
予防に精進いたしましょう!安全な矯正、美容を目指しましょう!

211-0063
川崎市中原区小杉町1-527-4 メゾンゴールド1A

新丸子西口歯科
松下勲夫

TEL&FAX 044-744-1181

川崎市の入れ歯なら新丸子西口歯科医院へ
顎関節症は新丸子西口歯科医院へ
神奈川県入れ歯・義歯センター・川崎市中原区新丸子の歯科医院

*******************************************