自由診療と保険診療の違いについて
皆さんは官僚とか役人の方とお話ししたり仕事をなさった事がありますでしょうか?
そして役所仕事をやるように私的企業を経営することができるとお思いの方はいるでしょうか?
公の病院とか公の大学病院が殆ど赤字で政府や県、市や町が補助しなければ経営が成り立たない事はご存知ではないかと思います。
すなわち社会主義に近いのですね。又保険の医療点数は共産主義とも思想が似ています。誰がやってもどの地域でやっても値段は一緒。
質もサービスも関係なくすべて同じ値段。
共産主義が滅びた理由と同じなんです。保険制度が破綻しかけているのは。
医療人として金儲けを主体に考えている人間は、仕事そのものを止めた方が幸せだと私は考えます。そういう意味では制度で締め付けるのではなく、やはり自由度が必要なのです。
虫歯の治療で40分或いは1時間以上かかることもあります。すると一日で診療できる患者さんの数は10人前後しかできない計算になります。
それで一人総額で1万円以上なければ経営などできないことは仕事をやっている方ならおわかりでしょう。
今でも保険だけでやるとすると一日の売上3〜4万円などはざらです。
これで経営できると考える診療所の方はないのではと思います。
ですから治療の質を落として数をこなすか自由診療で高い値段を請求するしか診療所を経営することなどできません。
私も歯科医師になってから勉強会には何千万円もかけて一生懸命勉強してきました。
ですが、治療時間ばかり長くなり、好い診療は保険でやればやるほど収入が少なくなるばかりでした。
おかしいと思いませんか?
アメリカの医療は日本より優れていると良く言われます。ですが、価格についてはマスコミも誰も言いません。
私がアメリカの大学インディアナ大学に見学に行った20年以上前は、一ドル360円近い値段でしたから、歯科医療も一般の医療費も天文学的
高さで絶句しました。
日本の医療費の安さに驚くとともに、患者さんにとってはどちらが幸せなのか悩みました。
アメリカでは医療費が高い為に、健康や予防に異常な程熱心です。理由はそこなんですね。かような産業が発展した理由は。
そこで考えるのは、歯科での治療は歯や骨の破壊行為が多いのですから、なるべく歯科的な事をしなくてもいいように値段をつけなければ本末転倒という気がしました。
自分の不注意で病気になった場合、ペナルティーとして値段が高くないと
人間は行動を起こさないと思います。
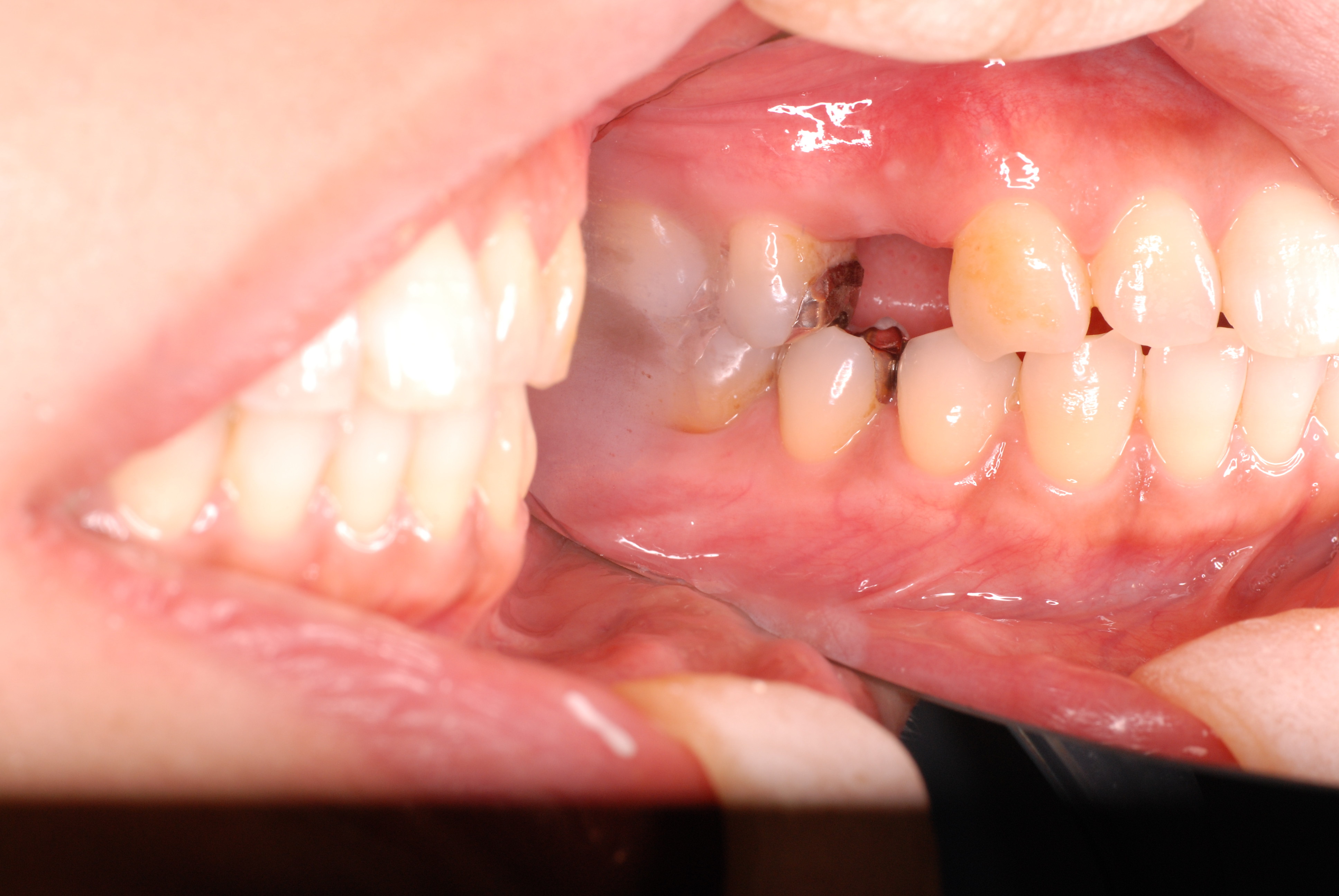
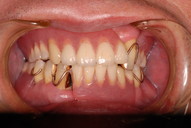
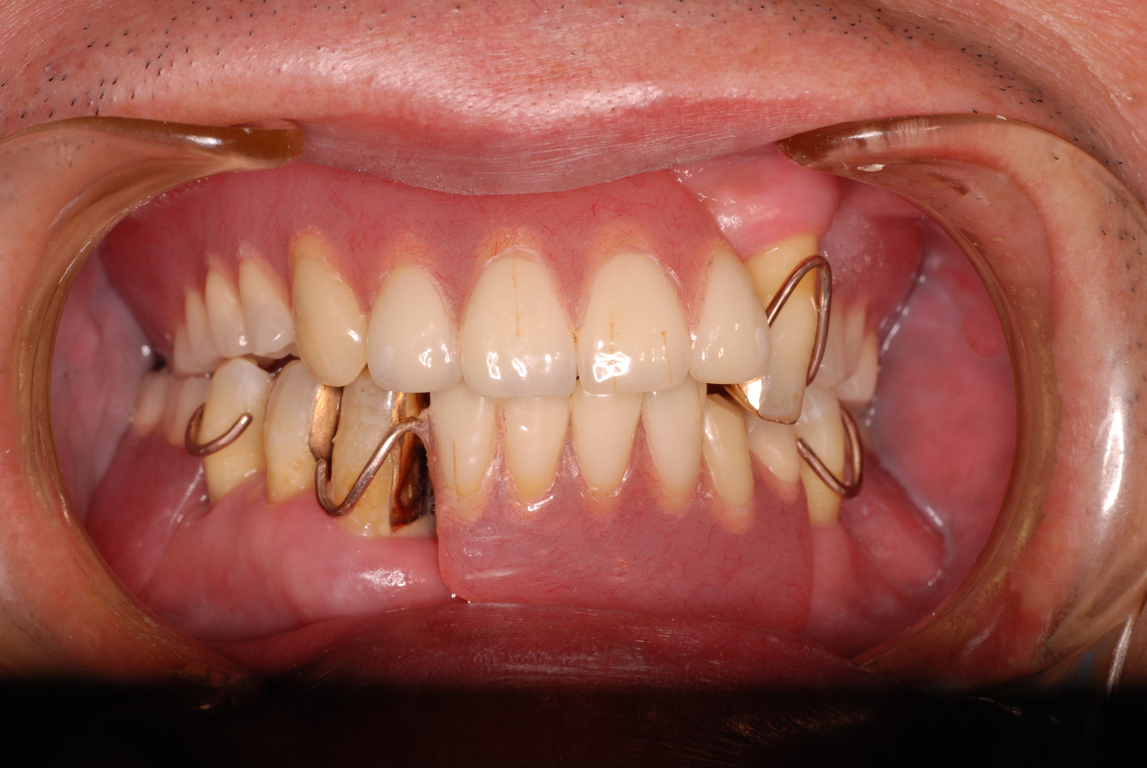
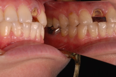
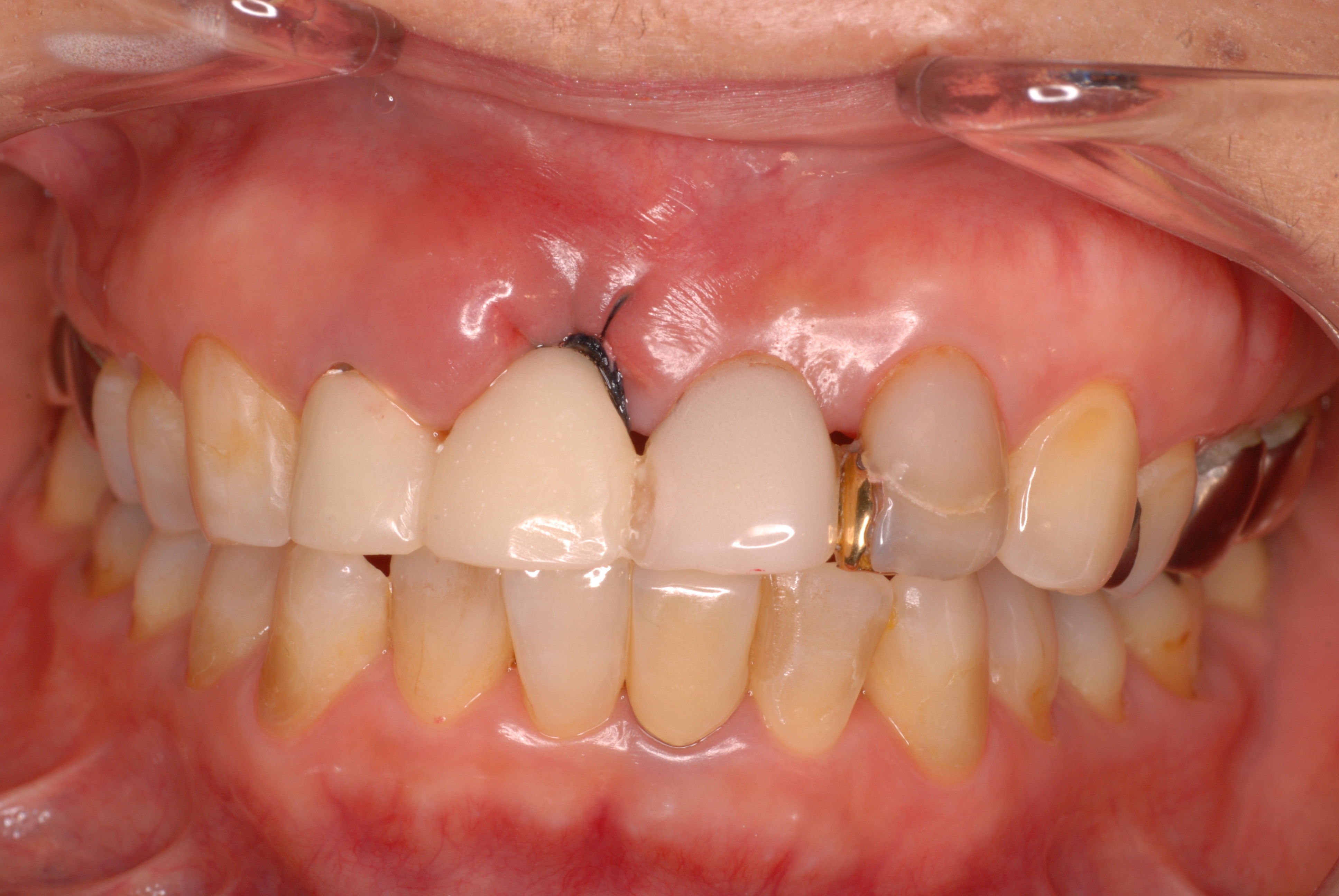
現実を見ればお口の中には“異物”である金歯、銀歯、セラミック、インプラントのオンパレードです。
これ等のものは、異物です。無い方が病気にならず健康でいられるのです。
しかし、保険の場合は質を問わず何か詰めたり被せたりすればお金が払われる仕組みなんです。それも非常に安い値段なんです。しかしそれでも歯周病や神経の処置よりまだましな値段なんですね。
歯科の場合医療行為にたいしての値段はかなりやすく抑えられているのです。
その結果、歯科の潮流は保険にない、矯正や美容、インプラントぐらいしかやる気を出せなくなっているのです。
私が虫歯や歯周病の治療をやり一日やっても数万円の売上に対して、
あるアメリカの矯正歯科医師の話しですが、あれだけの治療費を取りながら一日一人の歯科医師が患者をみる人数は200人ということもあるそうです。
どうしても納得がいかない話しなのです。私も矯正をやりますが、病気を
起こさないようにしようと思えば沢山の患者など治療できません。
病気を起こさないように矯正治療をやることは難しいのです。
昔新人の頃、入れ歯の患者さんの毎回の診療で何時間もかかりながら保険では自己負担でも数百円ぐらい、時給が学生アルバイトより低い値段でした。
それでも頑張ったのはまだ患者さんから学ばせていただいているという謙虚な気持ちがあったからです。
ですが、勉強に何千万円もかけ何十年もかけてうまくなる為に努力したのにも拘わらず、値段が、学生時代の時給というのも無理な話しだと思われないでしょうか?
下手な頃はすべて徹夜などして保険の入れ歯を自分で作っていました。値段が数千円でもそれでもなかなか患者さんは不満です。
やはり材料や色々なところで保険にはない手間と時間をかけないと好いものはできなかったのです。
現在は材料も最高級品、外注する職人さんも最高級品を目指してお願いしています。
努力と技術にあった評価をお願いしたいと切に願うだけです。
それが一度治療したら二度と歯医者さんでガリガリせずにすむ方法ではないかと思うこのごろです。
好い仕事をさせていただければ本当にありがたいことですし、やる気のある歯科医師が増えることになるでしょう。
私の頃は大学も少なく国立や公立の歯学部は超人気学部でした。ですが
ご存知でしょうか。現在私立は定員割れ、国公立では一番人気のない学部になりました。
良い歯科医師を作る為にも希望のある価格と歯科の医療に対する見方を変えてほしいのです。
“予防そして治療後の定期的健診と継続的な予防処置、これこそ一番安く負担のかからない方法と思いますけれどいかがなものでしょうか?”
“お口の中から差し歯、入れ歯、詰め物を追放しましょう。”
・・・・・・・・・・・・・・・・・・・・・・・・・・・・・・・・・・・・・・・・・・・・・・・・・・・・・・・
新丸子西口歯科はデンターネット
に参加してます。皆さんのおかげで、川崎中原区で29位になっています。ありがとうございます。
「新丸子西口歯科、良いね」と思って頂ける方はこちら
からデンターネットに行って「新丸子西口歯科」の「HP」というボタンをクリックして下さい。投稿も大募集中です!
株式会社QLife(キューライフ) に登録して商品をゲットし評価をお願いします。会員登録はここから
*******************************************
お口の中から差し歯、入れ歯、詰め物を追放しましょう!
口の中の病気を治し、病気を興さない医療を目指します。
二度とお口の中へ変なものを入れなくても済むように
予防に精進いたしましょう!安全な矯正、美容を目指しましょう!
211-0063
川崎市中原区小杉町1-527-4 メゾンゴールド1A
新丸子西口歯科
松下勲夫
TEL&FAX 044-744-1181
「川崎市の入れ歯なら新丸子西口歯科医院へ」
「顎関節症は新丸子西口歯科医院へ」
「神奈川県入れ歯・義歯センター・川崎市中原区新丸子の歯科医院 」
******************************************

必ずばい菌が侵入しないようにしてばい菌である虫歯を除去します。
銀歯の下はばい菌だらけです。こういうのはよくあります。取り残しですね。![treatment_05[1]](https://livedoor.blogimg.jp/netdental/imgs/3/a/3ad019d0-s.jpg)