川崎市 イサオ歯科クリニック 院長ブログ

川崎市中原区新丸子で開業している歯科医院の日常をお話しいたします。

2009年11月

11/23(月、祭)日比谷公会堂で日本一の投資家

DSC00364神奈川県川崎市の歯科、新丸子西口歯科です。

11/23(月、祭)日比谷公会堂で日本一の投資家
竹田和平氏をはじめとした方々の講演がありました。

やはり和平語録を始めて聞いた人は目が点になります。(笑い)
その後日比谷公園内の
松本楼で懇親会が催されました。

又福島正伸氏・・どんな仕事もたのしくなる3つの
物語の作者です。

その関連で吉井雅之氏、千田利幸さん

又1netゴルフの社長で和平さんの後継者になった
本田晃一さんです。h.p.からの集客で成功し
セミリタイヤできた若き遊び人(笑い)です。

DSC00361松本楼です。







DSC00367夜の松本楼です。







DSC00369松本楼の小坂文乃さん、
梅屋庄吉氏の曾孫

梅屋庄吉については下記をお読みください。

「革命をプロデュースした日本人 」




DSC00375経営コンサルタントの小田君です。以前彼の主催のセミナーでお会いした事がありました。
まあ、波乱万丈の人生ですね。







DSC00377スピリチュアルカウンセラー
穴吹恵子さんです。初めての
出会いです。







DSC00372中野裕弓というかたで[もしも世界が百人の村だったら」という本を翻訳した方です。






ほかにも面白い方が講演されましたが、やはり和平さんと梅屋庄吉
さんのエピソードが面白かったですね。

スケールがでかいのです。




。。。。。。。。。。。。。。。。。。。。。。。。。。。。。。。。。。。。。。

新丸子西口歯科はデンターネット

 

に参加してます。皆さんのおかげで、川崎中原区で39位になっています。ありがとうございます。

新丸子西口歯科、良いね」と思って頂ける方はこちら

 

からデンターネットに行って「新丸子西口歯科」の「HP」というボタンをクリックして下さい。投稿も大募集中です!

株式会社QLife(キューライフ) に登録して商品をゲットし評価をお願いします。会員登録はここから




******************************************

お口の中から差し歯、入れ歯、詰め物を追放しましょう!
口の中の病気を治し、病気を起さない医療を目指します。
二度とお口の中へ変なものを入れなくても済むように
予防に精進いたしましょう!安全な矯正、美容を目指しましょう!

211-0063
川崎市中原区小杉町1-527-4 メゾンゴールド1A

新丸子西口歯科
松下勲夫

TEL&FAX 044-744-1181

川崎市の入れ歯なら新丸子西口歯科医院へ
顎関節症は新丸子西口歯科医院へ
神奈川県入れ歯・義歯センター・川崎市中原区新丸子の歯科医院

*******************************************

 

 




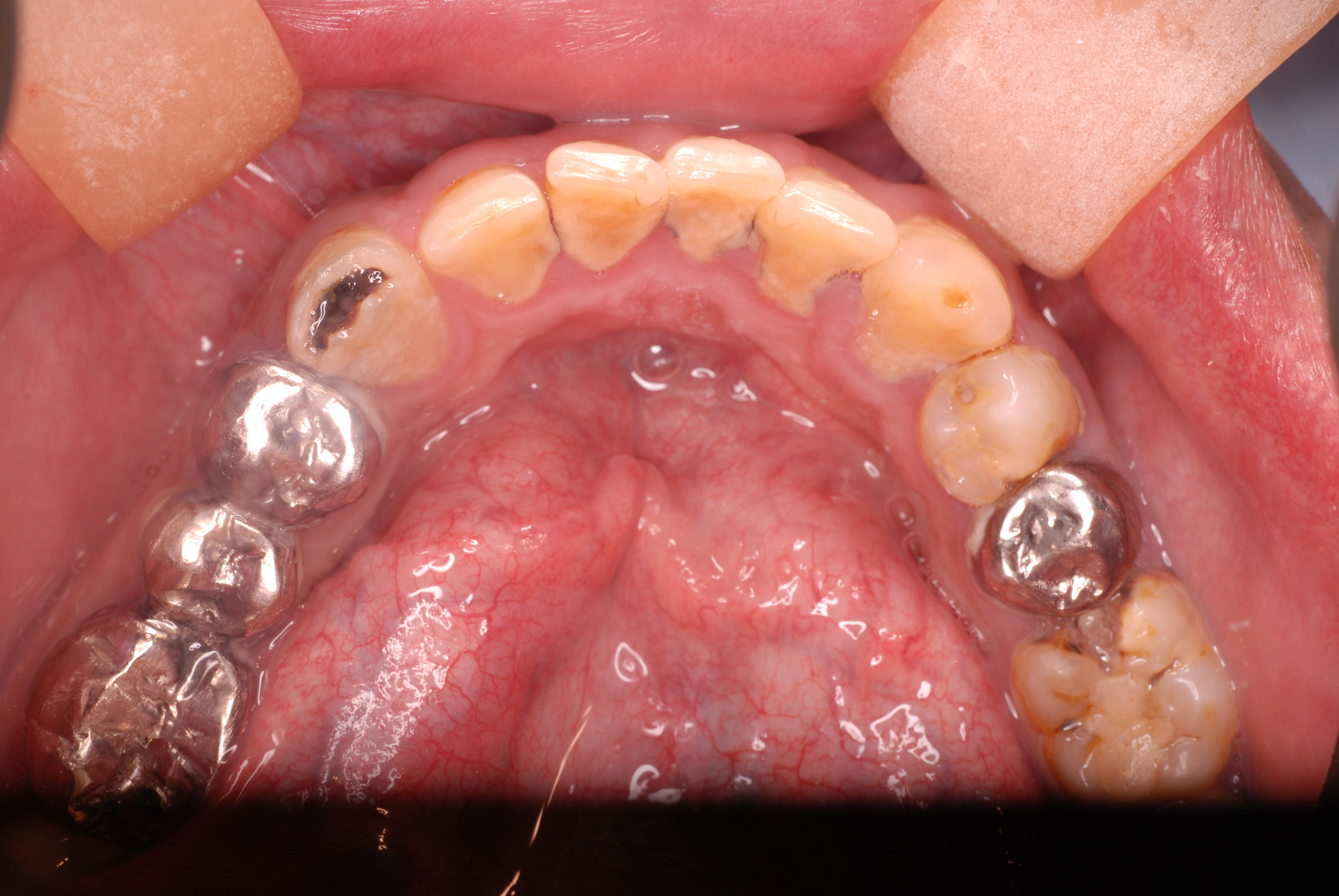
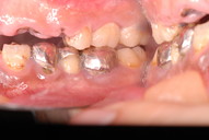
今日も銀歯の下の虫歯の治療でした。

神奈川県川崎市の歯科、新丸子西口歯科です。


DSC_0009たまたま顎の問題でレントゲンを撮りましたところ左の下(レントゲンでは右になります。)奥から2番目の歯の下に影が見えます。それが虫歯というばい菌に塊なんです。



DSC_0012
画面左から4番目の銀歯の下にレントゲンの黒い影が見えます。これが数年前に残したばい菌が増えて歯が破壊されてきたことを物語っています。



DSC_0001ゴムで隔離し唾がはいりません。
写真の下の方の
金属の下にばい菌が
沢山残っています。




DSC_0003鏡で言うと上の方の金属の下にばい菌が
沢山残っています。







DSC_0004ばい菌が赤く染まっています。







DSC_0008

ばい菌がほぼ取れたところです。注射もせず、耳かきみたいなものでこするだけでばい菌は取れてきます。まだ少し残っていますが。



DSC_0007ばい菌がほぼ取れたところです。注射もせず、耳かきみたいなものでこするだけでばい菌は取れてきます。
ここまででやはり40分以上かかりました。
虫歯の治療は1時間とかかかるものなのです。失敗する原因は時間と手間をかけな                 

い事が原因なんです。



今日も銀歯の下の虫歯の治療でした。どうしてばい菌をのり残したまま
銀歯を被せたりするのか、歯の間のばい菌を見逃したまま噛みあわせの部分だけを金属にするのか、いつも悩みます。

しかしこれは当たり前で、歯学部では、歯の削り方や銀歯や入れ歯の作り方、歯石の取り方、矯正の仕方などを習いますが、歯の病気や歯周病の治し方、医学的に問題をおこさない、差し歯や入れ歯の作り方、医学的に問題をおこさない、矯正のやり方などは、一切習いません。

特に虫歯というもののが具体的にはどういうものか現実の物を見せ、とり方などを習ったことがないのです。

勤務しても正確に病原菌の塊である、虫歯が綺麗に採れたかどうかチェックを受けたことがないのです。おそらく私がいままで勤務していた歯科医院で、綺麗に、病原菌の塊である虫歯を除去できたのは殆どなかったかもしれないと思えるのです。

現在ケースにもよりますが、奥歯の虫歯を綺麗に採り且つ神経を傷つけないようにするには40分ぐらいかかることもあるぐらいです。ですから虫歯を治療して詰めたりすると1時間ぐらいかかるのが、普通ではないかと思えるのです。


そして治療中には、ばい菌が入らないようにラバーダムというようなゴムで、歯を覆い、唾のようなばい菌だらけの物からの汚染を防ぐことが必ず必要なんです。

。。。。。。。。。。。。。。。。。。。。。。。。。。。。。。。。。。。。。。

新丸子西口歯科はデンターネット

 

に参加してます。皆さんのおかげで、川崎中原区で39位になっています。ありがとうございます。

新丸子西口歯科、良いね」と思って頂ける方はこちら

 

からデンターネットに行って「新丸子西口歯科」の「HP」というボタンをクリックして下さい。投稿も大募集中です!

株式会社QLife(キューライフ) に登録して商品をゲットし評価をお願いします。会員登録はここから




******************************************

お口の中から差し歯、入れ歯、詰め物を追放しましょう!
口の中の病気を治し、病気を起さない医療を目指します。
二度とお口の中へ変なものを入れなくても済むように
予防に精進いたしましょう!安全な矯正、美容を目指しましょう!

211-0063
川崎市中原区小杉町1-527-4 メゾンゴールド1A

新丸子西口歯科
松下勲夫

TEL&FAX 044-744-1181

川崎市の入れ歯なら新丸子西口歯科医院へ
顎関節症は新丸子西口歯科医院へ
神奈川県入れ歯・義歯センター・川崎市中原区新丸子の歯科医院

*******************************************

 

 


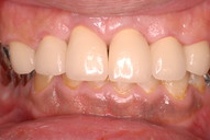
歯の矯正について

神奈川県川崎市の歯科、新丸子西口歯科です。

本日は前々から、歯並びと噛みあわせの悪さとそれに伴う虫歯や歯周病の予防の為に矯正を薦めていた人が、やっと決断されまして矯正をやる事になりました。

成人でもやはりあまりにも並びが悪く歯周病の進行が予想されたりしている場合は矯正をやります。それが歯の寿命を長くするからです。

ただ、一般的に子供の矯正は美容ですから注意しなくてはなりません。
ではその注意点とは。

歯の矯正について


歯の矯正については、私が、麻酔医から一般歯科そして噛み合わせの勉強を終了後学び始めた訳ですから、専門としている訳ではありません。然し、医学としてみた場合、矯正そのものはその名のとうり
非生理的なことなのです。例えば昔の中国には、女性の足は小さいほうが良いという事で纏足(てんそく)という習慣がありました。

硬い靴型を履き、足を小さくしようとしたのです。その結果起こった事は足の変形で、まともに歩けない方が多かった様です。中世から近世にかけてのヨーロッパでは、ウエストを細く見せる為きつく絞り込んだ故に、背骨や内臓がおかしくなった女性が多かったとか。では、一般的に矯正専門医がどのような形を取り、専門医となったかをお話ししましょう。大学では色々な科に分かれています。

矯正科はその一つです。

大学の6年間の教育だけでは何もできないのはあたり前ですから、専門医になろうとする場合、矯正学教室に残り大体5年以上残り技術を習得します。開業医に勤めた場合は、技術の習得はもっと早いかもしれません。どちらにしても5年以上集中してやらないと、開業できるだけの技術は身に付かないということでしょうか。しかしここで大変大きな問題が横たわっているのです。

それは、歯科治療の経験が無い、そして開業後は歯並び専門のことしか勉強しませんので、医学的あるいは、歯科学的にどういうマイナスがあるか解からないということです。埼玉県にある、医療法人相生会渋谷病院の飯塚先生は、口腔外科の大学院を出られた後、フランスのパリ大学
口腔科・・・顔面の外科と口腔の外科を主にやっている部門です。

それから、アメリカの補綴(ほてつと読みます。入れ歯、差し歯、噛み合わせを勉強する所です。)科に留学し、同時に歯内療法科(神経を取るとかそれにまつわる処置をする科です。)を勉強されたのですが、矯正に関しては、独学です。そして大した能力は要らないといつも言われていました。

実際歯を動かすには大した能力はいりません。かなり修行は必要ですが。然し、そのことより歯が虫歯にならないように、歯周病にならないように、噛み合わせが狂い顎がおかしくならないように、そして歯自身の神経が切れたりしないようにすることは、大変むずかしいのです。


矯正治療の欠点は、そういう事に全く無頓着で歯をぐいぐい動かすことです。綺麗になった。10年経ったら歯がどんどん抜けていってしまったでは
全く話にならない話です。

しかし、よく起こる事ですから、矯正治療は専門家だけがやるものだと思わずに、矯正中に歯の虫歯や歯周病、そして小さなレントゲンなどを取り、埋まっている部分がおかしくなっていないか(よく溶けて小さくなることがあるのです。)を観察しているか、注意してください。


矯正治療中注意しなければいけない点について


1.歯根吸収
歯を動かすと、多かれ少なかれ、骨にうまっている部分は溶けて短くなります。これを少なくするのが歯の寿命を延ばす秘訣です。従いまして、矯正治療中には、常に歯の動揺や歯科用の小さなレントゲンを取ったりしながら、注意深く観察することです。もし、吸収がひどくなりそうな感じがしたら、そこで一旦中止するのも医学的には大事な事です。よくひどくしみる方がいますが、其の歯が将来神経が切れて死ぬ確立が高いということを憶えておいてください。

2.歯周組織の障害(歯ぐきや骨が悪くなるという事です)
歯が動くという事は、進行方向の骨が溶け、反対側に骨ができるから動くのです。しかし、いずれにしても
以前の状態より必ず悪くなります。医師としては、早く綺麗にしてあげる事も大事ですが、よけいなところが動いたり奥歯の噛み合わせがおかしくならないように注意しなければいけません。第一、歯の表面に金属の突起や歯と歯をつなぐワイヤーがついている訳ですから、汚れが溜まりやすく取れにくいのです。もし、汚れが取れず歯周病に罹っている場合、矯正の力を加えますと破壊的に骨が溶け始め元には戻りません。
統計によりますと、矯正患者の多くは歯周組織の傷害を受けませんが、約10%の患者はかなりの傷害を受けるといわれています。

 どうしたらよいのか?
先ず、歯周病の検査をして問題がある場合其の治療を優先すること。矯正治療中は磨きにくいのですが、ブラッシングを徹底させる事です。定期的検査では、歯が動いた事よりも虫歯がないか歯周病に罹ってないかの検査の方が大事です。万が一虫歯や歯周病になっている場合はその治療を優先させるべきです。

3.歯髄障害及び失活(神経が傷害を受けたり死んでしまうという事です。)

歯に強い力をかけて動かす訳ですから、歯の中の血管も影響を受けます。若年者の場合歯の骨に埋まってる部分は短く、其の分血管が太いのです。だから、矯正力をかけても対応力がありますが、成長し根の部分が長くなり血管が先端のところで細くなると血液のながれが悪くなりますから、矯正力に対応できにくくなります。

即ち、大人になればなるほど、歯の矯正をすれば傷害をきたしやすいという事になります。
骨の成長とも関係ありますから、適した年齢は12歳18歳前後となります。

4.歯質の脆弱化および虫歯の発生
矯正治療中は、磨きにくいという事と汚れ(いわゆるバイキンの塊)が付きやすい為、バイキンによって作られた酸により脆くなります。エナメル質が白くなるのがそういう状態ですが、初期の虫歯と考えてよろしいでしょう。当然進行すればバイキンがさらに歯の中に進入し巣である虫歯となります。

 どうしたらよいのか?
フッ素の使用や丹念なブラッシング、専門的に掃除してもらう事です。

5.装置による痛みや傷害
矯正というのはもともと非生理的なものですから、痛みが出やすいのです。血管が切れそうになる時の痛み
だと考えられます。体はそれに適応して活発に変化しようとして痛みが出るのです。然し、度を過ぎると後々の神経や血管の死を招きますので注意が必要です。特に歯を動かそうとして矯正装置の歯を引っ張るワイヤーを付けて新しい力が歯にかかった時に起こりやすいのです。特に強い力でないならば数日間で収まりますが、
金属ですからそれらがはずれて歯ぐきや粘膜に損傷を与えないように注意しなければなりません。

6.アレルギー反応
矯正装置のニッケル、chromium,コバルト、接着材としての化学成分、レジン、ゴム等に対して生体がアレルギーを生じる事があります。特に、免疫系統の異常とともに近年起こりうる可能性が高いので注意が必要です.対策としては、原因を特定してとりあえずアレルギーの原因にならない物を使うか、難しい場合は、アレルギー治療を優先させた後に行う事です。ホメオパシー,刺絡療法を使う。

7.T.M.D(顎不全症)・・・口が開かなくなったり、関節の所が噛むと痛くなったり、自律神経失調症のような感じになる事です。
矯正する時に気をつけなければならない事は、矯正専門医とは違い、奥歯の噛み合わせをあまり変えずに、見た目の前歯6本だけを変更させるというのが、噛み合わせを専門とする歯科医師の考え方です。できない場合もあるでしょうが、なるだけ噛み合わせに大きく変更を加えずに美容として前歯だけを本人が気に入る所まで動かしてやれば良いと思います。顎不全症の原因としては噛み合わせはあまり関係ないというのが、現在の
学問的な見解ですが、精神的、肉体的にストレス等が加わった場合発症しやすいし、上下の顎に引っ掛ける2級ゴムや3級ゴムの使用、headgearface-bowの使用により強いストレスが加わり発症する事があるので、注意が必要です。発症した場合は一時的に治療を中止し、ホメオパシーや刺絡療法で治療し完治してから慎重に進めるべきです



。。。。。。。。。。。。。。。。。。。。。。。。。。。。。。。。。。。。。。

新丸子西口歯科はデンターネット

 

に参加してます。皆さんのおかげで、川崎中原区で39位になっています。ありがとうございます。

新丸子西口歯科、良いね」と思って頂ける方はこちら

 

からデンターネットに行って「新丸子西口歯科」の「HP」というボタンをクリックして下さい。投稿も大募集中です!

株式会社QLife(キューライフ) に登録して商品をゲットし評価をお願いします。会員登録はここから




******************************************

お口の中から差し歯、入れ歯、詰め物を追放しましょう!
口の中の病気を治し、病気を起さない医療を目指します。
二度とお口の中へ変なものを入れなくても済むように
予防に精進いたしましょう!安全な矯正、美容を目指しましょう!

211-0063
川崎市中原区小杉町1-527-4 メゾンゴールド1A

新丸子西口歯科
松下勲夫

TEL&FAX 044-744-1181

川崎市の入れ歯なら新丸子西口歯科医院へ
顎関節症は新丸子西口歯科医院へ
神奈川県入れ歯・義歯センター・川崎市中原区新丸子の歯科医院

***************************************

 

 


ジェームス・スキナー氏の「愛の億万長者」を読んで

神奈川県川崎市の歯科、新丸子西口歯科です。

ジェームス・スキナー氏の「愛の億万長者」エレガンス出版
約10000円(少し高いな〜)を読んで感想を述べます。

これについては数年前、メガイベントという一週間のLive seminerの
なかで一日を費やして勉強しました。

男女が入れ替わり相手の事を理解する為に面白い
事をやりました。

そして、改めて本を読み思い出したのは、どんなに男女平等とか
雇用機会均等法などを制定して男女の差をなくそうとしてもそれは、

別の意味で問題を生んでいるのではという危惧です。
平等は結構、しかし肩肘張って平等を主張して働いていると、男性の中性化と女性の中性化が起きるという事です。

その結果起きるのは、女性の男性エネルギーの出しすぎによる病気の多発です。女性はどうやっても女性のエネルギーを出さないと体に変調を来たすようです。

それを出さないで男性と同じように左脳を使うようなエネルギーばかりを使う仕事をしているとやはり体調に変化を来たすようになるということです。

婦人病の増加はこのような理由から来ているのかもしれません。又エネルギーの観点から言えば、男性のエネルギーが強い男性は、女性のエネルギーの強い方と引き合い結ばれやすいという事です。

ですから男女が共に働く職場では、男性の場合中性化が起こり女性の場合も同じことが起こるという訳です。

そのために中性同志では引き合う力が働かず結婚ができずに、また結婚しても離婚という現象を引き起こしているとか。

磁石でも電気でも反対の物が引き合うということですね。

男性は、たまには、男だけの中でそのエネルギーを高めて異性に対する魅力的なエネルギーを培ってください。

働く女性は、仕事が終われば、思いっきり女性らしいエネルギーを高められる化粧をしたりエステとか美に関するものとかを吸収し、異性への魅力を高めていけば、結婚できないとか、離婚してしまうというような事は少なくなるようです。

どんなに肩意地張りましても、一人では人生つまらないのでは?
男とは?女とは?今一度その違いを理解して人生をエンジョイするべきではないかと思った次第です。

又続きます。乞うご期待!


愛の億万長者の説明書きです。
・・・・・・・・・・・・・・・・・・・・・・・・・・・・・・・・・

男女関係、人間関係の問題の原因とは?

男女関係は、幸せな人生を語る上で、避けて通ることのできないテーマです。

恋愛や結婚は、人生の重要な要素の一つです。
恋愛や結婚生活がどれだけ充実しているかが、人生の充実度と幸福度を左右すると言っても過言ではないでしょう。

しかし、それほど重要な男女関係ですが、なかなかうまくいかないのも事実です。
結婚しても多くのカップルがうまくいかずに離婚してしまいます。
また、それ以前に結婚できない、恋人ができないと悩む人も数多くいます。

しかも、そのほとんどの人が、うまくいかない原因について見当もつかない状況。

見当もつかないから、相手が悪い、もしくは、自分が悪いと、相手や自分の人格や見た目を否定するしかありません。

しかし、男女関係の問題の多くは、単なる無知によるものなのです。

離婚の本当の理由とは?

離婚の理由の1位はなんだかご存知ですか?

『性格の不一致』

これは、日本だけでなく、世界共通なようです。

他にも多いのは『浮気』です。

しかし、『性格の不一致』も『浮気』も、本当の原因は同じなのです。

それは、異性に対する無知です。

結婚というものは、もともと生まれ育った環境が全く違うもの同士が結婚するわけですから、性格なんて違って当たり前です。

性格が合わないのに、付き合って、結婚するなんてそもそも変です。

じゃあ、なぜ、離婚の理由で『性格の不一致』が1位なのか?

それは、お互いに異性について、そして自分自身についても理解していないからです。

男と女の違いの本質とは?

男と女は、見た目や体のつくりが違うのはご存じのとおりです。

しかし、それ以外にも、男女関係、人間関係において重要な、
決定的な違いが存在するのです。

その男女関係、人間関係において重要な決定的な違いとは、
・本能的に望んでいるもの
・問題の解決法
・考え方
・人生への取り組み
・無意識にやっていること
です。

つまり、男と女では、人生のルールが根本的に異なるのです。

人生のルールが根本的に異なるもの同士が、一緒に住み、コミュニケーションを
すればどうなるでしょうか?

しかも、お互いのルールが違う事に気付くどころか、同じ人間だから同じルールで
生きている、わかって当然だと思っていたとしたら?

すれ違い、摩擦、衝突が怒って当然です。

『なんでこんな基本的なことがわからないんだ!そんなにKYなのか?
それとも、あえて・・・?嫌がらせ?』

困惑し、なぞは深まるばかりです。

しかし、そうした困惑やすれ違い、摩擦、衝突を引き起こす原因となる言動は、本人にとっては、相手のためによかれと思い、お互いの関係をより深めようとしてとっている行動だったりするのです。

相手も同じルールで生きていると思っているのだから、男性は男同士でやるようなやり方を、女性は女同志でやるようなやり方を、しかも相手とより親密になりたいから、それを最高のレベルでやります。

しかし、それがルールの違う相手にはどう映るのか?

『最高レベルの嫌がらせ』

です。

特に問題の解決法などは、この代表的な例です。

たとえば、男性が仕事でうまくいかない事があって家に帰ってきます。
こういうとき、男性は、一人の時間を必要とします。
一人で、自分と向き合い、解決しようとするのです。

そこで、何気なくテレビをつけてぼーっとしたり、音楽をかけてぼーっと考え事を
します。

女性は勘が良いので、彼の様子がおかしいことに気付き、『なにかあったの?』と聞きます。

なぜなら、女性にとって重要なのは、自分の大切な人と共有し、共感することであり、
女性は、問題を話して共有し、感情を解放することで問題を解決していくからです。

だから、女性同士ではこれが当たり前というか、最高の親切なのです。
女性の方は、二人の関係を良くしようとしているのです。

しかし、男性は『別に』と言って話したがりません。

この時、女性は、
『なんでこの人は私に自分の問題を打ち明けてくれないの?』
と、ストレスを感じてしまいます。

一方、男性も
『なんでほっといてくれないんだ。』
『無神経だ。』
とストレスを感じます。

さらに、女性は『まあ、話してくれないんだったら仕方がないわ。私の方から話そう』
と、今日あった事なんかを話しだします。

これも、女性は共有することで二人の仲を深めようとしての行動です。

でも、一人で問題を解決したい男性にとっては、『邪魔、嫌がらせをされている』と感じ、さらにイライラが募っていく・・・。

そして、女性には寂しさが募っていく・・・。

そこに必要なのは、男にたった15分だけ、一人でいる時間を与えるだけだというのに・・・。

これは、一つの例にすぎませんが、男と女の間のコミュニケーションでは、お互いのルールの違いを知らないために、こんなすれ違いは日常茶飯事で、お互いにストレスやフラストレーションを貯め込んでいます。

それなのに、男も女もその違いについて全く知らないので、すれ違っていることにすら気が付きません。

ただ、現実として残るのは、相手から与えられたストレスとフラストレーション。

幸せな男女関係を手に入れるには?

お互いのルールを知らなかったために、お互いの事を思いやるカップルがすれ違いを起こし、『性格が合わない』と思い込んでしまう。

非常に残念であり、悲しいことです。

しかも、これが、夫婦だったらどうでしょう?
こうしたミスコミュニケーションを毎日、毎日、繰り返し、どんどんストレスやフラストレーションを貯め込んでいき、必然的に毎日顔を合わせます。

顔を見るたびに、嫌な思いをする、それを繰り返すと、そのうち、顔を見るのも嫌になる。
これは、人間心理の原則です。

そして、『この人とは性格が合わない』と、思い込んでしまう。

本当は、お互いを思いやる夫婦なのに・・・
単に、お互いのルールを知らないためのすれ違いでしかないのに・・・

そして、目の前の異性が自分の本能的な欲求を満たしてくれないわけですから、もっと自分の欲求を満たしてくれそうな人、自分の寂しさを埋めてくれる人がいればついつい浮気してしまう。

これが『浮気』のプロセスです。

これを男も、女も原因を理解できずに無意識にやっている。
それが、現実なのです。

結婚している相手が自分の本能的な欲求を満たしてくれれば、そもそも浮気なんてする必要はないし、自分を満たしてくれる最高のパートナーを失うリスクを冒す必要もないのです。

『性格の不一致』も『浮気』も根本的な原因は同じ、お互いのルールを知らず、男と女の本質を知らない事が原因だったのです。

しかし、離婚をする本人たちも、浮気をする本人すらも、なんで浮気しているのかよくわかっていません。

だから、同じことを繰り返し、再婚して、また『性格の不一致』とか『浮気』を理由に離婚するのです。

そんな負のスパイラルに入らないように、
もしくは、負のスパイラルから抜け出すために
男と女それぞれの本能的に求めている究極の価値、人生観、大切なもの、タブー、
心の開き方、異性を喜ばせ、トリコにするための言動を学び、男と女のルールをマスターする必要があるのです。

そして、これらをマスターした時、単に問題が解決するだけではなく、
より豊かで、幸福感に満ち溢れた関係を異性と築くことができるようになります。

男女関係はビジネスも加速させる

男と女について学ぶことは、何も夫婦や恋人などの男女関係にだけ役立つわけではありません。

男と女のルール違いによるすれ違いや衝突は、相手が異性である限り、どこででも起きていますし、男と女の本質とルールを学ぶことで劇的に改善できます。

たとえば、父親と娘、母親と息子といった親子関係でも、大いに役立つでしょう。

また、もしかしたら、あなたが男と女の本質とルールを学ぶことで、最も恩恵をこうむるのは、職場での異性の社員や、上司、部下とのコミュニケーションかもしれません。

たとえば、あなたが男性の経営者や管理職であれば、どうしたらもっと女性の職員のやる気と能力を引き出す事が出来るかがわかるようになります。もちろん、逆も可能です。

男性と女性では、成長のポイントも、問題解決法も違うのです。

だから、女性社員を男性社員と同じように扱い、育成していては、いずれやる気をなくしてモチベーションの低い社員になるか、最悪、体調を壊したり、辞めてしまうことになります。

かといって、男性社員を女性社員と同じように扱っていては、いつまでたっても大人になりきれず成長しません。

あなたが男と女の本質とルールを学び、それを社内のコミュニケーションで活用すれば、社内のコミュニケーションや人間関係が、よりスムーズになり、社員のやる気と能力も高まることでしょう。

その結果、業務も円滑に回り、社員一人、一人が今まで以上のやる気と能力で仕事に取り組むわけですから、売り上げも当然アップするに違いありません。

さらに、この知識をお客様へのサービスや商品、接客に応用したとしたらどうでしょう?

お客様は、あなたのサービスや商品、接客によって、誰も与えてくれないレベルで本能から満たされるわけです。

なんだかよくわからないけど、あなたのサービスや商品、接客で、すごく気持ち良くなる。
幸せになる。

そうなれば、お客様は、あなたの商品やサービス、会社の大ファンとなり、リーピートするのはもちろん、周りにどんどん紹介してくれるようになります。

自由に、自然に、自分らしく生きる道

あなたが男と女の本質とルールを学ぶ事は、より自分らしく生きるためにも役立ちます。

なぜなら、人は、異性について知らないだけでなく、自分自身の性についても知らないからです。

人間というのは、自分のことほど見えないものです。

本能的に、または、無意識に反応したり、行動したりしていますが、その根本的な原因や心理的な要因については、全く理解していません。

本能のおもむくままに行動できる時、もしくは、その本能自体が健全な時は良いのですが、本能自体が弱っている時、ずれてしまった時には、根本的な原因、原理原則を理解していなければ、健全な状態に戻すことができず、体調を含め、さまざまな問題を引き起こすことになります。

男性でも、女性でも、その内面には、男性的なエネルギーも女性的なエネルギーも持ち合わせています。

エネルギーなんていうと、ちょっと怪しい感じがしますが、『本能』や『性質』という言葉と置き換えて理解していただければと思います。

通常は、男性は圧倒的に男性的なエネルギーを活用し、女性は女性的なエネルギーを活用するのが、自然な状態、自分らしい状態であると言えます。

しかし、仕事をしている女性というのは、どうしても仕事をするときは、男性的なエネルギーを使うように要求されます。

また、逆に、男性は、すぐにセクハラと言われ、より女性的なエネルギーを要求される現代社会では、男性的なエネルギーを発揮する場を失いつつあります。

つまり、現代社会では、男性が男性らしく、女性が女性らしく生きにくくなっていて、多くの人が性的に混乱した状態になり、より中性よりの人が増加しているのです。

その結果、多くの人が、男性にとっても、女性にとっても、異性を引き付ける能力が低下し、お互いに周りの異性に魅力を感じなくなっています。

さらに、混乱して自分自身が分からなくなったり、男として、または女として、自分に自信が持てなくなっています。

性的なエネルギーが弱まっていることで、自分らしく生きる事ができなくなってきているのです。

そして、その原因は、
本来、自分の性的なエネルギーの健全な状態がどういうものであるのか?
本能的に、どういうニーズや価値観を持っているのか?

そうした自分自身の男として、または、女としての本質を理解していないからです。

異性にとって魅力的な存在となる

あなたが男と女の本質とルールを学べば、
自分が本能的に、または、無意識にどういうものを求めているか?
本能的に、無意識に何を恐れているのか?
を理解できるでしょう。

そして、その本能的、無意識レベルで求めているものを満たすことで、自分本来の性的なエネルギーが健全な状態となり、

本能的、無意識に恐れている恐怖を知り、解決していくことで、自分本来の性的なエネルギーが強まり、男として、または、女として、より魅力的な男性、女性へと成長することができます。

そして、自分らしく、健康で、楽しく、充実して過ごす事ができるようになり、自分らしく振舞う事が、自然と、魅力的な異性を惹き付けることになるでしょう。

また同時に、日差しが強ければ強いほど、影の部分が濃くなるように、自分の性的なエネルギーが強くなるほど、周りの異性の性的なエネルギーを引き出し、健全な状態へと導いていきます。

それが、自然の法則なのです。

ですから、もし、あなたが、自分の恋人やパートナー、周りの異性に対し、
『男らしさ(または、女らしさ)が足りない』
と感じているとしたら、もしかしたら、それはあなた自身の状態を鏡に映し出しているだけなのかもしれません。

あなたが男と女の本質とルールを学ぶことは、あなた自身の性的なエネルギーを高め、自然で、自由で、自分らしく生きるために役立つだけでなく、周りの異性の性的なエネルギーさえもより健全な状態に導き、魅力を高めるわけです。

男と女の本質とルールはどこで学べるのか?

男と女の本質とルールを学ぶことは、自分らしく、自由で自然に生き、男女関係や人間関係で幸せになり、さらにはビジネスで成功するためにも不可欠なものです。

にもかかわらず、学校でも、家庭でも、この男と女の本質とルールについて、体系的に教えてはくれません。

多くの人が、悩み、問題を抱えているにも関わらず、誰もその原因について、そして、どうしたらいいかについて教えてくれないのです。

なぜなら、これまでは誰もそうした本能的な違い、無意識の行動による違いという部分に気付く人がいなかったからです。

潜在意識、本能、そして、男女の違いについては比較的新しい学問の分野です。

その研究の一部は、世界的に有名な男女関係の権威であるジョン・グレイ博士の書籍など、男女関係について書かれ、日本語に翻訳された書籍で、学ぶことができます。

しかし、体系的にまとめられたものは皆無です。

男と女の本質とルールの探究

そこで、一人の男が、男と女の本質とルールの探究を始めました。
その男の名は、ジェームス・スキナー。

ジェームスは、長年の間、周りの多くの人が男女関係で苦労するのを見聞きしてきました。
また、自分自身も女性とのコミュニケーションでは試行錯誤し、苦労と失敗の連続でした。

そこで、男女関係について学ぶために、さまざまな本を読み漁り、セミナーに参加しました。

しかし、その結果、男性の行動と女性の行動の違いと、喧嘩をしないですむためにはどうしたらいいのか?という表面的な対処方法のみでした。

そこには、男として、女としての本質は何か?
何がこの行動の違いを生み出す原因なのか?
異性とよりよい関係を築き、発展させるにはどうしたいいのか?
相手をより幸せにするにはどうしたらいいのか?
男、または女として、自分自身がより幸せになるにはどうしたらいいのか?

といった事は得られませんでした。

『男女関係とは、喧嘩をしないですむためのものではないだろう』

そして、『男と女がより幸せになる方法とは何か?』を求める探究が始まったのです。

その探求の中で、ジェームスは、
世界的な男女関係の権威であるジョン・グレイ博士をはじめ、世界中の男女関係の権威からメキシコの聖人、世界一のコーチ、心理学者から精神科医に至るまで、実際に結果を出している、その道の第一人者達から
・男と女の考え方、行動、ニーズや価値観の違い
・その心理的な要因、原因
など、単なる表面的な現象だけでなく、原因や心理的な要因に至るまで、男女関係、男と女の本質について、そして、同時に、幸せな男女関係を築くための秘訣、幸せな人生を築くための秘訣について学びを深めました。

そして、学んだ事を自らの実際に実践し、その検証をもとに体系的にまとめて行きました。

愛の億万長者の誕生

そうして出来上がったのが、『愛の億万長者』です。

愛の億万長者とは、男と女の本質と、そのルールの違い、そして愛についてマスターし、自然で自由に自分らしく愛と幸せに満ち溢れている人です。

自分の中に愛が満ち溢れているからこそ、惜しみなく他人に愛を与えることができます。
だからこそ、愛のために他人に依存する愛の乞食でも、他人から愛を奪う愛の泥棒でもなく、『愛の億万長者』なのです。

また、『愛の億万長者』は、そのマインドと知識をビジネス応用すれば、ビジネスにおいても成功し、金銭的にも億万長者となることでしょう。

これまでに、ジェームスは『愛の億万長者』をセミナーとして6回にわたって公開してきました。

その結果、
・離婚寸前だった夫婦がアツアツのカップルに戻ったり
・これまで全く恋人ができなかった女性が、自分本来の性のエネルギーを取り戻して1年以内に理想の男性と結婚したり
・女性スタッフとのコミュニケーションがうまくいくようになった男性経営者が1年で売り上げを3倍にしたり

と、数々の驚くような成果を生み出してきました。

しかし、現在、『愛の億万長者』は、8日間のセミナーの一部としてのみ公開され、参加費は最も安い席で42万円でした。

しかも、このセミナーは2009年の9月を最後に、今後は開催の予定がありません。

しかし、これだけ男女関係に悩む人があふれ、性的に混乱している人があふれる現代において、男と女の本質とルールの違い、そして愛についてマスターし、自然で自由に自分らしく生きる秘訣である『愛の億万長者』をこのまま封印してしまうのは、あまりにも申し訳ない。

より多くの人に、人生の質をより高め、改善するための秘訣である『愛の億万長者』を学んで頂き、もっと幸せになってほしい。

そんな思いから、ジェームス・スキナーは『愛の億万長者』を書籍として公開する事にしました。


。。。。。。。。。。。。。。。。。。。。。。。。。。。。。。。。。。。。。。

新丸子西口歯科はデンターネット

 

に参加してます。皆さんのおかげで、川崎中原区で46位になっています。ありがとうございます。

新丸子西口歯科、良いね」と思って頂ける方はこちら

 

からデンターネットに行って「新丸子西口歯科」の「HP」というボタンをクリックして下さい。投稿も大募集中です!

株式会社QLife(キューライフ) に登録して商品をゲットし評価をお願いします。会員登録はここから




******************************************

お口の中から差し歯、入れ歯、詰め物を追放しましょう!
口の中の病気を治し、病気を起さない医療を目指します。
二度とお口の中へ変なものを入れなくても済むように
予防に精進いたしましょう!安全な矯正、美容を目指しましょう!

211-0063
川崎市中原区小杉町1-527-4 メゾンゴールド1A

新丸子西口歯科
松下勲夫

TEL&FAX 044-744-1181

川崎市の入れ歯なら新丸子西口歯科医院へ
顎関節症は新丸子西口歯科医院へ
神奈川県入れ歯・義歯センター・川崎市中原区新丸子の歯科医院

*******************************************

 

 


愛の億万長者の説明書きです。

神奈川県川崎市の歯科、新丸子西口歯科です。


ジェームス・スキナー氏の「愛の億万長者」エレガンス出版
約10000円(少し高いな〜)を読んで感想を述べます。

これについては数年前、メガイベントという一週間のLive seminerの
なかで一日を費やして勉強しました。

男女が入れ替わり相手の事を理解する為に面白い
事をやりました。

そして、改めて本を読み思い出したのは、どんなに男女平等とか
雇用機会均等法などを制定して男女の差をなくそうとしてもそれは、

別の意味で問題を生んでいるのではという危惧です。
平等は結構、しかし肩肘張って平等を主張して働いていると、男性の中性化と女性の中性化が起きるという事です。

その結果起きるのは、女性の男性エネルギーの出しすぎによる病気の多発です。女性はどうやっても女性のエネルギーを出さないと体に変調を来たすようです。

それを出さないで男性と同じように左脳を使うようなエネルギーばかりを使う仕事をしているとやはり体調に変化を来たすようになるということです。

婦人病の増加はこのような理由から来ているのかもしれません。又エネルギーの観点から言えば、男性のエネルギーが強い男性は、女性のエネルギーの強い方と引き合い結ばれやすいという事です。

ですから男女が共に働く職場では、男性の場合中性化が起こり女性の場合も同じことが起こるという訳です。

そのために中性同志では引き合う力が働かず結婚ができずに、また結婚しても離婚という現象を引き起こしているとか。

磁石でも電気でも反対の物が引き合うということですね。

男性は、たまには、男だけの中でそのエネルギーを高めて異性に対する魅力的なエネルギーを培ってください。

働く女性は、仕事が終われば、思いっきり女性らしいエネルギーを高められる化粧をしたりエステとか美に関するものとかを吸収し、異性への魅力を高めていけば、結婚できないとか、離婚してしまうというような事は少なくなるようです。

どんなに肩意地張りましても、一人では人生つまらないのでは?
男とは?女とは?今一度その違いを理解して人生をエンジョイするべきではないかと思った次第です。

又続きます。乞うご期待!


愛の億万長者の説明書きです。
・・・・・・・・・・・・・・・・・・・・・・・・・・・・・・・・・

男女関係、人間関係の問題の原因とは?

男女関係は、幸せな人生を語る上で、避けて通ることのできないテーマです。

恋愛や結婚は、人生の重要な要素の一つです。
恋愛や結婚生活がどれだけ充実しているかが、人生の充実度と幸福度を左右すると言っても過言ではないでしょう。

しかし、それほど重要な男女関係ですが、なかなかうまくいかないのも事実です。
結婚しても多くのカップルがうまくいかずに離婚してしまいます。
また、それ以前に結婚できない、恋人ができないと悩む人も数多くいます。

しかも、そのほとんどの人が、うまくいかない原因について見当もつかない状況。

見当もつかないから、相手が悪い、もしくは、自分が悪いと、相手や自分の人格や見た目を否定するしかありません。

しかし、男女関係の問題の多くは、単なる無知によるものなのです。

離婚の本当の理由とは?

離婚の理由の1位はなんだかご存知ですか?

『性格の不一致』

これは、日本だけでなく、世界共通なようです。

他にも多いのは『浮気』です。

しかし、『性格の不一致』も『浮気』も、本当の原因は同じなのです。

それは、異性に対する無知です。

結婚というものは、もともと生まれ育った環境が全く違うもの同士が結婚するわけですから、性格なんて違って当たり前です。

性格が合わないのに、付き合って、結婚するなんてそもそも変です。

じゃあ、なぜ、離婚の理由で『性格の不一致』が1位なのか?

それは、お互いに異性について、そして自分自身についても理解していないからです。

男と女の違いの本質とは?

男と女は、見た目や体のつくりが違うのはご存じのとおりです。

しかし、それ以外にも、男女関係、人間関係において重要な、
決定的な違いが存在するのです。

その男女関係、人間関係において重要な決定的な違いとは、
・本能的に望んでいるもの
・問題の解決法
・考え方
・人生への取り組み
・無意識にやっていること
です。

つまり、男と女では、人生のルールが根本的に異なるのです。

人生のルールが根本的に異なるもの同士が、一緒に住み、コミュニケーションを
すればどうなるでしょうか?

しかも、お互いのルールが違う事に気付くどころか、同じ人間だから同じルールで
生きている、わかって当然だと思っていたとしたら?

すれ違い、摩擦、衝突が怒って当然です。

『なんでこんな基本的なことがわからないんだ!そんなにKYなのか?
それとも、あえて・・・?嫌がらせ?』

困惑し、なぞは深まるばかりです。

しかし、そうした困惑やすれ違い、摩擦、衝突を引き起こす原因となる言動は、本人にとっては、相手のためによかれと思い、お互いの関係をより深めようとしてとっている行動だったりするのです。

相手も同じルールで生きていると思っているのだから、男性は男同士でやるようなやり方を、女性は女同志でやるようなやり方を、しかも相手とより親密になりたいから、それを最高のレベルでやります。

しかし、それがルールの違う相手にはどう映るのか?

『最高レベルの嫌がらせ』

です。

特に問題の解決法などは、この代表的な例です。

たとえば、男性が仕事でうまくいかない事があって家に帰ってきます。
こういうとき、男性は、一人の時間を必要とします。
一人で、自分と向き合い、解決しようとするのです。

そこで、何気なくテレビをつけてぼーっとしたり、音楽をかけてぼーっと考え事を
します。

女性は勘が良いので、彼の様子がおかしいことに気付き、『なにかあったの?』と聞きます。

なぜなら、女性にとって重要なのは、自分の大切な人と共有し、共感することであり、
女性は、問題を話して共有し、感情を解放することで問題を解決していくからです。

だから、女性同士ではこれが当たり前というか、最高の親切なのです。
女性の方は、二人の関係を良くしようとしているのです。

しかし、男性は『別に』と言って話したがりません。

この時、女性は、
『なんでこの人は私に自分の問題を打ち明けてくれないの?』
と、ストレスを感じてしまいます。

一方、男性も
『なんでほっといてくれないんだ。』
『無神経だ。』
とストレスを感じます。

さらに、女性は『まあ、話してくれないんだったら仕方がないわ。私の方から話そう』
と、今日あった事なんかを話しだします。

これも、女性は共有することで二人の仲を深めようとしての行動です。

でも、一人で問題を解決したい男性にとっては、『邪魔、嫌がらせをされている』と感じ、さらにイライラが募っていく・・・。

そして、女性には寂しさが募っていく・・・。

そこに必要なのは、男にたった15分だけ、一人でいる時間を与えるだけだというのに・・・。

これは、一つの例にすぎませんが、男と女の間のコミュニケーションでは、お互いのルールの違いを知らないために、こんなすれ違いは日常茶飯事で、お互いにストレスやフラストレーションを貯め込んでいます。

それなのに、男も女もその違いについて全く知らないので、すれ違っていることにすら気が付きません。

ただ、現実として残るのは、相手から与えられたストレスとフラストレーション。

幸せな男女関係を手に入れるには?

お互いのルールを知らなかったために、お互いの事を思いやるカップルがすれ違いを起こし、『性格が合わない』と思い込んでしまう。

非常に残念であり、悲しいことです。

しかも、これが、夫婦だったらどうでしょう?
こうしたミスコミュニケーションを毎日、毎日、繰り返し、どんどんストレスやフラストレーションを貯め込んでいき、必然的に毎日顔を合わせます。

顔を見るたびに、嫌な思いをする、それを繰り返すと、そのうち、顔を見るのも嫌になる。
これは、人間心理の原則です。

そして、『この人とは性格が合わない』と、思い込んでしまう。

本当は、お互いを思いやる夫婦なのに・・・
単に、お互いのルールを知らないためのすれ違いでしかないのに・・・

そして、目の前の異性が自分の本能的な欲求を満たしてくれないわけですから、もっと自分の欲求を満たしてくれそうな人、自分の寂しさを埋めてくれる人がいればついつい浮気してしまう。

これが『浮気』のプロセスです。

これを男も、女も原因を理解できずに無意識にやっている。
それが、現実なのです。

結婚している相手が自分の本能的な欲求を満たしてくれれば、そもそも浮気なんてする必要はないし、自分を満たしてくれる最高のパートナーを失うリスクを冒す必要もないのです。

『性格の不一致』も『浮気』も根本的な原因は同じ、お互いのルールを知らず、男と女の本質を知らない事が原因だったのです。

しかし、離婚をする本人たちも、浮気をする本人すらも、なんで浮気しているのかよくわかっていません。

だから、同じことを繰り返し、再婚して、また『性格の不一致』とか『浮気』を理由に離婚するのです。

そんな負のスパイラルに入らないように、
もしくは、負のスパイラルから抜け出すために
男と女それぞれの本能的に求めている究極の価値、人生観、大切なもの、タブー、
心の開き方、異性を喜ばせ、トリコにするための言動を学び、男と女のルールをマスターする必要があるのです。

そして、これらをマスターした時、単に問題が解決するだけではなく、
より豊かで、幸福感に満ち溢れた関係を異性と築くことができるようになります。

男女関係はビジネスも加速させる

男と女について学ぶことは、何も夫婦や恋人などの男女関係にだけ役立つわけではありません。

男と女のルール違いによるすれ違いや衝突は、相手が異性である限り、どこででも起きていますし、男と女の本質とルールを学ぶことで劇的に改善できます。

たとえば、父親と娘、母親と息子といった親子関係でも、大いに役立つでしょう。

また、もしかしたら、あなたが男と女の本質とルールを学ぶことで、最も恩恵をこうむるのは、職場での異性の社員や、上司、部下とのコミュニケーションかもしれません。

たとえば、あなたが男性の経営者や管理職であれば、どうしたらもっと女性の職員のやる気と能力を引き出す事が出来るかがわかるようになります。もちろん、逆も可能です。

男性と女性では、成長のポイントも、問題解決法も違うのです。

だから、女性社員を男性社員と同じように扱い、育成していては、いずれやる気をなくしてモチベーションの低い社員になるか、最悪、体調を壊したり、辞めてしまうことになります。

かといって、男性社員を女性社員と同じように扱っていては、いつまでたっても大人になりきれず成長しません。

あなたが男と女の本質とルールを学び、それを社内のコミュニケーションで活用すれば、社内のコミュニケーションや人間関係が、よりスムーズになり、社員のやる気と能力も高まることでしょう。

その結果、業務も円滑に回り、社員一人、一人が今まで以上のやる気と能力で仕事に取り組むわけですから、売り上げも当然アップするに違いありません。

さらに、この知識をお客様へのサービスや商品、接客に応用したとしたらどうでしょう?

お客様は、あなたのサービスや商品、接客によって、誰も与えてくれないレベルで本能から満たされるわけです。

なんだかよくわからないけど、あなたのサービスや商品、接客で、すごく気持ち良くなる。
幸せになる。

そうなれば、お客様は、あなたの商品やサービス、会社の大ファンとなり、リーピートするのはもちろん、周りにどんどん紹介してくれるようになります。

自由に、自然に、自分らしく生きる道

あなたが男と女の本質とルールを学ぶ事は、より自分らしく生きるためにも役立ちます。

なぜなら、人は、異性について知らないだけでなく、自分自身の性についても知らないからです。

人間というのは、自分のことほど見えないものです。

本能的に、または、無意識に反応したり、行動したりしていますが、その根本的な原因や心理的な要因については、全く理解していません。

本能のおもむくままに行動できる時、もしくは、その本能自体が健全な時は良いのですが、本能自体が弱っている時、ずれてしまった時には、根本的な原因、原理原則を理解していなければ、健全な状態に戻すことができず、体調を含め、さまざまな問題を引き起こすことになります。

男性でも、女性でも、その内面には、男性的なエネルギーも女性的なエネルギーも持ち合わせています。

エネルギーなんていうと、ちょっと怪しい感じがしますが、『本能』や『性質』という言葉と置き換えて理解していただければと思います。

通常は、男性は圧倒的に男性的なエネルギーを活用し、女性は女性的なエネルギーを活用するのが、自然な状態、自分らしい状態であると言えます。

しかし、仕事をしている女性というのは、どうしても仕事をするときは、男性的なエネルギーを使うように要求されます。

また、逆に、男性は、すぐにセクハラと言われ、より女性的なエネルギーを要求される現代社会では、男性的なエネルギーを発揮する場を失いつつあります。

つまり、現代社会では、男性が男性らしく、女性が女性らしく生きにくくなっていて、多くの人が性的に混乱した状態になり、より中性よりの人が増加しているのです。

その結果、多くの人が、男性にとっても、女性にとっても、異性を引き付ける能力が低下し、お互いに周りの異性に魅力を感じなくなっています。

さらに、混乱して自分自身が分からなくなったり、男として、または女として、自分に自信が持てなくなっています。

性的なエネルギーが弱まっていることで、自分らしく生きる事ができなくなってきているのです。

そして、その原因は、
本来、自分の性的なエネルギーの健全な状態がどういうものであるのか?
本能的に、どういうニーズや価値観を持っているのか?

そうした自分自身の男として、または、女としての本質を理解していないからです。

異性にとって魅力的な存在となる

あなたが男と女の本質とルールを学べば、
自分が本能的に、または、無意識にどういうものを求めているか?
本能的に、無意識に何を恐れているのか?
を理解できるでしょう。

そして、その本能的、無意識レベルで求めているものを満たすことで、自分本来の性的なエネルギーが健全な状態となり、

本能的、無意識に恐れている恐怖を知り、解決していくことで、自分本来の性的なエネルギーが強まり、男として、または、女として、より魅力的な男性、女性へと成長することができます。

そして、自分らしく、健康で、楽しく、充実して過ごす事ができるようになり、自分らしく振舞う事が、自然と、魅力的な異性を惹き付けることになるでしょう。

また同時に、日差しが強ければ強いほど、影の部分が濃くなるように、自分の性的なエネルギーが強くなるほど、周りの異性の性的なエネルギーを引き出し、健全な状態へと導いていきます。

それが、自然の法則なのです。

ですから、もし、あなたが、自分の恋人やパートナー、周りの異性に対し、
『男らしさ(または、女らしさ)が足りない』
と感じているとしたら、もしかしたら、それはあなた自身の状態を鏡に映し出しているだけなのかもしれません。

あなたが男と女の本質とルールを学ぶことは、あなた自身の性的なエネルギーを高め、自然で、自由で、自分らしく生きるために役立つだけでなく、周りの異性の性的なエネルギーさえもより健全な状態に導き、魅力を高めるわけです。

男と女の本質とルールはどこで学べるのか?

男と女の本質とルールを学ぶことは、自分らしく、自由で自然に生き、男女関係や人間関係で幸せになり、さらにはビジネスで成功するためにも不可欠なものです。

にもかかわらず、学校でも、家庭でも、この男と女の本質とルールについて、体系的に教えてはくれません。

多くの人が、悩み、問題を抱えているにも関わらず、誰もその原因について、そして、どうしたらいいかについて教えてくれないのです。

なぜなら、これまでは誰もそうした本能的な違い、無意識の行動による違いという部分に気付く人がいなかったからです。

潜在意識、本能、そして、男女の違いについては比較的新しい学問の分野です。

その研究の一部は、世界的に有名な男女関係の権威であるジョン・グレイ博士の書籍など、男女関係について書かれ、日本語に翻訳された書籍で、学ぶことができます。

しかし、体系的にまとめられたものは皆無です。

男と女の本質とルールの探究

そこで、一人の男が、男と女の本質とルールの探究を始めました。
その男の名は、ジェームス・スキナー。

ジェームスは、長年の間、周りの多くの人が男女関係で苦労するのを見聞きしてきました。
また、自分自身も女性とのコミュニケーションでは試行錯誤し、苦労と失敗の連続でした。

そこで、男女関係について学ぶために、さまざまな本を読み漁り、セミナーに参加しました。

しかし、その結果、男性の行動と女性の行動の違いと、喧嘩をしないですむためにはどうしたらいいのか?という表面的な対処方法のみでした。

そこには、男として、女としての本質は何か?
何がこの行動の違いを生み出す原因なのか?
異性とよりよい関係を築き、発展させるにはどうしたいいのか?
相手をより幸せにするにはどうしたらいいのか?
男、または女として、自分自身がより幸せになるにはどうしたらいいのか?

といった事は得られませんでした。

『男女関係とは、喧嘩をしないですむためのものではないだろう』

そして、『男と女がより幸せになる方法とは何か?』を求める探究が始まったのです。

その探求の中で、ジェームスは、
世界的な男女関係の権威であるジョン・グレイ博士をはじめ、世界中の男女関係の権威からメキシコの聖人、世界一のコーチ、心理学者から精神科医に至るまで、実際に結果を出している、その道の第一人者達から
・男と女の考え方、行動、ニーズや価値観の違い
・その心理的な要因、原因
など、単なる表面的な現象だけでなく、原因や心理的な要因に至るまで、男女関係、男と女の本質について、そして、同時に、幸せな男女関係を築くための秘訣、幸せな人生を築くための秘訣について学びを深めました。

そして、学んだ事を自らの実際に実践し、その検証をもとに体系的にまとめて行きました。

愛の億万長者の誕生

そうして出来上がったのが、『愛の億万長者』です。

愛の億万長者とは、男と女の本質と、そのルールの違い、そして愛についてマスターし、自然で自由に自分らしく愛と幸せに満ち溢れている人です。

自分の中に愛が満ち溢れているからこそ、惜しみなく他人に愛を与えることができます。
だからこそ、愛のために他人に依存する愛の乞食でも、他人から愛を奪う愛の泥棒でもなく、『愛の億万長者』なのです。

また、『愛の億万長者』は、そのマインドと知識をビジネス応用すれば、ビジネスにおいても成功し、金銭的にも億万長者となることでしょう。

これまでに、ジェームスは『愛の億万長者』をセミナーとして6回にわたって公開してきました。

その結果、
・離婚寸前だった夫婦がアツアツのカップルに戻ったり
・これまで全く恋人ができなかった女性が、自分本来の性のエネルギーを取り戻して1年以内に理想の男性と結婚したり
・女性スタッフとのコミュニケーションがうまくいくようになった男性経営者が1年で売り上げを3倍にしたり

と、数々の驚くような成果を生み出してきました。

しかし、現在、『愛の億万長者』は、8日間のセミナーの一部としてのみ公開され、参加費は最も安い席で42万円でした。

しかも、このセミナーは2009年の9月を最後に、今後は開催の予定がありません。

しかし、これだけ男女関係に悩む人があふれ、性的に混乱している人があふれる現代において、男と女の本質とルールの違い、そして愛についてマスターし、自然で自由に自分らしく生きる秘訣である『愛の億万長者』をこのまま封印してしまうのは、あまりにも申し訳ない。

より多くの人に、人生の質をより高め、改善するための秘訣である『愛の億万長者』を学んで頂き、もっと幸せになってほしい。

そんな思いから、ジェームス・スキナーは『愛の億万長者』を書籍として公開する事にしました。


・・・・・・・・・・・・・・・・・・・・・・・・・・・・・・・・・・・・・・・・・・・・・・・・・・・・・・・・・・・・・・・・・・・・・・・・・
新丸子西口歯科はデンターネット

 

に参加してます。皆さんのおかげで、川崎中原区で46位になっています。ありがとうございます。

新丸子西口歯科、良いね」と思って頂ける方はこちら

 

からデンターネットに行って「新丸子西口歯科」の「HP」というボタンをクリックして下さい。投稿も大募集中です!

株式会社QLife(キューライフ) に登録して商品をゲットし評価をお願いします。会員登録はここから




******************************************

お口の中から差し歯、入れ歯、詰め物を追放しましょう!
口の中の病気を治し、病気を起さない医療を目指します。
二度とお口の中へ変なものを入れなくても済むように
予防に精進いたしましょう!安全な矯正、美容を目指しましょう!

211-0063
川崎市中原区小杉町1-527-4 メゾンゴールド1A

新丸子西口歯科
松下勲夫

TEL&FAX 044-744-1181

川崎市の入れ歯なら新丸子西口歯科医院へ
顎関節症は新丸子西口歯科医院へ
神奈川県入れ歯・義歯センター・川崎市中原区新丸子の歯科医院

*******************************************

 

 


計画を立てても挫折する方へ!解決方法を教えます。目からうろこです。

神奈川県川崎市の歯科、新丸子西口歯科です。

計画を立てても挫折する方へ!解決方法を教えます。目からうろこです。

今年もあとわずか!
でも年初に決めた計画は今どうなっているのでしょうか?

本を読みそれから9/4大阪でセミナーにも参加した
石田淳氏のIS行動科学マネジメント。

殆どの人が何もできずに一年を終えることのなんと多いこと。
理由は計画を立てても実行できないからです。

うまくいかない理由は
?やり方がわからない。
?やり方はわかっているが「継続の仕方」がわからない。

?の方法はセミナーに行くとか本を読むとかで吸収できます。ただ、継続できずに挫折する方が多いのです。

それを解決する方法があります。
「今度こそ!」本気で目標達成したい人のための「続ける」技術・・・石田淳 フォレスト出版 

例えば忙しい、時間がないと言いながら行動の分析をしていない人が多いのです。まず分析、それから行動を分析して、

無駄にしている行動を避ける方法を考える。
そしてモチベーションを挙げて積極的行動する方法を考えるのです。

時間の無駄使いを減らす為に例えば
テレビ、パソコン、タバコ、付き合い、などなど・・・
テレビを見ないようにするために、コンセントを抜いておく。これだけでも何故か見なくなります。

新聞を見ないと思ったら、購読を止める。駅で買う習慣があれば朝一番に読む本を持ちこれを通勤時間で読むと決める。

プラスマイナスのモチベーションとしては、職場や家族の前で宣言する。テレビを見ない。新聞を買わない、そして違反したらペナルティーを科す。

やり遂げたらポイントをカレンダーに記載する。カレンダーに印をつけていく。期限までやり遂げたらお祝いをする。

などなど

プラスのモチベーションとマイナスのペナルティーを科すことにより行動は驚く程かわり目標実現ができるという訳です。


詳しくは上記の本をお読みください。これは役に立ちます。


新丸子西口歯科はデンターネット

 

に参加してます。皆さんのおかげで、川崎中原区で46位になっています。ありがとうございます。

新丸子西口歯科、良いね」と思って頂ける方はこちら

 

からデンターネットに行って「新丸子西口歯科」の「HP」というボタンをクリックして下さい。投稿も大募集中です!

株式会社QLife(キューライフ) に登録して商品をゲットし評価をお願いします。会員登録はここから




******************************************

お口の中から差し歯、入れ歯、詰め物を追放しましょう!
口の中の病気を治し、病気を起さない医療を目指します。
二度とお口の中へ変なものを入れなくても済むように
予防に精進いたしましょう!安全な矯正、美容を目指しましょう!

211-0063
川崎市中原区小杉町1-527-4 メゾンゴールド1A

新丸子西口歯科
松下勲夫

TEL&FAX 044-744-1181

川崎市の入れ歯なら新丸子西口歯科医院へ
顎関節症は新丸子西口歯科医院へ
神奈川県入れ歯・義歯センター・川崎市中原区新丸子の歯科医院

******************************************

 

 


口腔研クリニックのh.p.

神奈川県川崎市の歯科、新丸子西口歯科です。

口腔研クリニックのh.p.

昔、勉強に行っていた埼玉県上尾の渋谷病院が口腔研クリニック
名称変更していました。

衝撃を受けた本を読んでから20年以上の時間が経過したことになります。歯科医療と歯科でやっていることが全く違うものだという事を認識させてくれた病院です。

飯塚先生の本は難しいかもしれませんが、何故歯科医師が虫歯と歯周病を治せないかその理由をわからせてくれます。

クリックしてその著作の多さを確かめていただければ良くわかります。

『「歯」この孤独でかわいそうな肉体』
愛育社 2006 共著

『歯科受診の常識』
愛育社 2007


『歯の治療に不満な人が読む本』
書林 1982

『歯の治療費に不満ですか』
河出書房新社 1983






新丸子西口歯科はデンターネット

 

に参加してます。皆さんのおかげで、川崎中原区で46位になっています。ありがとうございます。

新丸子西口歯科、良いね」と思って頂ける方はこちら

 

からデンターネットに行って「新丸子西口歯科」の「HP」というボタンをクリックして下さい。投稿も大募集中です!

株式会社QLife(キューライフ) に登録して商品をゲットし評価をお願いします。会員登録はここから




******************************************

お口の中から差し歯、入れ歯、詰め物を追放しましょう!
口の中の病気を治し、病気を起さない医療を目指します。
二度とお口の中へ変なものを入れなくても済むように
予防に精進いたしましょう!安全な矯正、美容を目指しましょう!

211-0063
川崎市中原区小杉町1-527-4 メゾンゴールド1A

新丸子西口歯科
松下勲夫

TEL&FAX 044-744-1181

川崎市の入れ歯なら新丸子西口歯科医院へ
顎関節症は新丸子西口歯科医院へ
神奈川県入れ歯・義歯センター・川崎市中原区新丸子の歯科医院

******************************************

 

 


神田昌典『全脳思考』の本を読みました。

神奈川県川崎市の歯科、新丸子西口歯科です。

神田昌典『全脳思考』の本を読みました。

ただ,復習しようとしたのに帰りの東急線の座席の中に置き忘れてせっかくメモしたところとか書き込みが見れなくなりました。(残念)

経営コンサルタントのアイデアというかどうしたら解決法をひねり出せるかその新しい発想法について書いてあります。

まだ実際試していませんからどういう結果になるか想像できませんが、解決法が次々に浮かんでくるという手法に釘ずけになりました。

マインドマップとか色々な新しいアイデア創出法を紹介しているかたですから興味しんしんです。

天才の発想の仕方をわかりやすく解説して誰でもアイデアが生まれるようにしたという事がユニークですね。

『全脳思考』特設サイト
http://www.kandamasanori.com/zen-noh/



新丸子西口歯科はデンターネット

 

に参加してます。皆さんのおかげで、川崎中原区で46位になっています。ありがとうございます。

新丸子西口歯科、良いね」と思って頂ける方はこちら

 

からデンターネットに行って「新丸子西口歯科」の「HP」というボタンをクリックして下さい。投稿も大募集中です!

株式会社QLife(キューライフ) に登録して商品をゲットし評価をお願いします。会員登録はここから



*******************************************

お口の中から差し歯、入れ歯、詰め物を追放しましょう!
口の中の病気を治し、病気を興さない医療を目指します。
二度とお口の中へ変なものを入れなくても済むように
予防に精進いたしましょう!安全な矯正、美容を目指しましょう!

211-0063
川崎市中原区小杉町1-527-4 メゾンゴールド1A

新丸子西口歯科
松下勲夫

TEL&FAX 044-744-1181

川崎市の入れ歯なら新丸子西口歯科医院へ
顎関節症は新丸子西口歯科医院へ
神奈川県入れ歯・義歯センター・川崎市中原区新丸子の歯科医院

*******************************************

 

 


ボストン大学の日本人歯科医師の講演があります。

神奈川県川崎市の歯科、新丸子西口歯科です。


ボストン大学の日本人歯科医師の講演があります。


下記のような講演会があります。私も良く知る方ですが、アメリカに留学してそのまま同地で開業されました。

学生時代の成績が悪くとも(笑)や大学が有名でなくとも、海外留学すると何となく日本人には良い印象を与えます。特に日本の医療関係者はアメリカには未だ弱いところがあります。ですが、本当のところは、アメリカには日本のように保険制度がないために、競争が大変で勝ち抜いて生き残るのは、本当に大変なようです。

しかし、大学で習ったことを自分の意図する値段で患者さんに請求できるからやりがいもあるかもしれません。値段は高価ですが、患者もそれに見合った正確な治療を享受できるというわけです。そして歯科医師も満足できる報酬を確保しているのです。

彼も死に物狂いで勉強し生き残って来たのでしょう。保険医として生計もままならない現在の日本の歯科医療保険を考えると、インプラントや美容、矯正歯科に走る日本の歯科医師の姿にもある程度の理解もできます。

ですが、やはりお口の中に何かを入れたり、白くしたり、インプラントを入れたりすることでしか収入を得られないという事に私は矛盾を感じます。

患者さんが、はたして削られて白い歯を入れられたいのでしょうか?噛めないからといって骨に穴を開けて人工歯根(インプラント)を入れられたいのでしょうか?

入れ歯でもうまく作れば何でも噛めるし、費用も抑えられるし、虫歯と歯周病をしっかり治し管理していれば、二度と歯医者で何か入れられることもなく余計な負担をしなくていいのです。

何はともあれ専門医という肩書を持つアメリカの歯医者さんは少ないので
聴講する価値はあるようです。

インプラントは夢のようなそして天然の歯のようにはいかない代物であることは間違いないようです。

 
・・・・・・・・・・・・・・・・・・・・・・・・・・・・・・・・・・・・・・・・・・・・・・・・・


    

 

 

 

 

ボストン大学補綴学 蒲池史郎、蒲池久美子講演会 2009

インプラント補綴を考える  ‐予知性の高い治療のためのキーコンセプト

Current Concepts in Achieving Predictable Implant-Supported Restorations

 ボストンで補綴専門医として活躍する蒲池史郎、久美子ご夫妻による講演会を開催いたします.今回はインプラント補綴にフォーカスを当て、その診断、治療計画、外科、補綴治療のプロセスを網羅し、予知性の高い補綴を得るため重要なポイントについて解説していただきます.

 皆様の参加をお待ちしています.                                          二階堂 雅彦

 

日時 1130() 午後7時〜9
場所:東京歯科大学水道橋病院2F 血脇記念ホール
 歯科医師、歯科技工士5000円 
 学生、研修医 3000

主催:東京歯科大学水道橋病院総合歯科、歯周病勉強会

≪講演要旨≫

インプラントが歯科治療に取り入れられるようになり治療法のオプションが格段に広がっています。しかしながら、日常臨床において、患者と歯科医師が共に満足できる結果を得ることは容易ではありません。

このプレゼンテーションでは予知性の高いインプラント補綴を念頭に置いた診断、治療計画の立て方、また治療の実際を、症例を交えながら検討します。

 

略歴: 蒲池 久美子 先生  Kumiko Kamachi, DMD 

1991       九州歯科大学卒業
1994      
ボストン大学歯学部AEGD (Advanced Education in General Dentistry)修了
1996
      ボストン大学歯学部補綴科大学院修了アメリカ補綴専門医
現在       ボストン市内で補綴専門のクリニックを開業

ボストン大学歯学部臨床准教授 (Clinical Associate Professor, Dept. of Restorative Sciences and Biomaterials, Boston University Goldman School of Dental Medicine)

 

蒲池 史郎 先生 Shiro Kamachi, DMD

1991       九州歯科大学卒業
1995
      ボストン大学歯学部補綴科大学院修了アメリカ補綴専門医
現在       ボストン市内で補綴専門のクリニックを開業

ボストン大学歯学部臨床准教授 (Clinical Associate Professor, Dept. of General Dentistry, Boston University Goldman School of Dental Medicine)

 

<お申込について>

□ 下記の申し込みフォームを利用していただき、メールまたはFAXにてお申し込みください。

□ 下記の口座に1127日までに会費のお振り込みをお済ませください。(振り込み手数料はご負担くださいますようお願いいたします)

□ 当日、会場内での現金の受け渡しはできませんのでご了承くださいませ。
 

=====「振り込み口座」=====

 三菱東京UFJ銀行 八重洲通支店普通口座 1060122  歯周病勉強会 代表 二階堂雅彦


   多数のご参加をお待ちしております.

 
〜〜〜〜〜〜〜〜〜〜〜〜〜〜〜〜〜〜〜〜〜〜〜〜〜〜〜〜〜〜〜〜〜〜〜

蒲池先生講演会2009 インプラント補綴を考える ‐予知性の高い治療のためのキーコンセプト


 
参加申込フォーム   講演会 1130日 午後7時〜9時
             東京歯科大学水道橋病院2F 血脇記念ホール

   講演会        ×    人数 

   お名前 

 

   住所 

 

   所属 

   連絡先         

 

 メール、 FAX送信先
二階堂雅彦 nikaido@perio.ne.jp    佐氏英介  nikaido-s@perio.ne.jp

FAX 03-3516-1687 

 

<お問合せ先・連絡先>

二階堂歯科医院

TEL 03-3516- 1688     二階堂 雅彦、 佐氏英介

 



・・・・・・・・・・・・・・・・・・・・・・・・・・・・・・・・・・・・・・・・・・・・・・・・・・・・・・・

新丸子西口歯科はデンターネット

 に参加してます。皆さんのおかげで、川崎中原区で46位になっています。ありがとうございます。

「新丸子西口歯科、良いね」と思って頂ける方はこちら

 

からデンターネットに行って「新丸子西口歯科」の「HP」というボタンをクリックして下さい。投稿も大募集中です!

株式会社QLife(キューライフ) に登録して商品をゲットし評価をお願いします。会員登録はここから



*******************************************

お口の中から差し歯、入れ歯、詰め物を追放しましょう!
口の中の病気を治し、病気を興さない医療を目指します。
二度とお口の中へ変なものを入れなくても済むように
予防に精進いたしましょう!安全な矯正、美容を目指しましょう!

211-0063
川崎市中原区小杉町1-527-4 メゾンゴールド1A

新丸子西口歯科
松下勲夫

TEL&FAX 044-744-1181

川崎市の入れ歯なら新丸子西口歯科医院へ
顎関節症は新丸子西口歯科医院へ
神奈川県入れ歯・義歯センター・川崎市中原区新丸子の歯科医院

*******************************************

 

ブランドの力…ラーメン編

PT340003
ブランドの力…ラーメン編






PT340004







PT340002








神奈川県川崎市の歯科、新丸子西口歯科です。

水曜日に横浜の東急ハンズへ「カギフック」を購入しに
行って来ました。

帰り途に横町を散策、すると何かテレビで見たことがある
屋号のラーメン店の看板が目につきました。

池袋に「大勝軒」というツケ麺発祥のラーメン店がありその
お弟子さんが名前をやはり「大勝軒」という名前で開業していました。

そのまま屋号を盗む事は許されないのですが、弟子である
とことわって、堂々とその名前で集客に成功しているようでした。

店には「大勝軒」のおやじさんの写真、シャツはおやじさんの似顔絵と
大勝軒の文字。最初からブランド化に成功していますね。

横町でありながら客足はまずまずでした。


新丸子西口歯科はデンターネット

 に参加してます。皆さんのおかげで、川崎中原区で46位になっています。ありがとうございます。

「新丸子西口歯科、良いね」と思って頂ける方はこちら

 

からデンターネットに行って「新丸子西口歯科」の「HP」というボタンをクリックして下さい。投稿も大募集中です!

株式会社QLife(キューライフ) に登録して商品をゲットし評価をお願いします。会員登録はここから


*******************************************

お口の中から差し歯、入れ歯、詰め物を追放しましょう!
口の中の病気を治し、病気を興さない医療を目指します。
二度とお口の中へ変なものを入れなくても済むように
予防に精進いたしましょう!安全な矯正、美容を目指しましょう!

211-0063
川崎市中原区小杉町1-527-4 メゾンゴールド1A

新丸子西口歯科
松下勲夫

TEL&FAX 044-744-1181

川崎市の入れ歯なら新丸子西口歯科医院へ
顎関節症は新丸子西口歯科医院へ
神奈川県入れ歯・義歯センター・川崎市中原区新丸子の歯科医院

******************************************

 

 

耳の中や顎が痛い患者さんが来られました。


神奈川県川崎市の歯科、新丸子西口歯科です。


耳の中や顎が痛い患者さんが来られました。


先日電話がありまして、とにかく左の耳や顔や首などがおかしい、痛い,整体やカイロに行っても治らないという方が、予約は来週なのにも拘わらず我慢できないということで、急きょ来院されました。

調べてみると耳の音は耳の前にある顎関節の音なんですね。それが響いて音が反響しているようでした。あとは両肩もこっているしイライラして良くくいしばりをしているようです。

元元イライラすると、すぐ食いしばる癖があるようなのです。そしてお話を聞くと左の顔面から首、頭に色々な症状があることがわかりました。

そして極めつけは、最近血圧が高いという事で一年前より降圧剤を服用しているようです。

ミカルディス
アンジオテンシン2受容体拮抗性の降圧剤

顎の関節そのものの病気とかの問題ではなく、その周りの筋肉などに問題を起こして顎の不調や首、肩、頭、耳、目、顔面に症状を起こしている方が多いようです。

薬は症状を抑えるだけで、原因を特定してそれに対処しない限り症状が解決しません。まあ。薬で良くなる病気は極めて少ないような気がしています。

症状を改善する薬には、症状を抑えるものが殆どです。しかし、東洋医学や伝統療法では、症状を生体が治ろうとする時に起きる反応と考え積極的に後押しするような薬や方法が主流です。


例えば、風邪をひいた時に熱が出るのは、免疫力をフル動員する為であり、ウイルスを殺す為でもあるのです。(熱に弱い)

咳が出たり、くしゃみが出るのもウイルスという病原体を体外に押し出すために体が行う排泄作用なんです。

そのような症状を抑える薬ばかりを使えば、ウイルスが生き残る事になり回復が遅れるのは自明の事ですね。

この方にお話ししたことは、原因は薬でありその副作用やもともと緊張しやすく自律神経に乱れが生じやすいからではないかということです。

・感情のコントロール
・食べ物
・有酸素運動
・ストレッチ

などに注意するようにお話しました。運動もせず血液や体液の循環が悪くなれば、病気になるのは自明のことです。

殆どの病気は生活習慣の乱れから生じると考えた方が無難です。薬で早く何とかしたいという気持ちもわからないではありませんが、普段の生活に注意しない限り病と縁は切れないようです。

まあ、そうは申しましてもプロですから、症状をとりあえず除いてあげないと患者さんは満足されません。

そういう治療もやりますが、再発しないためには理屈、メカニズムを理解して普段の生活に注意しない限り完治は難しいのです。

そして、ご自分で治す方法を覚えてもらい、自分で何とかするというスタンスでお話ししています。


 アンジオテンシン2受容体拮抗性の降圧剤

主成分名:

テルミサルタン

製薬会
社:

日本ベーリンガー

薬価:

154.20円 (40mg1錠)


新丸子西口歯科はデンターネット

 に参加してます。皆さんのおかげで、川崎中原区で46位になっています。ありがとうございます。

新丸子西口歯科、良いね」と思って頂ける方はこちら

 

からデンターネットに行って「新丸子西口歯科」の「HP」というボタンをクリックして下さい。投稿も大募集中です!


株式会社QLife(キューライフ) に登録して商品をゲットし評価をお願いします。会員登録はここから


*******************************************

お口の中から差し歯、入れ歯、詰め物を追放しましょう!
口の中の病気を治し、病気を興さない医療を目指します。
二度とお口の中へ変なものを入れなくても済むように
予防に精進いたしましょう!安全な矯正、美容を目指しましょう!

211-0063
川崎市中原区小杉町1-527-4 メゾンゴールド1A

新丸子西口歯科
松下勲夫

TEL&FAX 044-744-1181

川崎市の入れ歯なら新丸子西口歯科医院へ
顎関節症は新丸子西口歯科医院へ
神奈川県入れ歯・義歯センター・川崎市中原区新丸子の歯科医院

*******************************************

 

 

虫歯の治療と、被せたり詰めたりすることの違い。


神奈川県川崎市の歯科、新丸子西口歯科です。

虫歯の治療と、被せたり詰めたりすることの違い。

今日来られた方も以前治療したところが原因で顔が腫れてきて来院されました。

何故?再発するのか。それは虫歯というばい菌の塊を除去する時には時間と手間をかけないと完全に除去できないのです。

そして痛くしない為に注射をして神経を麻痺させたりします。これも問題があります。

→再発する原因はばい菌の塊である虫歯を採り残してしまって気ずかないことがすべてです。完全に除去できていれば治療した歯が悪くなることはありません。未来永劫という感じで悪くなりません。

採り残しがあるから中で増殖し又痛くなってくるのです。
そして虫歯を採る時には常に神経の存在を意識しながらでないと危険です。そっと虫歯を除去していくと痛くもないし神経が近ずけば痛い訳ですから、より一層そっと採っていかなければなりません。

そうしてどうしてもばい菌が残っているのにも拘わらず、神経の近くまで感染してばい菌が残っている場合は、採れるだけ採った後アルカリ性のセメントを封入して数カ月経過すればもう痛くもありませんし、ばい菌も死んでしまいます。

それから完全な治療、材料に置き換えれば一生問題を起こさないのです。

新丸子西口歯科はデンターネット

 

に参加してます。皆さんのおかげで、川崎中原区で46位になっています。ありがとうございます。

新丸子西口歯科、良いね」と思って頂ける方はこちら

 

からデンターネットに行って「新丸子西口歯科」の「HP」というボタンをクリックして下さい。投稿も大募集中です!

株式会社QLife(キューライフ) に登録して商品をゲットし評価をお願いします。会員登録はここから



*******************************************

お口の中から差し歯、入れ歯、詰め物を追放しましょう!
口の中の病気を治し、病気を興さない医療を目指します。
二度とお口の中へ変なものを入れなくても済むように
予防に精進いたしましょう!安全な矯正、美容を目指しましょう!

211-0063
川崎市中原区小杉町1-527-4 メゾンゴールド1A

新丸子西口歯科
松下勲夫

TEL&FAX 044-744-1181

川崎市の入れ歯なら新丸子西口歯科医院へ
顎関節症は新丸子西口歯科医院へ
神奈川県入れ歯・義歯センター・川崎市中原区新丸子の歯科医院

*******************************************

 

 

肩こりと噛みあわせ

神奈川県川崎市の歯科、新丸子西口歯科です。
肩こりと噛みあわせ

本日来られた患者さんは左上の歯を4本治療して1本を単独で被せ、残りは、すでに間が1本無い為につないだブリッジというものになっています。当初受診されたときにすでに神経を抜いた状態で、かつ奥のブリッジは、ガタガタの仮歯の状態でした。

そしてその仮歯の調子が悪く何回も調整しました。そして調整してもダメなので新しく作り直し、虫歯や歯周病を治療してからやっと被せたのですが、なかなかしっくりこないのです。

おそらく高いのだろうということで、何度も咬合調整と言いまして金属を削りながら高さを調整しています。

やりすぎて低くなりすぎては噛み切りにくくなりますからそれも問題なんですが、沢山歯をいじくっている場合、このかみ合わせの高さがなかなか決定しにくいのです。

そして本人曰く、「雑誌に噛みあわせが悪いと肩こりがひどくなるって書いてあったんですけれど、これが原因ですかね。ひどい肩こりなんですよ!」と。

そこで因果関係をお話しましたが、噛み合わせと肩こりなどの筋肉の痛みはあまり関係ありません。(強く当たる事により不快感がありイライラするようです。)

そして調べみると右も左も首も上半身全体に痛みがあるようなんです。これは精神の緊張から交感神経という自律神経の緊張により、乳酸という疲労物質が蓄積しているからなんです。

筋肉内で酸素が不足しているから嫌気的解糖というメカニズムが働き乳酸という酸がたまり酸性化しているんですね。

これが原因なんですね。ですから結果に注目するのではなく呼吸法やイライラしないようにリラックス法を教えて挙げました。

姿勢が悪いと首を前に出してしまい、背骨全体ではなく首や肩の筋肉だけで支えようとすると肩に筋肉がはってくるんです。

ですから姿勢も教えました。又一人肩もみ法などはいかがでしょうか?
自律神経免疫療法でもいいと思いますよ。


呼吸法については
西野 皓三氏
http://www.nishinojuku.com/

水戸黄門にでる女優の由美かおるさんは、この呼吸法をやっている
おかげでいつまでも若々しいお肌を守っているのだとか。

心身統一合氣道 藤平光一氏
http://www.ki-society.com/

などを参考にされるとよいと思います。

自律神経免疫療法
http://www.geocities.jp/seiketusiraku/


新丸子西口歯科はデンターネット

 

に参加してます。皆さんのおかげで、川崎中原区で46位になっています。ありがとうございます。

「新丸子西口歯科、良いね」と思って頂ける方はこちら

 

からデンターネットに行って「新丸子西口歯科」の「HP」というボタンをクリックして下さい。投稿も大募集中です!

株式会社QLife(キューライフ) に登録して商品をゲットし評価をお願いします。会員登録はここから



*******************************************

お口の中から差し歯、入れ歯、詰め物を追放しましょう!
口の中の病気を治し、病気を興さない医療を目指します。
二度とお口の中へ変なものを入れなくても済むように
予防に精進いたしましょう!安全な矯正、美容を目指しましょう!

211-0063
川崎市中原区小杉町1-527-4 メゾンゴールド1A

新丸子西口歯科
松下勲夫

TEL&FAX 044-744-1181

川崎市の入れ歯なら新丸子西口歯科医院へ
顎関節症は新丸子西口歯科医院へ
神奈川県入れ歯・義歯センター・川崎市中原区新丸子の歯科医院

******************************************

 

 

10/12(体育の日)東京の笹川記念会館で日本ホメオパシー医学会が開催されました。

神奈川県川崎市の歯医者、新丸子西口歯科です。


10/12(体育の日)東京の笹川記念会館で日本ホメオパシー医学会が開催されました。

今年は前年に比べて約半数しか集まっていないようでした。私は用事のために途中退席してすべては聞けませんでしたが、それぞれ臨床例を発表している方がいて頑張っているな〜という感じです。

今年もイギリスから偉い先生が見えられたようですが残念ながら聞いていません。昨年はとてもよかったのですが。
DSC00346







DSC00345







昨年はイギリスの専門医で、南アフリカで医師の資格を取得し現在はイギリスで医師にホメオパシーを教えている品のよい女医さんが、インドのサンカランメソッドを教えに来ていました。

インド、パキスタンはホメオパシーの医学大学校が100以上もありレベルは世界一ではないかという状態なんです。

何しろ外科、内科、耳鼻科、眼科、産婦人科などなどすべての科があり専門医がいるのですから、普通の医師と同じように病院なんですね。

DSC00244新丸子西口歯科はデンターネット

 

に参加してます。皆さんのおかげで、川崎中原区で46位になっています。ありがとうございます。

「新丸子西口歯科、良いね」と思って頂ける方はこちら

 

からデンターネットに行って「新丸子西口歯科」の「HP」というボタンをクリックして下さい。投稿も大募集中です!




株式会社QLife(キューライフ) に登録して商品をゲットし評価をお願いします。会員登録はここから




DSC00249







DSC00245







DSC00247









*******************************************

お口の中から差し歯、入れ歯、詰め物を追放しましょう!
口の中の病気を治し、病気を興さない医療を目指します。
二度とお口の中へ変なものを入れなくても済むように
予防に精進いたしましょう!安全な矯正、美容を目指しましょう!

211-0063
川崎市中原区小杉町1-527-4 メゾンゴールド1A

新丸子西口歯科
松下勲夫

TEL&FAX 044-744-1181

川崎市の入れ歯なら新丸子西口歯科医院へ
顎関節症は新丸子西口歯科医院へ
神奈川県入れ歯・義歯センター・川崎市中原区新丸子の歯科医院

******************************************

 

 

11/7.8.東京デンタルショーが東京ビッグサイトで開催されました。

神奈川県川崎市の歯医者、新丸子西口歯科です。

11/8(日)東京ビッグサイトでデンタルショーが開催されました。

PT340023







PT340024







今回は久しぶりに参加したこともあり見る物を限定してだらだらと
時間を過ごすことを止めて、とにかく目指すデンタルチェアーのみを

最初に物色しました。
PT340020







驚いたのはCTによる3D(三次元的な立体像)によるリアルな骸骨と歯や筋肉の像です。患者さんにはえげつない感じもあるかもしれませんが、骨と歯牙の状態が一目了然でインプラントや手術或いは抜歯、根管治療などにはとても貴重な情報を与え、患者説明には、とてもわかりやすい情報

として使えそうです。買いたい!
PT340021








PT340022







又1000万円以上しますが、歯削った直後にコンピューターで形を読み取りセラミックをその場で作るという機械が展示したありました。

こんなもの誰が使うのかと思っていましたが、すでに購入している方が増えてきているそうです。

美容に関心があるかたが多いのかな〜。

機械の進歩は早いですね。皆さん来てくださいね。そうすれば購入しますから。(笑い)値段は少しばかり高くなりますが、お急ぎの方にはいいかもしれません。

新丸子西口歯科はデンターネット

 

に参加してます。皆さんのおかげで、川崎中原区で46位になっています。ありがとうございます。

「新丸子西口歯科、良いね」と思って頂ける方はこちら

 

からデンターネットに行って「新丸子西口歯科」の「HP」というボタンをクリックして下さい。投稿も大募集中です!

株式会社QLife(キューライフ) に登録して商品をゲットし評価をお願いします。会員登録はここから

*******************************************

お口の中から差し歯、入れ歯、詰め物を追放しましょう!
口の中の病気を治し、病気を興さない医療を目指します。
二度とお口の中へ変なものを入れなくても済むように
予防に精進いたしましょう!安全な矯正、美容を目指しましょう!

211-0063
川崎市中原区小杉町1-527-4 メゾンゴールド1A

新丸子西口歯科
松下勲夫

TEL&FAX 044-744-1181

川崎市の入れ歯なら新丸子西口歯科医院へ
顎関節症は新丸子西口歯科医院へ
神奈川県入れ歯・義歯センター・川崎市中原区新丸子の歯科医院

*******************************************

 

 

精神科の話し

神奈川県川崎市の歯医者、新丸子西口歯科です。

精神科の話し

10月18日横浜にある歯科医師会館で同窓会主催の学術で精神科の加来明希子先生という産業医という方のお話をお聞きいたしました。

普段は横浜戸塚にある日立戸塚病院で産業労働関係の医師として統計や日立の職員の治療にあたっているようです。

痴呆の方や精神分裂病(現在は統合失調症と言うそうです。)うつ病の患者さんのお話を聞きました。

特にうつ病や躁鬱病などの患者さんに興味があったのです。

DSC00348







顎関節症を訴える人の中には、鬱病や躁鬱病の薬を飲んでいる人がいるのです。

そして薬の副作用ならば薬を止めていただかなければ良くならないのです。ですから止めてもらうと同時に病気である鬱や躁鬱を何とかしなくてはなりません。

私が良くお話しているのは、
NLPなどのような感情のコントロール方法です。
・・・・・・・・・・・・・・・・・・・・・・・・・・・・・・・・・・・・・・・・・・・・・・

神経言語プログラミングのアプローチは、特にビジネス・カウンセリング・スポーツに特に有効であるとされ、 現在、さまざまな団体でセミナーが行われている。 様々なNLPの研究家がアプローチを付け加えた結果、内容は多岐にわたるようになっている。 団体によっても違いがあり、ほとんどの団体で技法そのものを商品としていることから、セミナー以外の書籍で紹介されることが多い技法を記述する。

  • アンカリング 

 記憶感情が、直接は関係ないものと結びついている状態のこと。(ある映画を見ると、決まって父のことを思い出す等)これを利用して、(例えば)ある動作と肯定的な心理状態を結びつけ、動作によって肯定的な心理状態を作り出す。

  • リフレーミング

 物事の意味付けを変えること。例えば、「悪いことばかり考える」ことに、「慎重でよい」という評価を加えることで、肯定的になる。

  • VAKシステム

 人の認知の種類を視覚・聴覚・体感覚に分け、どの知覚を通せば、相手とコミュニケーションがとりやすいかを考える。

  • アイ・アクセシング・キュー

 目の動きによって、相手が考えている概要を知り、接近の手がかりとする。


・・・・・・・・・・・・・・・・・・・・・・・・・・・・・・・・・・・・・・・・・・・・・・・・・・・
又、内観法なども焦点を変えるという意味ではとても良いのです。

・・・・・・・・・・・・・・・・・・・・・・・・・・・・・・・・・・・・・・・・・・・・・・・・・・・

内観法は精神医学心身医学に応用され、森田療法と並んで代表的な日本製の精神療法心理療法)として知られる。なお、白隠の内観法と区別して吉本内観法と呼ばれることもある。

吉本の創始した内観法(単に内観とも)とは次のようなものをさす。

集中内観と日常内観の二つの段階に分けられる。

集中内観は研修所や病院などの静かな部屋に一週間こもり、外界とのやり取りを制限し、自分とかかわりの深い他者(特に母親が重視される)に対して自分がどうであったかを、次の三つの観点から調べるものである。

 

  1. してもらったこと
  2. して返したこと
  3. 迷惑かけたこと

この三つの観点を「内観三項目」(内観三問)という。一時間から二時間に一度、内観者(クライエント)のもとに面接者(セラピスト)が訪れ、面接を行う。内観者はその時間に調べた内容を懺悔告白し、面接者はその内容を傾聴する。

 自分の心を直接掘り下げるのでなく、他者をいわば鏡として外から自分を客観視する点が特徴。一週間の集中内観により、しばしば劇的な人生観、世界観の転換が起こり、心身の疾患が治癒することが多い。認知の枠組みが転換する点は認知療法と共通するものがある。

日常内観は集中内観で会得した反省の技術を生かし、日常生活の中で毎日、一定時間、内観三項目を通して自分を調べる。吉本はこれを非常に重視した。

新丸子西口歯科はデンターネットに参加してます。皆さんのおかげで、川崎中原区で46位になっています。ありがとうございます。

「新丸子西口歯科、良いね」と思って頂ける方はこちら

 からデンターネットに行って「新丸子西口歯科」の「HP」というボタンをクリックして下さい。投稿も大募集中です!


株式会社QLife(キューライフ) に登録して商品をゲットし評価をお願いします。会員登録はここから



*************************************

お口の中から差し歯、入れ歯、詰め物を追放しましょう!
口の中の病気を治し、病気を興さない医療を目指します。
二度とお口の中へ変なものを入れなくても済むように
予防に精進いたしましょう!安全な矯正、美容を目指しましょう!

211-0063
川崎市中原区小杉町1-527-4 メゾンゴールド1A

新丸子西口歯科
松下勲夫

TEL&FAX 044-744-1181

川崎市の入れ歯なら新丸子西口歯科医院へ
顎関節症は新丸子西口歯科医院へ
神奈川県入れ歯・義歯センター・川崎市中原区新丸子の歯科医院

*************************************

 

 

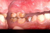
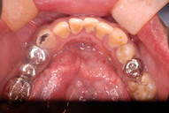
歯無しにならない長い話し

神奈川県川崎市の歯医者、新丸子西口歯科です。

歯無しにならない長い話し

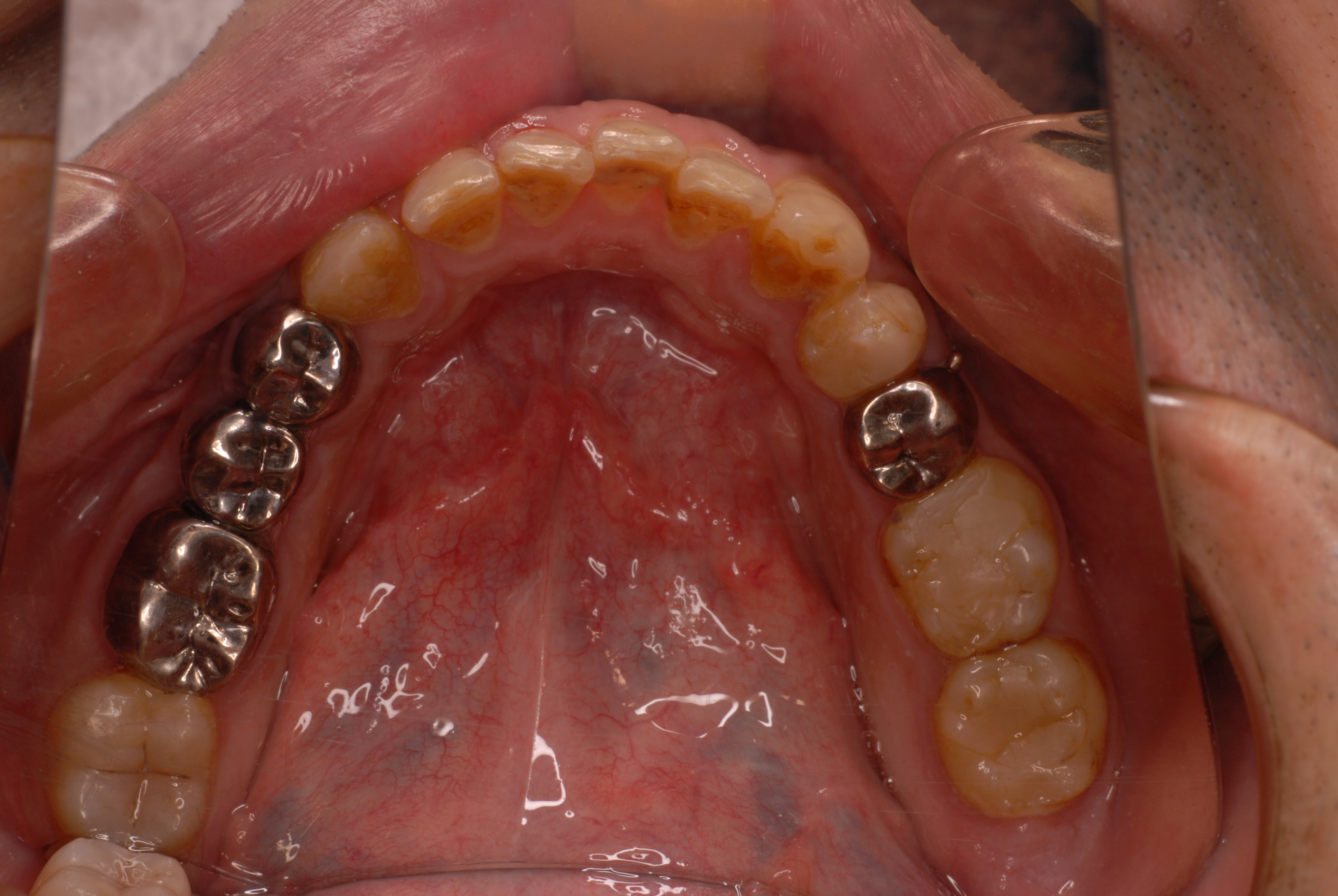
今回約1年近くかかった方のとりあえずの治療が終了しました。

でも、歯医者がどんなに何かを被せても元の健康な状態になった訳ではないのです。歯医者さんは、何かを詰めたり被せたりしますけれど、これは、修復でありお口の中に何か造作をしたに過ぎません。

磨かなければ、磨けなければすべて崩壊して入れ歯、或いは人工歯根へまっしぐらなんです。

お口の中の病気は基本的には、虫歯、歯周病、そして神経の処置以外にはあまりないのです。ですからばい菌で悪くなる訳ですからばい菌を毎日毎日取り除く以外に崩れていくのを止める方法はないのです。

ブラシの使い方に習熟しましょう。

最初の状態です。若いのにすぐ外れる入れ歯をいれていらっしゃいました。
DSC_0167DSC_0162







DSC_0166DSC_0165







DSC_0164







そしてひとまず終了した状態です。

DSC_0018DSC_0023







DSC_0027







このように綺麗になりましたが元の健康な状態になったのではないのです。ばい菌が歯の周りから採れていなければ元の木阿弥。

おそらく差し歯にもできず入れ歯かインプラントという人工歯根になる事でしょう。いやはやいくら費用がかかるのやら患者さんのことながらため息が出ます。

歯医者では病気を治していないことが多いのです。ただ詰めたり被せたりしているのに過ぎません。注意しないともっとひどいことになります。

そして、虫歯や歯周病、そして神経の処置は医療行為ですから誰でも100%うまくいくかというと、うまくいっていないことが多いのです。医療行為は難しいのです。良い歯の医者に当たる事を祈ります。


歯に何かを被せることは医者のやることではなくお口の大工さんがやることなのです。ですから歯医者は、大工と医者を同時にやっていることになりますね。

歯医者から口腔科の医師へ脱皮しなければなりません。日々精進あるのみ!

新丸子西口歯科はデンターネットに参加してます。皆さんのおかげで、川崎中原区で46位になっています。ありがとうございます。

「新丸子西口歯科、良いね」と思って頂ける方はこちら

 からデンターネットに行って「新丸子西口歯科」の「HP」というボタンをクリックして下さい。投稿も大募集中です!


株式会社QLife(キューライフ) に登録して商品をゲットし評価をお願いします。会員登録はここから


*************************************

お口の中から差し歯、入れ歯、詰め物を追放しましょう!
口の中の病気を治し、病気を興さない医療を目指します。
二度とお口の中へ変なものを入れなくても済むように
予防に精進いたしましょう!安全な矯正、美容を目指しましょう!

211-0063
川崎市中原区小杉町1-527-4 メゾンゴールド1A

新丸子西口歯科
松下勲夫

TEL&FAX 044-744-1181

川崎市の入れ歯なら新丸子西口歯科医院へ
顎関節症は新丸子西口歯科医院へ
神奈川県入れ歯・義歯センター・川崎市中原区新丸子の歯科医院

**************************************

 

 

林正孝氏講演会『目標達成と成功の極意』

神奈川県川崎市の歯医者、新丸子西口歯科です。

林正孝氏講演会『目標達成と成功の極意』
今日は11/3(祭)午後から渋谷の
shidaxというビルで講演がありました。それに行ってきたのです。

林正孝氏講演会『目標達成と成功の極意』hayashi[1]

林さんは現在、ソニー生命保険株式会社で
エグゼクティブライフプランナーとして活躍されています。

http://www.jamesskinner.com/1103/

ソニー生命保険株式会社 エグゼクティブライフプランナー

1962年広島県生まれ。

1987年中央大学法学部卒業後、ソフトウェア会社での営業を経て、大手人材サービス会社にて記録的なスピードで主任、マネージャーへと昇格。

年間MVPなど全てのタイトルを奪取。
1996
年にソニー生命株式会社入社以来、MDRT会員13年連続、現在も継続中(2006年度には10年連続により終身会員に)。
2003
年、2007年、2009年にはMDRT3倍の基準であるCOT会員、 2008年度には6倍の基準であるTOT会員となる。

若手経営者・営業マンに元気になってもらいたいと「林塾」を開催している。

著書に『1年の目標を20分で達成する仕事術』や『モチベーションに左右されずに結果をだす仕事術』(ともに大和書房)がある。

・・・・・・・・・・・・・・・・・・・・・・・・・・・・・・・・・・・・・・・・・・・・・
1どん底の生活から始まった学生時代、そして社会人生活。
世界に飛び出し日本の良いところと日本の悪いところを感じた。

2帰国子女とは別に出国侍を目指してはどうか?という提案。
違いを肌で感じる事が重要。

3日本ではホームレスでも餓死しない。生活できる。だから止められない。

服はどこかでただでくれる。(アメリカ軍の近くでは)
食いものはコンビニに行けば食える。
唯一難しいのは、靴飲み!

4松下幸之助から学んだのは、やり方ではなく目標を決めてやり遂げるという
考え方。

これは、成功者の“真似から始める事”
トーク、身振り、考え方特に考え方が最重要。


だから考え方をマネル事。

5アインシュタインの言葉
「常識とは、18才までに作られた枠組みである。」常識を疑いましょう!


対談者との話
・・・・・・
1目標に対するコミットメント

イメージを作る。成功している時の姿、スピーチをしている時の姿。
スピーチを考える。そして馬鹿になってやってみる。

毎日やる事は?書くこと?声を出してみること。

2出国侍になりましょう。今まで37ヶ国を訪問している。

日本はホームレスでも生活できる。又食べ物が美味しい。
お金や時間がないのは錯覚、旅費はめちゃめちゃ安い。

時間は秒単位で考える。そうするとかなり無限に感じる。


3錯覚が多い。・・・・営業マンは顧客を探し続ける事というのは錯覚。

一郎や一流の人のところには人が集まってくる。ファンができる。

だからファンを作る為にはどのような人間になったらよいのか考えた。
そうして行動した。

4セミナーでも勉強でも血肉になるまで何度もやる事。

5生活サイクルを見直す。

無限健康を実践して体作りから始めた。ビジネス面では、すべて即断即決ではなく即断即行。さっさとやらないと左脳が働き言い訳を考えるから。

いつも暇と言いなさい。何時から何時まで空いているという言い方。忙しいという言い方はやめる事。又時間はビジネス以外の時間を採りなさい!

その別の時間が新しいアイデアの源泉にもなるのです。お金がなくても900万円の自己投資をした。

6どうしたらできるようになるのか?

目標は一個のみ、まずそこに自分を追い込む。そして学んだことをシェアーする。体験をしてグループの共通言語をもつとラポールが形成される。

7モチベーションを維持するためには?

目標→これを社会正義に変える事。そして必ずvisual化して残す事。
例えば成功した時のスケジュール帳、表をコピーして残してみること。
できた事はmotivation を高める。

遊び感覚が重要!ポイントやご褒美、お祝いする事なんかもいいのです。

「やるぜ!ベイビー」

下記はジュエームズ事務所の麻生さんのコメントです。

・・・・・・・・・・・・・・・・・・・・・・・・・・・・・

良かったら参考にしてください。


・本気になる

林さんは、目標達成の極意は、本気で決意すること
だといわれました。

この目標が達成できなければ、家族や親戚が命を失う。
自分の大切なものを失う。

そのくらい追い込まれたら、どのくらい真剣に考え、
必死に行動するか?

そのレベルで目標に取り組む。

そうすれば、必ず、目標は達成される。


・自分を追い込む、気を失うまでやる

林さんはリクルート時代に、自分で自分に大きな目標を
与えて、それを達成するために、ぎりぎりまで、気を失う
までやるということをやられたといわれていました。

そして、その体験が、自分の限界を超え、枠を破り、
自分の限界を押し広げて、成長になった。

根拠の無い自信となり、成功の支えになっている。

といわれていました。

ジェームスも、常々、自分の限界を広げるために
チャレンジを自らに課すことが重要だといっています。

そして、これをストレッチと呼んでいます。

人間というのは、とてつもない可能性を秘めています。

しかし、人間はその能力の本来の限界よりもかなり、
低いところに自分で勝手に限界を設定しています。

しかし、その自分で設定している限界を超える経験を
すると、人間の意識はストレッチされ、以前の限界を
簡単に超えることができるようになります。

成功している人を見ていると、超人のように感じる
こともありますが、成功者というのは、生まれつき
すごい人だったわけではなくて、そうしたストレッチを
繰り返し経験したり、意識して自分に課して成長して
きた結果なのです。

林さんも言われていましたが、成功する人というのは、
今の自分よりも、ちょっとだけがんばる、1.01の
積み重ねを延々とやり続け、自分をストレッチし続けて
いるのです。


・時間が無い、忙しい、お金が無いというのは錯覚

私たちは、ついつい日々のやることの多さにばかり意識が
行き、忙しい、時間が無いといってしまいます。

また、何かをやりたいと思ってもお金が無いと思うことも
すくなくありません。

そして、それを言い訳にして、やりたいことをあきらめたり
先延ばしにしがちです。

その結果、夢が実現しなかったり、目標に近づけなかったり
します。

でも、本当は、真剣に時間を作ること、お金を作ること
に向き合っていないだけです。

そして、焦点や質問が悪いだけなのです。

自分のやらなければならないことばかり見ると、忙しく
感じます。

でも、休憩も無く、寝ずに、集中して24時間働いている
人はいません。

『どうしたら時間が作れるか?』
『暇な時間は何時から何時か?』
『どうしたらお金が作れるか?』
『どうしたらもっと安くできるか?』
『何を削れるか?』

そうした質問を自分に投げかけ、真剣に考え、真剣に調べれば
打開策は必ず見つかる。


・ピンチはチャンス

林さんのような成功者でも、他の成功者でも順風満帆で
ずっとうまくいっているわけではない。

モチベーションがあがらないときもあれば、
障害にぶつかるときもある。

特に、目標が自分自身だけのためだけだと、簡単に
モチベーションは萎える。

だから、その目標に、大義名分を付け加えることが
大事。

家族のため、会社のため、業界のため、社会のため、
国のため、世界のため。

自分のためであると同時に、自分以外の他の何かのため
という理由があると人のモチベーションは、長続きする。

そして、障害があっても、それを乗り越えれば、
振り子の法則で良い現実がやってくる。

成功体験を持っている成功者は、それを知っているから、
あえてリスクをとり、大きな課題を自らに課し、
自分を追い込んでいる。


・仕事と目標達成を楽しむ

義務感や責任感でやっても続かない。

ポイントは、いかに楽しむか。

仕事や目標をゲーム感覚で楽しむ。

この発想、思考の転換だけで、大きく行動が加速し、
アイデアが加速する。


新丸子西口歯科はデンターネットに参加してます。皆さんのおかげで、川崎中原区で46位になっています。ありがとうございます。

「新丸子西口歯科、良いね」と思って頂ける方は
こちら

 からデンターネットに行って「新丸子西口歯科」の「HP」というボタンをクリックして下さい。投稿も大募集中です!


株式会社QLife(キューライフ) に登録して商品をゲットし評価をお願いします。会員登録はここから


*******************************************

お口の中から差し歯、入れ歯、詰め物を追放しましょう!
口の中の病気を治し、病気を興さない医療を目指します。
二度とお口の中へ変なものを入れなくても済むように
予防に精進いたしましょう!安全な矯正、美容を目指しましょう!

211-0063
川崎市中原区小杉町1-527-4 メゾンゴールド1A

新丸子西口歯科
松下勲夫

TEL&FAX 044-744-1181

川崎市の入れ歯なら新丸子西口歯科医院へ
顎関節症は新丸子西口歯科医院へ
神奈川県入れ歯・義歯センター・川崎市中原区新丸子の歯科医院

*******************************************

 

 

 

アメリカの矯正の実習、講演会に参加してきました。

アメリカの矯正の実習、講演会に参加してきました。
10/31(
),11/1()

五反田のユーポートで、米国セントスイス大学、ハーバード大学で臨床教授も兼ねる

宮島先生という方の矯正の実習講演会に再参加してきました。

PAP_0007








PAP_0008








PAP_0016

 







PAP_0002








PAP_0005








PAP_0002








宮島教授日記

http://www.miyajimakuniaki.com/2009/01/post_33.html

国際矯正歯科

http://www.international-ortho.com/sub/intro/intro.html

ラーメン店新規開業 

本年4月にも参加しましたが、時間がなく復習ができていなかったからです。

もともとは平成9年頃、矯正は埼玉県の歯科総合病院、渋谷病院で飯塚先生という方に習いましたが、知識を持ったとしてもすぐやる気もちなどなくそのうちあまりやらなくなっていたものでした。


(飯塚哲夫先生 
http://homepage2.nifty.com/sesm/Frame.html )

 

講演内容です。
http://www.asahi-net.or.jp/~pr6k-ykym/gaku/sydb/2005iizuka.html


DSC00351


 

 



DSC00352







ただ、最近、他の診療所で矯正を受けた人の虫歯や歯周病の酷さに驚く事が多いという事と、やはり普通の歯科治療でも矯正を使うと好ましい歯科治療ができるのですから、費用が少しかかるとしても説明してより良き治療を提案したいと思うようになりました


新丸子西口歯科はデンターネット に参加してます。皆さんのおかげで、川崎中原区で29位になっています。ありがとうございます。

「新丸子西口歯科、良いね」と思って頂ける方はこちら

 からデンターネットに行って「新丸子西口歯科」の「HP」というボタンをクリックして下さい。投稿も大募集中です!

株式会社QLife(キューライフ) に登録して商品をゲットし評価をお願いします。会員登録はここから

*****************************************
お口の中から差し歯、入れ歯、詰め物を追放しましょう!
口の中の病気を治し、病気を興さない医療を目指します。
二度とお口の中へ変なものを入れなくても済むように
予防に精進いたしましょう!安全な矯正、美容を目指しましょう!

211-0063
川崎市中原区小杉町1-527-4 メゾンゴールド1A

新丸子西口歯科
松下勲夫

TEL&FAX 044-744-1181

 「川崎市の入れ歯なら新丸子西口歯科医院へ
顎関節症は新丸子西口歯科医院へ
神奈川県入れ歯・義歯センター・川崎市中原区新丸子の歯科医院
*****************************************