2018.9.30(日曜日)
9/30品川で藤井先生の講義
・・・・・・・・・・・・・・・・・・・・・・・・・・・・・・・・・・
筋反射によるテストと脳?に対する刺激を歯の三叉神経を刺激することによる、反射的な痛みなどの解決法らしい。
もっとすごいこともありますが、動画がないのです。認知症、動けない方が入れ歯を入れて噛んでいると動き始めたとか。
小生のスマホによる動画は、駄目でした。
川崎市中原区新丸子で開業している歯科医院の日常をお話しいたします。




・・・・・・・・・・・・・・・・・・・・・・・・・・・・・・・・・・・・・・・
211-0063
川崎市中原区小杉町1-527-4 メゾンゴールド1A
イサオ歯科クリニック
松下勲夫
TEL&FAX 044-744-1181
お口の中から差し歯、入れ歯、詰め物を追放しましょう!
口の中の病気を治し、病気を興さない医療を目指します。
二度とお口の中へ変なものを入れなくても済むように
予防に精進いたしましょう!安全な矯正、美容を目指しましょう!
・・・・・・・・・・・・・・・・・・・・・・・・・・・・・・・・・・・・・・・・・・
神奈川県川崎市の歯科、イサオ歯科クリニックです。
2018.9.24.(月曜日)振り替え休日
歯科病院での話 訳の分からない主訴(気になるところ)
訴えは「良く噛めない」だけ。
............................
痛いわけでもなく、シミル訳でもなく、良く噛めない。の一点張り。履歴というか病歴で言えば、ずいぶん前に歯の矯正をしている。その時も噛みにくい事があったようです。そしていつものことですが、虫歯になった奥歯、神経を抜いた歯もあるようです。
そしてその時被せた保険の銀歯?を兵庫県からわざわざ東京まできて審美歯科で、硬い、ジルコニアというセラミックに変えたところ、噛みにくいという感じになったそうです。
その後何度も噛みあわせの調整をしたそうですが、しっくりこずにあきらめて兵庫県に帰り、今回の発表した先生のところを受診したそうです。
所見では、ジルコニアを入れた上下の6才大臼歯は、まったく噛んでいないのです。だから何故そういわれるのかわからずに相談となったようです。
私もこれは歯科心身症ではないかと想像しました。心身症ともいえないのですが、分類上はそういう分類にしています。
名誉院長の意見では、間違いなく心身症だそうです。しかしながらこの原因は、患者の決めつけ、執着(歯がおかしい、変だ)によるものだそうで、それに効果があるとされる精神安定剤を投与すると9割よくなるそうです。
そこで患者も理解し、異常な執着が症状を誘発していたのだと気ずくそうです。それ以降殆ど訴えはないようです。
勉強が足りない事を痛感いたします。しかしこういう患者さんばかりだと経営できない事も間違いないのです。
昔、かような患者さんに来られて何回調整しても違和感が取れない方とかいまして閉口いたしました。
そして治らないからと捨て台詞を履いてキャンセルした方もいました。ある患者さんは、上下も右も左も仮歯だらけで、はずれたり、割れたりするばかり。その調整や再装着ばかりで、来なくなってしまう方もいました。15年以上前の話です。
こういう患者を相手にしている大学の歯学部には、東京医科歯科大学の歯学部、歯科心身症科ができています。先週お会いした元福岡大学口腔外科の先生の弟子で医科歯科大学の教授として栄転された方が、初代教授です。
その事を元福大の教授に話したところ、保険診療では使う薬が認められずに経営的に大学からかなり文句を言われていたそうです。
開業医では、中々厳しい保険制度での位置ずけなのです。本当はかような方を治療もできたほうが、世の中の為でもありますが、口腔外科領域や心身症関係の患者さんを治療できるようになるためには、かなりの努力と能力が必要ですし、開業医となればあきらめざるを得ないところがあります。
医師にもわからないところですし、大学の先生が優れているのでもない訳です。口腔外科で手術を受けた患者さんの症例検討もありましたが、まあ、患者さんを送りたくないと思ってしましまいました。
歯学部での教育が、医学的な物ではなく、職人教育ですし、その職人教育もかなり杜撰だと今では思っています。
医学的に考えると、歯学部で教えている事、例えば歯科矯正や補綴と言われる歯科医師がやることは、傷害行為でありかなり慎重にしないと歯や歯肉や関節などにかなりの損傷を来すという認識が必要なのです。
パラダイム変換が必要ですね。アメリカやスウェーデンから勉学して帰られる方が崇められる風潮は、未だ歯科界にはあるようです。しかし、虚しい限りです。医師からは馬鹿にされ、世間的には、受験生からも敬遠されて高校の進学指導では、先行き暗いと言われるそうです。
医学部をでた医師は口腔を専攻する方は現在は皆無。だから歯科病院に患者を回す先生もいます。或いは、自分で診断して見事に間違える方も多いのです。
少なくとも、保険医をやめて口腔の医療を極めるしか未来はなさそうです。美容とか歯科矯正、歯科インプラントで糊口をしのぐしかない現状では、世間様からの評価は、かなり厳しいと感じています。
ある男性の患者さんの話は、悲惨でした。噛み合わせが気になり何年も歯科医院通い。変化もなくノイローゼ気味。ついに会社を辞めて家に引きこもりになったとか。
社会的地位が上がることを願い、精進するしかないようです。あきらめて医師になったり、子供だけは、歯科関係に進ませないという歯科の先輩方に何人もお会いしました。
残念です。
・・・・・・・・・・・・・・・・・・・・・・・・・・・・・・・・・・・・・・・・・・・・・・・・・・・・・・・・・・・・・・・
イサオ歯科クリニックはQ-lifeに登録しています。
株式会社QLife(キューライフ)に登録して商品をゲットし評価をお願いします。会員登録はこちらから
「川崎市の入れ歯ならイサオ歯科クリニックへ」
「顎関節症はイサオ歯科クリニックへ」
入れ歯のことなら入れ歯専門のイサオ歯科クリニックへ
・・・・・・・・・・・・・・・・・・・・・・・・・・・・・・・・・・・・・・・
211-0063
川崎市中原区小杉町1-527-4 メゾンゴールド1A
イサオ歯科クリニック
松下勲夫
TEL&FAX 044-744-1181
お口の中から差し歯、入れ歯、詰め物を追放しましょう!
口の中の病気を治し、病気を興さない医療を目指します。
二度とお口の中へ変なものを入れなくても済むように
予防に精進いたしましょう!安全な矯正、美容を目指しましょう!
・・・・・・・・・・・・・・・・・・・・・・・・・・・・・・・・・・・・・・・・・・
・・・・・・・・・・・・・・・・・・・・・・・・・・・・・・・・・・・・・・・
211-0063
川崎市中原区小杉町1-527-4 メゾンゴールド1A
イサオ歯科クリニック
松下勲夫
TEL&FAX 044-744-1181
お口の中から差し歯、入れ歯、詰め物を追放しましょう!
口の中の病気を治し、病気を興さない医療を目指します。
二度とお口の中へ変なものを入れなくても済むように
予防に精進いたしましょう!安全な矯正、美容を目指しましょう!
・・・・・・・・・・・・・・・・・・・・・・・・・・・・・・・・・・・・・・・・・・
神奈川県川崎市の歯科、イサオ歯科クリニックです。
2018.9.23.(日曜日)
口腔の治療相談の話。埼玉県上尾市の歯科病院で
・・・・・・・・・・・・・・・・・・・・・・・・・・・・・
約JR片道で1140円の距離になった上尾市、20年ほど前は一旦上野駅まで行きそこでなんとか線に乗り換えて群馬方面に向かうという道筋でしたので、前日に近くのホテルに一泊して当日の朝をむかえていたのです。
今は直通がありますが、やはり1.6時間ほどかかりますので、かなり早起きをしないと10時には到達できない距離の場所です。
さて、本日一日だけの予定でしたが、参加している方の臨床での問題点を相談するという時間で費やしてしまい、残念ながら予定の話は尻切れトンボ。実質4.5時間で2万円という次第です。
高いのか安いのかわかりませんが、忙しい開業医では得るものも少なく参加人数が減り続けてしまった理由もうなずけます。相談者もきちんと式次第にのっとり文章にしないと怒られるので、気軽な相談ではないようです。
1、先ず一番目は、10才、右の前歯が反対咬合と言って上の歯と下の歯が逆の位置にあり、他の部分があまり咬合していない10才の子供の例でした。噛むと痛みが突然出てしばらく続いていたという症例。
診断を咬合性(歯と歯の噛みあわせ)の急性歯髄炎(神経の炎症)と判断したが、では治療はどうすればいいのかという相談。
あまり意見が出ず、何時ものようにオーナーの名誉院長の独断の話となりました。色々と飛び火して時間を食うのでうんざりする会員もいるのですが、仕方ない。
レントゲンと話の内容から、食いしばりや歯ぎしりによるものではなく、単純にぶつかる歯が少ないので、その時に前歯のところで何か硬い物などを噛んだために外傷性の痛みが来たのではないかという判断でした。炎症でもないので、奥歯にマウスピースなどを入れて前歯を当たらなくした後に、症状が緩解したら、反対咬合という上下の前歯の関係を簡単な小矯正で変更した方がいいという診断と治療方針の提案で解決しました。
成程という推理でしたね。
2、67才、女性、主訴は噛みあわせがおかしい。
矯正している。左の上下の6才大臼歯を保険の金属冠から都内の某所でジルコニアという硬いセラミック?冠に変えてからおかしくなっていったそうです。担当の歯科医師は削ったりしてどちらの歯も当たっていないぐらい削っているに違和感が取れないという主訴です。兵庫県の先生からの相談でした。
ここでも議論がわかずに、私も多分そうではないかと考えていたのですが、歯科心身症の方のようです。心身症というには、普通の方ですが、歯の部分の違和感や噛みあわせ云々と言われる方の殆どは、歯の治療に問題がなければ、歯科での治療に伴う異常な感覚がぬけなくなるという方がいるのです。
そこに執着するからでしょうか?
そこで「気のせいでしょうと」と説得しても患者さんは、満足せずに不信感をもつようです。だから、まずバランスという精神安定剤を服用してもらいます。(おそらく保険適応ではなく、病院のみ適応か?)
そこで症状がなくなったのちに種明かしをするとご理解いただけるという話でした。90%はよくなるそうです。
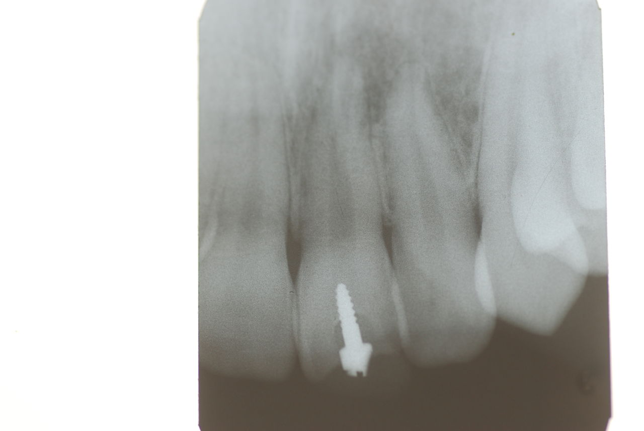
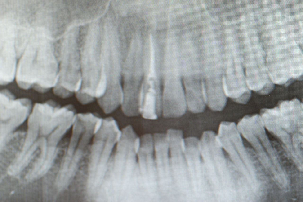
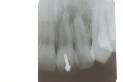
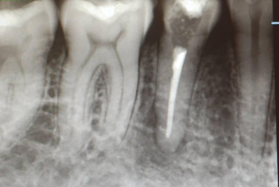
![42347345_1905117632898213_8797589667986800640_n[1]](https://livedoor.blogimg.jp/netdental/imgs/6/0/6077c8c8-s.jpg)
![42320511_1905117592898217_6663574363117191168_n[1]](https://livedoor.blogimg.jp/netdental/imgs/6/c/6c8f1f97-s.jpg)
![42331105_1905117749564868_6028166752339230720_n[1]](https://livedoor.blogimg.jp/netdental/imgs/f/7/f76577dc-s.jpg)
![42467511_1905117696231540_8332695080653553664_n[1]](https://livedoor.blogimg.jp/netdental/imgs/b/1/b1174177-s.jpg)
![42321886_1905117812898195_6947206899469123584_n[1]](https://livedoor.blogimg.jp/netdental/imgs/5/f/5fa188c0-s.jpg)
・・・・・・・・・・・・・・・・・・・・・・・・・・・・・・・・・・・・・・・・・・・・・・・・・・・・・・・・・・・・・・・
イサオ歯科クリニックはQ-lifeに登録しています。
株式会社QLife(キューライフ)に登録して商品をゲットし評価をお願いします。会員登録はこちらから
「川崎市の入れ歯ならイサオ歯科クリニックへ」
「顎関節症はイサオ歯科クリニックへ」
入れ歯のことなら入れ歯専門のイサオ歯科クリニックへ
・・・・・・・・・・・・・・・・・・・・・・・・・・・・・・・・・・・・・・・
211-0063
川崎市中原区小杉町1-527-4 メゾンゴールド1A
イサオ歯科クリニック
松下勲夫
TEL&FAX 044-744-1181
お口の中から差し歯、入れ歯、詰め物を追放しましょう!
口の中の病気を治し、病気を興さない医療を目指します。
二度とお口の中へ変なものを入れなくても済むように
予防に精進いたしましょう!安全な矯正、美容を目指しましょう!
・・・・・・・・・・・・・・・・・・・・・・・・・・・・・・・・・・・・・・・・・・・・・・・
![41320103_1887637697979540_5480357748342259712_n[1]](https://livedoor.blogimg.jp/netdental/imgs/c/e/ce8f0b87-s.jpg)
![41323149_1887638161312827_1215849432692555776_n[1]](https://livedoor.blogimg.jp/netdental/imgs/5/0/504365d7-s.jpg)
![41338147_1887638171312826_7071419316469497856_n[1]](https://livedoor.blogimg.jp/netdental/imgs/1/2/12e3a227-s.jpg)
神奈川県川崎市の歯科、イサオ歯科クリニックです。
2018.9.09.(日曜日)
磁性アタッチメントの臨床応用(入れ歯や取り外し式金属のブリッジと呼ばれるものへの応用)
...............................................................................
磁石を使い入れ歯(義歯)を安定させるという大学の先生の話をお聞きしに、横浜歯科医師会館にいきました。
ここ20年ぐらい歯科特有の話には興味をもてなかったのですが、それでもやはり入れ歯に於いてクラスプという歯にかかる金属のワイヤーが嫌だという女性の患者さんの要望にこたえられない事もままありましたので、そういう観点からは選択枝としてはある程度要望に応えられるのではないかと考えられた話でした。
ただし、使う部分は死んだ歯ですから虫歯になりやすい、歯周病になりやすい、破折しやすいなどの死んだ歯特有のリスクがあります。
又、医科で使用されるMR検査では、磁気の為に映像が得られないというリスクを抱えていたのですが、今は簡単に歯の中に入れ込んだ磁性体ははずせるようです。
![40131349_1869885899754720_2517269053601480704_n[1]](https://livedoor.blogimg.jp/netdental/imgs/5/7/57c209fd-s.jpg)
![40038377_1869886179754692_5954866607082700800_n[1]](https://livedoor.blogimg.jp/netdental/imgs/1/2/1232473d-s.jpg)
![40129675_1869578846452092_2512851744162054144_n[1]](https://livedoor.blogimg.jp/netdental/imgs/1/2/12409f80-s.jpg)
![40143872_1868735373203106_5222865619904364544_n[1]](https://livedoor.blogimg.jp/netdental/imgs/1/9/19f06407.jpg)
![40020435_1868735573203086_480669272067014656_n[1]](https://livedoor.blogimg.jp/netdental/imgs/6/0/60bb99de-s.jpg)
神奈川県川崎市の歯科、イサオ歯科クリニックです。
2018.8.25.(日曜日)
2018.8.25.
![40033417_1868727819870528_1176392714900471808_n[1]](https://livedoor.blogimg.jp/netdental/imgs/c/0/c034b3ec-s.jpg)
・・・・・・・・・・・・・・・・・・・・・・・・・・・・・・・・・・・・・・・・・・・・・・・・・・・・・・・・・・・・・・・
イサオ歯科クリニックはQ-lifeに登録しています。
株式会社QLife(キューライフ)に登録して商品をゲットし評価をお願いします。会員登録はこちらから
「川崎市の入れ歯ならイサオ歯科クリニックへ」
「顎関節症はイサオ歯科クリニックへ」
入れ歯のことなら入れ歯専門のイサオ歯科クリニックへ
・・・・・・・・・・・・・・・・・・・・・・・・・・・・・・・・・・・・・・・
211-0063
川崎市中原区小杉町1-527-4 メゾンゴールド1A
イサオ歯科クリニック
松下勲夫
TEL&FAX 044-744-1181
お口の中から差し歯、入れ歯、詰め物を追放しましょう!
口の中の病気を治し、病気を興さない医療を目指します。
二度とお口の中へ変なものを入れなくても済むように
予防に精進いたしましょう!安全な矯正、美容を目指しましょう!
・・・・・・・・・・・・・・・・・・・・・・・・・・・・・・・・・・・・・・・・・・・・・・・
![40046269_1868493099894000_4295889086176034816_n[1]](https://livedoor.blogimg.jp/netdental/imgs/d/b/db12b914-s.jpg)
![40100506_1868493383227305_9189933401468043264_n[1]](https://livedoor.blogimg.jp/netdental/imgs/a/a/aa7172d3-s.jpg)
・・・・・・・・・・・・・・・・・・・・・・・・・・・・・・・・・・・・・・・・・・・・・・・・・・・・・・・・・・・・・・・
イサオ歯科クリニックはQ-lifeに登録しています。
株式会社QLife(キューライフ)に登録して商品をゲットし評価をお願いします。会員登録はこちらから
「川崎市の入れ歯ならイサオ歯科クリニックへ」
「顎関節症はイサオ歯科クリニックへ」
入れ歯のことなら入れ歯専門のイサオ歯科クリニックへ
・・・・・・・・・・・・・・・・・・・・・・・・・・・・・・・・・・・・・・・
211-0063
川崎市中原区小杉町1-527-4 メゾンゴールド1A
イサオ歯科クリニック
松下勲夫
TEL&FAX 044-744-1181
お口の中から差し歯、入れ歯、詰め物を追放しましょう!
口の中の病気を治し、病気を興さない医療を目指します。
二度とお口の中へ変なものを入れなくても済むように
予防に精進いたしましょう!安全な矯正、美容を目指しましょう!
・・・・・・・・・・・・・・・・・・・・・・・・・・・・・・・・・・・・・・・・・・・・・・・




・・・・・・・・・・・・・・・・・・・・・・・・・・・・・・・・・・・・・・・
211-0063
川崎市中原区小杉町1-527-4 メゾンゴールド1A
イサオ歯科クリニック
松下勲夫
TEL&FAX 044-744-1181
お口の中から差し歯、入れ歯、詰め物を追放しましょう!
口の中の病気を治し、病気を興さない医療を目指します。
二度とお口の中へ変なものを入れなくても済むように
予防に精進いたしましょう!安全な矯正、美容を目指しましょう!
・・・・・・・・・・・・・・・・・・・・・・・・・・・・・・・・・・・・・・・・・・・・・・・
・・・・・・・・・・・・・・・・・・・・・・・・・・・・・・・・・・・・・・・
211-0063
川崎市中原区小杉町1-527-4 メゾンゴールド1A
イサオ歯科クリニック
松下勲夫
TEL&FAX 044-744-1181
お口の中から差し歯、入れ歯、詰め物を追放しましょう!
口の中の病気を治し、病気を興さない医療を目指します。
二度とお口の中へ変なものを入れなくても済むように
予防に精進いたしましょう!安全な矯正、美容を目指しましょう!
・・・・・・・・・・・・・・・・・・・・・・・・・・・・・・・・・・・・・・・・・・・・・・・
![37296262_1799410230135621_4655942632755691520_n[1]](https://livedoor.blogimg.jp/netdental/imgs/3/7/376cfe04-s.jpg)
![37167422_1799410430135601_7248246100753121280_n[1]](https://livedoor.blogimg.jp/netdental/imgs/c/f/cf8e5ee7-s.jpg)
![37198138_1799410273468950_3762457218914451456_n[2]](https://livedoor.blogimg.jp/netdental/imgs/3/e/3e0d533c-s.jpg)
・・・・・・・・・・・・・・・・・・・・・・・・・・・・・・・・・・・・・・・
211-0063
川崎市中原区小杉町1-527-4 メゾンゴールド1A
イサオ歯科クリニック
松下勲夫
TEL&FAX 044-744-1181
お口の中から差し歯、入れ歯、詰め物を追放しましょう!
口の中の病気を治し、病気を興さない医療を目指します。
二度とお口の中へ変なものを入れなくても済むように
予防に精進いたしましょう!安全な矯正、美容を目指しましょう!
・・・・・・・・・・・・・・・・・・・・・・・・・・・・・・・・・・・・・・・・・・・・・・・
・・・・・・・・・・・・・・・・・・・・・・・・・・・・・・・・・・・・・・・
211-0063
川崎市中原区小杉町1-527-4 メゾンゴールド1A
イサオ歯科クリニック
松下勲夫
TEL&FAX 044-744-1181
お口の中から差し歯、入れ歯、詰め物を追放しましょう!
口の中の病気を治し、病気を興さない医療を目指します。
二度とお口の中へ変なものを入れなくても済むように
予防に精進いたしましょう!安全な矯正、美容を目指しましょう!
・・・・・・・・・・・・・・・・・・・・・・・・・・・・・・・・・・・・・・・・・・・・・・・
神奈川県川崎市の歯科、イサオ歯科クリニックです。
2018.7.08.(日曜日)
東京両国でN1会という10年程前にできた経営の会合に参加いたしました。
停滞前線の南の地方は大変な被害だそうで、テレビがない私は気が付きませんでした。佐賀や北九州から上京された方にその凄さをお聞きして驚きました。
。。。。。。。。。。。。。。。。。。。。。。。。。。。




木下晴彦先生
大手進学塾で講師を務める。そこで灘高校合格率を極めて高めて有名となり、一転してそこから組織マネージメントや経営者向け、或いはスタッフ向け講演を始めたそうです。
進学塾での指導の悩みを解決してくれた方が、質問した言葉。
「君は何のために働くのかね?」
「人は誰でも生まれて来たからには、何か役割を持って生まれてきている」
「その役割は働くことによってのみ果たせる」
「役割とは周りの役に立つから役割と呼ばれ、それはその人の得意分野、すなわち長所の中に存在する。」
相手の長所を見抜き「これこそが自分の生まれてきた役割である」と気ずかせる」事がリーダーの仕事。
その人が自分の生まれてきた役割に気ずき、それが働く(勉強する)目的になった時過度の管理は不要になる。
【目的がいかに大切かっ!】
目的⇒何のために 目標⇒何を目指す
おなじような能力であった3つの教室の成績。15人/30人の合格。5人均等ではなく、現実は5, 1,9名の合格者を輩出。
5人はデータ通り、ではその違いは?
惨敗クラス⇒勉強、出し抜き ⇒漫画を読む、チクル生徒 ⇒休暇、つるむ
終業後⇒つるむ
奇跡的合格率のクラス 教え合う、注意しあう、勉強大会、勉強時刻、申告しあう。
データ通りの結果のクラス 干渉なし、干渉なし、個人主義、即帰宅
一番の成績を収めたのは、仲間でチームを作り助けあった所だった。
・・・・・・・・・・・・・・・・・・・・・・・・・・・・・・・・・・・・・・・・・・・・・・・・・・・・・・・・・・・・・・・
イサオ歯科クリニックはQ-lifeに登録しています。
株式会社QLife(キューライフ)に登録して商品をゲットし評価をお願いします。会員登録はこちらから
「川崎市の入れ歯ならイサオ歯科クリニックへ」
「顎関節症はイサオ歯科クリニックへ」
入れ歯のことなら入れ歯専門のイサオ歯科クリニックへ
・・・・・・・・・・・・・・・・・・・・・・・・・・・・・・・・・・・・・・・
211-0063
川崎市中原区小杉町1-527-4 メゾンゴールド1A
イサオ歯科クリニック
松下勲夫
TEL&FAX 044-744-1181
お口の中から差し歯、入れ歯、詰め物を追放しましょう!
口の中の病気を治し、病気を興さない医療を目指します。
二度とお口の中へ変なものを入れなくても済むように
予防に精進いたしましょう!安全な矯正、美容を目指しましょう!
・・・・・・・・・・・・・・・・・・・・・・・・・・・・・・・・・・・・・・・・・・・・・・・





・・・・・・・・・・・・・・・・・・・・・・・・・・・・・・・・・・・・・・・
211-0063
川崎市中原区小杉町1-527-4 メゾンゴールド1A
イサオ歯科クリニック
松下勲夫
TEL&FAX 044-744-1181
お口の中から差し歯、入れ歯、詰め物を追放しましょう!
口の中の病気を治し、病気を興さない医療を目指します。
二度とお口の中へ変なものを入れなくても済むように
予防に精進いたしましょう!安全な矯正、美容を目指しましょう!
・・・・・・・・・・・・・・・・・・・・・・・・・・・・・・・・・・・・・・・・・・・・・・・
神奈川県川崎市の歯科、イサオ歯科クリニックです。
2018.6.17.(日曜日)
神奈川保険医協会主催の講演会が横浜ベイシェラトンホテル&タワーズでありました。
口腔と心(高次脳機能)をつなぐ糸




・・・・・・・・・・・・・・・・・・・・
不正咬合?が脳血流量に影響を与えるそうです。ただ、動物で歯に余計な物を張り付けて噛みにくくした実験モデルだそうです。
しかし、不正咬合という名称は歯科矯正が提唱している概念であって医学的な問題は極めて少ないと私は思っています。
それより、歯を動かすという事自体かなり傷害ですから、美容という観点から考えると本人の希望に応じて、虫歯や歯周病、神経の損傷を最小限にした移動、そして筋肉の動きを阻害しない噛みあわせを維持することこそ重要なのです。
それは矯正専門医ではなく、矯正ができる普通の歯科医師がやる方が安全なのです。
現在の形状記憶合金を使用したすべての歯を動かす事は、医学的に問題を起こしやすい事を理解しないといけません。
だから昔風のとても面倒ですが、手で曲げたワイヤーにより動かしたい歯だけを動かす手技が必要です。
面倒ですがこれしか矯正歯科を医学的に問題を最小限にする方法はありません。
・・・・・・・・・・・・・・・・・・・・・・・・・・・・・・・・・・・・・・・・・・・・・・・・・・・・・・・・・・・・・・・
イサオ歯科クリニックはQ-lifeに登録しています。
株式会社QLife(キューライフ)に登録して商品をゲットし評価をお願いします。会員登録はこちらから
「川崎市の入れ歯ならイサオ歯科クリニックへ」
「顎関節症はイサオ歯科クリニックへ」
入れ歯のことなら入れ歯専門のイサオ歯科クリニックへ
・・・・・・・・・・・・・・・・・・・・・・・・・・・・・・・・・・・・・・・
211-0063
川崎市中原区小杉町1-527-4 メゾンゴールド1A
イサオ歯科クリニック
松下勲夫
TEL&FAX 044-744-1181
お口の中から差し歯、入れ歯、詰め物を追放しましょう!
口の中の病気を治し、病気を興さない医療を目指します。
二度とお口の中へ変なものを入れなくても済むように
予防に精進いたしましょう!安全な矯正、美容を目指しましょう!
・・・・・・・・・・・・・・・・・・・・・・・・・・・・・・・・・・・・・・・・・・・・・・・
左上のMy bankingからMove moneyの中のpay ortransferをクリック
そして普通預金(HKD savings)から当座預金(HKD current)に少し預金を移動しておくと安心だということでした。
・・・・・・・・・・・・・・・・・・・・・・・・・・・・・・・・・・・・・・・
211-0063
川崎市中原区小杉町1-527-4 メゾンゴールド1A
イサオ歯科クリニック
松下勲夫
TEL&FAX 044-744-1181
お口の中から差し歯、入れ歯、詰め物を追放しましょう!
口の中の病気を治し、病気を興さない医療を目指します。
二度とお口の中へ変なものを入れなくても済むように
予防に精進いたしましょう!安全な矯正、美容を目指しましょう!
・・・・・・・・・・・・・・・・・・・・・・・・・・・・・・・・・・・・・・・・・・・・・・・
神奈川県川崎市の歯科、イサオ歯科クリニックです。
2018.5.16.(日曜日)
食物アレルギーになりアナフィラキシーにも二、三回なりました。
........................................................................................
https://allergy72.jp/food-allergy/what.html
ホメオパシーを勉強している時に、それをh.p.に記載していた頃、或いは顎関節症の治療をしていると書いていた頃、様々な歯科以外での相談者が見えていました。
経営的に、非常に苦しい事になりました。殆どが保険医の歯科では評価がない治療となりますし、全身にまつわる病気について鑑別できる能力もないからです。
相談内容→私は二年前から食物アレルギーになりアナフィラキシーにも二、三回なりました。歯科麻酔薬でも気分が悪くなるため、通えずにいますが、歯が噛み合わせ悪く、むし歯もあります。なるべく化学物質を使わない、ねの治療もホルムアルデヒドやホルマリンを使わないところをさがしています。
...........................................................................................................
顎関節症なども、実は歯科心身症の方も多いのです。顔面領域の色々な症状を訴えるかたでは、意外と多いのが心身症です。
半年、口腔外科と耳鼻科を往復していた患者さんは、色々症状を訴えられていましたが、唾液腺の問題かもとか残根が残っているからからかもとかを散々しゃべり続けていたのです。
今度はMRIだとか言われて、「あなたの言われていることはもしかしたら、心の問題とか精神的な不調和から来ているかもしれません」と話して、軽く無料の鍼灸処置を施し、後で電話で尋ねたころかなり緩寛していたようでした。
経営的には負担が大きく、そしてあまり困難だとは思えない方々ですけれど食品添加物の問題もあり、心身症の方は、話が長くて診療所としては経営的にダメージを受ける事がおおいのです。でも歯科の普通の医学的な治療や入れ歯の方が、はるかに困難な手技を必要としますが、対価として自由診療にできれば不採算ではなくなります。
医学的な治療に関しては、歯科領域では無視か低,低報酬、保険診療では無償で対処しなくてはならずかなり厳しいと言わざるを得ない現状です。
アレルギーなどにならないための生活習慣の啓もうが必要なのではないかと考えてしまいます。
・・・・・・・・・・・・・・・・・・・・・・・・・・・・・・・・・・・・・・・・・・・・・・・・・・・・・・・・・・・・・・・
イサオ歯科クリニックはQ-lifeに登録しています。
株式会社QLife(キューライフ)に登録して商品をゲットし評価をお願いします。会員登録はこちらから
「川崎市の入れ歯ならイサオ歯科クリニックへ」
「顎関節症はイサオ歯科クリニックへ」
入れ歯のことなら入れ歯専門のイサオ歯科クリニックへ
・・・・・・・・・・・・・・・・・・・・・・・・・・・・・・・・・・・・・・・
211-0063
川崎市中原区小杉町1-527-4 メゾンゴールド1A
イサオ歯科クリニック
松下勲夫
TEL&FAX 044-744-1181
お口の中から差し歯、入れ歯、詰め物を追放しましょう!
口の中の病気を治し、病気を興さない医療を目指します。
二度とお口の中へ変なものを入れなくても済むように
予防に精進いたしましょう!安全な矯正、美容を目指しましょう!
・・・・・・・・・・・・・・・・・・・・・・・・・・・・・・・・・・・・・・・・・・・・・・・
神奈川県川崎市の歯科、イサオ歯科クリニックです。
2018.4.1.(日曜日)
合わない入れ歯で歯がぐらぐらの入れ歯を抜歯と同時に修理しました。
・・・・・・・・・・・・・・・・・・・・・・・・・・・・・・・・・・・・・・・・・・・・・・・・・・・・・・・・・・・・・
90才になろうかというお祖母ちゃん。残り3本の歯に貧相な小さい入れ歯(保険)が入りガタガタしていた為に痛いし、抜ける寸前で来られた方。
歳も歳だから修理だけでお願いします。歯がない期間があると困る。早く修理してくれるならばそれなりのお金は払うというご要望。
これはかなり無理筋のお願いなのです。抜歯後すぐに血だらけの中で修理。でもがたがたですぐ落ちてくる。
そこで2日後に入れ歯に手を加えて入れ歯を使い義歯の歯型をとり、専門の技工所に委託。
少なくとも10日ぐらいは我慢してくれと。
しぶしぶ納得していただき10日後に一応はずれない義歯を装着。その後5日程してお金を払うから食べれる義歯を作ってくれと連絡あり。
前歯の抜いた後も、骨が出っ張っているので出し入れの時に少し痛いらしい。前歯のところの入れ歯の前突感も気になるということ。
とりあえず、分析の為に修理した入れ歯を入れて下の歯と上の歯茎の出具合、人工の歯を並べる骨のトンガリ部分の位置関係を調べる為に、機械に付けて観察。
前歯のところの骨を少し削るとかしないと前突感は解消できないと分析できた。後は後方の入れ歯の位置をどこまで延ばすか調べるのです。
しかし、この位置の間違いの入れ歯が多くて殆ど吸着せずに脱落する入れ歯が多いのです。歯科医師が模型から作られた仮のプラスチックでその位置を口腔内で確認し、修正してからでないと前過ぎると落ちてしまい、奥に行きすぎると吐き気を催すのです。
位置としては、骨の触れる部分と軟組織(やわらかい部分)の境目が基本でここを試行錯誤で模型に印記し、その後方1~2mmまで模型を削り、実際のお口の中では軟組織に食い込むようにしなければ吸着せずに脱落するのです。
後は上の骨の最も出ている骨の部分と下の歯の位置関係を調べてどのような人工歯をどの位置に並べるかを考えるのです。
後は、顎の動きを調べて咬合器という機械に顎の動きを記録してから歯を並べ、スムーズに人工歯がこすり合せられるか調べるとかするといいのです。
殆ど平均値の動きで歯を並べてもらっていたのですが、超一流の治療を行う診療所の入れ歯などを作製してもらう歯科技工士さんとお話ししていたら、やはり甘さを感じて、半調節性の咬合器(昔は全調節性の咬合器は100万円ぐらい半調節性のもで40万円ぐらいしていた。)
を使い顎の関節の動きをある程度再現できる咬合器で人工歯を並べて噛みあわせ調節をし、人工歯は、すべて咬合面(噛むところ)だけは金合金にして顎の動きと調和させないと
最初から噛めないとか、痛いとなり、うまく噛みあわせができているのならば永久に修理も必要がないということでした。
金属はすべて金合金だそうです。歯の部分見える頬の部分だけは白いレジンという材料ですが、噛みあわせのところはすべて金合金で、歯にかかるクラスプというものは、頬側は丁寧に既成品を手で曲げて作る職人技のワイヤーと内側は堅い鋳造(普通の被せる金属と同じように作る)ものを使い歯肉に添わせるバーも同じく金合金じゃないと耐久性がないようです。




・・・・・・・・・・・・・・・・・・・・・・・・・・・・・・・・・・・・・・・・・・・・・・・・・・・・・・・・・・・・・・・
イサオ歯科クリニックはQ-lifeに登録しています。
株式会社QLife(キューライフ)に登録して商品をゲットし評価をお願いします。会員登録はこちらから
「川崎市の入れ歯ならイサオ歯科クリニックへ」
「顎関節症はイサオ歯科クリニックへ」
入れ歯のことなら入れ歯専門のイサオ歯科クリニックへ
・・・・・・・・・・・・・・・・・・・・・・・・・・・・・・・・・・・・・・・
211-0063
川崎市中原区小杉町1-527-4 メゾンゴールド1A
イサオ歯科クリニック
松下勲夫
TEL&FAX 044-744-1181
お口の中から差し歯、入れ歯、詰め物を追放しましょう!
口の中の病気を治し、病気を興さない医療を目指します。
二度とお口の中へ変なものを入れなくても済むように
予防に精進いたしましょう!安全な矯正、美容を目指しましょう!
・・・・・・・・・・・・・・・・・・・・・・・・・・・・・・・・・・・・・・・・・・・・・・・
神奈川県川崎市の歯科、イサオ歯科クリニックです。
2018.2.17.
。。。。。。。。。。。。。。
不定愁訴で何年も内科や心療内科、そして歯科・口腔外科さらには耳鼻科に通院している方の話。
お話しが多岐に渡るので、一般歯科では敬遠されやすく大きな病院の口腔外科に紹介という形で丸投げされやすい患者さんのお話しです。
数十年来の歯科での治療の話から現在の通院しているお話しなのです。頬骨の違和感や歯肉の違和感などを訴えられているのですが、現在では口腔外科から耳鼻科へ回されて色々な薬を処方されているということです。
簡単な事を質問すると、まさに心身症とか自律神経失調と思われるのです。来院した理由はhomeopathyという治療で解決できないかという理由で来られたみたいです。
医師や歯科医師や医療従事者ではない、ホメオパスとよばれる民間のホメオパシーの教育機関で勉強された方から受けた処方で調子が緩和したので、探して来られたようです。
一回で数万円はかかったようですね。
処方については、良いとか悪いとかは判断はしていません。分析するならばかなりの時間と専門性を持ったかたでしか判断できないからです。私は現在やる気はないので、問診から病歴をお聞きして簡単に判断いたしました。
心身症ぎみなので、薬で何とかしようとしているから副作用として問題が起こるのではないか話ました。
過去にも沢山いましたから推測できるわけです。
何故数日後耳鼻科でCTまで取る予約をしているのに来院したのかわかりません。被爆が恐いといいながら歯科どころではない、被ばくを浴びるCT を取るというので少し奇怪な感じしておりました。
結論として、忙しい土曜日でしたので、自律神経の調節の為に井穴・刺絡療法で顔面の不定愁訴に効果があるツボを刺激して見ました。
後から電話で聞いたこ話では、不思議な事に体の調子がいいとのことでした。「病は気から」という言葉のようにメンタルから体の調子を悪くすることなど日常茶飯事ではないかと思うのです。医師にかかっても余計な薬しか出せませんからクスリなどで効果が出るとは思わず、生活習慣を見直すとか精神の安定法などを考えた方がいいのです。後は食べ物ぐらいですか。
薦めたのは、メンタルトレーニングとしての精神安定法や、寝る前の体のストレッチや感情のコントロール法などです。
医療費の無駄を避けないといけませんね。歯科では保険点数ゼロのボランテイアとしか評価はありませんから昔のようにh.p.には記載しておりませんが、沢山の患者と向き合った経験から大体ピンときます。
医師や医療関係者はもっと伝統医療や民間療法などに精通した方がいいのではないかと思っています。
パソコンや血液検査、レントゲンなどでは原因がわからない事の方が多いのですね。
Holistic
なとらえ方が必要ではないかとおもいました。
・・・・・・・・・・・・・・・・・・・・・・・・・・・・・・・・・・・・・・・・・・・・・・・・・・・・・・・・・・・・・・・
イサオ歯科クリニックはQ-lifeに登録しています。
株式会社QLife(キューライフ)に登録して商品をゲットし評価をお願いします。会員登録はこちらから
「川崎市の入れ歯ならイサオ歯科クリニックへ」
「顎関節症はイサオ歯科クリニックへ」
入れ歯のことなら入れ歯専門のイサオ歯科クリニックへ
・・・・・・・・・・・・・・・・・・・・・・・・・・・・・・・・・・・・・・・
211-0063
川崎市中原区小杉町1-527-4 メゾンゴールド1A
イサオ歯科クリニック
松下勲夫
TEL&FAX 044-744-1181
お口の中から差し歯、入れ歯、詰め物を追放しましょう!
口の中の病気を治し、病気を興さない医療を目指します。
二度とお口の中へ変なものを入れなくても済むように
予防に精進いたしましょう!安全な矯正、美容を目指しましょう!
・・・・・・・・・・・・・・・・・・・・・・・・・・・・・・・・・・・・・・・・・・・・・・・
http://www.holistic-medicine.or.jp/
![23031398_1502815679795079_1004644794692485416_n[1]](https://livedoor.blogimg.jp/netdental/imgs/8/8/8840326e.jpg)
![22894049_1502816046461709_3596277418365380061_n[1]](https://livedoor.blogimg.jp/netdental/imgs/b/4/b444f82c.jpg)
![23130556_1502815769795070_7442361462578138967_n[1]](https://livedoor.blogimg.jp/netdental/imgs/4/9/496af992.jpg)
![23131624_1502815949795052_4569820282723496699_n[1]](https://livedoor.blogimg.jp/netdental/imgs/5/c/5cbda865.jpg)
![23131987_1502815889795058_6973099127955950585_n[1]](https://livedoor.blogimg.jp/netdental/imgs/0/2/02da372c.jpg)
![23167638_1502815846461729_2479175409468430327_n[1]](https://livedoor.blogimg.jp/netdental/imgs/9/1/9122877f.jpg)
https://ameblo.jp/d-s-p/entry-12089675056.html
●ガンの状況を教えてもらいました
林さんのだんなさんは、まず、ガンの3大治療を受けました。外科手術と抗ガン剤・放射線治療のセットです。
2009年1月、食道ガン(ステージ4A)のため、食道すべてを摘出する外科手術をしました。新しい食道は胃の一部を持ち上げて再建しました。 ただ、全部摘出しても、約3センチの転移ガンが右肩(リンパ節)にあって、それが血管にくっついていたため取り除けず、放射線と2クールの抗ガン剤治療をしました。
放射線と抗がん剤治療の後も、ガンの大きさは変わりませんでした。残された治療法は、引き続き抗ガン剤治療。副作用は人によって違うけど、だんなさんの場合は、すごい吐き気でごはんがまったく食べられなくなりました。口内炎も無数にできて、あまりの痛みで1週間口が開かなかったそうです。退院するときには、体重が62kgから42kgにまで落ちていました。
副作用に相当な苦痛を感じていただんなさんは「抗ガン剤を続けるくらいなら死んだ方がマシ」と、治療をすることを断ってしまいました(!)。いろいろあって、病院から「好きなときに来てください」と言われました。
つらい抗ガン剤治療をしなくてよかった!とだんなさんはのんびり構えていたようですが、そばにいた林さんは、いったい家でどう過ごせばいいの......と、いろいろ情報を集めました。
資料をたくさん読んだり、だんなさんと一緒にガン経験者の話を聞きに行ったりしました。セカンドオピニオンを求めて別の病院へ行き、臨床試験中の治療を試せるか何度も足を運んだり、西洋医学だけじゃない代替療法・伝統医療を取り入れた別のクリニックに行ったり、治療の可能性をふたりで探っていきました。
自宅療養から7ヶ月後、右肩リンパ節のガンはCTスキャンでみても触ってみてもなくなっていました。その後3年経過して(2012年秋)、だんだん体重も増えて、現在は半年に一度の血液検査を受けているそうです。
林さんご夫婦は、自分たちで考えてその人にあった治療法をみつけること、そしてその治療を続けることが、とても重要だと実感したそうです。
●免疫力を高めるのがポイント
林さんはいろいろ調べた結果、ガンには免疫力を高めることがとても重要だと改めてわかったそうです。どんなことが免疫力アップにつながるのか、教えてもらいました。
【免疫力をアップするのに必要なこと】
・腸をきれいにする(免疫細胞の6割は腸にある)
・体温を36度後半にする(体温が高いと免疫力が高まるし、ガンは熱に弱い)
・制ガン効果のあるビタミンやミネラル群を多くとり、油や乳製品・肉類を控える食事(なるべく身体の酸化を防ぐ)
・血行をよくする(免疫を支配しているリンパ液は筋肉を動かさないと機能しない)
・身体を休める(ガンは夜行性。22時から4時は身体を温かくして休む)
・楽天的に考える(ガンと闘うのは自分と闘うようなもの。共存できればいいや、と気楽に考える。くよくよしない。「ガン細胞が広がらない一日」を続ければ、5年でも10年でも大丈夫!と信じる。元気なガン経験者に会って話を聞くと気が楽になる)
・イメージする(自分の細胞が変異したガンを反抗期の子供だと思って、「そのうち元のいい細胞に戻るよね」とガンに言い聞かせる)
免疫力を高い状態でキープするための、具体的にやったことについても教えてもらいました。「実験好きなの」という林さんが、自宅療養中に実践したことは、次の内容でした。
【実践内容】
・腸をきれいにする
朝のにんじんジュース(毎朝、作りたてを飲む)
乳酸菌や発酵食品を摂取
玄麻黄枇糖(げんまおびとう)というおやつを食べる
免疫力アップの食事(玄米・魚・野菜。お肉は週一で鳥肉または卵。白砂糖と乳製品はNG。野菜・海藻・豆類をまんべんなく摂る)
ガンに直接働きかける(主に寝る前)
レモン(ビタミンC)摂取
ビワの葉っぱを患部に貼ってその上からこんにゃく温湿布
漢方を飲む
体温を上げる(血行をよくする)
入浴
30分の散歩
足つぼマッサージ
ストレッチやスクワット
その他
笑う(作り笑いでも)
生命力あふれる小さい子どもと遊ぶ
ストレスをためない(いやな事はしない)
食事は1日30品目以上の食材摂取が目標で、朝おきて、ジュースを作り、飲み、それから3食もつくって食べて、散歩して、笑って、入浴して、湿布して、布団を温めて、レモンを飲んで寝る。しかも早く寝る。
準備の時間も考えると、とても忙しそう。ぜんぶこなすのは相当大変じゃないかと思ったら、できたかどうかをチェックするシートを作って、毎日、1日の終わりか翌朝に書いていたそう(林さんはずいぶん睡眠不足だったのでは...)。
![22281566_1478759782200669_8934089213444759748_n[1]](https://livedoor.blogimg.jp/netdental/imgs/1/3/13bf43a0.jpg)
![22279935_1478756032201044_8088062674137764854_n[1]](https://livedoor.blogimg.jp/netdental/imgs/6/e/6e456677.jpg)
![22281978_1478756112201036_5245347970861594753_n[1]](https://livedoor.blogimg.jp/netdental/imgs/7/3/738c3299.jpg)
![22405554_1478756058867708_3486561603824004361_n[1]](https://livedoor.blogimg.jp/netdental/imgs/a/a/aa99533e.jpg)
![22366661_1478756145534366_7253829044754501230_n[1]](https://livedoor.blogimg.jp/netdental/imgs/8/b/8b8a5f26.jpg)
神奈川県川崎市の歯科、イサオ歯科クリニックです。
2017.10.8.(日曜日)
・・・・・・・・・・・・・・・・・
第16回日本ホメオパシー医学会が東大医学部研究棟で開かれました。
下記のような英語の本を見て調べながらremedyという治療薬を決めていたんです。
現在は、高額のソフトを使い、あっという間に適切なremedyを選択できるようになりますが、
神奈川県川崎市の歯科、イサオ歯科クリニックです。
2017.10.8.(日曜日)
第16回日本ホメオパシー医学会が東大医学部研究棟で開かれました。
。。。。。。。。。。。。。。
東大赤門です。
日本ホメオパシー医学界の会長は、東大頸部外科出身、東洋医学の造詣が深い帯津三敬病院名誉院長。
格闘技用のマウスガードならイサオ歯科クリニック tel&fax 044-744-1181
神奈川県川崎市の歯科、イサオ歯科クリニックです。
2017.9.15.(金曜日)
・・・・・・・・・・・・・・・・・・・・・・・・・・・・・・・・・・・・・
9/15(金曜日)川崎医師会館で耳鼻科医とマウスピースを作製する歯科医のイビキ治療の話がありました。
詳しくは、睡眠時無呼吸症候群といいまして、寝ている時に呼吸が止まり息をしない為に慢性の睡眠不足、体の疲れが取れないなどの症状の為に常に体調がすぐれないという方々に耳鼻科医による治療が行われています。
ただ、手術など少し怖い事を嫌がるとか、マウスピースを装着することにより気道(空気の通り穴)を広げると呼吸が楽になるという事です。
救急蘇生の時に下顎を前方に引き上げると舌根が引き上げられ息がしやすくなります。この原理を応用して若干顎を突き出した状態でマウスピースを作製すると舌が空気の穴を閉鎖するのを防ぎます。
神奈川県川崎市の歯科、イサオ歯科クリニックです。
2017.9.24.(日曜日)
。。。。。。。。。。。。。。
2013に書いた文章より
症状を抑える薬を飲み続けることは危険です。
・・・・・・・・・・・・・・・・・・・・・・・・・・・・・・・
突然来院された80歳のおばあさん、物が歯に詰まり不快だとか。寝そべるようにすると耳鳴りが酷くなり頭がおかしくなるとか。
でも椅子に座り横たわりませんとお口の中は拝見できないので事情は理解できないのです。そこでなん...とか座ってもらい簡単に診察して事情が読めてきました。
そして病歴をお聞きして分かった事は何十年も血圧の薬と睡眠導入剤を服用しているのです。この薬の副作用はひどくて耳鳴りとかメニエール症候群という診断のもとに又薬を飲んでいるのです。
長年服用している薬は、自律神経をおかしくしますからこれが原因と推察できました。
今の保険制度はよいところもありますが、安くて診断する時間がなく、すぐ薬という具合になり薬害と医療費の暴騰でどうしようもなくなりつつあります。
緊急な時以外では、症状を抑える薬を飲み続けても症状を抑えているだけですからよくはならないのです。
薬で病気は良くならない事を理解すべきです。無駄な時間と無駄なお金と新たな病気を誘発するのです。注意しなければと思います。
・・・・・・・・・・・・・・・・・・・・・・・・・・・
例2
随分昔に来られたおばあちゃん、突然痛いと来院。確かに歯の中の治療(根管治療)はあまりよいとは言えませんが本人に言わせると20年以上前やったとかで痛みも出ないので放置していたのですが、突然自発痛で来院。
「あたしゃ忙しいから早く直し?といてくれ」と、のたまわれました。歯医者に行く時は何か物を入れるからこういう発想になるのですね。
残念ながら治療は困難を極めましたが何とか痛みもなくなり、数回の治療後、どうしてそんなに忙しいのかと尋ねたのです。
答えは数十年にわたり血圧の薬となんとかの病気の薬を服用しているとのこと。最近突然背中が痛くなり整形外科を受診。又薬を飲みましたところ、直ぐに皮膚が痒くなり目が乾燥しだしたので又薬とか。皮膚科と眼科という具合です。
それから歯が痛くなったとか。毎日病院通いで忙しいから歯ぐらい早く治さないと時間がなくなるとか。
“治す”と“直す”の違いは天地程違うのですね。
あまりため息を付き悔やんでばかりいた方でしたから、「とにかく騙されたと思って今新しく飲み始めた薬をやめて、昔から服用している薬も程々にしてその代わり水分を沢山取られてはいかがでしょうか?早く治りますよ!」ときつく話いたしました。
越権行為かもしれませんが、一人の方に服用させる薬は一種類であるべきではないかと思うのです。そして原因を調べてその原因を取り除くことこそ治療では一番大事なことではないかと思います。
しばらくして来院されたのでお聞きしたら不思議なことに症状はなくなったとか。
当間のことですが、症状を抑える薬を幾ら飲み続けても病気がよくならないのは常識なのですね。
症状は体の治ろうとしているサインなのです。抑えようとすることこそ問題なのです。根本を治すしかないのです。
歯科でもそうです。病気を治す事が大事で何かを入れることはやむ得ずすることで本来は身体にとり異物ですからあまりない方がいいのですね。
備忘録
スマホのアプリ?の削除の仕方
作製したfacebookの自分のサイトが二つある場合ややこしい。スマホから投稿するときに関係ないIDやpasswordがわからないサイトが出てくると投稿しても意味がない。
削除の仕方。
facebookにアクセスして削除する。
そこから再設定
基本フォルダ→設定→クラウドとアカウント→アカウント→facebok→アイコンが出てくる?
神奈川県川崎市の歯科、イサオ歯科クリニックです。
2017.9.20.(水)
。。。。。。。。。。。。。。
マービン・トケイヤー ユダヤ教聖職者、日本の広尾?にあるシナゴーグ(ユダヤ教寺院)でラビをしていた方。
日本人向けにユダヤ人の事を書いた著書もある方です。日本で言えば、杉浦千畝(チウネ)さんが有名で盛んにテレビや外国映画でも取り上げられた人物がいました。しかしその取り上げ方も当時の日本政府を糾弾するという捏造の事実に日本国民は洗脳されています。
私が見た番組では、有名な関口宏さんという反日日本人が司会をしていた番組で取り上げられたのです。日本政府に逆らってビザを支給したと。
彼の偉業をとやかく言うつもりはありませんが、一外交官の独断で本国政府の命令に逆らってビザを発行するようなことはやりませんしできません。
では何故できたのか?
日本政府が認めていたからなのです。→この時点で捏造です。
又ドイツと同盟していたとはいえ、当時日本政府の方針で人種差別を認めない様に世界に発信していた訳ですからありえない話なのです。
日本にたどり着いたユダヤ人を暖かく迎えたのも日本人でした。
その出来事より二年前にシベリア鉄道でポーランドやバルト三国でのナチスの迫害から逃れてきたユダヤ人難民を満州国に入れるかどうかでもめていた時に、満州側に受け入れるかどうかで満州政府と掛け合い受け入れさせた(日本の領土ではなく独立国ですから)?
交渉してくれた人がハルビン特務機関長、樋口季一郎(当時少将)だったのです。彼は
今でも反日マスコミや反日テレビで取り上げられることもない軍人さんです。
終戦末期日ソ中立条約を破棄し、火事場泥棒みたいに満州や朝鮮そして樺太、元日本領土の北方の島々に攻め込み日本人を殺害し婦女子を暴行し金銭を略奪し、降伏した日本軍人を強制労働させ死ぬまでこき使ったた共産ソビエトに対して、北海道を守る為に降伏後も自衛の戦いを指揮した軍人でもあったのです。
それで戦った軍人さんにとって良かったどうかは定かではありませんが、日本人婦女子を守り、北海道占領を防いだことは間違いない事だったのです。
だから執拗に東京裁判で戦犯に訴追しろと迫ったのはスターリンだったのです。ところが世界のユダヤ機関がこれに対して樋口少将の訴追断念を連合国に働きかけ戦犯にならずに
戦後は、軍関係の仕事につかず天寿を全うされました。
こういう英雄的な日本人軍人もいたのに、戦後はすべて悪魔のように言われ忌諱されてしまった戦前の日本軍、および日本軍人なのです。戦争の話も軍事の話もすることも汚らわしいという異常な状態は、悲惨な日本国土の破壊と餓死寸前の国民感情やGHQによる徹底的な、日本罪悪史観の洗脳やマスコミ、大学、教職員や公務員を含めて、日本罪悪史感を持つものしかその機関で働くことはできなかったという、公職追放によるGHQの工作員としての日本人しか働けなかったからなのです。
連合国軍に宣戦布告したのは確かに日本の東条英機内閣です。しかし、石油をはじめ戦略物資の供給をアメリカのみならず、オランダなどの国を含めて停止して挑発というより戦争状態にしたのは、アメリカ、イギリスやオランダです。
当時の世界情勢からすれば致し方ないことですが、白人以外の国が目立つのを許さない、中国の利権を邪魔する有色人種という差別意識。
フランクリン・ルーズベルトというアヘン貿易で財をなした母方の影響による中国文明への親近感。
そしてもっと大きな要因は、当時世界中のインテリを魅了していた共産主義という制度、思想。失礼な言い方かもしれませんが大きな政府による公共事業で不景気を回復させようとした当時のアメリカ政府の親近感からか、ソビエトという国に対する警戒感は少なかったようです。
そしてルーズベルト大統領の周りに存在した共産ソビエトのスパイや工作員の数々。
日米交渉で突然、ハルノートを突き付け日本を戦争に向かわせた張本人こそ、のちの世銀総裁?IMF総裁?ホワイトとよばれる外交官。
こいつが起草したものがハルノートとよばれる日本への最後通牒だったのです。
戦後、マッカーシズムにより赤狩りが行われた際、スパイを疑われ何故か謎の死を遂げたホワイト。
戦後の日本がアメリカやヨーロッパの戦勝国にとやかく言われる筋合いはないし、謝罪するなどばかばかしいの一言です。
因みに樋口少将の上司は後の首相(政治家などなりたくなかった有能な実務家軍人)東條秀樹氏だったのです。当然裁可したのは東條大将であったことは間違いありません。
首相に任命されたのも、当時の中枢からの任命であり、本人が希望したものでもなく首相になってからは対米和平の為に尽力したのです。
ところが、アメリカは、戦争準備が整うまでの時間稼ぎの為に日米交渉を長引かせたに過ぎず、戦争をする為に日本を罠にはめたのが真相です。
日本はずる賢い共産主義ソビエトとアングロサクソンによる罠にかかりつぶされたのが、先の大戦の理由なのです。
謝罪も反省もいりません。負けないような国家を作り二度と占領されないためにはどうすればいいかを考えるだけです。
アメリカ軍が去っても中共による侵略や北朝鮮というさらに恐ろしい独裁国家からの挑発と脅しにより領土と金銭を収奪されるだけなのです。













ガーゼで保護する
この方法は、抜歯した後の穴を軽く消毒した後に、ガーゼに抗生物質を塗って傷口を覆ったり、そのガーゼを詰めたりする方法です。
抜歯後の穴にガーゼを詰めることで、刺激が直接骨に当たることを防ぎ、痛みを和らげることができます。 ただ、同じガーゼをずっと詰めておくのは不衛生ですので、2〜5日に一回ガーゼを詰めなおす必要があるので注意してください。
軟膏を注入
考え方は先ほどのガーゼで保護するものと同じです。ガーゼの代わりに、抗生剤入りの軟膏を詰めて、傷口を保護し、痛みを和らげます。
ドライソケットは、傷口を乾燥させた状態だと治りが良くないそうです。
軟膏を注入すると、傷口を湿った状態に保つことができるので、歯茎の再生も早くなることが期待できます。
軟膏を注入した後、サージカルパックと呼ばれる、歯茎の包帯として使われる薬品を塗って塞ぐこともあります。
こちらも、3〜5日ごとに様子を見たり軟膏を取り替えたりするために、歯医者の受診が必要です。
ユージノールセメント
ユージノールセメントというのは、鎮静作用を持つセメントのことで、いわゆる歯の接着に使用されるかためるためのセメントとは少し違います。
ガーゼや軟膏の方法と似てはいますが、この治療方法は傷口を保護しつつ、傷口の炎症を直接抑える方法です。
このユージノールセメントを少し緩めに練って、傷口の穴の部分に流し込むと、ユージノールの鎮静作用で痛みが和らぎます。
こちらも、3〜5日おきに消毒やセメントをつめなおす作業が必要です。
血餅(けっぺい)を再度作らせる
次は、少々強引な方法ですが、もう一度血を出して血餅を作らせる方法です。
具体的には、麻酔をしてから傷口の穴の中にもう一度傷をつけ、出血させて血餅ができるようにします。
血餅が出来てしまえば、あとは普通の抜歯後の経過と一緒で、歯茎が再生するまで待ちます。
ですが、この方法はあまり積極的には行われていないようです。
ドライソケットの治療方法については、先生によって考え方が違い、いろいろな方法がとられていますので、もし歯科で治療を受けられる場合は、よく説明を聞いて理解してから治療に臨みたいですね。処置を受けられる場合は、何回か通院することも必要です。
感染症や悪臭などを防ぐため、くれぐれも1回行ったきり、というのは避けてくださいね。